Wikipathologica-KDP

chromatin remodeling factor クロマチンリモデリング因子

Synovial sarcoma 滑膜肉腫

up to dateページです.

臨床的にも形態学的にもよく定義された疾患単位で基本的には若年成人の四肢の大関節近傍, すなわち腱鞘, 滑膜包, 関節包のすぐ近くに発生する。

滑膜肉腫の名称にもかかわらず関節腔内に発生することはほとんどなく, 滑膜とは関係のない部位の咽頭周囲組織など頭頚部, 腹壁, 腹腔内, 腸間膜, 縦隔, 胸膜および心臓、消化管, 骨内, 前立腺などに発生することがある。

「滑膜肉腫」という疾患名について. Enzinger&WeissのText bookから

  • Synovial sarcomaは臨床的にも形態的にも明確な疾患単位であるが, その名称にもかかわらず関節腔に発生することは極めてまれである.加えて, 滑膜構造と関連のない領域でも発生する.
    主に四肢の傍関節領域に発生し、通常, 腱鞘, 滑液包, 関節包と密接に関連している.
     
  • 発生中の滑膜との顕微鏡的類似性は初期の文献で示唆されているが, この腫瘍が滑膜から発生するか, または滑膜に分化するという証拠はない. 実際, 正常滑膜と滑膜肉腫との間には免疫表現型および超微細構造の違いが存在し,「滑膜肉腫」という名は、初期の説明に根ざした空想的な名称と見なされている.

SS18-SSX fusion transcriptsのoncogenesisに関する機序が明らかになってきた.*1

臨床事項

男女差はないか, わずかに男性が多い.(1.2:1). 幅広い年齢層に発生し, 中でも思春期や若年成人, 15-40歳に多く認められる. Ladanyiら*2による多数例報告では237 6歳から82歳(平均34歳)で44% の患者さんは診断時30歳未満.

10歳以下の小児にも発生することがある. 新生児に発生した例も報告されている.*3

症状

深部に触れる腫脹や腫瘤が最も多い症状. 半数例には自発痛や圧痛がある. 頻度は低くなるが自発痛や圧痛のみが症状のこともある.

解剖学的腫瘍発生部位

滑膜肉腫は主に四肢に発生し, 大関節の近傍, 特に膝の領域に発生する傾向がある. 腱、腱鞘、および滑液包構造と密接に関連しており、通常は関節包境界を越えている. より頻度は低いが筋膜構造, 靭帯, 腱膜, 骨間膜に付着することがある. 関節内病変は5%未満にすぎない.*6

ほとんどの滑膜肉腫症例で85から95%は四肢に発生し下肢が多い. 下肢では膝近傍が最多. 足, 下腿-足首領域, 股間部におこる腫瘍は少ない.

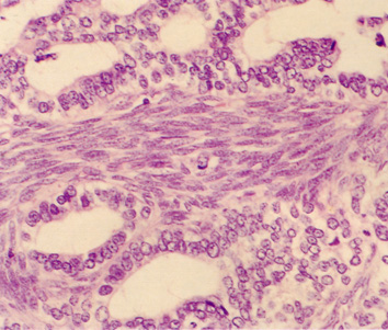
Synovial sarcomaの病理

滑膜肉腫の最大の特徴は類上皮肉腫とならび代表的な上皮様分化を示す組織像にある。
腫瘍細胞の上皮的性格については電顕で上皮成分に基底膜形成や接着斑がみられること, 免疫染色で種々の分子量のcytokeratinやEMAの発現が認められることより真の上皮への分化と考えられている*18

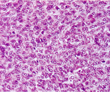
組織型

1. biphagic type; 古典的なタイプでさまざまな割合で明らかな上皮成分と紡錘細胞が混在する。

2. monophagic fibrous type; 線維肉腫様の紡錘細胞のみが増殖し上皮様細胞はみられない。

3. poorly differentiated type; 分化の低い類円形細胞肉腫でpericytomatous patternをとる。

biphasic type, monophasic typeは同じくらいの頻度で出現する。後者では免疫染色で上皮様分化をしめすこと, 特徴的な遺伝子異常を検出することが診断に必要となる。理論的にはmonophagic epithelial typeもあるが形態のみで診断は不可能。わずかな線維肉腫様成分をさがすことが診断にむすびつき, cytogenetic dataにより確診にいたる。

monoSS.jpg
biphaSS03.jpg
porSS.jpg
monoepiSS.jpg
monophagic fibrousbiphagic typepoorly diff. typemonophagic epithelial
 
