Wikipathologica-KDP

リンク:FDCS(Follicular dendritic cell sarcoma)の疾患解説ページ link=OK

Follicular dendritic cell sarcoma症例

FDCS症例01

FDC-case01.jpg

30歳代男性/ 大網腫瘍

上腹部圧迫感で受診. 画像所見で大網に13x11cmの腫瘤を認める。腫瘍摘出および膵脾合併切除術が行われる。腫瘍本体は網嚢内に位置. daughter lesionが複数認められた。膵脾には浸潤なし。リンパ節転移あり。6ヶ月後に腹膜播種で再発。

Virtual slideを-->見る (右クリック→新しいウインドウで開くと便利です。)

病理組織所見

FDCS09.jpg
FDCS05.jpg
FDCS04.jpg
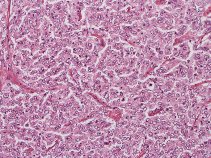
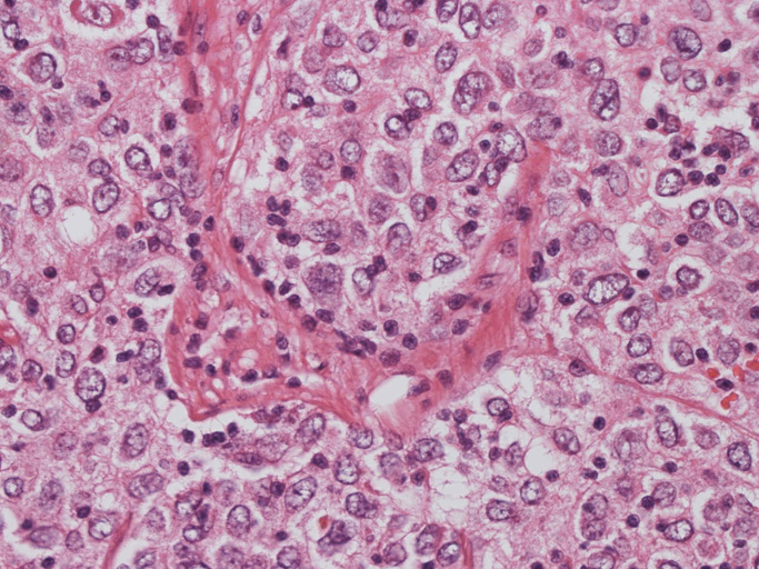
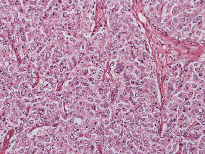
Fig01Fig02Fig03
FDCS06.jpg
FDCS08.jpg
FDCS11.jpg
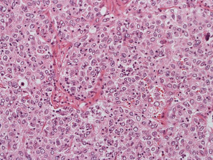
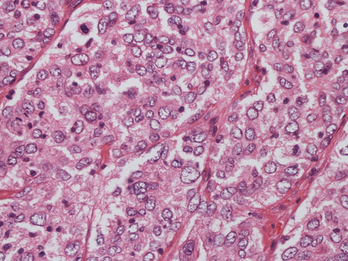
Fig04Fig05Fig06
FDCS10.jpg
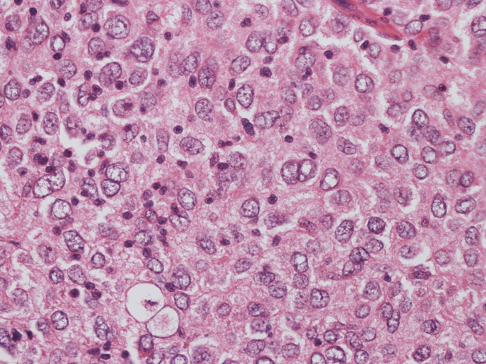
Fig07,血管周囲のリンパ球浸潤
 

腫瘍は, 細血管を含む細い線維組織束で分画された胞巣状充実性病変で(Fig01),類円形ないし卵円形のvesicularな核をもつ円形, 多稜形の細胞が増殖している。核小体は小型, やや不明瞭。細胞質は境界が不鮮明で好酸性泡沫状を呈するものが多い。大型核やbizzarreな核の出現も認められる(Fig02-05)。血管周囲にリンパ球浸潤が認められる部分がある(Fig06,07)。

FDCS症例02 Castleman病に合併した症例

FDCSinCastleman.jpg

30歳代女性/ 前・中縦隔腫瘤

Follicular dendritic cell sarcoma/ tumor arising from Castleman's disease
Virtual slideを-->見る (右クリック→新しいウインドウで開くと便利です。)

FDCSの臨床病理学事項*1

FDCSの病理学的特徴

FDCSの臨床的特徴

 

inflammatory pseudotumor/ inflammatory myofibroblastic tumor様のFDC--肝, 脾の病変

SPS-城南217 Case01 豊橋市民病院の症例


*1 山川 光徳 第4回日本血液病理研究会Handout, p73, 2001
*1  Andriko JW, et. al. Reticulum cell neoplasms of lymph nodes: a clinicopathologic study of 11 cases with recognition of a new subtype derived from fibroblastic reticular cells. Am J Surg Pathol 1998; 22: 1048-1058.
*2  Perez-Ordonez B, Erlandson RA, Rosai J: Follicular dendritic cell tumor: report of 13 additional cases of a distinctive entity. Am J Surg Pathol 1996; 20: 944-955.
*3  Ruco LP, et. al.: Expression of ICAM-1, VCAM-1 and ELAM-1 in angiofollicular lymph node hyperplasia (Castleman's disease): evidence for dysplasia of follicular dendritic reticulum cells. Histopathology 1991; 19: 523-528.
*4  Lee IJ, et. al.: Paraneoplastic pemphigus associated with follicular dendritic cell sarcoma arising from Castleman's tumor. Arch Dermatol 1988; 124: 1250-1283
*5  Pileri SA, et. al. Tumours of histiocytes and accessory dendritic cells: an immunohistochemical approach to classification from the International Lymphoma Study Group based on 61 cases. Histopathology 2002; 41: 1-29.

トップ   新規 一覧 検索 最終更新   ヘルプ   最終更新のRSS