Blastic plasmacytoid dendritic cell neoplasm

To End

Blastic plasmacytoid dendritic cell neoplasm -- What's NEW

最も新しい診断基準の提唱(Sakamoto K, Takeuchi K):

BPDCN診断の従来からある4つの診断基準3マーカ(CD4,CD56,CD123)のみを使った基準の診断誤謬の危険性, さらにTCF4、CD123、TCL1、リゾチームからなるBPDCNの新しい診断基準の考案. Sakamoto Kana, Kengo Takeuchi, et al. *1

日本BPDCN研究会ができています. 症例のコンサルテーションが可能です. Web page: https://bpdcn.jp/

WHO5th classification --> [[BPCDN>fileBPDCN-WHO5th-Jap.txt]]

 

Blastic plasmacytoid dendritic cell neoplasm

UP to dateページ: 文献*2*3*4*5

Blastic plasmacytoid dendritic cell neoplasm(BPDCN)は未熟な形質細胞樹状細胞に類似したimmunophenotypeを呈する, まれな皮膚向性血液腫瘍.

皮膚腫瘍の形成とそれに続く, または同時の白血病の発現を特徴とする。病変の局在: 皮膚, 骨髄, リンパ節が主. 中枢神経病変は初発にみられることもあるが, 再発時に多い.

病因不明の予後不良の疾患であり, ほとんどの患者さんは, 最初は化学療法に反応するが, 再発し, 全生存期間中央値はわずか12-14ヶ月である[WHO blue book 2017]。

主な lin-(lineage markers陰性の意味), CD56+のためNK cell 由来と考えられBlastc NK cell lymphomaと呼ばれてきたが, 現在 plasmacytoid dendritic cellがnormal counter partと考えられ2008年WHO 3rd以降, BPDCNの名称に統一されている.

CD4+, CD56+, hematodermal tumorの名称も用いられていた.

 

組織, 細胞病理

症例  画像サムネイルはクリックして大きな画像が見られます.

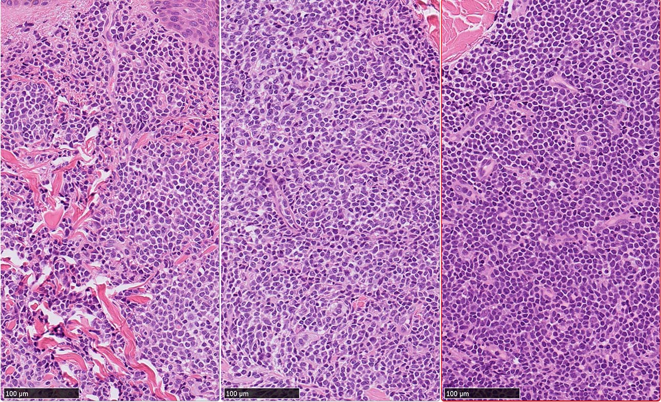
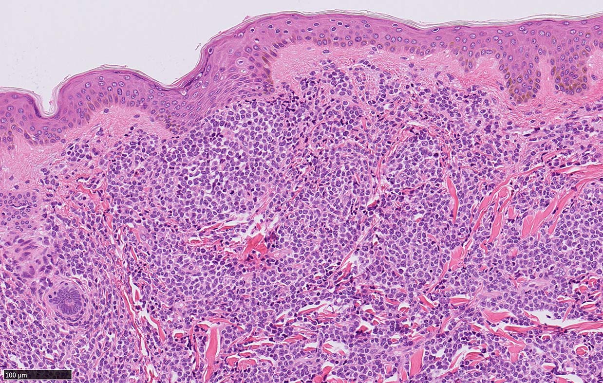
 皮膚病変

 

