Wikipathologica-KDP

Sex cord/stromal cell tumor

症例 16歳男性

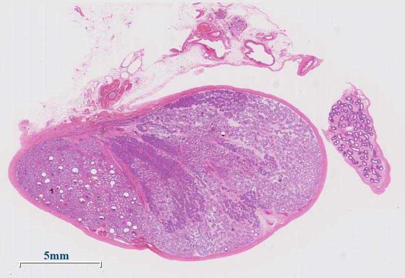
生下時より陰嚢内に左睾丸がなかったことに気づかなかった。CT, MRIで上前腸骨棘の高さで左腸腰筋前面に睾丸と思われる3cmの腫瘤を認めた。左腹腔内精巣摘出術を施行。悪性腫瘍の有無, 造精機能を調べた。

 

摘出左睾丸肉眼所見

cryptorchidism01.jpg
cryptorchidism02.jpg

<--クリックすると大きな画像が見られます。

 
teiryukogan.jpg

Virtual Slide ---> 腹腔内停留睾丸 右クリックで新しいウィンドウで開くと便利です。Sign as guestでログインして下さい。

 

Cryptorchidism停留睾丸

停留睾丸は正常位置の睾丸よりも30-50倍の頻度で悪性腫瘍を合併する。


*1  Pottern L.M., et al: Testicular cancer risk among young men: role of cryptorchidism and inguinal hernia. J Natl Cancer Inst. 1985; 74: 377-381
*2  Giwercman A.,et al. Testicular cancer risk in boys with maldescended testis: a cohort study. J Urol. 1987; 138:1214-1216

トップ   新規 一覧 検索 最終更新   ヘルプ   最終更新のRSS