MALT lymphoma of the stomach
PathologyAtlasリンパ腫の頁にもどる
Extra nodal marginal zone lymphoma of MALT type†
節外性のmarginal zone lymphocyte memory B-cell 由来悪性リンパ腫
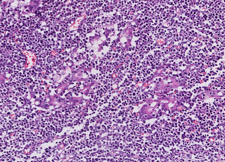
- 典型例はmarginal zoneのcentrocyte-like cellの増殖といわれるが非典型例も多い
- 分化してplasma cell様の形態をとる. Dutcher body(核内偽封入体)など異型所見あり。
- 核不整のほとんどみられないsmall lymphocytic lymphoma/chronic lymphocytic lymphoma cellと同じ形態の細胞が増殖する症例がある.
|
|
|
|
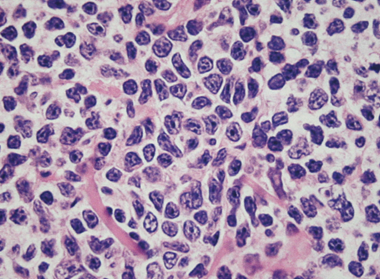
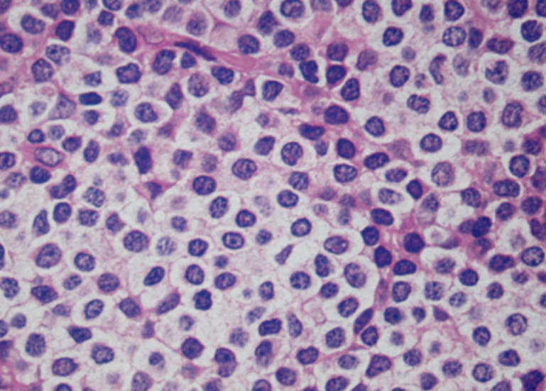
| centrocyte-like cell | monocytoid cell | plasmacytoid |
Monocytoid B Cells (参考資料)
- Lennert(1959年)とStansfeld(1960年)が, トキソプラズマリンパ節炎と早期のホジキンリンパ腫において記載した細胞.
- 豊かな蒼白(pale)の細胞質をもつ小型から中型細胞で核と細胞質が表面上末梢単球に類似している。
核は中心性で丸い. わずかに不整がある. 中等度に凝集したクロマチンをもち核小体はめだたない.*1
- ほとんどがparafollicularとparasinusoidal領域に存在する. また marginal sinus近傍の血管周囲腔, まれにはmedullary sinus近傍の血管周囲腔にも認められる.
- monocytoid B cellsはトキソプラズマリンパ節炎において, 類上皮様組織球とは異なる, 最初「immature sinus histiocytosis 」と呼ばれたような noncohesive sheetsとして認められる
- IgMかIgGを発現するB細胞で, CD5, CD23は陰性.
- 自己免疫性疾患, EBV感染, hepatitis C, HIV感染, T細胞リンパ腫*2など他の疾患や腫瘍でも出現する.
- この細胞の生物学的特異性はよくわかっていない
- 反応性濾胞増生とMonocytoid B cellsの関連性はこの細胞が濾胞活性化によるB細胞分化過程中の細胞であると推察されている
- marginal zoneのリンパ球とmonocytoid B cellはその存在部位, morphology, phenotypeが類似していることより関連があるとされている*3
extranodal lymphoma of marginal zone(MALT type)--WHO2008分類
種々の臓器に発生するが, すべてに共通して以下の特徴をもつ.
1) 先行する慢性炎症を伴い, 長期に発生病変部位に腫瘍がとどまる
2) 胃MALTリンパ腫でのH.pylori除菌療法で証明されているように炎症の治療により60-80%の腫瘍が消退する.*4
- この腫瘍は粘膜関連リンパ組織(MALT)において炎症性反応あるいは免疫反応により生じるサイトカインなどの増殖因子に依存して増殖している。
- 増殖の場、増殖因子の生じる場であるMALTを作る原因となる炎症を抑えること(胃ではH.pylori除菌)が最初の治療法になる.
