Wikipathologica-KDP
PathologyAtlas
Castleman disease†
1956年Dr. Benjamin Castlemanらは著しい血管増生と胸腺Hassal小体に似た小さな胚中心をもつ異常濾胞が特徴の限局性リンパ節過形成をきたす疾患を報告した。
Castleman B., Inverson,L., Menendez V.P.: Localized mediastinal lymphonode hyperplasia resembling thymoma. Cancer 1956, 9: 822-830
その後症例が集積されCastleman diseaseはリンパ節組織の病理組織所見から大きく下記の2型に分類される。
Keller, A.R., Hochholzer, L., Castleman, B.: Hyalin-vascular and plasma cell types of giant lymph node hyperplasia of the mediastinum and other locations. Cancer 1972, 29: 670-683
1. 硝子血管型hyalinevascular type(HV型):硝子化と血管内皮細胞増殖を伴う著しい血管新生が認められる
孤立性の腫瘤を形成し, IL-6高値に伴う全身症状を伴わない.
近年HV型CDにおいて, 濾胞樹状細胞や細胞遺伝学的異常や, 単クローン性が報告されている. *1*2*3
2. 形質細胞型 plasma cell type(PC型):増加を示す濾胞間にびまん性密に多クローン性形質細胞浸潤が認められる。
この2種類の組織型は症例ごとにさまざまな割合で混在している。全例に共通なのはたくさんのリンパ濾胞が出現していること。
Kellerらは形質細胞型腫瘤には限局性と全身性があり、全身性では発熱などの臨床症状があらわれるが、腫瘤を切除すると治ると報告している。
腫瘤は腫大したリンパ節で大きさは<3cm。
3. 第3の型として, 1,2の組織型が混在するリンパ節過形成が広範囲におよび, 全身症状の顕著な症例がCastleman diseaseに含まれる。
全身症状は, B symptoms(発熱, 盗汗,るいそう), 急性期反応物質増加, 多クローン性γ-globulin増多, 自己免疫症状など。この型は現在一般的にmulticentric Castleman disease(multicentric CD)と呼ばれる。
Castleman diseaseと, よんでいる疾患は以下の3つの全く異なった病態をひとつにまとめていっているだけ。(小島勝 No8リンフォマニアの会, 2018)
- 1.硝子血管型(Hyaline vascular type); 無症状で孤立性の腫瘤を形成する.
- 2.形質細胞型(Plasma cell type); ideiopathic plasmacytic lymphoadenopathy (IPL). 孤立性にせよ, 全身性病変にせよIL-6が関与する可能性が高い.
- 3.混合型(Mixed type); 全身性疾患でしばしば特異な臨床症状を呈する(TAFRO症候群. Castleman-Kojima disease)
Castleman diseaseの病理†
局所型CDの90%はHV type, 10%がPC type.
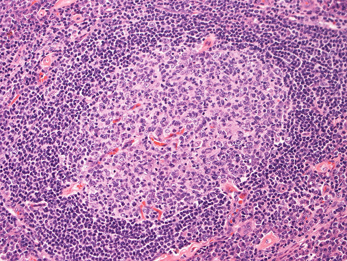
硝子血管型 hyaline vascular type: 臨床症状に関係なく3つの病理組織所見で診断が決まる。*1
1. 萎縮した胚中心をもつ異常な血管増生を示すリンパ濾胞
2. 濾胞間リンパ組織も血管増生に富む
3. 被膜は肥厚し, 少なくとも病変中心部ではsinuses(リンパ洞)を欠いている。
- 肉眼的には弧在性腫瘤が最も多い。
- 濾胞と濾胞間組織の割合は症例によりさまざま。
- 濾胞は小型で周囲を広いmantle zoneで囲まれている。同心円状のよく発達したmantle zoneは「onion skin」と呼ばれる。濾胞は濾胞樹状細胞と進入血管の内皮から構成されている。ときに大型奇異,「異形」細胞が見られるが異常な濾胞樹状細胞と考えられる。
- 濾胞胚中心のみられない濾胞が発達した症例はHyaline-vascular lymphoid typeと呼ぶ。
- 濾胞内に複数の胚中心が出現することがある。[ one germinal center within a single mantle; twinningと呼ぶ]
- 濾胞間組織には非常に多くの細血管が増生する。平坦な内皮やHEVに似た内皮が出現する。細血管周囲に強い硝子化が見られることがある.