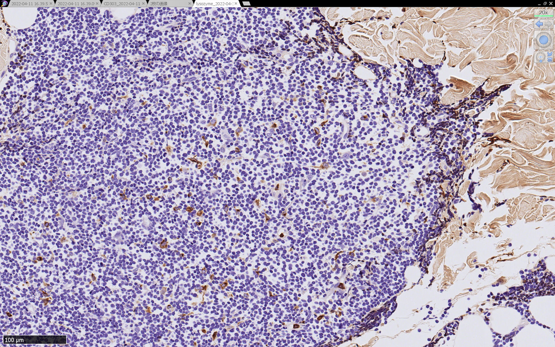
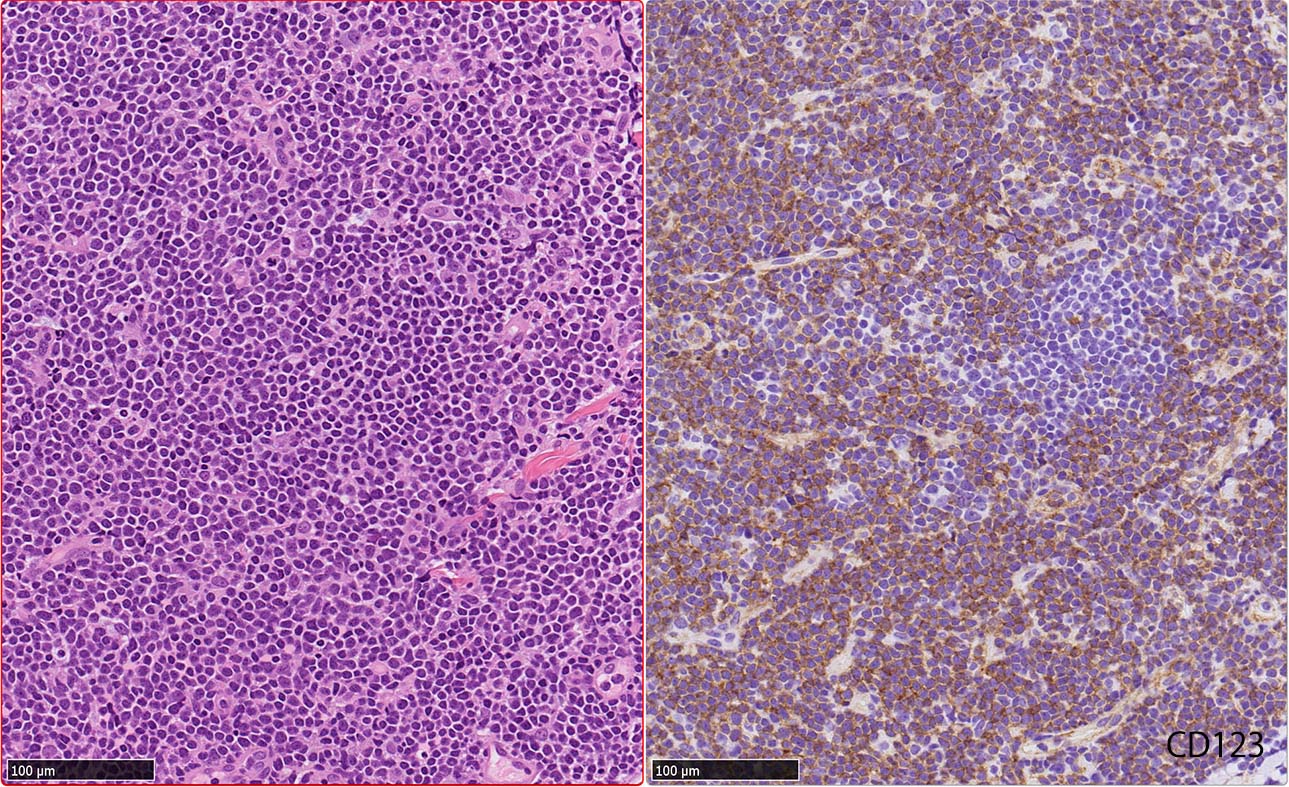
blasticという名前から「大型細胞」を想起するが, この症例のようなclassical typeの細胞は思ったほど大きくはない. CD123陰性リンパ球とくらべてもあまり大きくないことがわかる.(散在する大型細胞はlysozyme+)
形態は均一で多型はめだたない.

 

免疫染色

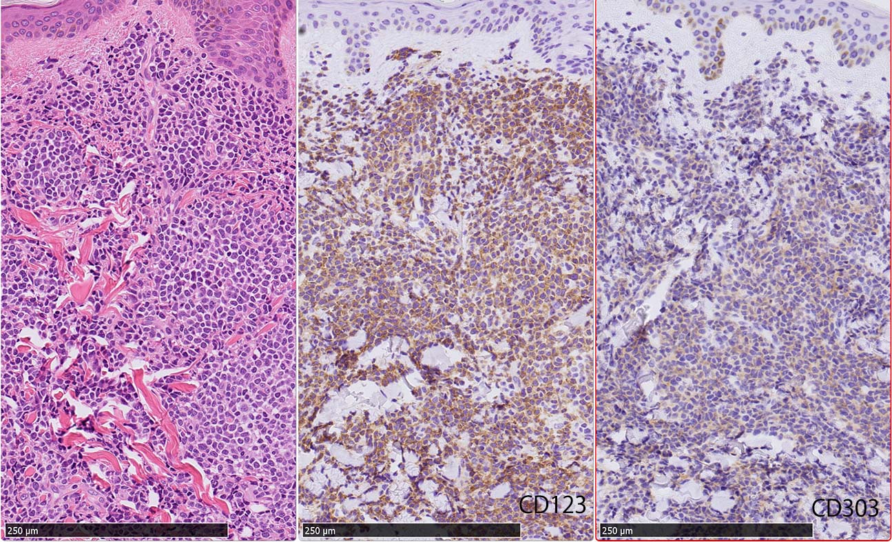
IWT-case: 4つの点で囲んだ紅斑から生検.

皮膚病変は64-100%の症例で認められ皮膚病変が契機となり診断されることも多い.

マクロ所見は多彩で, 孤在性から播種性の分布を呈し, 腫瘤, 局面, 紅斑いずれの形態もとりえる.

腫瘍細胞は真皮を主座として, 皮下脂肪織まで, びまん性かつ単調monotonousに増殖することが多く, 表皮向性はみられない. 本例では血管や付属器中心あるいは脂肪織内に結節状の浸潤増殖を示した.

本例皮膚真皮増殖細胞はCD4+, CD56+, CD123+, CD303+, lysozyme(-). がん研有明病院, Sakamoto K, Takeuchi K先生にconsultationを行い, TCF4, TCL1の陽性が確認された.(consultationを受けていただいた両先生に深謝いたします.)

