Mantle cell lymphoma

Bone marrow involvement of mantle cell lymphomaの症例

 
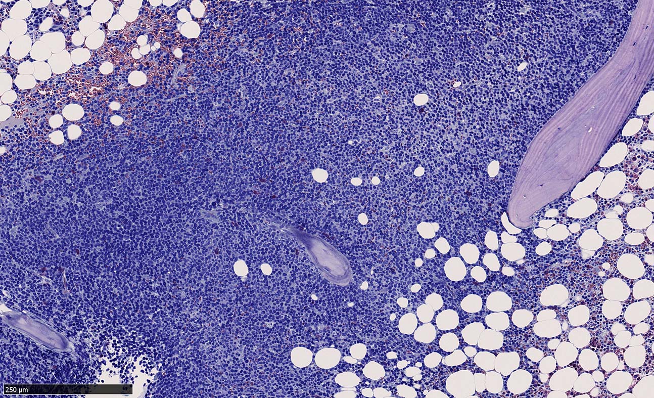
BM involvement of MCL02.jpg

骨髄骨梁間に密なASD-Giemsa陰性の小型~中型円形細胞の浸潤が認められる.

MCLは60-90%の症例で骨髄に浸潤する. *1*2*3*4*5. 骨髄浸潤の最も一般的なパターンは, focal random(限局性, ランダム)で, 80%以上の症例でみられる.

骨梁間(interstitial)には約50%, びまん性浸潤は20~30%の症例でみられる。*1,*6 とくに, 傍骨梁浸潤は45%の症例に認められる. 時には、濾胞性リンパ腫に似た傍骨梁のみの浸潤を認めることもある. まれに、顕著な類同内浸潤を伴う症例も報告されている。*7

 

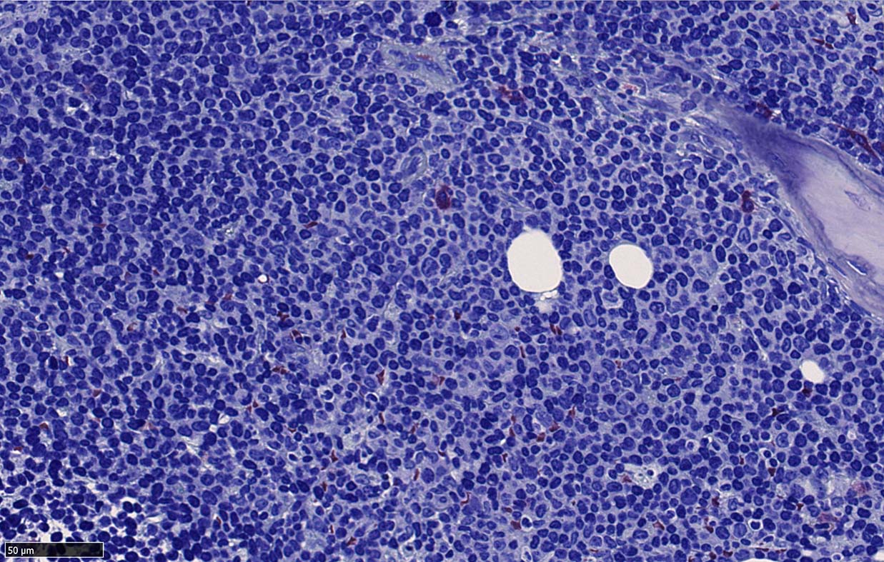
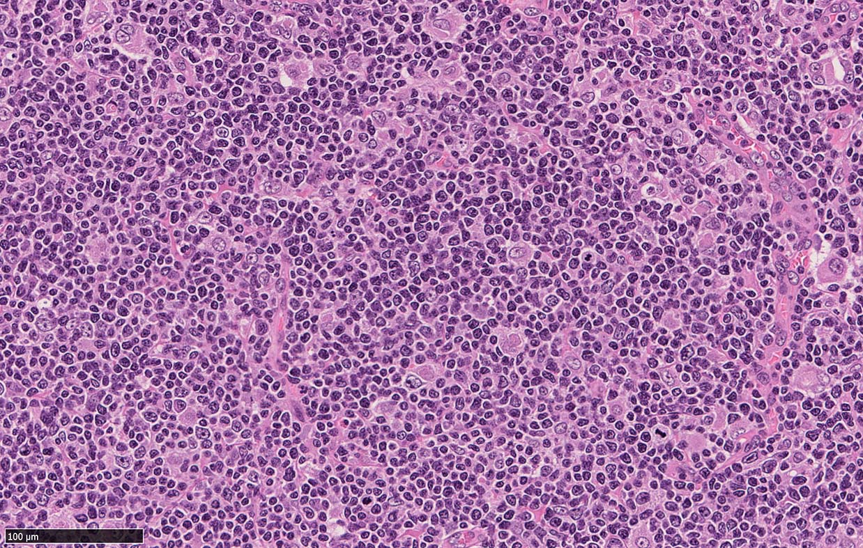
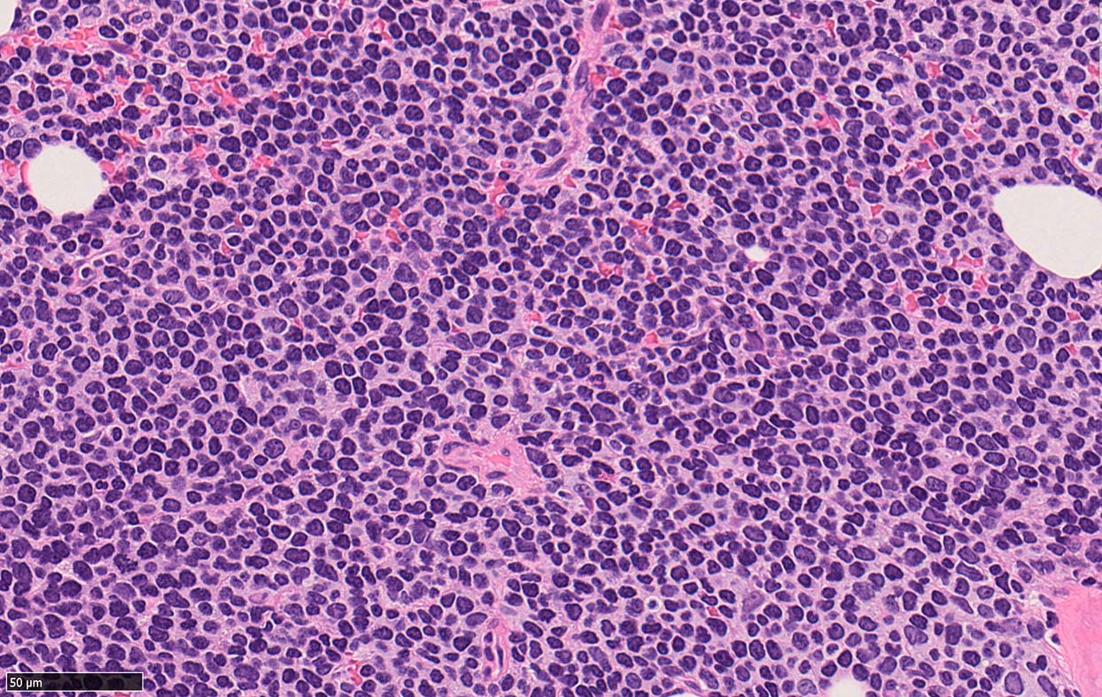
骨髄浸潤細胞所見