- 濾胞間の細胞は小型リンパ球が主でときに形質細胞, まれにはimmunoblastである。
- 濾胞間には血管周囲性硬化像やリンパ節実質の広範な硬化像がみられる. この特徴的硬化像がときにHV型の診断の手がかりになる.*4<--修正しました
- HV type CDの所見はHIV lymphadenopatyや AILDの「burnt out follicles」に見られる。
- Castleman's disease症例の10-20%にFDCSが発生する.ほとんどはhyaline-vascular typeであるがplasma cytic typeにも稀であるがFDCS発生の報告がある.
「広いmantle zoneの取り巻いた硝子化した小さな濾胞, 濾胞間は細血管でいっぱい」がkey word
形質細胞型 plasma cell type
- 肉眼所見では3-15cmで数個の独立した結節からなる病変。小さな周囲リンパ節を伴うこともある。
- HV型と異なり種々の症状や異常検査値を示す
- 低色素性貧血
- 多クローン性γ-globulin増加
- ESR亢進
- 骨髄異常--plasmacytosis, thrombocytosis
これらの異常は胚中心細胞の産生するIL-6のためと考えられている。患者さんの血清IL-6は高値のことが多く, 抗IL-6抗体が検出の報告もある。
- 腫瘤の切除により症状は消失し, 検査所見も改善する。
- HVとPC では病変の局在が異なる。PC typeは腹部, 小腸間膜に多く, ついで前縦隔に認められる。残りの少数例では末梢リンパ節。
IL-6 syndrome/ IL-6 lymphadenopathy†
multicentric CDに記載されるPC型の病理組織・臨床所見は多くの異なる疾患にもあてはまり, これらの組織・臨床症候群はIL-6の産生過剰が, 他のcytokineの異常をともなって惹き起こすと考えられるようになった。
IL-6 syndromeの組織・臨床症候群を呈する疾患
- Autoimmune disease
- Rheumatoid arthritis
- Sjoegren's syndrome
- SLE
- Mixed connective tissue disease
- HIV infection
- Human herpes virus-8 infection
- Kaposi's sarcoma
- Plasma cell dyscrasia, 特にPOEMS症候群
- その他腫瘍, 特にHodgkin's lymphoma
- その他;primary immunodeficiencies, glomerulopathy, skin disease
特発性 および 二次性に IL-6 syndromeを分類する
primary
- Castleman disease, PC型の組織像を呈する多発性, リンパ節腫大で他の疾患が除外できる。
- HHV8はKaposi's sarcoma, primary effusion sarcomaの原因とされるvirusでIL-6遺伝子のホモログ(virus 遺伝子配列の一部がヒトIL-6に相同している)を含む。産生蛋白はIL-6と協同し疾患の臨床病理所見をきたす。
- Non-HHV8-related
- HHV8-related
Secondary
- in HIV infection (with/without Kaposi sarcoma)
- in Kaposi's sarcoma
- in plasma cell dyscrasia
- in malignant lymphoma
- in autoimmune disease
- in other clinical situation
Castleman disease症例†
Case01†
87歳男性
発熱があり, 尿路感染症を疑われ受診をする。尿路感染症の所見はなく, 心不全による胸水貯留, 両側鼠径部リンパ節腫大,とくに右下肢に強い下肢浮腫が認められて精査治療のため入院となる。CRP7.9。検査の結果下肢静脈血栓症は認められなかった。治療により心不全は軽快する。リンパ腫や転移性腫瘍が否定できないためリンパ節生検が行われた。
■鼠径部リンパ節---> Virtual Slide 右クリックで新しいウィンドウで開くと便利です。
|
|
|
|
|
| 濾胞内に血管が進入している | 濾胞間形質細胞の増生 | 形質細胞と腫大した内皮細胞 |
濾胞のCD21, CD35免疫染色(群馬がんセンタ- 小島勝先生のご好意による)
#ref(): File not found: "CD21+35b.jpg" at page "Castleman disease"
|
|
濾胞胚中心は萎縮しているのにもかかわらず, CD21+CD35(C3b/ C4b受容体としても知られるタイプ1の補体受容体-->いむーの;CD35)陽性の濾胞樹状細胞が濾胞間にはみだすように増生している.
Case02†
萎縮した濾胞がたくさん見られるリンパ節.
70歳男性
健康診断で腋窩リンパ節の腫大を指摘される。とくに症状はない。
■腋窩リンパ節---> Virtual Slide 右クリックで新しいウィンドウで開くと便利です。