Primary testicular lymphoma

To End

Primary testicular T-LBL ? or Testicular involvement of T-lymphoblastic lymphoma?

30歳代男性

無痛性精巣腫大で泌尿器科受診. 画像診断では, 左精巣最大径4.5cmの腫瘤で縦隔リンパ節転移が疑われた. 左高位精巣摘除術をうける.

Hb 14.6g/dl, RBC 476x104/μl, Ht41.5% WBC 6700/μl, Seg 63%, Eo2.1%, Ba 1.3%, Mo5.8%, Ly27.8% blastの増加なし.
LDH 150 U/l(WNL).

前縦隔や右心横隔膜角部に不定形, 不均一でべたっとした腫瘤状軟部濃度域を認める. 節外浸潤を伴ったリンパ節転移の可能性を考える.
画像: 左精巣腫瘤. 縦隔リンパ節転移疑い.

 

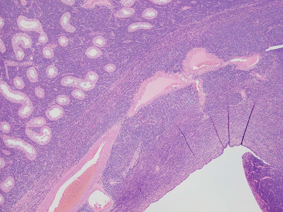
睾丸腫瘤マクロ, loupe像 (サムネイル像のクリックで大きな画像がみられます)

loupe像では, 腫瘍細胞が髄様密に浸潤増殖する部位と, 精細管をスペアするように管間に腫瘍細胞が浸潤する部分(右端図 A)がある.

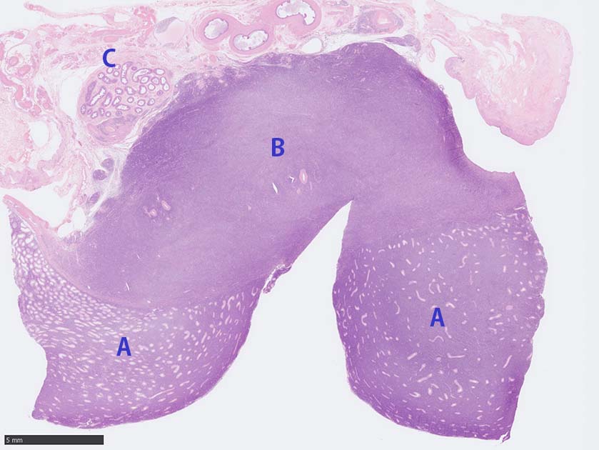
切り出し図とは天地を逆にした右端図では, 髄様密な部分は白膜内で増殖するリンパ腫瘤(B)であることがわかる. 精巣上体の一部に浸潤がみられる(C)

 

精巣病理組織所見

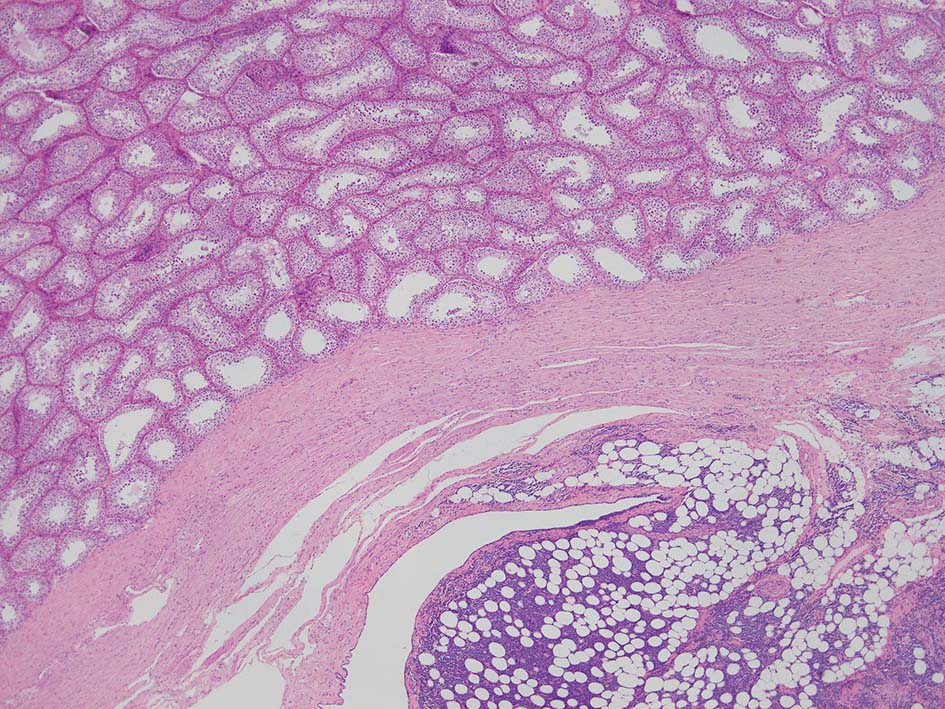
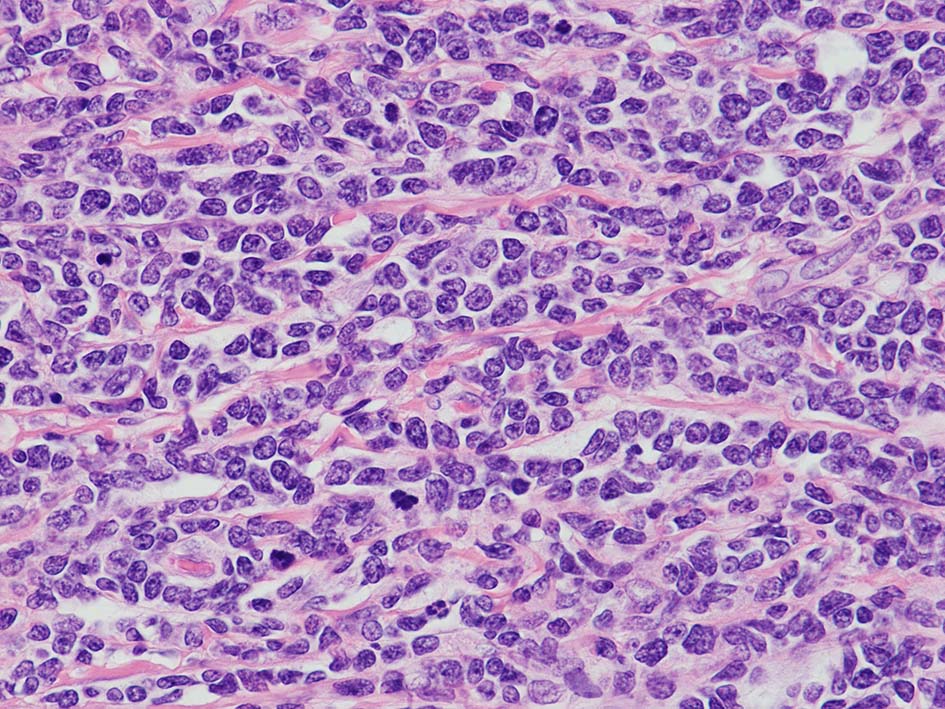
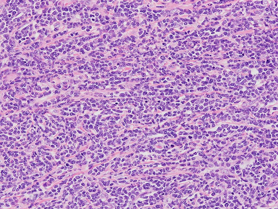
loupe像Aの領域: 精細管をスペアするように, 小型リンパ球優位, 一部中型のlymphoid cellsがシート状密に浸潤増殖する. tubulesのほとんどにはlymphoid cellsが浸潤していないが, LELに似たようなlympho-tubular lesionが少数認められた. x400高倍率では, 増殖細胞は, 粗く, 凝集したクロマチンをもつ類円形, non-cleavedな核をもつ細胞質の乏しいlymphoid cellsである. 核小体か凝集したクロマチンかわかりにくい.

