Wikipathologica-KDP

unicystic ameloblastoma

10歳 男児

jawCT01.jpg
pantomo.jpg

病理組織所見

 
fig01.jpg
ameloloupe02.jpg

シェーマとルーペ像 (画像をクリックすると大きな像が見られます)
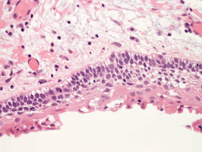
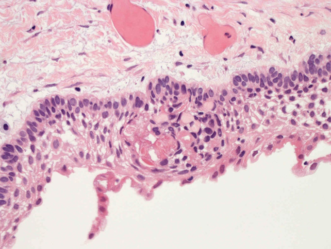
歯肉上皮とともに嚢胞性病変の壁を認める。

病理組織診断:unicystic ameloblastoma, luminal subtype

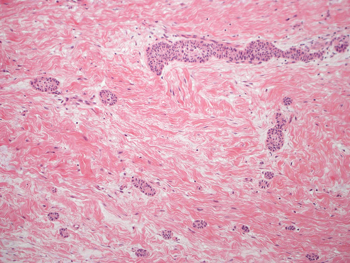
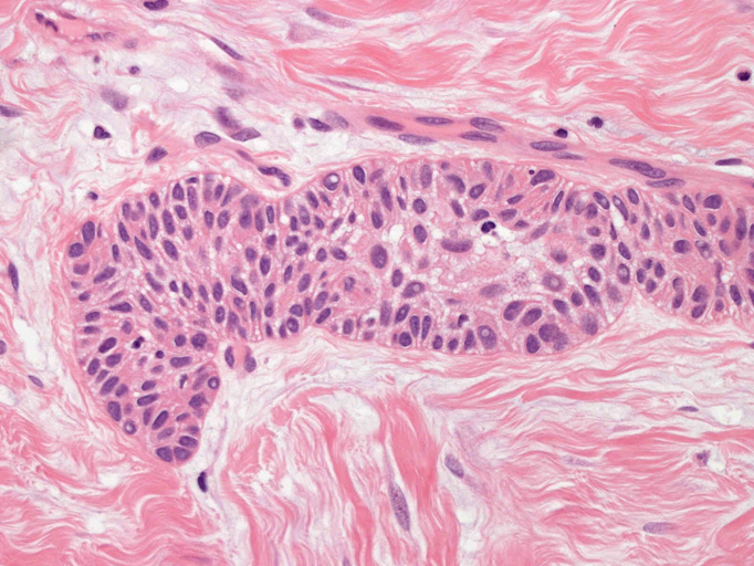
嚢胞性病変の壁を裏装する上皮はspongiosisあるいはintraepithelial edemaと棘細胞への分化を示す。7-15層の上皮で, 基底細胞はpalisadingを呈している。上皮脚は平坦で角化は認められない(Fig.01-Fig.04)。嚢胞壁はわずかにmyxoidな成分を伴うdensな膠原線維性間質からなり, その中に小さな胞巣状の歯原性上皮巣が散在している。核分裂像は認められない(Fig.05, 06)。

免疫染色では, 基底細胞はCD56陽性となる。分化した棘細胞は陰性を示す。(Fig.07)

amelo01.jpg
amelo02.jpg
amelo03.jpg
amelo04.jpg
Fig.01Fig.02Fig.03Fig.04
amelo05.jpg
amelo06.jpg
CD56a.jpg
CD56b.jpg
Fig.05Fig.06Fig.07Fig.08
 
 

単嚢胞性エナメル上皮腫 unicystic ameloblastoma

X-pでは顎骨内に単房性の嚢胞様透過像を示すエナメル上皮腫の亜型。埋没歯をともなうことがあり画像のみでは含歯性嚢胞や他の嚢胞性病変との鑑別は難しい

鑑別診断:

keratocystic odontogenic cyst(KCOT) KCOTとしては, parakeratosisなど角化が認められない, 年齢が10歳と若い, 上皮内のedemaや基底細胞層の核所見があわない。またKCOTは一般に埋没歯とは関係しない

X-pはdentigenous cystを思わせる像だが, 上皮の性状が異なる。

謝辞

病理診断に静岡がんセンター病理診断科 深草公秀先生のご助言をいただきました。深謝いたします。

ameloblastoma エナメル上皮腫*1(なぜ×エナメル芽細胞腫と訳さないの?)

腫瘍実質が歯胚の上皮成分に類似し, 多少とも局所侵襲性に増殖する傾向をしめす良性腫瘍でしばしば病変内に大小の嚢胞を形成する。以前は「adamantinoma」と呼ばれていた。(adamantin=エナメル質)

Adamantinomaの発生に関してはFalksonが琺瑯(ホウロウ)質原基上皮に類似した細胞からなる腫瘍と述べて以来①②③ホーロー質原基の遣残によるという説が強いAdamantinomaという名称はこの説に由来するのであるが一方琺瑯(ホウロウ)質原基上皮に類似してはいるが琺瑯(ホウロウ)質を形成しない点でAmeloblastomaと称した方が良いという人もいる③④. [田中義也Adamantinomaの1例信州醫學雜誌, 10(1): 63-68], 琺瑯(ホウロウ)質=エナメル

肉眼所見


*1 武田泰典 歯原性上皮腫瘍- 歯原性腫瘍ならびに関連病変の病理2 病理と臨床20(8); 839-845, 2002

トップ   新規 一覧 検索 最終更新   ヘルプ   最終更新のRSS