Wikipathologica-KDP

静岡病理医会

頚部リンパ節腫大の1例 227回SPS 症例08

浜松医大第二病理学講座 小杉伊佐夫

LNloupe01.jpg
skinloupe01.jpg

47歳男性. 全身リンパ節腫大と体幹湿疹
頚部リンパ節腫大に気づく。同時期にφ0.5mmほどの点状紫斑をともなう褐色局面が出現する。4ヶ月後全身リンパ節が腫大。精査のため受診。

リンパ節病理組織所見

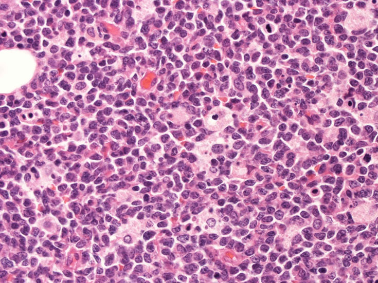
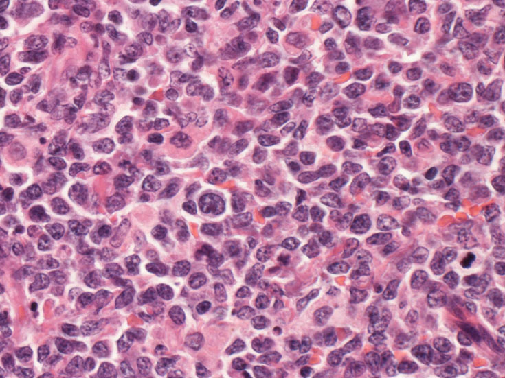
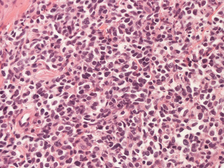
罹患リンパ節の基本構造は消失し腫瘍細胞のびまん性増殖で置換されている。非腫瘍性の小リンパ球(CD3+, CD4/8+)が濾胞様に散在して残る(Fig.01)。不整型または類円形の明るい核をもつmedium-sizeのリンパ球様細胞が密に増殖している。細胞質は乏しい(Fig.02)。CD68陽性macrophageが多く混在する部分が認められた(Fig.03)。

residualfollicle01.jpg
tcells01.jpg
tandm01.jpg
Fig.01Fig.02Fig.03

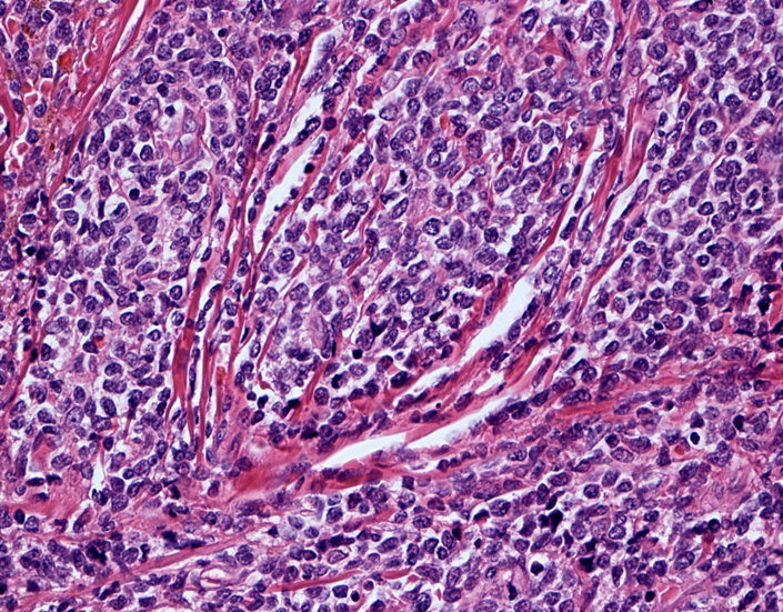
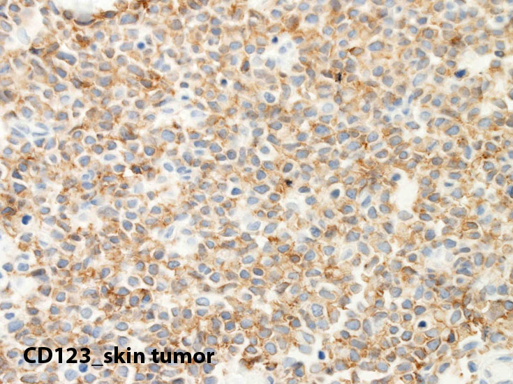
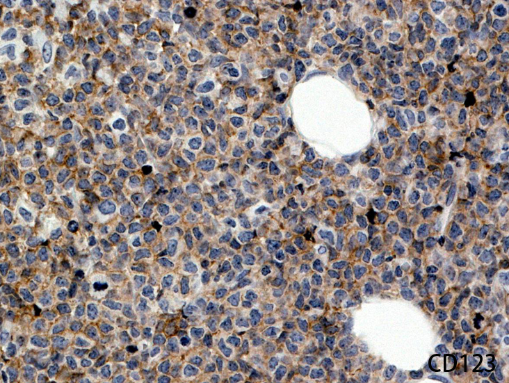
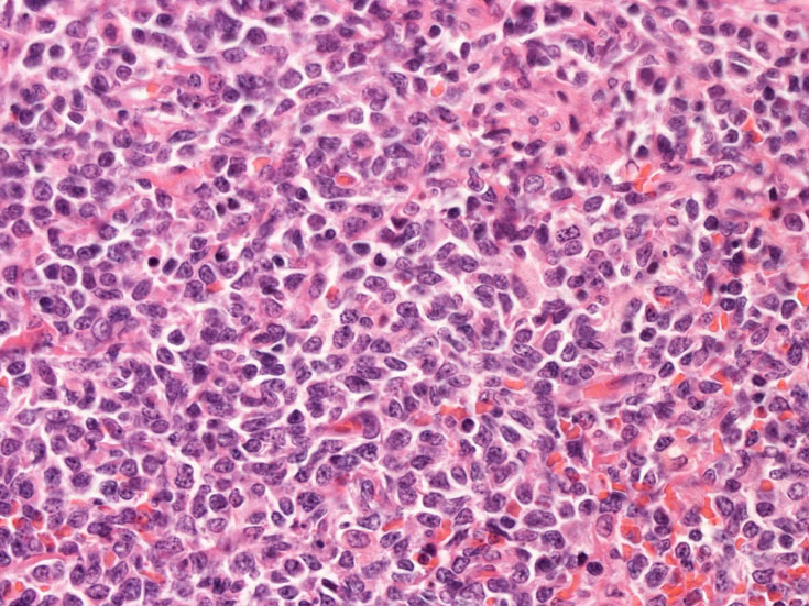
Fig04, Fig05は腫瘍細胞の拡大像。大型異型細胞の出現が認められる。腫瘍細胞はCD4+, CD56+, CD123+(Fig.06)