 

Syonovial sarcomaの免疫染色*20

SS18-Oncogenesis.jpg

滑膜肉腫の遺伝子異常

t(X;18)(p11.2;q11.2)が滑膜肉腫に認められる特徴的相互転座である。

synovial sarcoma of the lung

IWTcase 59 y.o.
健診で2年ほど肺異常陰影を指摘されていたが自覚症状なく放置. 陰影が次第に増大, 精査のため受診する.

File not found: lung-Xp_s.jpgFile not found: lungSS-CT_s.jpg<--クリックで大きな画像がみられます
chest X-pchestCT

右肺下葉, S6bを主体に一部S9に広がる4.2x3.7x2.5cmの腫瘤. 辺縁凹凸不整, 胸膜に接し内部には不整形の小石灰化がある.肺癌疑い.気管支鏡TBBでは組織片が採取できなかった.
PETで原発巣にSUV max2.2の淡い集積. リンパ節には集積なし. 遠隔転移なし. 肺癌としてはPET集積が淡いが, cT2/1N0M0の肺癌であればstage1B~2Aとなり根治切除可能のためCTガイド下生検が施行された.

 

CTガイド下肺腫瘤生検

File not found: pSS-needlebiopsy_s.jpgFile not found: SS-needlebiopsy01_s.jpgFile not found: pericytomatous01_s.jpg
needle biopsyfibrous patternpericytomatous
 
 
File not found: SS18-breakapart_s.jpgFile not found: SS18-SSXfusion_s.jpg
SS18 break apart FISHSS18-SSX2 fusion. FISH

右肺下葉切除術がおこなわれた.

File not found: lung-lobectomy_s.jpgFile not found: lung-macro_s.jpg
肺マクロ像肺切除標本

synovial sarcomaの症例ページ

→→ synovial sarcoma of the stomach-228SPS-02 : Virtual Slideが閲覧できます. sorry you need ID&pass word to see VS