 

BDCA-2(CD303)

Blood dendritic cell antigen2(BDCA-2)はPDCに選択的に発現するII型C型レクチン受容体で、単一の細胞外糖鎖認識ドメイン,膜貫通領域,およびシグナル伝達モチーフを持たない短い細胞質尾部からなる. 関連する膜貫通アダプターであるFcεRIγを介して細胞内シグナルを伝達し,B細胞受容体(BCR)様のシグナル伝達カスケードを誘導する。抗原の捕捉とpDCによるインターフェロンI型の産生制御に関与している。
pDCによるIFN-I産生を阻害することに加えて,BDCA2を抗体でライゲーションすると,クラスリンを介したエンドサイトーシスによってBDCA2が速やかに内在化される*6*7*8

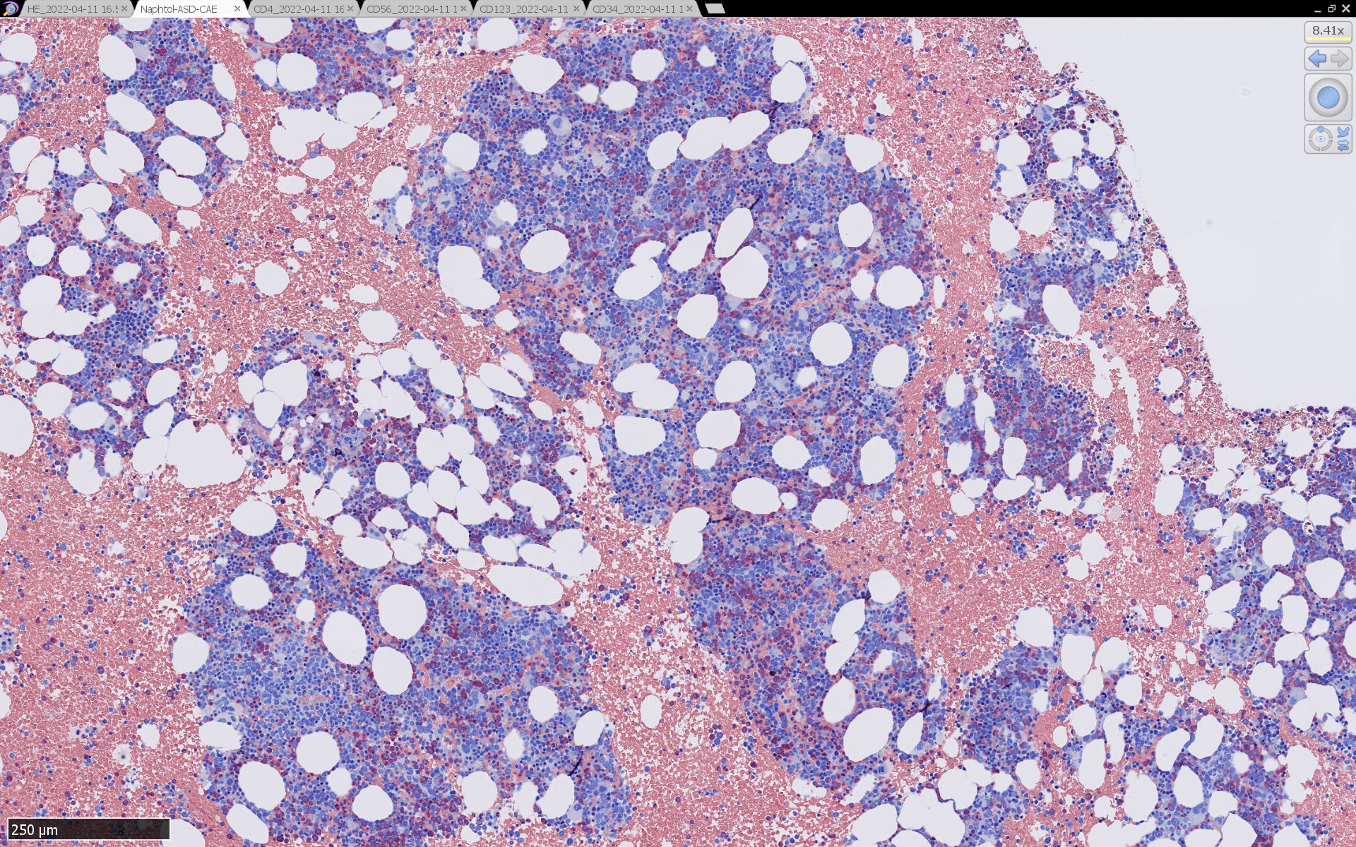
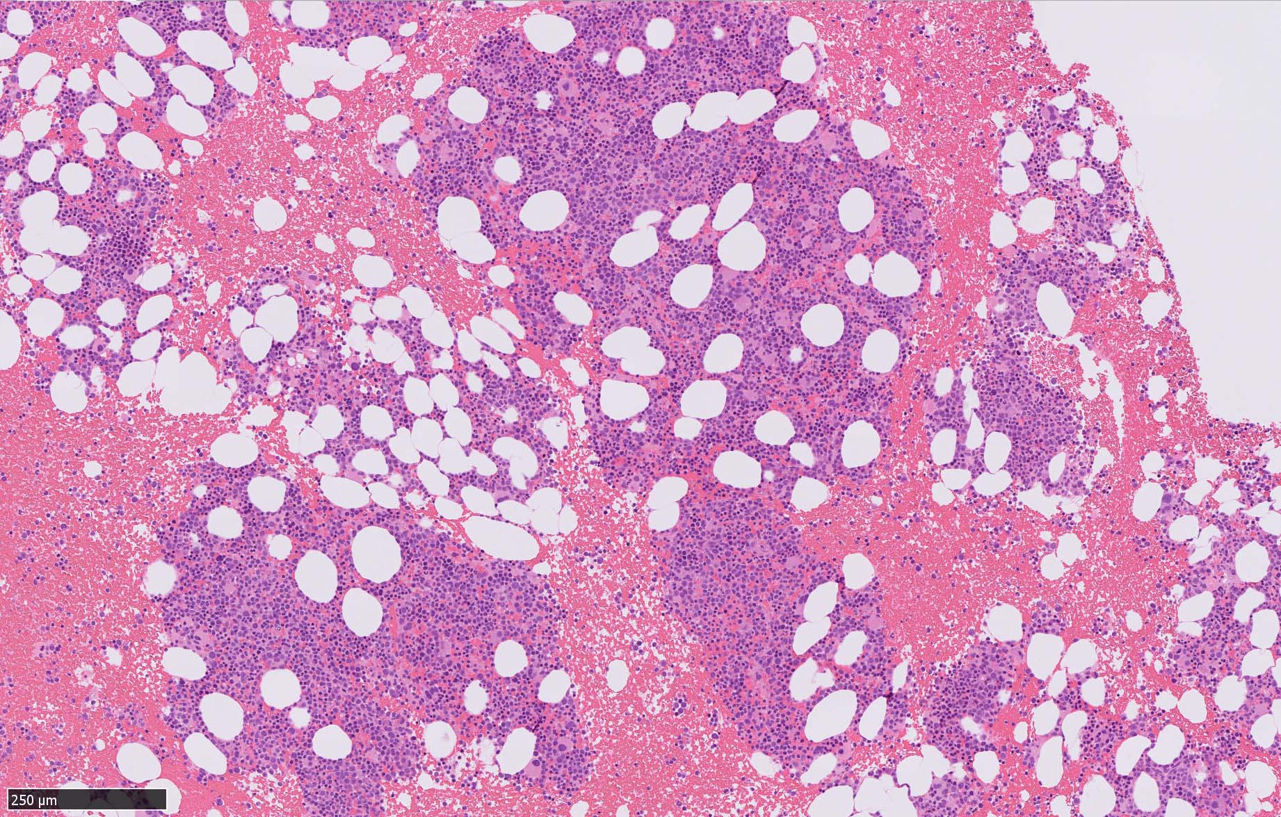
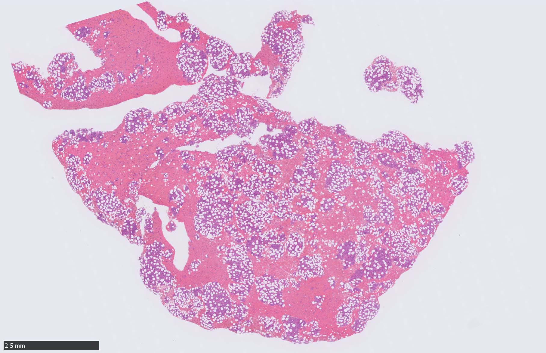
 骨髄病理所見

