Wikipathologica-KDP

To End

Castleman disease

castleman.gif

1956年Dr. Benjamin Castlemanらは著しい血管増生と胸腺Hassal小体に似た小さな胚中心をもつ異常濾胞が特徴の限局性リンパ節過形成をきたす疾患を報告した。
[Castleman B., Inverson,L., Menendez V.P.: Localized mediastinal lymphonode hyperplasia resembling thymoma. Cancer 1956, 9: 822-830]

その後症例が集積されCastleman diseaseはリンパ節組織の病理組織所見から大きく下記の2型に分類される。

Keller, A.R., Hochholzer, L., Castleman, B.: Hyalin-vascular and plasma cell types of giant lymph node hyperplasia of the mediastinum and other locations. Cancer 1972, 29: 670-683

Castleman-disease.jpg
 

1. 硝子血管型hyalinevascular type(HV型)硝子化と血管内皮細胞増殖を伴う著しい血管新生が認められる

孤立性の腫瘤を形成し, IL-6高値に伴う全身症状を伴わない.

近年HV型CDにおいて, 濾胞樹状細胞や細胞遺伝学的異常や, 単クローン性が報告されている. *1*2*3

2. 形質細胞型 plasma cell type(PC型):増加を示す濾胞間にびまん性密に多クローン性形質細胞浸潤が認められる。

この2種類の組織型は症例ごとにさまざまな割合で混在している。全例に共通なのはたくさんのリンパ濾胞が出現していること

Kellerらは形質細胞型腫瘤には限局性と全身性があり、全身性では発熱などの臨床症状があらわれるが、腫瘤を切除すると治ると報告している。
腫瘤は腫大したリンパ節で大きさは<3cm。

3. 第3の型として, 1,2の組織型が混在するリンパ節過形成が広範囲におよび, 全身症状の顕著な症例がCastleman diseaseに含まれる。

全身症状は, B symptoms(発熱, 盗汗,るいそう), 急性期反応物質増加, 多クローン性γ-globulin増多, 自己免疫症状など。この型は現在一般的にmulticentric Castleman disease(multicentric CD)と呼ばれる。

 

Castleman diseaseと, よんでいる疾患は以下の3つの全く異なった病態をひとつにまとめていっているだけ。(小島勝 No8リンフォマニアの会, 2018)

特発性多中心性キャッスルマン病(指定難病331)--->iMCDは難病指定されている. file特発性多中心性キャッスルマン病.txt

 

Castleman diseaseの病理

局所型CDの90%はHV type, 10%がPC type.

follicle03.jpg

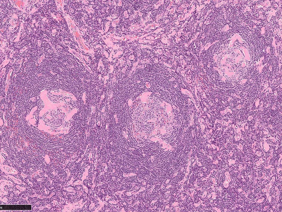
硝子血管型 hyaline vascular type: 臨床症状に関係なく3つの病理組織所見で診断が決まる。*1

1. 萎縮した胚中心をもつ異常な血管増生を示すリンパ濾胞(Lolli-pop follicles. Lolli-popはキャンディ-の名前のようです)

2. 濾胞間リンパ組織の線維化, 血管増生

3. 被膜は肥厚し, 少なくとも病変中心部ではsinuses(リンパ洞)を欠いている

我が国の教科書には, HV type Castleman diseaseに関して主に上記 1,2の組織所見についてしか記載がないものがほとんどであるが, 実は非常に多彩な組織像を呈する. (Dr.小島)

Castleman病, Hyalin vascular typeの, 実は非常に多彩なリンパ組織像

■ -->Castleman diseaseに合併したFDC sarcomaの症例ページをみる.

 

「広いmantle zoneの取り巻いたリンパ球の少ないFDCのめだつ小さな濾胞, 硝子化することもある, 濾胞間は細血管でいっぱい」がkey word

 
 

形質細胞型 plasma cell type

IL-6 syndrome/ IL-6 lymphadenopathy

multicentric CDに記載されるPC型の病理組織・臨床所見は多くの異なる疾患にもあてはまり, これらの組織・臨床症候群はIL-6の産生過剰が, 他のcytokineの異常をともなって惹き起こすと考えられるようになった。

IL-6 syndromeの組織・臨床症候群を呈する疾患

特発性 および 二次性に IL-6 syndromeを分類する

primary

  1. Castleman disease, PC型の組織像を呈する多発性, リンパ節腫大で他の疾患が除外できる。
  2. HHV8はKaposi's sarcoma, primary effusion sarcomaの原因とされるvirusでIL-6遺伝子のホモログ(virus 遺伝子配列の一部がヒトIL-6に相同している)を含む。産生蛋白はIL-6と協同し疾患の臨床病理所見をきたす。

Secondary

Castleman disease症例

 
 

Case01

54歳男性 右下腹部痛あり, CTで後腹膜腫瘤を指摘された.

