Primary testicular lymphoma

To End

Primary testicular T-LBL ? or Testicular involvement of T-lymphoblastic lymphoma?

30歳代男性

無痛性精巣腫大で泌尿器科受診. 画像診断では, 左精巣最大径4.5cmの腫瘤で縦隔リンパ節転移が疑われた. 左高位精巣摘除術をうける.

Hb 14.6g/dl, RBC 476x104/μl, Ht41.5% WBC 6700/μl, Seg 63%, Eo2.1%, Ba 1.3%, Mo5.8%, Ly27.8% blastの増加なし.
LDH 150 U/l(WNL).

前縦隔や右心横隔膜角部に不定形, 不均一でべたっとした腫瘤状軟部濃度域を認める. 節外浸潤を伴ったリンパ節転移の可能性を考える.
画像: 左精巣腫瘤. 縦隔リンパ節転移疑い.

 

睾丸腫瘤マクロ, loupe像 (サムネイル像のクリックで大きな画像がみられます)

loupe像では, 腫瘍細胞が髄様密に浸潤増殖する部位と, 精細管をスペアするように管間に腫瘍細胞が浸潤する部分(右端図 A)がある.

切り出し図とは天地を逆にした右端図では, 髄様密な部分は白膜内で増殖するリンパ腫瘤(B)であることがわかる. 精巣上体の一部に浸潤がみられる(C)

 

精巣病理組織所見

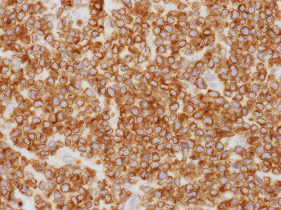
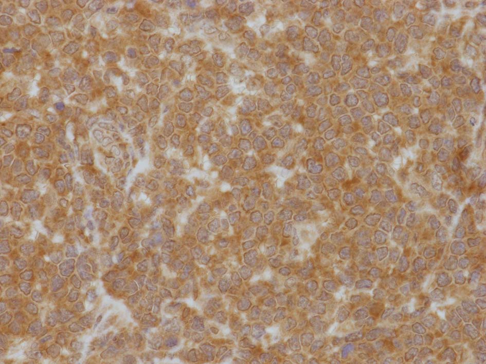
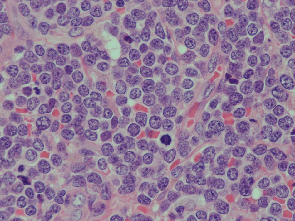
loupe像Aの領域: 精細管をスペアするように, 小型リンパ球優位, 一部中型のlymphoid cellsがシート状密に浸潤増殖する. tubulesのほとんどにはlymphoid cellsが浸潤していないが, LELに似たようなlympho-tubular lesionが少数認められた. x400高倍率では, 増殖細胞は, 粗く, 凝集したクロマチンをもつ類円形, non-cleavedな核をもつ細胞質の乏しいlymphoid cellsである. 核小体か凝集したクロマチンかわかりにくい.

 

白膜には密に腫瘍性リンパ球が浸潤増殖し, 肥厚, 一部は上図loupe像のように, 腫瘤を形成している. 浸潤リンパ球は精巣実質内よりも, やや大きく, 多稜形, くびれのある核をもち, クロマチンは淡明で核小体が明瞭になってきている.

 

精巣上体, 精巣周囲脂肪織への浸潤, 精巣実質, 白膜の非浸潤部

T-ALL/LBLの細胞所見: *1

 
 

Immunophenotype of T-ALL/ LBL*1

病理組織診断

最初の診断: Primary testicular lymphoma; Peripheral T-cell lymphoma, NOS ?

細胞形態に惑わされてしまった. T-LBLの細胞はもっと幼若な形態を示すと思い込んでいた(Blue bookに成熟細胞の形態があると書いてあった!!)ため, 精巣実質浸潤T-cellをmature T-cellと考えてしまった. 臨床科からはホルマリン固定標本が提出され, FCM, 核型検査が行えていなかった.

CD4, CD8 double positiveはPTCL,NOSとして一般的ではないが, 腫瘍T-cellのabberant expressionかと考えた. CD10はPD-1, BCL6がうっすらと染まったため, follicular helper T-cellのphenotype?とした. CD8陽性細胞はcytotoxic molecules陰性で幼若な状況と考えず, 異常なCD8と推察した.

画像診断で縦隔病変があるが, リンパ節転移とされ, 胸腺病変でないこともLBLを考えるに至らなかった. 骨髄はinvolvementなしであった.

リンパ腫は精巣腫瘍の5%、その中で PTCLはtesticular lymphomaとしては激しくまれ, LBLは報告はあるがかなりなレア度である.

 

治療経過と修正組織診断

Pathological DiagnosisよりWHO 4th分類 PTCL-NOS, Ann Arbor分類 Stage3-4Aと診断. 精巣T細胞リンパ腫は非常にまれで確立された治療法はなく, B細胞性精巣原発リンパ腫に準じて CHOP8コース, 髄注4コース, 対側精巣への放射線照射がおこなわれた. 発症より10ヵ月後, PET-CTでCRが確認された.

 

発症1年後(CR確認より2ヵ月後), 左眼球運動障害を発症, CNSについてMRI検査は有意な所見にとぼしかったが, 左上腕, 前腕にリンパ節腫大が認められた.1ヵ月後腫瘤が増大し, 左肘窩リンパ節生検を施行. また髄液検査でリンパ腫細胞が確認された.