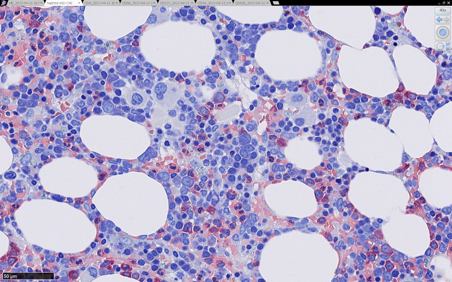
HEでは腫瘍細胞の同定が難しい. 本症例は ASD-Giemsa染色を見ても, 腫瘍胞巣はよくわからなかった. 皮膚が先に診断がつき, 次いでBone marrowだったため, 免疫染色にすすめたが, Bone marrowが先だと診断に困ったかもしれない.

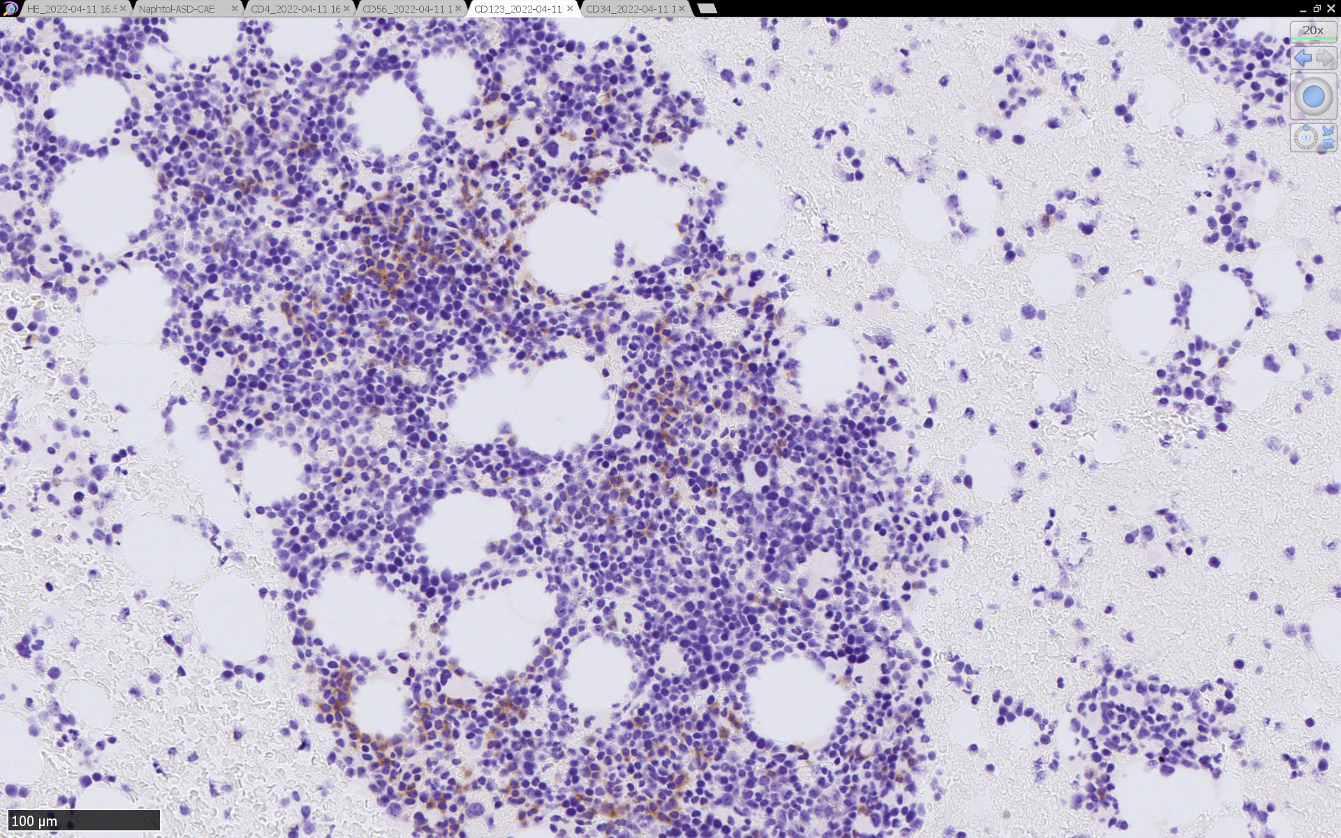
免疫染色

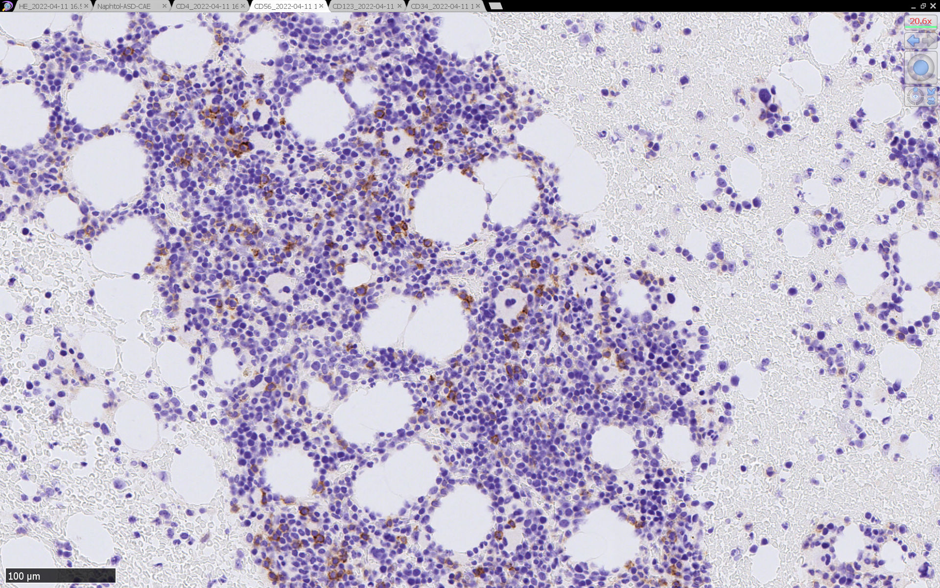
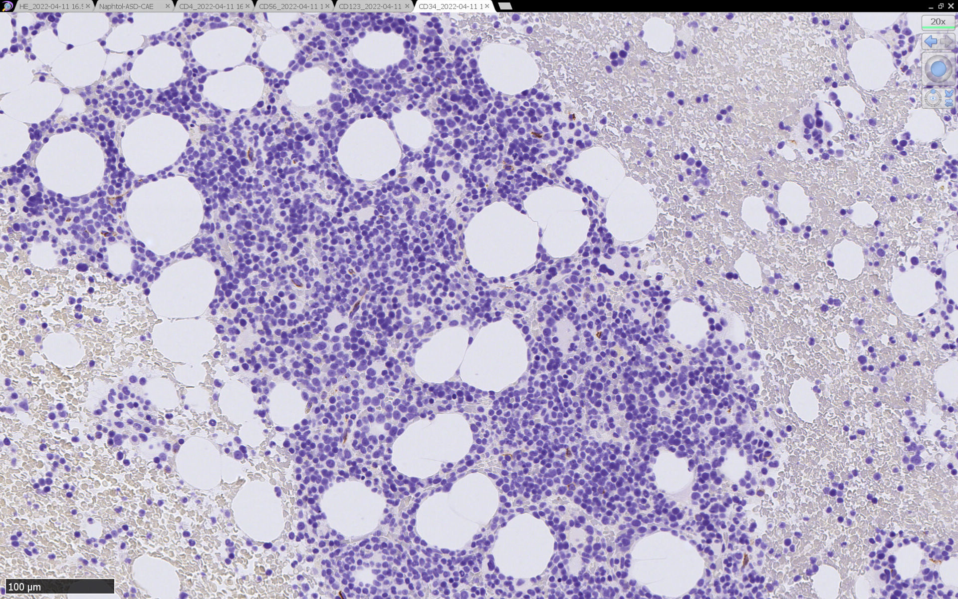