Sai-H2202551_vascular dilatationOK.jpg

左腎前方にφ3.3cm大の石灰化を伴う腫瘤あり. paragangliomaが疑われた. MRIでは拡散強調画像で高信号を示す. ADC低下. ダイナミック造影では早期相で濃染, 後期相でwashoutを示した.
PET-CTでは, 左後腹膜, 腎静脈直下に36x27mmの腫瘤あり. 周囲との境界は明瞭, 石灰化あり. FDG UVmax 6.63, 腫瘤近傍に長径10mm大のリンパ節が散見される. FDG集積は軽微. 一元的に考えるとCastleman diseaseも鑑別にあがる.

Case02

87歳男性
発熱があり, 尿路感染症を疑われ受診をする。尿路感染症の所見はなく, 心不全による胸水貯留, 両側鼠径部リンパ節腫大,とくに右下肢に強い下肢浮腫が認められて精査治療のため入院となる。CRP7.9。検査の結果下肢静脈血栓症は認められなかった。治療により心不全は軽快する。リンパ腫や転移性腫瘍が否定できないためリンパ節生検が行われた。

鼠径部リンパ節---> Virtual Slide 右クリックで新しいウィンドウで開くと便利です。
Sorry you need ID and Psswrd to see the virtual slide

 
 

濾胞のCD21, CD35免疫染色(群馬がんセンタ- 小島勝先生のご好意による)

濾胞胚中心は萎縮しているのにもかかわらず, CD21+CD35(C3b/ C4b受容体としても知られるタイプ1の補体受容体-->いむーの;CD35)陽性の濾胞樹状細胞が濾胞間にはみだすように増生している.

follicular dendritic cellsの染色にはCD21, CD35抗体がよい. CD23はFDCのサブセットを染める抗体でときに陰性になってしまうことがある.(山川先生の談, Dr小島)

 

Pathological diagnosis: Castleman disease, plasma cell type, inguinal lymph node, biopsy

 
 

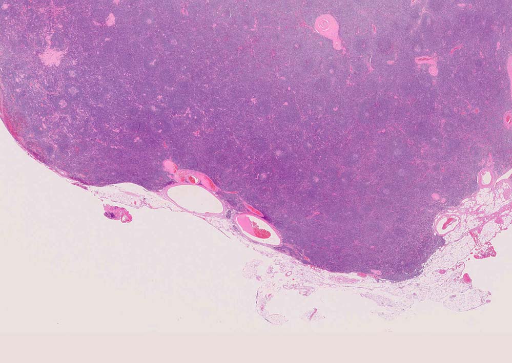
Case03

Castleman02.jpg

萎縮した濾胞がたくさん見られるリンパ節.

70歳男性
健康診断で腋窩リンパ節の腫大を指摘される。とくに症状はない。

腋窩リンパ節---> Virtual Slide 右クリックで新しいウィンドウで開くと便利です。


*1 Virchows Arch A Pathol Anat Histopathol 1993; 423: 369-382
*1  O'Malley DP, Grimm KE :Atypical lymphoproliferative disorders. Knowles's Neoplastic Hematopathology, 3rd ed. (OraziA, Weiss LM, Foucar K, Knowles DM. eds) Lippincott, Williams & Wilkins, Philadelphia, 2014, 340-353
*2  Chang K-C, et al. Monoclonality and cytogenetic abnormalities in hyaline vascular Castleman disease. Mod Pathol 2014; 27: 823-831
*3  Chen WC, et al. Cytogenetic abnormalities in hyalin vascular Castleman disease : report of two cases with reappraisal of histogenesis. Cancer Genet Cytogenet 2006; 164: 110-117.
*4  Danon A, Krishnan J, Frizzera G. Morpho-immunophenotypic diversity of Castleman's disease, hyaline-vascular type: With emphasis on a stroma-rich variant and a new pathogenetic hypothesis. Virchows Arch A Pathol Anat and Histopathol.1993;423:369-82.
*5  小島勝 話題の疾患[1] Castleman病診断の進歩 リンパ節の非腫瘍性疾患の病理 病理と臨床 2017; 35(6): 545-548

トップ   新規 一覧 検索 最終更新   ヘルプ   最終更新のRSS