Wikipathologica-KDP

PathologyAtlas

トキソプラズマリンパ節炎( Toxoplasmatic lymphoadenitis, Piringerリンパ節炎)

このページではトキソプラズマリンパ節炎症例の画像を募集しています。
症例を送ってもいいよという方は wikipathologica@gmail.comへメールをください タイトルは「アーカイブ参加」としていただくと幸いです。

症例01

19歳 男性

6月中旬ごろ最初右側,次いで両側の肩,首にかけて痛みがあった。マッサージ,鍼治療で改善せず, 整形外科で湿布薬と鎮痛剤の処方をうけた。疼痛は同月下旬には徐々に改善した。7月初め右頸部腫大に気づき診療所を受診した。 この間に特に風邪などをひくことなく, 熱もなかった。BT 36.2℃, 右頸部に4×2cmの弾性硬な腫瘤を触知,その他示指頭大の腫瘤をいくつか触れる。腋窩,鼠径リンパ節は触知せず。ペットは猫をかっているが,ひっかかれたことはない。

RBC450万, Hb15.0, WBC6900,Plt. 24.2万, CRP0.2, LDH 344 IU/L, sIL-2R 507U/ml(190-650)

リンパ節生検により炎症性のリンパ節炎が考えられトキソプラズマリンパ節炎が疑われた。血清抗体価により確定診断。ミノサイクリンの投与により約1週間でリンパ節腫大は軽快した。

血清抗体価

Toxoplasma IgG 200 IU/ml(正常:5 IU/ml 以下)
Toxoplasma IgM (+) cut-off index 3.0以上 (正常0.7以下)

画像所見

KeibuCT.png

CT所見:両側上内深頸リンパ節腫大が認められる。右副神経リンパ節も対側に比較して大きい。リンパ節腫大の内部は均一である。(クリックで大きい画像が見られます)

#img(): File not found:

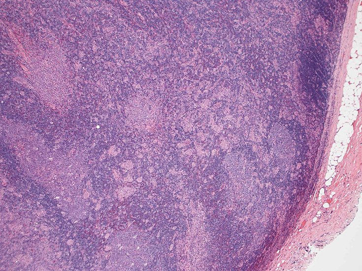
リンパ節病理組織所見

Virtual Slideを見る--->頸部リンパ節 (右クリックで新しいウインドウで開くと便利です。)

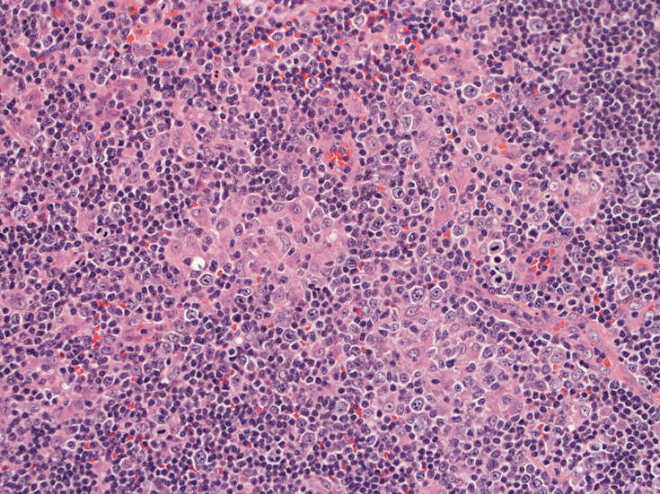
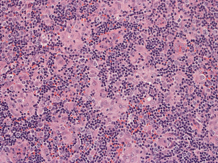
通常傍濾胞領域に小型, 不整形の類上皮細胞肉芽腫が多数形成されている。この症例では慢性炎症を伴い線維性に肥厚した皮膜直下にも多くの肉芽腫病変が散在する。Piringer型リンパ節炎と呼ばれる。
リンパ節病変にトキソプラズマ嚢子は確認できないことがほとんど

 
 
toxoLN01.jpg
toxoLN02.jpg
toxoLN03.jpg
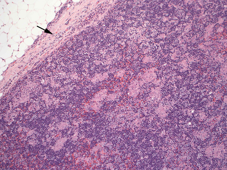
toxoLNcapsel.jpg
皮質から傍皮質に肉芽腫が散在大小不整な肉芽腫looseな肉芽腫皮膜下にも肉芽腫あり

リンク

白血病治療中に発生したtoxoplasmosis---> toxoplasmosis 軟部組織


トップ   新規 一覧 検索 最終更新   ヘルプ   最終更新のRSS