 

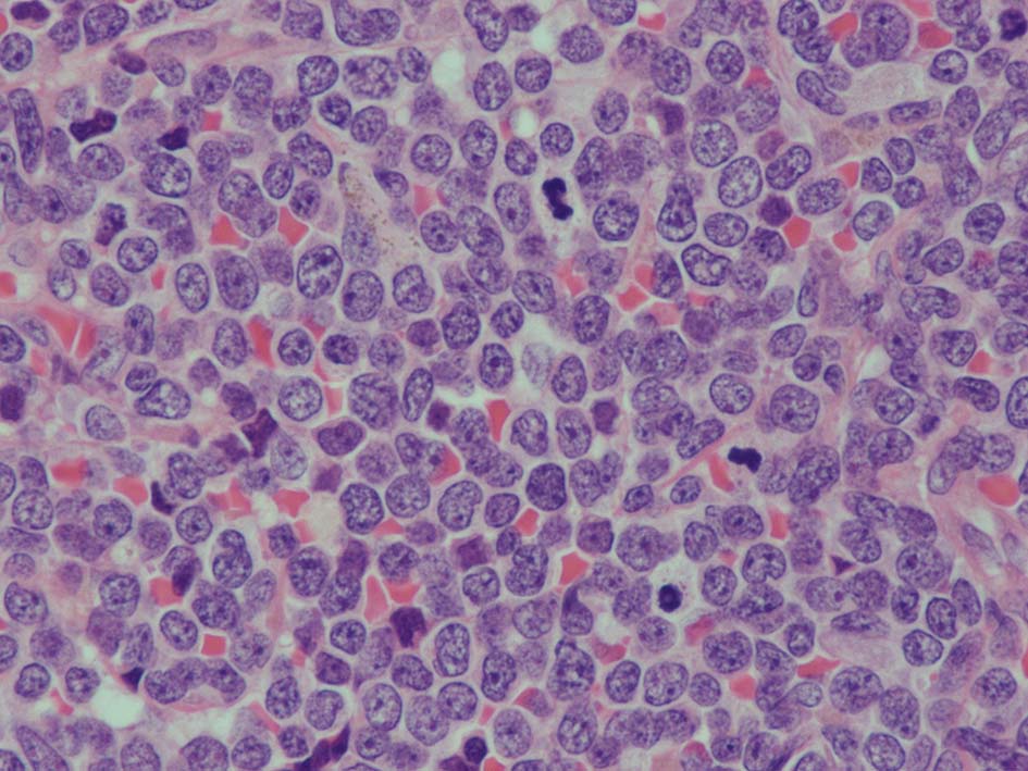
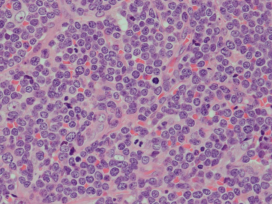
左肘窩リンパ節生検組織

 
 
 
 

左肘窩リンパ節は正常構造を消失. 類円形の繊細なクロマチンをもつ,核小体の明瞭な核をもつN/C比大の細胞が密に増殖している. 精巣の成熟したリンパ球とは核所見が異なる(白膜増殖部には類似の細胞が認められていた).

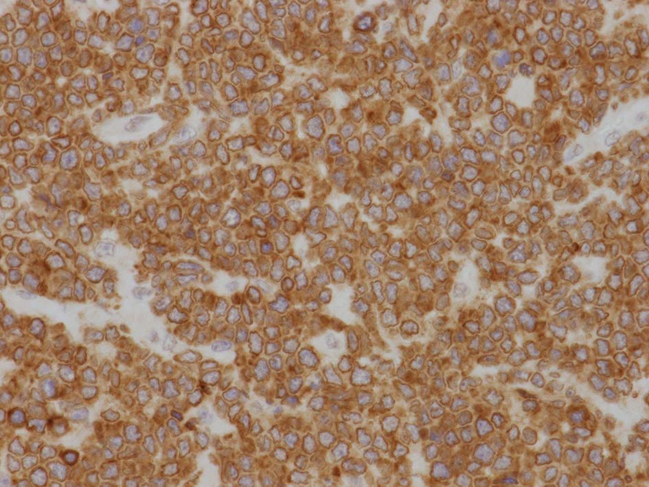
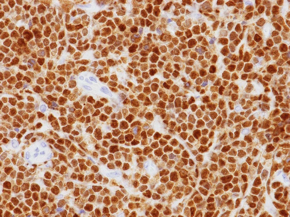
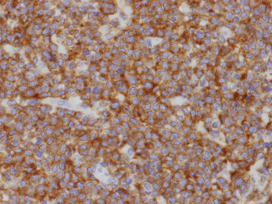
FCMでTdT陽性細胞が多数. 免疫染色ではCD3+, CD4+, CD8+, BCL2+. TdT+, CD99(MIC2)+, CD34-, CD117(c-KIT)-であった.

左肘窩リンパ節の病理診断は T-lymphoblastic lymphoma(T-LBL)になる. 1年後の再発で, 精巣リンパ腫と異なったものが発症するとは考えにくく, 精巣病変にTdT, CD99, CD34, CD117を追加染色した.


*1  Borowitz MJ, Chan JKC, Bene MC, et al. T-lymphoblastic leukaemia/lymphoma. In: Swerdlow SH, Campo E, Harris NL, eds. WHO Classification of Tumors. WHO Classification of tumours of haematopoietic and lymphoid tissues. rev. 4th ed. Lyon: IARC; 2017. pp209-212.

トップ   新規 一覧 検索 最終更新   ヘルプ   最終更新のRSS