tcells02.jpg

#ref(): File not found: "tandm02.jpg" at page "Blastic plasmacytoid dendritic cell neoplasm"

CD123a.jpg
Fig.04Fig.05Fig.06 CD123
 

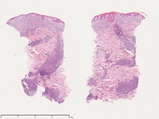
皮膚生検組織病理所見

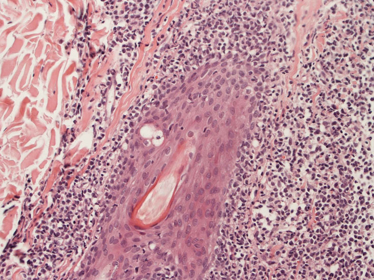
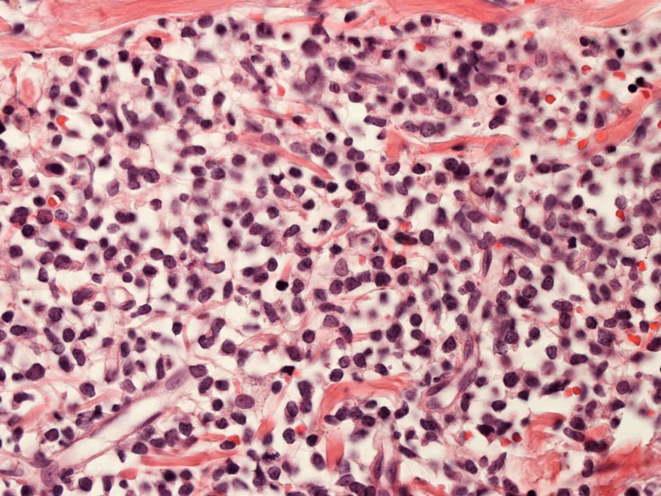
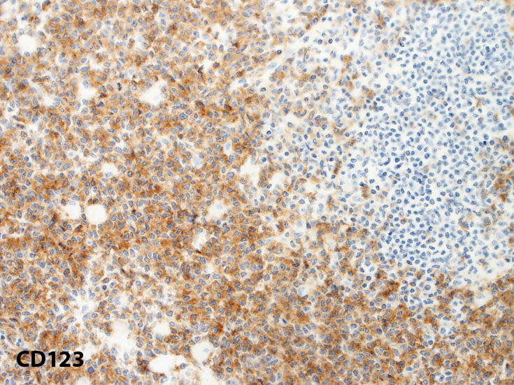
真皮, 毛嚢周囲, 皮下組織にびまん性または結節様に異型細胞の浸潤増殖が認められる(Fig.07)。表皮への浸潤は認められない(Fig.08)。真皮上層への浸潤細胞は類円形,多角形のhyperchromatic nucleiをもつ。細胞質は明るくclearに見える(Fig.09)。毛嚢周囲に浸潤する細胞はリンパ節への浸潤細胞と同様の形態を示す(Fig.10, 11). 腫瘍細胞はCD123陽性を示した(Fig.12)