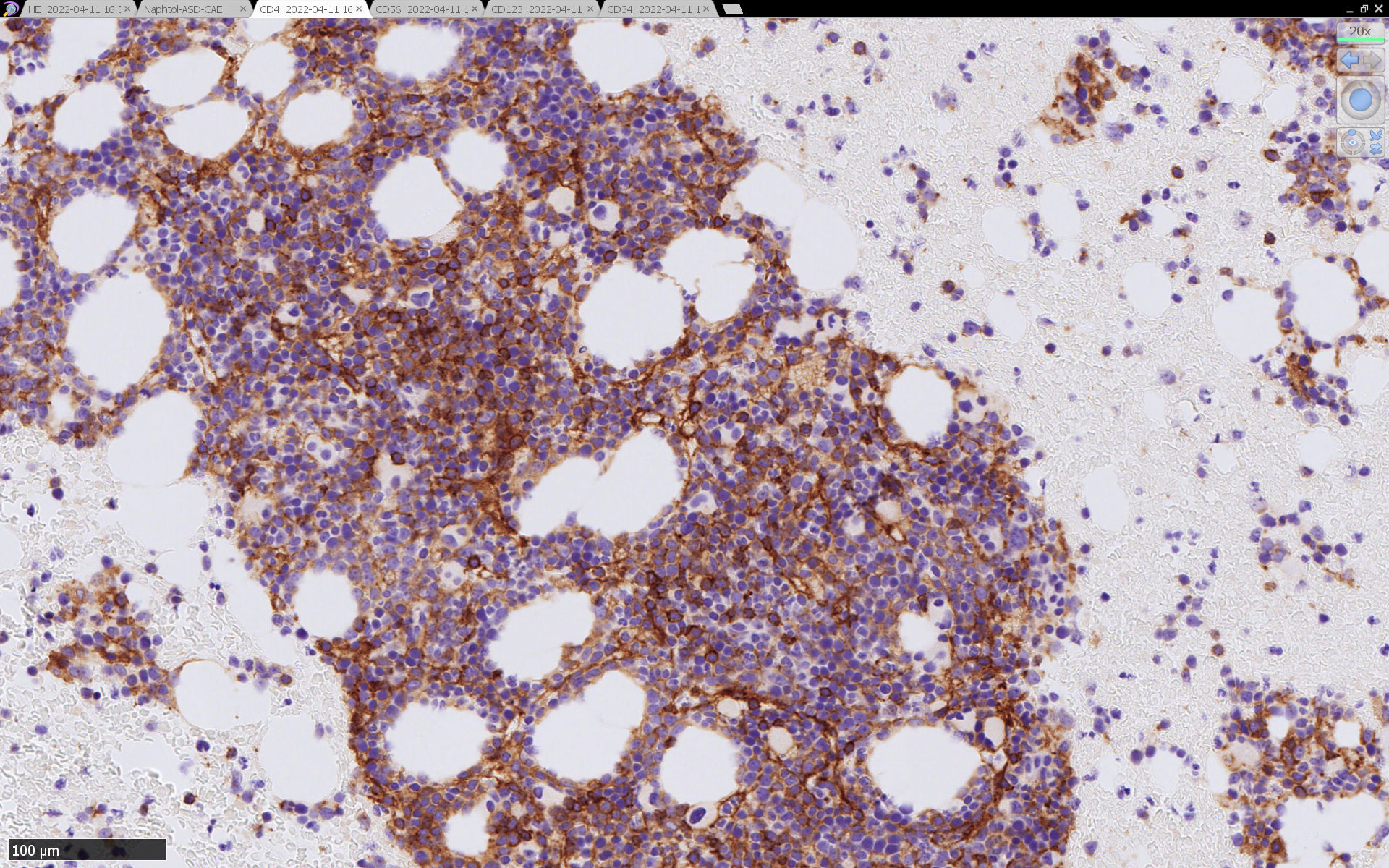
CD4は染まりすぎの感がある(濃く染まる細胞はCD4+ T-cellかもしれない). CD56, CD123が陽性で可能性が高くなり, BPDCNの診断にはCD34は陰性であることが必要
TCF4、CD123、TCL1をconsultationにより染色していただき, 陽性を確認した. CD34-, lysozyme-, CD123(おいてある病院は少ないかも)をしらべて, BPDCN研究会あてconsultationをする流れでしょうか.

