Wikipathologica-KDP

Endocrine Pancreas 膵内分泌組織

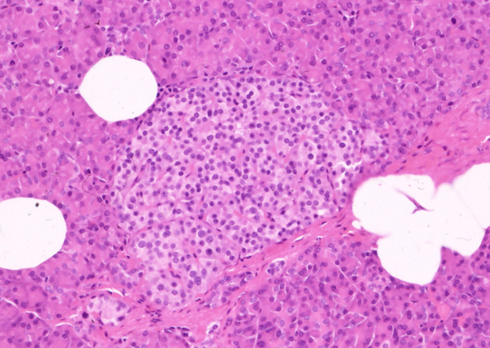
血液グルコース濃度を調節するホルモンを分泌する器官でランゲルハンス島 islets of Langerhansと呼ばれる細胞集団をつくり, 膵臓全体に見られるが尾部に多い。サイズは大小さまざまで, 数個から何百個の細胞から構成され, 総体積は膵重量の1-2%。多角形の細胞が短く不整なコード状構造を示し,窓の開いた毛細血管網が間質となる。膵ランゲルハンス島の内分泌細胞は胎生9-12週に確認されるようになる。。*1

Langerhansilet.jpg

←クリックで大きな画像が見られます。ランゲルハンス島のHE染色像
HE像でも小さめな細胞が辺縁に認められ、おそらくGlucagon産生のA細胞と考えられる。

ランゲルハンス島から分泌されるホルモン

ランゲルハンス島のislet cellではInsulin, Glucagon, Somatostatin, Pancreatic polypeptide(PP)の4つの主要なホルモンが産生される。
おのおの1個の内分泌細胞は1種類のペプチドホルモンを産生する-[Insulin(β細胞), Glucagon(α細胞), Somatostatin(δ細胞), Pancreatic polypeptide(PP)(PP細胞)]と記載する文献が多いが, いくつかの細胞は1種類以上のhormonを産生しているようで免疫染色でグルカゴン陽性のα細胞にgastric inhibitory peptide(GIP), コレシストキニン(CCK)やACTH-endophorinなどが陽性となるevidenceが得られているようである。*2

Gastrin, vasoactive intestinal polypeptide(VIP)は膵内分泌腫瘍Pancreatic endocrine neoplasmで産生されることがあるが正常のislet cellには認められない。

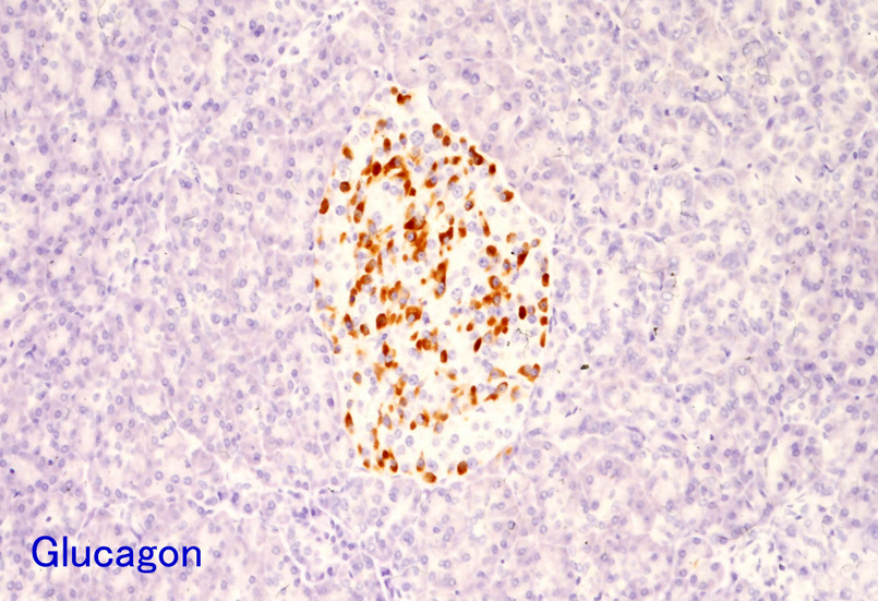
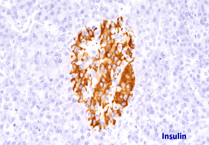
Cell type%産生ホルモンラ氏島での分布免疫染色図
α細胞15-20%Glucagonラ氏島の辺縁部に多い傾向
Glucagon01.jpg
β細胞60-70%Insulinラ氏島の中心部に多い
Insulin02.jpg
δ細胞5-10%Somatostatinラ氏島辺縁部に多い傾向
somatostatin02.jpg

Insulin インスリン
インスリンは血糖調節において中心的な役割をはたす。

Glucagon グルカゴン
ラ氏島のα細胞で作られ, その分泌は低血糖により促進される.

内在性glucagon, insulinのほとんどは肝を通過するとき血中から除去される。

somatostatin01.jpg

Somatostatinソマトスタチン
1973年Brazeauらによりヒツジ視床下部抽出液中に存在する成長ホルモン分泌抑制因子として発見されたペプチドホルモン。ソマトスタチンには 3, 14位のシスチン残基間S-S結合による環状構造をもつソマトスタチン14とソマトスタチン14のN末端にArg-lysの塩基ペプチドを介して14個のアミノ酸が連結したソマトスタチン28の2種類がある。*3(図)
somatostatinは消化管に65%, 脳に25%, 膵臓5%, その他5%の割合で分布する。
中枢神経では大脳皮質, 海馬, 扁桃体に多い。視床下部では, 脳質周囲核に多く存在する。

膵と消化管に対する作用

islet cellの免疫染色

islet cellは各々分泌するホルモン以外の免疫染色ではchromograninA, synaptophysin, CD56, CD99, NSEおよびPDX-1陽性となる。

Pancreas neuroendocrine tumor (panc NET)

機能性NET症例

腫瘍疾患名をクリックすると症例のページにジャンプします。

■膵内分泌腫瘍Pancreatic endocrine tumor (PET)の良性悪性

内分泌腫瘍で悪性の指標とすべきでないHE所見ポイント

Mitotic indexは悪性の指標にはならない:広範な浸潤・転移を示しながら核分裂像がほとんどないことも多い。

HE所見で悪性とできるのは


*1  Histology A text and atlas with correlated cell and molecular biology 5th ed. Lippincott Williams&Wilkins;pp 598-599
*2  Histology A text and atlas with correlated cell and molecular biology 5th ed. Lippincott Williams&Wilkins;pp 598-599
*3  島津章: ソマトスタチン ホルモンの事典 朝倉書店 pp47-55, 2003
*4  Entrez Gene: PDX1 pancreatic and duodenal homeobox 1

トップ   新規 一覧 検索 最終更新   ヘルプ   最終更新のRSS