Haematopathology-WHO 5th classification

AML with t(8;21)(q22;q22); RUNX1::RUNX1T1

 

AML with t(8;21)(q22;q22); RUNX1-RUNX1T1, WHO 4th 2016

反復性遺伝子異常の認められるAMLの一型

このサブカテゴリーではAMLの定義である芽球割合(>20%)が低くても遺伝子異常の同定によりAML診断が可能.

検査の進歩により芽球がまだ増加していないAMLの病初期からAMLとして臨床的対応をとる-->AMLの遺伝子変異による定義.

AML診断のながれ

1) chemoradiation therapyの既往があるか

2) 繰り返す染色体・遺伝子異常をもつAMLに該当するかどうか

3) 骨髄異形成の変化を伴うAMLかどうか

上記のいずれでもない場合に

4) その他のAMLとして再分類される. AML-M0~M7

 

t(8;21) AMLの細胞組織形態学的な特徴

治療のため層別化すべき造血器腫瘍の病型と, その診療

文献*3 白血病では以下の病型を層別化する.

FLT3変異陽性急性骨髄性白血病 ---> FLT3, FLT3-ITD

CBF関連転座を有する急性骨髄性白血病

t(8;21)(q22;q22)および inv(16)(p13.1;q22)/ t(16;16)(p13.1;q22)の染色体異常をもつ急性骨髄性白血病AMLはそれぞれRUNX1-RUNX1T1, CBFB-MYH11融合遺伝子によるfusion product proteinが 転写因子RUNX1とCBFβにより構成されるcore-binding factor(CBF)の正常機能を消失させることでAML発症に関連すると考えられている. これらのAMLは上記の機序により, CBF-AMLと呼称される. *7*8

MLL再構成を有する急性骨髄性白血病

Monosomal karyotypeを有する急性骨髄性白血病

1)2種類以上の常染色体モノソミー, 2)1種類の常染色体モノソミーと1種類以上の染色体構造異常の組み合わせ. 1), 2)のいずれかに該当する染色体異常を有する急性骨髄性白血病tと定義されている. 2008年に最初に報告されてから, monosomal karyotypeはAMLの治療抵抗性と密接に関連する因子とされている.

Ph陽性急性リンパ性白血病

Case presentation

IWT-case: 72year-old male. 白血球減少. 末梢血分画で芽球5%. Auer body+.

 

骨髄組織所見

File not found: RUNX-ASDok-06lpf_s.jpgFile not found: RUNX-ASDok-07lpf_s.jpgFile not found: RUNX-ASDok-01_s.jpgFile not found: RUNX-ASDok-04_s.jpg
ASD-GiemsaASD-GiemsaASD-GiemsaASD-Giemsa

cellularityは40-50%. 正形成髄. やや不明瞭ながら赤芽球血島が認められる. 顆粒球系細胞はASDに赤染するものが多く, びまん性に芽球が増加しているようには見えなかった.

 
File not found: RUNX-ASDok-03_s.jpgFile not found: RUNX-ASDok-05_s.jpgFile not found: RUNX-ASDok-02_s.jpg
ASD-GiemsaASD-GiemsaASD-Giemsa

ASD-Giemsa高倍率像ではASDに染まる幼若な顆粒球系細胞が増加しており, ASDが淡く染まり核小体の明瞭な, N/C比大の芽球も出現している.

 
File not found: RUNX-CD34ok-01_s.jpgFile not found: RUNX-CD34ok-02_s.jpgFile not found: RUNX-CD34ok-04_s.jpgFile not found: RUNX-CD34ok-03_s.jpg
CD34CD34CD34CD34

CD34陽性芽球の増加. CD34(clone QBENT10)はゴルジ野に染まり核周囲に顆粒状に染まっているようにみえる. 陽性細胞はCa20%.
類洞内皮がCD34に染まる異常所見がある. (正常類洞内皮はCD34陰性, 類洞の細静脈化があり, 異常所見と考えられる.)

 
File not found: RUNX-p53-01_s.jpgFile not found: RUNX-p53-02_s.jpgFile not found: RUNX-CD42b_s.jpg
p53p53CD42b

p53が核に明瞭な陽性を示す細胞は少ない. CD42bでsmall Mgkがわずかに認められる.microMgkの増加は見られない.

