Wikipathologica-KDP

WikiPathologica

卵胞 follicle

卵胞の形成と排卵*1

卵祖細胞 oogonia

卵母細胞 oocyte

原始卵胞 primordial follicle

primordial.jpg

原始卵胞の図はクリックで大きな画像が見られます。 --->

一次卵胞 primary follicle

primaryfoll.jpg

卵母細胞が増大し, 周囲一層の顆粒膜細胞層は扁平から立方, 円柱状へと形態変化する。

顆粒膜細胞層の立方化に伴って核分裂が増加, FSHへの反応性が増強し卵胞発育が促進される。

二次卵胞 secondary follicle

2jiranpoS.jpg

FSHの作用で顆粒膜細胞層は2-5層へと多層化する。この卵胞を二次卵胞と呼ぶ。卵胞は直径50-400μmとなって血管の豊富な卵巣髄質へ移動する。

透明帯zona pellucida
二次卵胞で卵母細胞と卵胞上皮の間にエオジン好性, PAS陽性の膜が形成され透明帯zona pellucidaと呼ばれる。透明帯はヒアルロン酸を主成分とする粘液多糖類の層で卵胞が成熟すると厚くなる。

二次卵胞の図はクリックで大きな画像が見られます。 --->

注; 右図の二次卵胞においては顆粒膜細胞層の外方には, まだ明らかな莢膜細胞層の出現はみられていない.

卵胞膜 theca folliculi
二次卵胞の初期, 周囲結合組織細胞(線維芽細胞)と膠原線維により卵胞膜(theca follicli)が形成される。 顆粒膜細胞(卵胞上皮)が多層化するころには卵胞膜は内外二層の卵胞膜が区別されるようになる

卵胞の形成は以下の段階を経る
原始卵胞→ 一次卵胞→ 二次卵胞→ グラーフ卵胞 Graaf follicle

原始卵胞と一次卵胞を同じものとして扱う立場もある(標準組織学第3版, 医学書院)

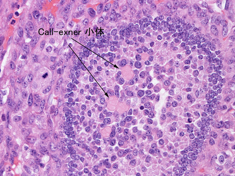
Call-exner body

callexner.jpg

重層化した顆粒膜細胞層内に認められる小体。正常卵胞顆粒膜細胞層でも顆粒膜細胞腫でも同じように出現し, 顆粒膜細胞の特徴の一つである。

中心にPAS陽性,エオジン好性物質が含まれ, 透明体(Zona pellucida)前駆物質と考えられている.

グラーフ卵胞 Graaf follicle

排卵 ovulation

卵胞の内分泌機能

卵胞からはエストロゲン(卵胞ホルモン), プロゲステロン(黄体ホルモン), 他に若干の男性ホルモンが分泌される。

エストロゲン Estrogen

動物に投与すると発情期をきたす物質が妊婦の尿中に発見された。(Aschheim & Zondek, 1927) このエストロゲンと呼ばれる物質は エストロンestrone, エストラジオールestradiol, エストリオールestriolなどの総称である。

コレステロールからアンドロステンジオンまでは莢膜細胞でつくられる.

アンドロステンジオンが細胞膜と基底膜を通り顆粒膜細胞にはいると,ここでアロマターゼの作用をうけてエストラジオール(エストロゲンの一つ)となる--->右図}


*1 標準組織学各論第3版 医学書院pp266-272, 1992

トップ   新規 一覧 検索 最終更新   ヘルプ   最終更新のRSS