*1  Kadoch C, Crabtree GR. Reversible disruption of mSWI/SNF (BAF) complexes by the SS18-SSX oncogenic fusion in synovial sarcoma. Cell. 2013 Mar 28;153(1):71-85. doi: 10.1016/j.cell.2013.02.036. PMID: 23540691
*2  Ladanyi M., Antonescu C.R., Leung D.H., et. al. Cancer Res 2002; 62: pp. 135-140.
*3  Duband S., Morrison A.L., Pasquier D., et. al.: .Am J Perinatol 2008; 25: pp. 517-520.
*4  Duband S., Morrison A.L., Pasquier D., et. al. Am J Perinatol 2008; 25: pp. 517-520.
*5  Egger J.F., Coindre J.M., Benhattar J., et. al. Radiation-associated synovial sarcoma: clinicopathologic and molecular analysis of two cases.Mod Pathol 2002; 15: pp. 998-1004.
*6  Bui-Mansfield L.T., O’Brien S.D. Magnetic resonance appearance of intra-articular synovial sarcoma: case reports and review of the literature.J Comput Assist Tomogr 2008; 32: pp. 640-644.
*7  Michal M., et. al. Minute synovial sarcomas of the hands and feet: a clinicopathologic study of 21 tumors less than 1 cm.Am J Surg Pathol 2006; 30: pp. 721-726.
*8  Kusuma S., Skarupa D.J., Ely K.A., et. al.: Synovial sarcoma of the head and neck: a review of its diagnosis and management and a report of a rare case of orbital involvement.Ear Nose Throat J 2010; 89: pp. 280-283.
*9  Gopalakrishnan V., Amini B., Wagner M.J., et. al. Synovial sarcoma of the head and neck: a single institution review.Sarcoma 2017; 2017: pp. 2016752.
*10  Owosho A.A., et. al. .Oral Oncol 2017; 66: pp. 46-51.
*11  Fetsch J.F., Meis J.M.: Synovial sarcoma of the abdominal wall.Cancer 1993; 72: pp. 469-477.
*12  Maeda S., Takano H., Yamauchi T., et. al.: Primary synovial sarcoma of the left heart with large amount of necrotic tissue.Gen Thorac Cardiovasc Surg 2018; 66: pp. 365-367.
*13  Lan T., Chen H., Xiong B., et. al.: Primary pleuropulmonary and mediastinal synovial sarcoma: a clinicopathologic and molecular study of 26 genetically confirmed cases in the largest institution of Southwest China.Diagn Pathol 2016; 11: pp. 62.
*14  Schoolmeester J.K., Cheville J.C., Folpe A.L.: Synovial sarcoma of the kidney: a clinicopathologic, immunohistochemical, and molecular genetic study of 16 cases.Am J Surg Pathol 2014; 38: pp. 60-65.
*15  Olofson A.M., Linos K.: Primary intraprostatic synovial sarcoma.Arch Pathol Lab Med 2017; 141: pp. 301-304.
*16  Romeo S., Rossi S., Acosta Marin M., et. al.: Primary synovial sarcoma (SS) of the digestive system: a molecular and clinicopathological study of fifteen cases.Clin Sarcoma Res 2015; 5: pp. 7.
*17  Chrisinger J.S.A., Salem U.I., Kindblom L.G., et. al.: Synovial sarcoma of peripheral nerves: analysis of 15 cases.Am J Surg Pathol 2017; 41: pp. 1087-1096.
*18  病理と臨床17;9:951-958,1999
*19  Enzinger and Weiss's Soft tissue tumors, 4th ed. p1503, 2001
*20  Enzinger and Weiss's Soft tissue tumors, 4th ed. p1503, 2001
*21  Folpe AL, et al., Poorly differentiated synovial sarcoma: immunohistochemical distinction from primitive neuroectodermal tumors and high-grade malignant peripheral nerve sheath tumors. Am J Surg Pathol. 1998 Jun;22(6):673-82. PMID: 9630174
*22  van de Rijn M, et al. Poorly differentiated synovial sarcoma: an analysis of clinical, pathologic, and molecular genetic features. Am J Surg Pathol. 1999 Jan;23(1):106-12. PMID: 9888710
*23  Miettinen M. Keratin subsets in spindle cell sarcomas. Keratins are widespread but synovial sarcoma contains a distinctive keratin polypeptide pattern and desmoplakins. Am J Pathol. 1991 Feb;138(2):505-13. PMID: 1704194 free download 可
*24  Hazelbag HM et al., Chain-specific keratin specific profile of epithelioid soft tissue sarcoma: an immunohistochemical study on synovial sarcoma and epithelioid sarcoma. Appl Immunohistochem 4: 176, 1996 Appl Immunohisochemは誌名が変わったのかpub medに出てこないです。
*25  Smith TA, Machen SK, Fisher C, Goldblum JR., Usefulness of cytokeratin subsets for distinguishing monophasic synovial sarcoma from malignant peripheral nerve sheath tumor. Am J Clin Pathol. 1999 Nov;112(5):641-8.
*26  Genes Chromosome Cancer 23:198-201, 1998
*27  Clark J, et al.,Identification of novel genes, SYT and SSX, involved in the t(X;18)(p11.2;q11.2) translocation found in human synovial sarcoma. Nat Genet 1994 Aug;7(4):502-8.doi: 10.1038/ng0894-502. PMID: 7951320
*28  Skytting B, et al. A novel fusion gene, SYT-SSX4, in synovial sarcoma J Natl Cancer Inst 1999 Jun 2;91(11):974-5. doi: 10.1093/jnci/91.11.974. PMID: 10359553 DOI: 10.1093/jnci/91.11.974
*29  de Leeuw B, et al. Identification of two alternative fusion genes, SYT-SSX1 and SYT-SSX2, in t(X;18)(p11.2;q11.2)-positive synovial sarcomas. Hum Mol Genet 1995 Jun;4(6):1097-9.PMID: 7655467 doi: 10.1093/hmg/4.6.1097.

トップ   新規 一覧 検索 最終更新   ヘルプ   最終更新のRSS