Extra nodal marginal zone lymphoma of MALT type の形態診断の悩み†
非典型例, 特に腫瘍細胞のほとんどがsmall lymphocyteから構成される節外リンパ腫の場合, 小さな生検組織のみで節外lymphoid hyperplasiaとの鑑別診断は非常に困難である。実際に形態的診断のみでは不可能なことがある
★良性増殖を悪性小リンパ球浸潤と形態的に鑑別するcriteriaは
- 腺, 濾胞, その他節外臓器に固有な構造の破壊がある
これらの所見が明らかに存在するときには悪性リンパ腫である可能性が高い
Scoring System(Wotherspoon*5)によると
- 粘膜固有層にcentrocyte-like cellが密に増殖していることと
- Lymphoepithelial lesion(LEL)が高度なこと(ただしLELは他のリンパ腫にも出現しMALT lymphomaに特異的な所見ではありません。)
がMALTのlow-grade B-cell lymphomaの確定診断根拠となる
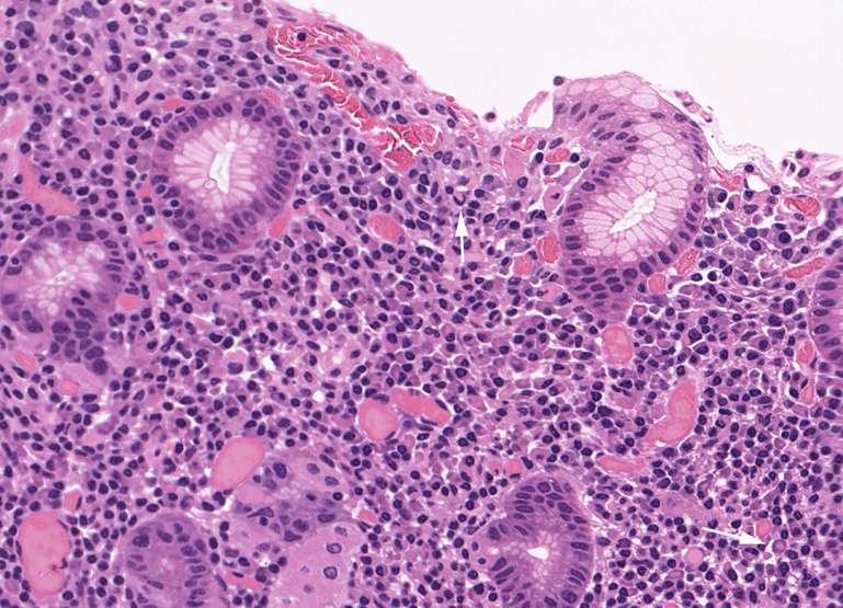
Lymphoepithelial lesion(LEL)
胃MALT lymphomaに認められたlymphoepithelial lesion
腫瘍リンパ球の浸潤で腺窩がボロボロに破壊されている
<----クリックで大きな画像がみられます。
#img(): File not found:
- LELは胃, 肺, 甲状腺ではほぼ必発で診断的価値が高いが腸管の症例では無いか, あっても顕著ではなく臓器間に差がみられる。唾液腺では非腫瘍性疾患でも認められるので注意が必要である。*6
- 疑い例はcentrocyte-like cellが反応性濾胞を取り囲み粘膜固有層にびまん性に浸潤すると同時に小グループで上皮に浸潤する。
★密なリンパ球浸潤, わずかな細胞異型, LEL様病変は胃をふくむ節外性lymphoid hyperplasiaによく見られる所見である
★胚中心は, ほとんどのMALT lymphomaとmantle cell lymphomaに認められるため胚中心の出現による形態診断はあてにならない
★胃のmantle cell lymphoma, 小腸のmultiple lymphomatous polyposisでは濾胞は萎縮して単調な腫瘍性リンパ球に密に取り囲まれることがしばしばある
Immunophenotype *9, *10†
- 腫瘍細胞はsIgが陽性, IgMが最多> IgG> IgA. IgDは欠く
- 40-60%はmonotypicなcIgを産生しており, plasmacytoid cellへの分化を示す
- B細胞関連抗原-CD19, CD20, CD22, CD79aが陽性
- 通常CD5とCD10は陰性--CD10陽性の症例がある-->リンク
- 軽鎖の染色は(light chain restriction)悪性の診断に有用である- kappa, lambda-ISHによる腫瘍由来形質細胞のdeviationを見る。
- B-cell CLL, mantle cellとはCD5+で鑑別できる
- follicular center lymphomaはCD10+, CD43-, CD11c-, usually cIg-なので鑑別可
分子学的特徴†
- Immunoglobulin遺伝子は再構成があり, somatic mutationとintraclonal diversity(ongoing mutation)が認められる
- これらは腫瘍細胞がB細胞のpost-germinal center stageにあることに一致しnormal counter partはmarginal zone, monocytoid, plasma cellに分化する能力を有するpost-germinal center memory B cellであると考えられている。*11, *12
t(11;18)(q21;q21)--MALTリンパ腫に特徴的な遺伝子異常†
MALTリンパ腫に特徴的な遺伝子異常はt(11;18)(q21;q21)*13であり,11q21のアポトーシス抑制遺伝子API2と18q21上のMALT遺伝子がfusion gene(API2-MALT1)を形成する
- t(11;18)(q21;q21)は胃MALTの5~20%に検出される。隆起型の低悪性度リンパ腫である。
- t(11;18)(q21; q21)は除菌療法の反応性を規定している遺伝子異常である。
- API2-MALT1 fusion gene陽性MALTリンパ腫はH.pylori除菌療法に不応性でH.pyloriとは別の病因と考えられる。
- API2-MALT1 fusion gene陽性MALTリンパ腫には, それ以上の遺伝子異常は蓄積せずdiffuse large cell lymphomaへのtransformationはないと考えられている
- 18q21.1/MALT1転座のなかで最も高頻度のt(11;18)(q21/q21.1)はAPI2遺伝子とMALT1が結合し現在見つかっている成熟B細胞腫瘍の中で唯一融合遺伝子形成型をとる染色体転座となる.