BPDCN骨髄病変の病理

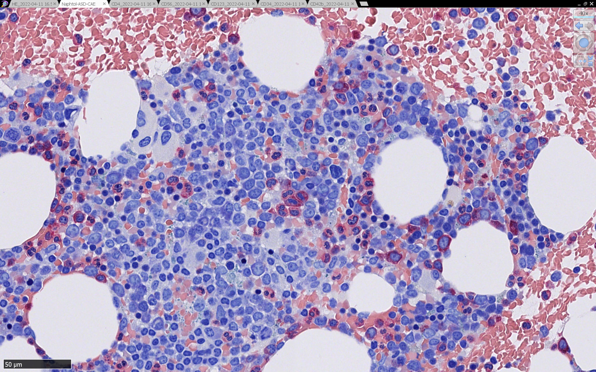
症例骨髄に認められた異形成造血所見

Mgkは低分葉, 円形単核の細胞が多く, 分離円形核のMgkもみられた. 赤芽球はproerythroblstsのみの小集簇や孤在性出現あり. 成熟赤芽球が乏しい. 顆粒球系細胞も分葉好中球への分化像が少ない.
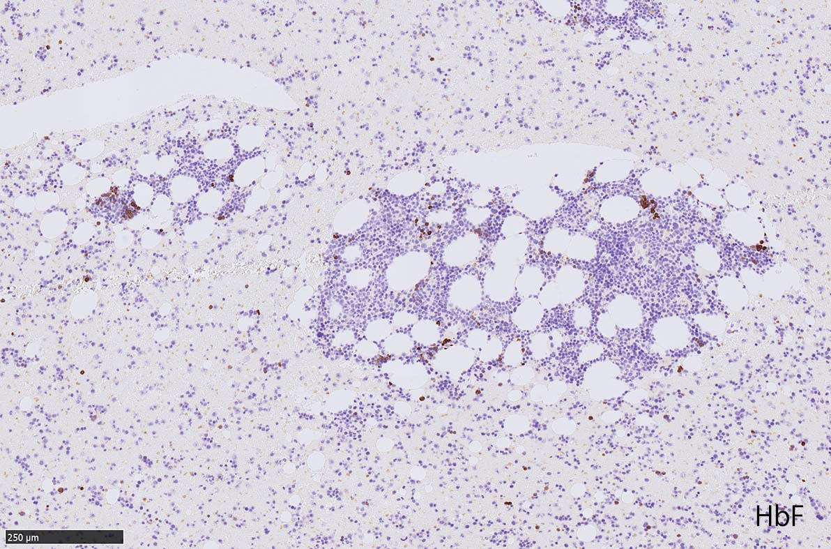
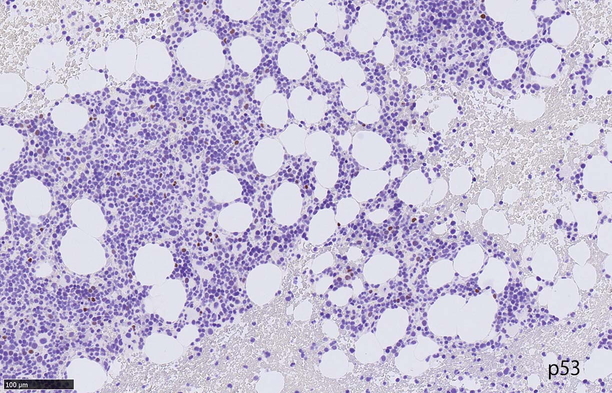
免疫染色では, HbFを発現する赤芽球の集簇巣が散見しているほか, p53陽性細胞が軽度に増加している. CD34陽性細胞増加はなし.CD42b染色でmicroMgkはみられなかった. 異形成造血が強く疑われる.

 

BPDCNの増殖細胞形態

BPDCN 腫瘍は形態の異なる2種類の細胞の均一単調な増殖からなる.*4 本例はclassical BPDCNとなる

1. classical BPDCN

腫瘍細胞核は中等大, 不整形. クロマチンは繊細で, 核小体は不明瞭か, 1ないし数個. 細胞は狭小から中程度の量の細胞質をもつ.

2. immunoblastic BPCDN*2*3*4

類円形空胞状核, 好塩基性で中等量の細胞質,大きな光輝性の中心性核小体を1個もつ免疫芽球(immunoblast)に似た細胞の増殖が主体.

Dendritic cell markers

 TCF4:T cell factor/lymphoid enhancer-binding factor (TCF/LEF) ファミリーの転写因子のひとつ.

T cell factor/lymphoid enhancer-binding factor (TCF/LEF) ファミリーの転写因子は、胚発生や造血幹細胞、免疫細胞の発生に重要であることが知られている.*9TCF/LEFファミリーは、TCF1, LEF1, TCF3, TCF4 (TCF7, LEF1, TCF7L1, TCF7L2 とも呼ばれる) という4つのNFからなる.*10これらはWnt/β-cateninシグナル伝達経路の主要な下流メディエーターの一つとして作用し*11*12DCはTCF4アイソフォームを高発現している.*13*14

Manoharanら*15はマウスexperimental autoimmune encephalomyelitis(EAE)の誘導期および効果期において, DCにおけるTCF4の活性化が, 炎症反応の大きさを調節し, 宿主への付随的損害を抑える上で重要な役割を果たすことを報告している.

マウスのDC特異的なTCF4欠失は重度のEAE病態をもたらす. これは、TCF4を欠損したDCによってp38 MAPKの活性化が高まり、炎症性サイトカインの発現が増加し, Th1およびTh17細胞の極性が増加するためであった. 一方, TCF4欠損DCのp38 MAPK活性を薬理学的にブロックすると, 炎症性サイトカインの発現が著しく低下し, TCF4ΔDCマウスのEAEの重症度が減少した. これらの結果は, DCのTCF4が慢性炎症を制御し, EAEの免疫介在性病態を制限する新規のメカニズムを担うことを明らかにしている. DCにおけるTCF4の活性化を操作することは, MS(Multiple sclerosis)やその他の炎症性疾患の転帰を改善するための簡便な治療アプローチとなる可能性がある。

 TCL1; T細胞白血病/リンパ腫1A(TCL1A)遺伝子産物

TCL1Aは、1980年代にCarlo Croceのグループによって発見された癌遺伝子である.*16*17*18*19その産物であるTCL1は13 kDaのタンパク質であり、その機能にはホモダイマーを形成することが必要である*19

TCL1はAKTキナーゼの共活性化因子として働き、生理的に発現しているときは正常な成長・生存シグナルを仲介する一方、制御異常のときはリンパ腫形成や癌の進行を引き起こす.*19*20 *21*22TCL1は、初期B細胞やT細胞の正常な発生に関与するTCL1ファミリータンパク質のキーアイソフォームである*19.

TCL1の発現は、胚中心(GC)中心芽細胞、中心細胞、GC後のメモリーB細胞、濾胞性リンパ腫(FL)、バーキットリンパ腫(BL)、びまん性大B細胞リンパ腫(DLBCL)などの胚中心から生じる腫瘍、慢性リンパ性白血病(CLL)などのメモリー細胞に認められる*19*23.胸腺細胞の発生後期におけるTCL1の長期間の発現増加は、T細胞前リンパ球性白血病(T-PLL)を引き起こす*18*19.

T細胞におけるTCL1の発現異常は、染色体転座によりTCL1(染色体14q31.2上)がTCR(T Cell Receptor)エンハンサー下流に位置することに起因している.

