Wikipathologica-KDP
PathologyAtlas VSリンク有効
Chronic lymphocytic leukaemia/small lymphocytic lymphoma†
CLL/SLL症例01†
65歳男性
いびきがひどく, 他院耳鼻咽喉科を受診する。睡眠時無呼吸症候群と診断されて治療をうけていたところ扁桃腫大が認められ当院を紹介され受診する。扁桃および咽頭腫大, 頸部リンパ節腫脹あり。扁桃,上咽頭の生検では腫瘍病変なし。末梢血でWBC11300/μl, lymphocyte 71.3%, LDH180, sIL-2R 1550, 悪性リンパ腫が否定できず頸部リンパ節生検を行った。
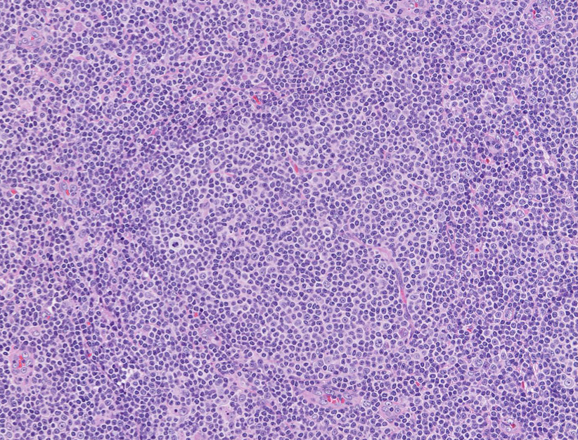
頸部リンパ節では, 正常構造は消失し, びまん性小型リンパ球の密な増殖ありproliferation center様構造が散在する。CD20,CD19,CD5,CD23,CD25陽性。cyclinD1陰性。lambda light chain 陽性細胞98%, 核間期細胞FISHで13q14.3単一シグナルが38%の細胞に検出(monosomy 13)された.
Virtual Slideを見る--->頚部リンパ節
File not found: HE05-CLL_s.jpg File not found: HE04-CLL_s.jpg
クリックすると大きな画像が見られます。
CLL/SLL症例02†
50歳代女性
かかりつけ医で白血球増多を(20000/μl)を指摘される。全身症状, 貧血なし。精査でchronic lymphocytic leukaemiaと診断される。経過観察を受けていたが白血球数が次第に増加し、頸部に腫瘤が出現するため生検をおこなった。
Virtual Silideを見る--->頸部リンパ節
CLL/SLL--疾患の解説†
成熟小型Bリンパ球のびまん性増殖からなる腫瘍。
- しばしばprolymphocyteあるいはparaimmunoblastの結節性集蔟巣(pseudofollicle)を混在する。
- 腫瘍細胞は通常CD5+, CD23+で単クローン性増殖を示すが, apoptosisの機構を回避することで腫瘍性細胞が蓄積しており(bcl-2を強発現する), その増殖能は低い。
- Normal counterpartの細胞は独自の分化増殖をするCD5+B細胞とする説と,単に活性化されたB細胞由来でCD5+は結果とする, 2つの説がある。前者のCD5+B細胞は, マウスB-1a細胞に相当し人では成人末梢血の5-30%を占め, リンパ節では一次濾胞や胚中心の暗殻に存在する。
- 殆どの症例は診断時に末梢血・骨髄に浸潤がある。非白血化例はsmall lymphocytic lymphoma, SLLと呼ばれる.
欧米では全白血病の20-30%を占める高頻度のリンパ球系腫瘍であるが, 日本では1.3%-6%と少なく, 人種により発生頻度に差が見られる。年齢中央値65歳, 60-80歳に多い。30歳以下には発症しない。男女比は2:1, 臨床病期I/IIの症例は, 6%とごくわずかで73%に骨髄浸潤が認められた。5年生存率は51%.
Diffuse large cell lymphomaなどのhigh-grade lymphomaへの移行することがあり, DLBCLへの移行はRichter's syndromeとして知られている。
組織像・組織所見†
- リンパ節正常構造は小型成熟リンパ球の単調でdensなびまん性増殖によりぼぼ全体にわたり消失する。
pseudofollicleまたはproliferation center
- CLL/SLLの組織学的Hallmarkで,90%以上の症例に出現するとされる
- 弱拡大では, 暗調で均一な背景の中に境界の不明瞭な, または癒合する, やや明るい類円形の領域が視認できる.
この部位ではやや広めの細胞質と明瞭な中心性核小体を特徴とするparaimmunoblastと, 同様の形態でわずかに小型のprolymphocyteと呼ばれる腫瘍細胞が集蔟する場所である。
- 背景の暗調領域を構成する細胞は小型で非腫瘍性小型リンパ球との区別が困難であるが, 正常リンパ球より一回り大きめのことが多く, 核クロマチンのclumpingのため核内構造が見えやすい印象がある。小さな核小体を持つ場合もある。
診断時に, しばしば骨髄病変が認められる。SLLの骨髄浸潤のパターンはほとんど常にNodular pattern. 一方CLLはnodular, interstitial, diffuseまたはmixedと多彩である。
鑑別診断
- Proliferation centerはSLLに特異的な所見であり, 診断に際してはこの同定が最優先される。見つからない場合はSLLの診断は慎重でなければならない。
- Proliferation centerが結節状を呈し, Follicular lymphomaやMantle cell lymphomaと鑑別が紛らわしいことがある。しかし, ほとんどの場合は結節部の構成細胞形態や免疫染色の結果(CD5, CD10, CD23, CD43, cyclinD1)から鑑別が可能である。
Richter's syndrome (Aschoff-Haus症例)†
- CLL/SLLのLarge cell lymphomaへのtransformation症例
- transormしたDLBCLのほとんどがよりaggressiveなpost-germinal center type (ABC-type)である*1
- CLLの3-15%の症例に発症, おおむねCLLの診断後1.8~5年以内に発症*2
- 累積発症率は5年で10%以上, 10年で15%以上とされる*3
- 必ずしも進行したCLLではなくCLL初診時に重症の症状を示し突然に発症する例もある.(CLLは無症状のためリンパ節腫大が目立つまで医療機関を受診しないことも関係していると考えられる).
- extranodalに大きな腫瘍を形成することが多い。急激な経過をとり平均生存期間は1年未満である。
- immunoblastic cellや多型細胞が出現する。plasmablastic lymphoma typeの報告*4あり.
Richter症候群
New York University Medical centerの病理学教授 Maurice N. Richter先生が, lymphatic leukemiaに関連するreticular cell sarcoma(現在のDLBCLに相当)を発症した45歳男性症例を1928年, Am J Patholに報告。
彼自身はCLLからの進展に言及していないが, Lortholaryら*5がCLL14例のDLBCLへのtransformationをまとめRichiter症候群と命名している。*6
Virtual Slideを見る--->鼠径部リンパ節, 部分 (右クリックで新しいタブで開くと便利です)
Richter's syndromeの他, CLLは
- Prolymphocytoid
- Paraimmunoblastic variant
- Acute lymphoblastic leukaemia or Burkitt lymphoma/leukaemia
- Multiple myeloma
- Hodgkin lymphoma*7
などへのtransformationをきたすことがある。
右組織図はRichter syndrome (クリックで大きな画像が見られます)