 

骨髄塗抹細胞所見

File not found: BMsmearOK04_s.jpgFile not found: BMsmearOK02_s.jpgFile not found: BMs-Auer01_s.jpgFile not found: BMs-Auer02_s.jpg
Auer rod+Auer rod+
 
File not found: BMsmearPlt_s.jpg
異常な血小板, 異形成顆粒球の出現

異常血小板や異形成のある顆粒球が出現する.

 

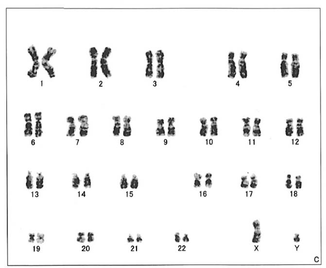
Karyotype 核型

46,XY,t(8;21)(q22;q22.1)[6]/45,idem,-Y[11]/46,XY[3]

t-8-21-01.jpg t-8-21-minusY.jpg 46XY.jpg 

t(8;21)(q22;q22.1)転座は全AMLの5~12%FAB分類M2症例中の10~40%に認められる他, M1やM4にも認めらる.

小児AMLでは最も頻度が高い異常. 日本は欧米より頻度が高いといわれている.*1*4*5

t(8;21)転座症例の75%に付加的異常があり,最も多いのが性染色体の欠失で,男性ではY染色体欠失が60%に,女性では不活化したX染色体の欠失が40%に認められる.

その他の異常として9q22の欠失を伴う9番染色体長腕の中間部欠失,7番染色体長腕の転座や欠失,8番染色体のトリソミーが報告されています.*1*4*5

4番染色体トリソミーは稀な付加的異常ではありますが,数例の報告がある.*6

性染色体の欠失は予後に影響しない. また,それ以外の付加的異常は予後に影響しないというものと,するという両方の報告があります.*1*4*5

 
 

病理組織診断: AML with t(8;21)(q22;q22); RUNX1-RUNX1T1(WHO2016)

骨髄組織ではMDSレベルの所見(blasts < 20%)であったが, Auer rodの出現や, t(8;21)転座の確認によりleukaemiaの確定診断となる.

 

#br 

Case presentation

Case02 KS case 22yo female 末梢血に芽球出現. 約60%にAuer rod(+)

骨髄組織所見

File not found: RUNX1-HE01_s.jpgFile not found: RUNX1-HE02_s.jpgFile not found: RUNX1-ASD01_s.jpgFile not found: RUNX1-ASD02_s.jpg
HE lpfHE hpfNaphtol-ASD-CAE染色Naphtol-ASD-CAE染色
 

bone marrow clot section

Pathological Dx.
prominent hypercellular marrow showing diffuse proliferation of blasts and hematopoietic hypoplasia; AML with RUNX1-RUNX1T1(WHO4th ed.), AML-M2 type.

cellularity >95%の著明なhypercellular marrow. 正常造血像はほぼ消失,赤芽球血島形成はなく赤芽球が散在する. Mgkも減少. Mgk ≦1/mm^2. 均一なサイズの類円形および卵円形核をもつN/C比大の細胞がシート状密に増殖する. 中心性の明瞭な核小体をもつ細胞が多い. 芽球増加を考える所見. 細胞の境界は明瞭.
HE, hpfの組織像では細胞質は好酸性で微細な顆粒をもつようである. Naphtol-ASD-CAE染色では赤染しない芽球の他に, わずかな細胞質が赤紫色調にみえる芽球や細胞質が強く赤染する幼若な顆粒球系細胞(promyelocytic, myelocytic)への分化が見られる. ~組織所見では,AML with maturation, M2を考える. hpfで好酸球集簇が認められるようです.

白血病キメラ解析検査により, RUNX1-RUNX1T1が検出された1.2x105; copy/μg RNA. FLT3-ITD, MPN1遺伝子変異は陰性.