- MALT1は14q32/IGH転座による脱制御型によっても過剰発現を生じMALTリンパ腫の発症に関与する. この異常は胃以外の肺や唾液腺, 結膜などの臓器に出現する.
このMALT1が関わるMALTリンパ腫は特定の抗原への依存度が低い背景をもち, 多臓器にわたって病変を生じうるリンパ腫であることを念頭におき治療法の選択をする必要がある.
- MALTリンパ腫の診断がなされた場合18q21.1/MALT1転座の検索は必須である.
臓器別MALTリンパ腫のt(11;18)(q21;q21)出現頻度*14
| MALTリンパ腫の部位 | t(11;18)(q21;q21)出現頻度 |
| 肺 | 38% |
| 胃 | 24% |
| 結膜 | 19% |
| 眼窩 | 14% |
| 唾液腺 | 1% |
| 甲状腺,皮膚,肝 | 0% |
胃MALTリンパ腫の3つの群†
胃MALTリンパ腫は除菌治療への反応とAPI2-MALT1出現の有無で以下の三群にわかれる
- H.pylori除菌に反応する群 60-80%の症例が反応する.
- H.pylori関連の慢性胃炎を背景に発症. API2-MALT1陰性の群
- VH3-23, VH3-30に偏ったIGHの使用が認められ, 特定の抗原刺激が発症の背景にあることが推察される.*15
- H.pylori除菌に反応しない群--約30%の症例が除菌治療に反応しない
- 18q21.1/MALT1転座をもつことが多く, メモリーB細胞に18q21.1転座を獲得することが腫瘍化に重要な役割をはたしている可能性が高い*15
- 50%はAPI2-MALT1 fusionが陽性
- 50%は API2-MALT1 fusion陰性でゲノムコピー数異常が多く認められる*16
- 除菌適応の群は全例H.pyloriが陽性で, 肉眼型は表層型, 深達度はm, smが多く臨床病期はI期
その他のMALTリンパ腫に特徴的な染色体転座†
- Bcl-10/MALT1/TRAF6にかかわる異常のうち, Bcl-10の過剰発現も14q32/ IGH転座による脱制御型異常として胃や肺のMALTリンパ腫で報告されている.*17
- t(1;14)(p22;q23)/ BCL10-IGH。胃MALT症例の5%に検出される。欧米では20%と頻度が高い.
- 14q32/IGH転座はMALTリンパ腫においてもしばしば認められるが, パートナー遺伝子との結合はXp11/ GPR34を除いて, IGHのVDJ領域でおこり前駆B細胞レベルでおきる異常である.
- 1p22上のBCL-10がIgH遺伝子とfusionする。
- BCL-10は転座を有する症例の核に陽性となる。転座のないMALT症例でも50%に核陽性となる。
- bcl-10のmutationは胃MALTにはまれでBCL-10の異所性核発現とは関連がない
- BCL-10の核発現とAPI2-MALT1転座は関係があるといわれているが有意差はなく,除菌療法への反応性とBCL-10の核発現にも関連がないという報告あり*18
- t(1;14)/FOXP1-IGH などのが報告されている。
- これらの遺伝子学的異常が除菌療法の効果と関連があるのか否かはまだ明らかでない
胃MALTリンパ腫の多くはH.pylori感染により慢性胃炎をおこし続いてリンパ濾胞を伴うリンパ組織(MALT)が形成され,これにH.pylori特異的T細胞の刺激が加わりB細胞が腫瘍化する
Cosmic(catlogue of somatic mutations in cancer)に記載されているMALT lymphomaでmutationの認められたgenes.
TNFAIP3(tumor necrosis factor, alpha-induced protein 3)/ A20: @ 6q23.3
TNFAIP3/ A20の詳細-->NFkappaBのページ
消化管のMALT lymphoma†
肺のMALT lymphoma (BALToma)†