Wikipathologica-KDP

Behçet disease

DrHulusiBehcet.jpg

トルコイスタンブール大学皮膚科教授Hulusi Behçetにより口腔・外陰粘膜再発性アフタ皮膚症状(座瘡様発疹, 毛包炎, 結節性紅斑様皮疹など), ぶどう膜炎のいわゆる3主徴を繰り返す疾患として提唱された。

症状は皮膚粘膜, 眼に限局するものではなく, 神経系, 血管系, 腸管系にも血管反応, 血管炎をおこす。関節, 精巣上体も侵すことがあり症状は多彩である。全身諸臓器に発作性急性炎症を繰り返し、慢性に経過する原因不明の疾患。1972年から厚生省特定疾患難病に指定されている。

Behçet病のように皮膚粘膜眼病変を示す疾患には

1991年実態調査では本邦の推定患者数は約18300人(14.9人/人口10万). 2002年調査での推定患者数は150000人と1972年の初回調査以来初めて減少に転じている。特定疾患に指定された当初は男性に多いとされ男女比は1.2: 1であったがその後女性患者が増加し1991年には男女比は0.96: 1と女性が多くなっている。重症特殊病型である神経Behçet, 血管Behçet, 腸管Behçet病では男性の割合が高い。

本症の発症とHLA-B51が密接に関連することが指摘されているがその陽性率は53.8%(完全型58.2%, 不全型51.0%)と高くない。

口腔内アフタ, 眼症状, 皮膚症状, 外陰部潰瘍の4症状がすべて揃った完全型の症例数は減少し主症状の一部を欠く不完全型の割合が増加している。また最近では発熱をきたす患者が増加し,高熱とともに種々の症状が同時に出現してBehçet病と診断される症例が目立つ。
患者の経過では緩徐または急激に悪化する例は減って, 軽快例が多くなっている。

Behçet病の主症状のとらえかた*1

A. 主症状

B. 臓器病変と合併症

1. 関節炎

2. 副睾丸炎

3. 消化器病変(腸管Behçet)

4. 血管病変(血管Behçet)

5. 神経病変(神経Behçet)

Behçet病の診断には1987年改訂の厚生省診断基準が用いられる。ひとつひとつの主症状と副症状の有無を確認すること, 他疾患の除外が重要。

  • 発症当初からすべての症状が揃うことはまれで種々の症状が経時的に出没することが多い。
  • 主症状4つがそろうものを完全型、それ以外を症状の数に応じて不全型・疑いと分類する
  • 鑑別診断で重要なものは, Reiter症候群, Sweet病, サルコイドーシス, 痛風, Crohn病, 潰瘍性大腸炎, Buerger病, 多発性硬化症(神経Behçet例)など
  • 針反応(pathergy test), HLA-B51陽性, 炎症反応(ESR, CRP, leukocytosis)は参考検査所見。

Behçet病が考えられた患者さんの下肢紅斑

30歳代後半男性

Behcetloupe.jpg

両側下腿に爪甲大から鶏卵大の圧痛を伴う紅斑が出現する。同時に陰嚢潰瘍、口腔内アフタも出現した。

 

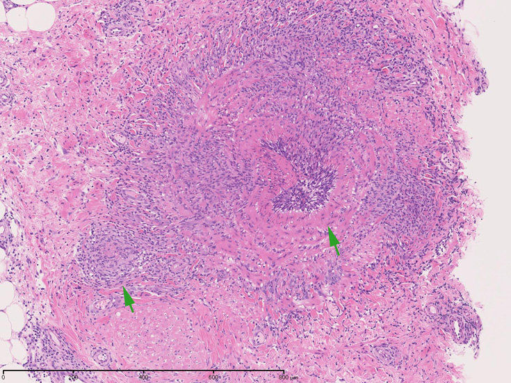
皮膚の血管(静脈・細動脈)病変、脂肪織炎 (サムネイルをクリックすると大きな画像が見られます)

Bec01.jpg
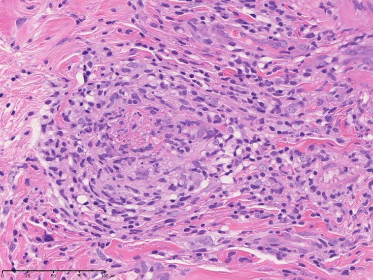
fibrinoidnecrosis01.jpg
vasculitisYa.jpg
fibrinoid necrosis
obstruction.jpg

