Burkitt lymphoma

Burkitt lymphoma

Burkitt's lymphoma--症例01

livertumor.jpg

72歳 男性
腹部膨満感で他院を受診. 黄疸と心窩部腫瘤を触れCTでは管内胆管の拡張と左葉の腫瘤を認めた。精査治療のため当院消化器内科を紹介される。 ENBD留置などの処置で減黄を行う。ERCPによる胆汁細胞診では少数のatypical lymphcytesを認めるが確診できず。肝生検をおこなった。
既往歴:1年前肝右葉の肝膿瘍。ドレナージで治癒。組織の採取は行っていない。

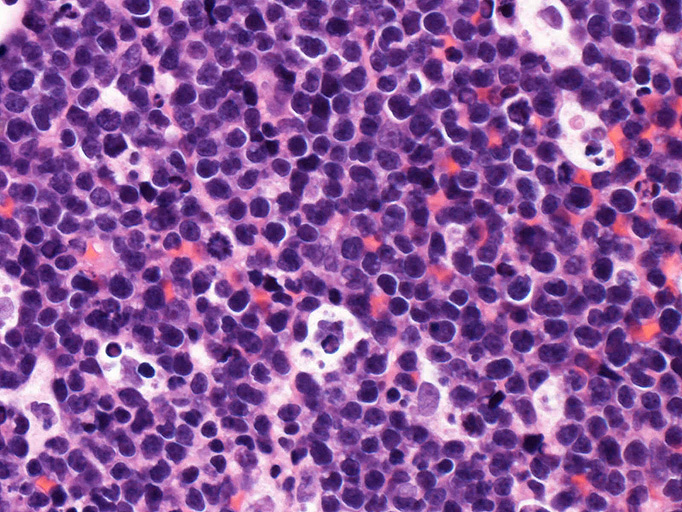
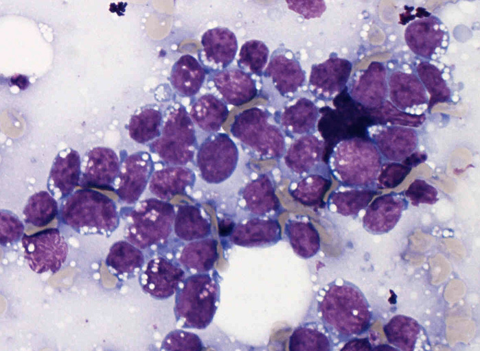
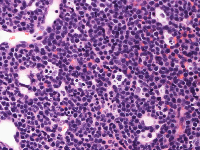
組織・細胞病理所見

エコーガイド下肝腫瘤針生検組織

尾状葉の腫瘍から16G, 11mm穿刺針で5mm, 2mmの組織を採取した。2mmの組織は線維組織と肝組織で腫瘍細胞を含んでいなかった。穿刺針洗浄液をkaryotypeに提出する。

kif01.jpg
kif02.jpg
kifcell.jpg
liver biopsy x10liver biopsy x20生検組織スタンプ標本

Virtual Slideをみる--->肝左葉腫瘤針生検組織片 右クリックで新しいウィンドウで開くと便利です。Sign as guestでログインして下さい。

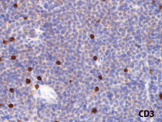
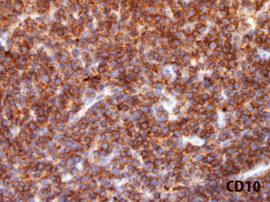
免疫染色とISH

kifCD20.jpg
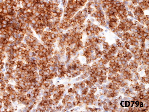
kifCD79a.jpg
kifCD3.jpg
kifCD10.jpg
CD20CD79aCD3CD10
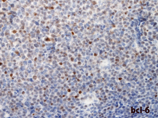
kifbcl6.jpg
kifKi67.jpg
kifEBV.jpg
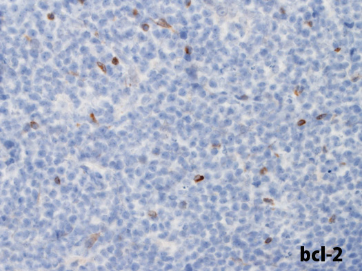
kifbcl2.jpg
bcl-6ki-67EBER-ISHbcl-2

mm


トップ   新規 一覧 検索 最終更新   ヘルプ   最終更新のRSS