 

白膜には密に腫瘍性リンパ球が浸潤増殖し, 肥厚, 一部は上図loupe像のように, 腫瘤を形成している. 浸潤リンパ球は精巣実質内よりも, やや大きく, 多稜形, くびれのある核をもち, クロマチンは淡明で核小体が明瞭になってきている.

 

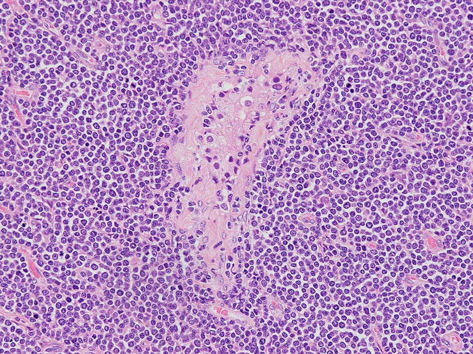
精巣上体, 精巣周囲脂肪織への浸潤, 精巣実質, 白膜の非浸潤部

T-ALL/LBLの細胞所見: *1

 
 

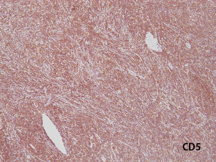
Immunophenotype of T-ALL/ LBL*1

病理組織診断

最初の診断: Primary testicular lymphoma; Peripheral T-cell lymphoma, NOS ?

細胞形態に惑わされてしまった. T-LBLの細胞はもっと幼若な形態を示すと思い込んでいた(Blue bookに成熟細胞の形態があると書いてあった!!)ため, 精巣実質浸潤T-cellをmature T-cellと考えてしまった. 臨床科からはホルマリン固定標本が提出され, FCM, 核型検査が行えていなかった.

CD4, CD8 double positiveはPTCL,NOSとして一般的ではないが, 腫瘍T-cellのabberant expressionかと考えた. CD10はPD-1, BCL6がうっすらと染まったため, follicular helper T-cellのphenotype?とした. CD8陽性細胞はcytotoxic molecules陰性で幼若な状況と考えず, 異常なCD8と推察した.

画像診断で縦隔病変があるが, リンパ節転移とされ, 胸腺病変でないこともLBLを考えるに至らなかった. 骨髄はinvolvementなしであった.

リンパ腫は精巣腫瘍の5%、その中で PTCLはtesticular lymphomaとしては激しくまれ, LBLは報告はあるがかなりなレア度である.

 

治療経過と修正組織診断


*1  Borowitz MJ, Chan JKC, Bene MC, et al. T-lymphoblastic leukaemia/lymphoma. In: Swerdlow SH, Campo E, Harris NL, eds. WHO Classification of Tumors. WHO Classification of tumours of haematopoietic and lymphoid tissues. rev. 4th ed. Lyon: IARC; 2017. pp209-212.

トップ   新規 一覧 検索 最終更新   ヘルプ   最終更新のRSS