#ref(): File not found: "fibrinoidnecrosis02.jpg" at page "Behçet disease"

#ref(): File not found: "Bec03.jpg" at page "Behçet disease"

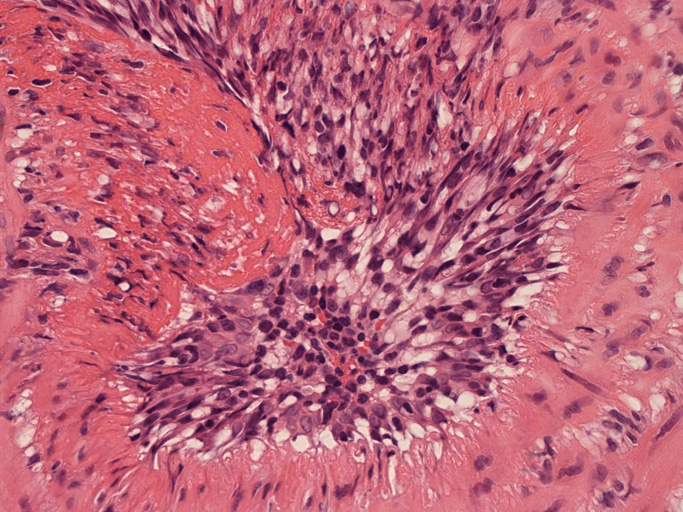
fibrinoid necrosis(拡大)

#ref(): File not found: "Bec04.jpg" at page "Behçet disease"

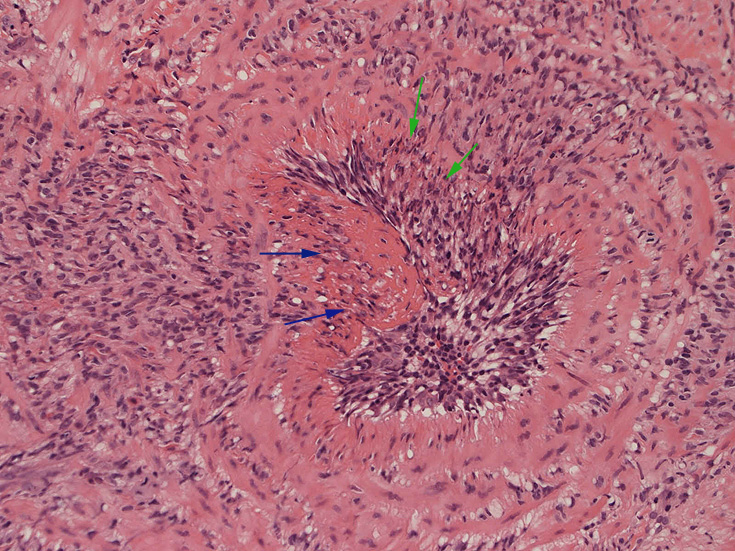
Bec05.jpg

#ref(): File not found: "vasculitisEVG.jpg" at page "Behçet disease"

#ref(): File not found: "EVG02.jpg" at page "Behçet disease"

#ref(): File not found: "EVG03.jpg" at page "Behçet disease"

EVGEVGEVG
 
 

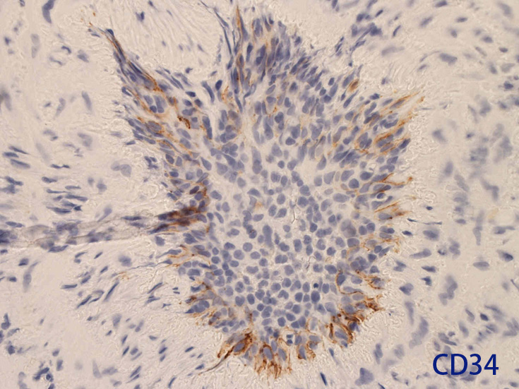
免疫染色:血管腔を閉塞する細胞の多くはCD68, CD163陽性細胞. CD34陽性内皮が保たれている。

CD68lpf.jpg
CD68hpf.jpg
CD163.jpg
CD34.jpg
CD68CD68CD163CD34

*1 広畑俊成 膠原病診断と治療の進歩 Ⅱ診断と治療の実際 10Behçet病 日本内科学会雑誌 96(10); 100-105, 2007
*2 Hirohata S., et al. Behçet disease Arthritis Res Ther. 2003;5(3):139-46. Epub 2003 Apr 2.

トップ   新規 一覧 検索 最終更新   ヘルプ   最終更新のRSS