 
 

Core-binding factor(CBF) acute myeloid leukaemia; CBF-leukaemia

RUNX1-RUNX1T1 (以前の AML1-ETO fusion)

t(8;21)(q22;q22)および inv(16)(p13.1;q22)/ t(16;16)(p13.1;q22)の染色体異常をもつ急性骨髄性白血病AMLはそれぞれRUNX1-RUNX1T1, CBFB-MYH11融合遺伝子によるfusion product proteinが 転写因子RUNX1とCBFβにより構成されるcore-binding factor(CBF)の正常機能を消失させることでAML発症に関連すると考えられている. これらのAMLは上記の機序により, CBF-AMLと呼称される. *7*8

RUNX1-RUNX1T1.jpg

RUNX1

RUNX family transcription factor 1 @chromosome 21q22.12 Exon count: 13
別名: AML1; CBFA2; EVI-1; AMLCR1; PEBP2aB; CBF2α; AML1-EVI-1; PEBP2α

''正常造血に重要な転写制御因子, RUNX1は,コア結合型転写因子のαサブユニットの1つをコードし,造血,骨髄分化,血小板機能において重要な役割を担う.*9
CBFは多くのエンハンサーおよびプロモーターのコア要素に結合するため, RUNX1の異常により標的遺伝子の転写が抑制され白血病がおこると考えられている.

RUNX1T1

RUNX1 partner transcriptional co-repressor 1provided @ 8q21.3 Exon count:20 別名: CDR; ETO; MTG8; AML1T1; ZMYND2; CBFA2T1; AML1-MTG8

DNA結合転写因子と相互作用して転写抑制を促進するために一連のコリプレッサーを動員する骨髄性トランスロケーション遺伝子ファミリーのメンバー[RUNX1T1 homolog familyの MTG16(myeloid translocation gene on chromosome 16), MTGR1(myeloid translocation gene-related protein1)]をコードする.

遺伝子産物は4つのNervy homolog domain(Nervy homology regions(NHR)1~4)を構成する.

正常組織の多くに発現するが, なかでも脳と心臓に多く発現しangiogenesisに関わっている. 2

#ref(): File not found: "CoreBindingFactor-leukaemia02.jpg" at page "AML with t(8;21)(q22;q22); RUNX1-RUNX1T1"

 

Familial platelet disorder with predisposition to myeloid malignancy/ leukemia,FPDMM-Germline RUNX1 mutations

生殖細胞系列のRUNX1変異は血小板減少, MDS/AMLを主徴とする家族性症候群である家族性血小板障害 familial platelet disorder with propensity for myeloid malignancy(FPDMM)をきたす. FPDMM (OMIM #601399)は,生殖細胞系列のRUNX1突然変異の存在によって遺伝的に定義される常染色体顕(優)性遺伝の疾患であり,様々な浸透率(*)を示す。


*1  木崎昌弘,田丸惇一編集,押味和夫監修:WHO分類第4版による白血病・リンパ系腫瘍の病態学.中外医学社,東京,2009
*2  小児白血病・リンパ腫の診療ガイドラインwww.jspho.jp/pdf/guideline 急性骨髄性白血病 AML http://www.jspho.jp/pdf/guideline/llgl11_06.pdf
*3  特集造血器腫瘍の層別化すべき病型とその診療 血液内科 2020 80(4)
*4  朝長万左男編集:染色体異常の基礎と臨床.医薬ジャーナル社,東京,2006
*5  Atlas of Genetics and Cytogenetics in Oncology and Haematology. http://atlasgeneticsoncology.org//Anomalies/tO8211ID1019html
*6  Nishii K et al. Characteristics of t(8;21) acute myeloid leukemia(AML)with additional chromosomal abnormality:concomitant trisomy 4 may constitute a distinctive subtype of t(8;21)AML. Leukemia. 2003 Apr;17(4):731-737.
*7  Arber DA, et al. The 2016 revision to the World Health Organization classification of myeloid neoplasms and acute leukemia. Blood. 2016 May 19;127(20):2391-405.PMID: 27069254
*8  Paschka P, Doehner K Core-binding factor acute myeloid leukaemia; can we inprove on HiDAC consolidation? ASH Education Program Book 2013: 209
*9  Schmit JM, Turner DJ, Hromas RA, et al.Two novel RUNX1 mutations in a patientwith congenital thrombocytopenia thatevolved into a high grade myelodysplasticsyndrome. Leuk Res Rep. 2015;4(1):24-27.

トップ   新規 一覧 検索 最終更新   ヘルプ   最終更新のRSS