Synovial sarcoma

静岡病理医会

synovial sarcoma of the stomach

聖隷浜松病院病理診断科 江河勇樹,大月寛郎,清水進一,小林 寛

23歳男性:空腹時心窩部痛

stomachSys01.jpg

1年ほど前から空腹時心窩部痛あり近医で内服治療をされていたが症状再燃あり精査目的で消化器内科紹介受診。貧血なし。腫瘍マーカの上昇なし。
画像所見では胃壁の限局性肥厚あり。転移を疑う所見は認められなかった。
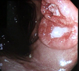
上部消化管内視鏡(右図)では, 胃体部後壁, 中央に潰瘍をつくる隆起性病変あり。中央には潰瘍があるが周堤には正常粘膜がかぶる。胃粘膜下腫瘍と考えDDxはまずGIST, 悪性リンパ腫, さらには癌も疑った。潰瘍辺縁まで正常粘膜であることから特異な広がりを示す癌を疑った。腫瘍生検が行われた。

病理組織学的所見

Virtual Slide--->胃粘膜下腫瘤  You need ID and password for SPS member to see the Virtual Slide, sorry. リンク修正すみ

Literatures

1. Makhlouf HR., et al. Synovial sarcoma of the stomach: a clinicopathologic, immunohistochemical, and molecular genetic study of 10 cases. Am J Surg Pathol. 2008 Feb;32(2):275-81. PMID: 18223331 [PubMed - indexed for MEDLINE]

10例のgastric synovial sarcomaがまとめられている。29歳から68歳までM/Fは4/6. 組織型では9例がMonophasic fibrous type, うち1例にpoorly diff. componentがみられた。Biphasic typeは1症例のみ。local recurrence2例。大網への転移1例。死亡が3例。腫瘍なし生存は6例で6-224months.

2.Billings SD.,et al. Synovial sarcoma of the upper digestive tract: a report of two cases with demonstration of the X;18 translocation by fluorescence in situ hybridization. Mod Pathol. 2000 Jan;13(1):68-76. PMID: 10658912 [PubMed - indexed for MEDLINE] Free

SS.gif

reference #2から

Link

 

Synovial sarcomaの疾患解説ページ

謝辞

聖隷浜松病院 江河勇樹,大月寛郎,清水進一,小林 寛先生, Virtual slideのご提供ありがとうございました。


トップ   新規 一覧 検索 最終更新   ヘルプ   最終更新のRSS