skinloupe01.jpg
skin_01.jpg
skin_02.jpg
Fig.07Fig.08Fig.09
skin_03.jpg
skin_04.jpg
skin_CD123.jpg
Fig.10Fig.11Fig.12

Speaker's Diagnosis: CD4+, CD56+ hematodermal tumor

CD4+, CD56+ Hematodermal tumor

Synonyms

疾患概念

1990年代, 皮膚, 骨髄, リンパ節を侵すT細胞およびmyeloidマーカ陰性でCD4陽性/CD56陽性を示すリンパ腫様腫瘍はNK細胞由来と考えられ1999年のWHO分類において, blastic NK-cell lymphomaとされた。しかしCD56はNK cellだけのマーカではなく, CD4陽性を示すこともNK cell lineageの腫瘍として典型的ではないことからNK-cell由来とすることが問題視されていた。またNK-cell neoplasmに高頻度に見られるEB virus感染も陰性症例がほとんどであった。皮膚に浸潤したCD4+/CD56+ 腫瘍とaggressive NK-cell leukemia/lymphoma, precursor NK-cell leukaemia/lymphoma, CD56+ acute myeloid leukemiaらの概念との異同も解決されていなかった。

1999年 Petrellaらにより本腫瘍をcutaneous CD4+/CD56+hematolymphoid neoplasmと呼称しNK cell lineageとは関連がない一疾患単位であることが提唱された。*1 さらにplasma cytoid dendritis cell(pDC)についての研究が進展し, pDCに発現するCD123やTCL1が本腫瘍細胞にも陽性を示すと報告され, plasmacytoid dendritic cell由来の腫瘍としてCD4+/CD56+ hematodermic tumors (CD4+/CD56+ HDT)plasmacytoid DC neoplasms(DC2omas), plasmacytoid DC leukaemia/lymphomaとして一疾患単位として扱われるようになっている。

What's New
...と, この腫瘍の由来について「もう決まりなんじゃないの!」と理解していたところ, 第50回リンパ網内系学会シンポジウムで 「CD4+/CD56+ hematodermal tumorの由来は現在不明であるとしておくべきである」という発表を聴きました。(第50回日本網内系学会総会シンポジウム2 名古屋大学 鈴木律朗)

組織病理所見

graphHDT01.jpg

CD4+, CD56+ HDT初診時の病変分布*2

1. 57%--皮膚病変のみ
2. 21%--皮膚+リンパ節病変
3. 11%--皮膚+骨髄
4. 4% --皮膚+リンパ節+骨髄
5. 7% --白血病化

皮膚病変

リンパ節病変

骨髄病変

臨床事項*3

症例02

70歳代男性
前額部および頬の発赤を伴う隆起に気づく. 3ヶ月の間に皮膚病変は胸部ほか体幹に急速に広がった。

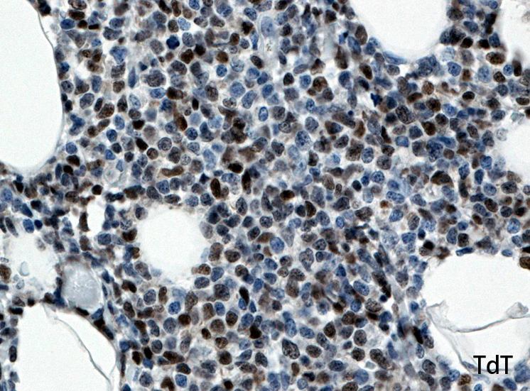
Pathological Diagnosis: Blastic Plasmacytoid Dendritic Cell Neoplasm

fig02.jpg
fig04.jpg
fig05.jpg
CD56.jpg
CD123.jpg
TdT.jpg
CD56CD123TdT

*1 Petrella T et al. Am J Surg Pathol. 1999; 23: 137-146
*2 Am J Clin Pathol 2005;123:662-675
*3 Am J Clin Pathol 2007; 127: 687-700
*4 J.Immunol. 1999; 163: 1409-1419
*5 Blood. 2001; 97: 3333-3341

トップ   新規 一覧 検索 最終更新   ヘルプ   最終更新のRSS