Wikipathologica-KDP

WikiPathologica

Pineal body 松果体

pinealbody01.jpg
pinealbody.jpg

松果体は

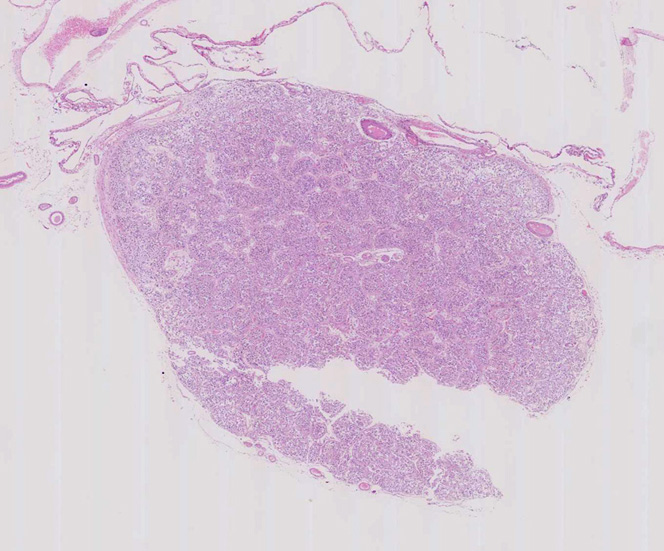
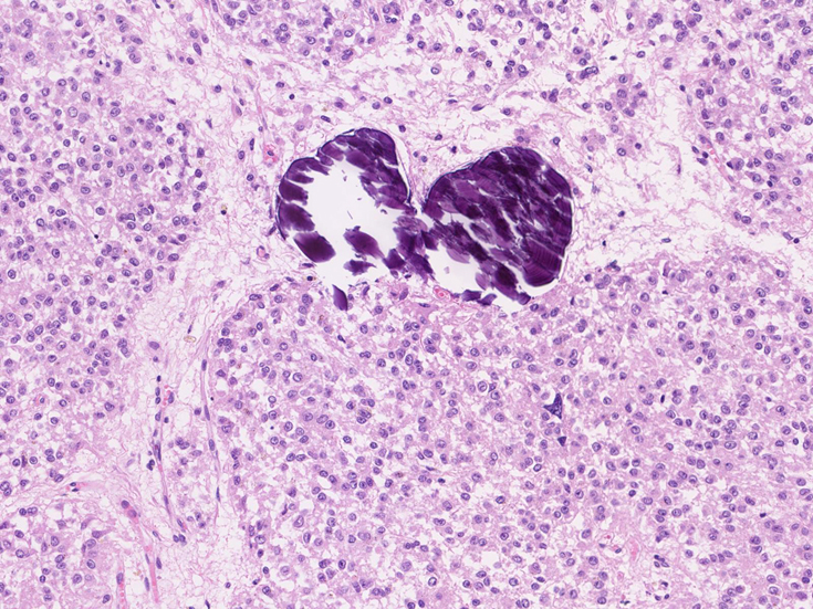
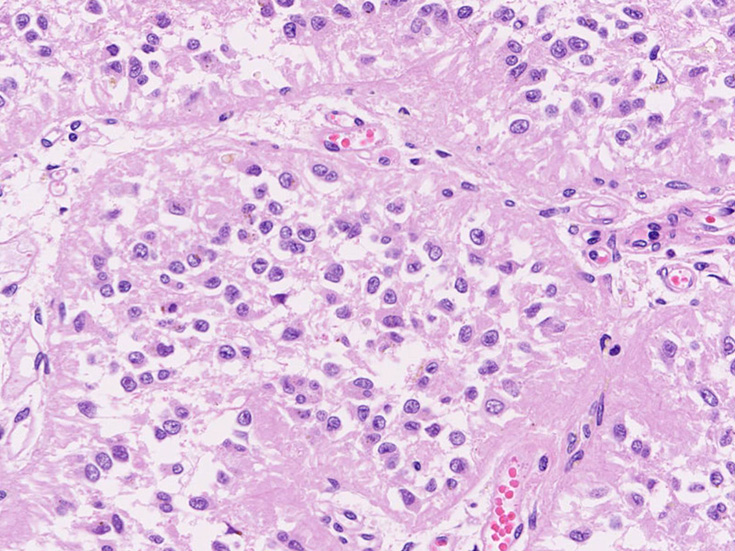
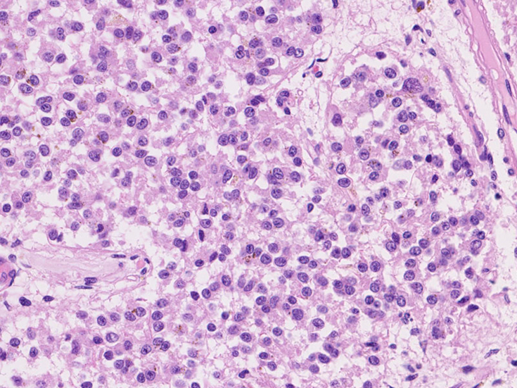
松果体の組織像

normal pineal gland tissue

pinealbodyloupe.jpg
pinealbody02.jpg
pinealbody03.jpg
pinealbody04.jpg
pinealbody05.jpg
 

松果体の腫瘍 pinealoma

松果体には松果体の細胞またはその前駆細胞から発生する腫瘍の他に多くの腫瘍, glioma, meningiomaあるいは, 胚細胞腫germ cell tumorが発生する。

Pineal cell tumor 松果体細胞またはその前駆細胞より発生する。

parinaud01.gif

松果実体腫瘤による神経症状---Parinaud症候群

Parinaud症候 パリノー症候
1.上方注視麻痺---上丘核を含んだ中脳蓋への圧迫でおこる。
2.人形の頭症候群 doll's head syndrome ---頭を前屈させると眼が反射的に上をむく
3.瞳孔反射の消失, 第Ⅳ神経麻痺(眼瞼下垂) ---中脳被蓋まで圧迫して動眼神経核の核性麻痺がおこる
4.閉塞性水頭症---中脳水道の圧迫による狭窄と水頭症
5.眼振---内側縦束の圧迫

この他, 下丘核障害で難聴が, 上小脳脚と小脳の障害で対側へ倒れやすくなり失調性動揺がおこる。 視床下部, 第三脳室への進展では間脳症候群(尿崩症など)をきたす。テントヘルニアをおこすと伸張強直発作が出現することがある。


トップ   新規 一覧 検索 最終更新   ヘルプ   最終更新のRSS