Wikipathologica-KDP
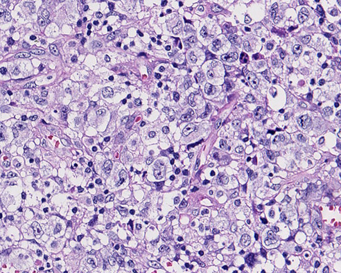
ALK-positive ALCL-Case02
Anaplastic large cell lymphoma, ALK-positive [ 4th WHO classification ]†
anaplastic large cell lymphoma (ALCL), ALK-positive は4th WHO classificationによれば,
[広い細胞質と多型の, しばしば馬蹄形(または腎臓様)の核をもつ通常大型のリンパ球様細胞からなり, ALK遺伝子の転座とALKおよびCD30が陽性となるT-cell lymphoma(T細胞腫瘍)。]と定義されている。
とりあえず、ALCLは T細胞、NK細胞あるいはNull細胞由来でB細胞のものは含めない。別物として扱う。---> ALK-positive diffuse large B-cell lymphoma
WHO blue bookではnormal counterpartとして activated mature cytotoxic T-cellが記載されている。
疫学および臨床事項†
- 成人Non-Hodgkin's lymphomaの約3%. 小児リンパ腫では10-20%をしめる。
- 30歳以下の若年者に多く、発症年齢中央値は21歳。男女差が若干認められる(男:女= 1.5:1.0)
- 節性、節外性いずれの病変も認められ, リンパ節では頸部、鼠径部リンパ節がとられることが多い。
- 節外臓器では, 皮膚、骨、軟部組織, 肺, 肝など。腸や中枢神経の病変はまれである。
- 骨髄病変はHE診断では10%であるが、免疫染色を追加すると頻度は高くなる(30%)。しばしば病変がみつけにくい。
- small cell variantでは末梢血合併症としての白血病発症が報告されている。
- 縦隔病変はホジキンリンパ腫にくらべはるかに少ない。
- 診断時の病期はIII-IVが多く(70%), B症状、とくに高熱が指摘される。
- 臨床経過は遷延性で、化学療法に反応性もよく, 完治する例が多い。若年者のリンパ腫でALCLはきちんと正確に診断する必要がある(中村栄男Dr談)
- 5生率は80%. ALK陰性は48%. 小児例をのぞくと, ALK陽性(60%), 陰性(36%)若干低下する。
- 再発割合は30%.
- ALK-postive small cell variantでは進行した症例が多く, 相対的に予後不良とされている。
- ALK遺伝子の転座あいてによる予後の差異は見出されていない。
病理形態学的所見†
- 馬蹄形(偏心性), 腎臓様, またはドーナツ状などの核をもつ目印細胞「hallmark cells」をさがす。
- hallmark cellsは通常大型であるが、小型のものも存在する。
- しばしば核近傍に好酸性のゴルジ野が見つかる。(CD30, ALK染色などで陽性となる)
- 形態学的亜形が存在することに注意。小型腫瘍細胞からなるものから巨核あるいは花環状の多核細胞からなるものまである。
- 形態にかかわらず核クロマチンは繊細で、あまりめだたない。(明るい核が多い). 核小体は複数個で不規則。
- リンパ節内では実質内にびまん性分布をしめす。しばしば類洞浸潤が特徴的。
- 腫瘍細胞は結合性,粘着性で, organized patternをとって増殖し, 未分化癌や悪性黒色腫の転移と誤診断することがある。
- 背景に好中球浸潤, 形質細胞浸潤を伴うことあり。 好酸球浸潤や類上皮細胞反応はまれ。
形態学的亜型
- リンパ組織球型(lymphohistiocytic pattern); 10%
- 小細胞型(small cell variant); 5-10%
- 類ホジキン型(結節硬化型Hodgkin lymphomaと区別困難)
immunological phenotype†
- CD30陽性(Ber-H2/ ki-1), ALKが陽性。
- EMAや唐鎖抗原のBNH9が高率に陽性となる。
- CD25, CD71が高率に陽性
- bcl-2, CD15, EBER-ISHは陰性。
- CD3は75%以上の症例で陰性であり、CD2, 5, 4などがより有用なマーカである(70%に陽性)。これらのlineage markerが染まらない, Null細胞もある。
- Null細胞はT-cell抗原を示すものとなんらかわることなく、T/Null ALCL, ALK-postiveはひとつの疾患単位として扱う。
- 基本的にgranzymeB, TIA-1, perforinなど細胞障害性分子が発現している。
- CD8はほとんどが陰性、しかしCD8陽性症例の報告もある。
- TCR遺伝子再構成がしばしば証明される。この一部ではCD56陽性となり, 陰性例に比べ予後不良とされる。
- 従来報告された, clusterin, SHP1 phosphatase, BCL6, W/EBP, fascinなどの診断的意義は低い。
ALCLに対する標準的治療は確立されていない。一般的にPTCL(peripheral T-cell lymphoma), NOSと同様の治療がおこなわれている。
化学療法
- ALCL, ALK-postiveに限定した前方視的治療研究はほとんどない。
- CHOP, その類似療法のretorospective な成績では, ALCL, ALK-negativeやPTCL, NOSに比べて良好な治療成績である。
- Suzuki et al; 5年OS(overall servival)割合はALCL,ALK-positveは約70%. ALCL-ALK-negativeは約40%
- Falini B et al; 78例(87%にCHOP): 5年OS, ALCL,ALK-positveは約71±6%, ALK陰性ALCLは15±11% (p<0.0007)
- Gascoyne et al; ほとんどすべての症例にanthracycline系薬剤を含む多剤併用療法がおこなわれ, 5年OS, ALCL,ALK-positveは79%, ALK陰性ALCLは46% (p<0.0001)
- 以上ALK陽性ALCLに対してはCHOP療法により約70-80%に長期生存が得られると考えられる。
- IPIのhigh/ high-intermediate risk群ではALK+, (-)両群ともに5年OS割合が30%以下とCHOP治療では予後不良の結果である。
フランスGELAグループでは, 3コースACVBP(doxorubicin, cyclophosphamide, vindecine, bleomycin, predonizone)療法後, 高用量methotrexate, ifosfamide, etoposide, L-asparaginase, cytarabin, あるいはm-BACOD(methotrexate, bleomycin, cyclophosphamide, etoposide)療法8コースを138例のALCLに施行。
- T/null細胞性(82例), B細胞性56例でhigh-intermediate/ high リスクが46例含まれる
- CR(complete remission完全奏功)はT細胞性69%, null細胞性64%で5年OSはALCL66%, 非ALCL(DLBCL)48.3%と有意にALCLは予後良好であった。
- 細胞形質別の検討で有意差はみられなかった。
Cases: Anaplastic large cell lymphoma, ALK-positive†
1.20歳男性 鼠頸部リンパ節 --->PathologyAtlas-ALK-positive ALCL 第4回血液病理研究会提示症例
2.31歳男性。 頸部リンパ節腫大(胸腺腫瘤が最大病変) --->症例ページ
3. 30歳男性。 開腹リンパ節生検 腹膜リンパ節 --->症例ページ
4. 10歳小児 小腸リンパ腫、ALK-positive. --->症例ページ
5. 34歳男性。 腹膜リンパ節腫大
6. 49歳男性。 特殊問題症例。 ALK陰性ALCL, biphagic leneage?