B細胞腫瘍におけるTCL1の過剰発現の正確なメカニズムは、転座やEBV(Epstein-Barr Virus)感染が関与していないため、不明である.*24*25 B細胞悪性腫瘍におけるTCL1の異常発現の背景には、転写イベントやエピジェネティックシグナルの変化があるのかもしれない.*26*27

 
 

CD123陽性AMLの症例

 


*1  Sakamoto K, et al. Comparison and Development of Immunohistochemical Diagnostic Criteria for Blastic Plasmacytoid Dendritic Cell Neoplasm Mod Pathol. 2023 Oct;36(10):100253. doi: 10.1016/j.modpat.2023.100253. Epub 2023 Jun 26.
*2  坂本佳奈 竹内賢吾 芽球性形質細胞様樹状細胞. 特殊または稀少な造血器腫瘍に対する診断・病態と治療 血液内科 2020; 80(5): 718-723
*3  Sakamoto K, Takeuchi K, Cytogenetics of Blastic Plasmacytoid Dendritic Cell Neoplasm. Hematology/Oncology Clinics of North America, 2020; 34(3): 523-538 PMID: 32336417
*4  Sakamoto K, et al. Recurrent 8q24 rearrangement in blastic plasmacytoid dendritic cell neoplasm: association with immunoblastoid cytomorphology, MYC expression, and drug response. Leukemia. 2018;32(12):2590-2603.PMID: 29795241
*5  Laribi K, et al. Blastic plasmacytoid dendritic cell neoplasms: results of an international survey on 398 adult patients Clinical Trials & Observations. Blood Adv (2020) 4 (19): 4838-4848.; This is the largest study describing the clinical features and outcomes, according to different therapeutic approaches, of patients with BPDCN.
*6  Dzionek A, Fuchs A, et al. BDCA‐2, BDCA‐3, and BDCA‐4: three markers for distinct subsets of dendritic cells in human peripheral blood. J Immunol 2000;165: 6037-6046
*7  Dzionek A, Sohma Y, et al. BDCA‐2, a novel plasmacytoid dendritic cell‐specific type II C‐type lectin, mediates antigen capture and is a potent inhibitor of interferon alpha/beta induction. J Exp Med 2001; 194: 1823-1834
*8  Jaehn PS, Zaenker KS, et al. Functional dichotomy of plasmacytoid dendritic cells: antigen‐specific activation of T cells versus production of type I interferon. Eur J Immunol 2008; 38: 1822-1832
*9  25:Staal FJH, Clevers C. WNT signalling and haematopoiesis: a WNT-WNT situation. Nat. Rev. Immunol. 2005;5:21-30.
*10  25:Staal FJH, Clevers C. WNT signalling and haematopoiesis: a WNT-WNT situation. Nat. Rev. Immunol. 2005;5:21-30.
*11  Staal FJH, Clevers C. WNT signalling and haematopoiesis: a WNT-WNT situation. Nat. Rev. Immunol. 2005;5:21-30.
*12  26:Suryawanshi A. M. S.Hussein P. D.Prasad S.Manicassamy. Wnt signaling cascade in dendritic cells and regulation of anti-tumor immunity. Front. Immunol. 2020; 11: 122.
*13  27:Hong YI, et al. β-catenin promotes regulatory T-cell responses in tumors by inducing vitamin A metabolism in dendritic cells. Cancer Res.2015; 75: 656-665.
*14  Swafford D. et al.The Wnt-β-catenin-IL-10 signaling axis in intestinal APCs protects mice from colitis-associated colon cancer in response to gut microbiota. J. Immunol.2020; 205: 2265-2275.
*15  Manoharan I, et al. Activation of Transcription Factor 4 in Dendritic Cells Controls Th1/Th17 Responses and Autoimmune Neuroinflammation. J Immunol 2021; 207(5): 1428-1436
*16  Russo G, et al. Molecular analysis of a t(14;14) translocation in leukemic T-cells of an ataxia telangiectasia patient. Proc Natl Acad Sci USA. (1989) 86:602-6.
*17  Virgilio L, et al. Chromosome walking on the TCL1 locus involved in T-cell neoplasia. Proc Natl Acad Sci USA. (1993) 90:9275-9.
*18  Virgilio L, Narducci MG, Isobe M, Billips LG, Cooper MD, Croce CM, et al.. Identification of the TCL1 gene involved in T-cell malignancies. Proc Natl Acad Sci USA. (1994) 91:12530-4.
*19  Teitell MA. The TCL1 family of oncoproteins: co-activators of transformation. Nat Rev Cancer (2005) 5:640-8
*20  Laine J, et al. The protooncogene TCL1 is an Akt kinase coactivator. Mol Cell (2000) 6:395-407.
*21  Laine J, et al. Differential regulation of Akt kinase isoforms by the members of the TCL1 oncogene family. J Biol Chem. (2002) 277:3743-51.
*22  Noguchi M, et al. Proto-oncogene TCL1: more than just a coactivator for Akt. FASEB J. (2007) 21:2273-84.
*23  Narducci MG, et al.. TCL1 is overexpressed in patients affected by adult T-cell leukemias. Cancer Res. (1997) 57:5452-6.
*24  Said JW, et al.TCL1 oncogene expression in B cell subsets from lymphoid hyperplasia and distinct classes of B cell lymphoma. Lab Invest. (2001) 81:555-64.
*25  Kiss C, et al.T cell leukemia I oncogene expression depends on the presence of Epstein-Barr virus in the virus-carrying Burkitt lymphoma lines. Proc Natl Acad Sci USA. (2003) 100:4813-8.
*26  Yuille MR, et al. TCL1 is activated by chromosomal rearrangement or by hypomethylation. Genes Chromosomes Cancer (2001) 30:336-41.
*27  French SW, et al.Sp1 transactivation of the TCL1 oncogene. J Biol Chem. (2003) 278:948-55.

トップ   新規 一覧 検索 最終更新   ヘルプ   最終更新のRSS