*1  Cohen PL, Kurtin PJ, Donovan KA, Hanson CA: Bone marrow and peripheral blood involvement in mantle cell lymphoma. Br J Haematol 1998; 101: pp. 302-310.
*2  Pittaluga S, Verhoef G, Criel A, et. al.: Prognostic significance of bone marrow trephine and peripheral blood smears in 55 patients with mantle cell lymphoma. Leuk Lymphoma 1996; 21: pp. 115-125.
*3  Weisenburger DD, Vose JM, Greiner TC, et. al.: Mantle cell lymphoma. A clinicopathologic study of 68 cases from the Nebraska Lymphoma Study Group. Am J Hematol 2000; 64: pp. 190-196.
*4  Samaha H, Dumontet C, Ketterer N, et. al.: Mantle cell lymphoma: a retrospective study of 121 cases. Leukemia 1998; 12: pp. 1281-1287.
*5  Bertini M, Rus C, Freilone R, et. al.: Mantle cell lymphoma: a retrospective study on 27 patients. Clinical features and natural history. Haematologica 1998; 83: pp. 312-316.
*6  Wasman J, Rosenthal NS, Farhi DC: Mantle cell lymphoma. Morphologic findings in bone marrow involvement. Am J Clin Pathol 1996; 106: pp. 196-200.
*7  Schenka AA, Gascoyne RD, Duchayne E, Delsol G, Brousset P: Prominent intrasinusoidal infiltration of the bone marrow by mantle cell lymphoma. Hum Pathol 2003; 34: pp. 789-791.
*8  Viswanatha DS, Foucar K, Berry BR, Gascoyne RD, Evans HL, Leith CP: Blastic mantle cell leukemia: an unusual presentation of blastic mantle cell lymphoma. Mod Pathol 2000; 13: pp. 825-833.
*9  Wong KF, Chan JK, So JC, Yu PH: Mantle cell lymphoma in leukemic phase: characterization of its broad cytologic spectrum with emphasis on the importance of distinction from other chronic lymphoproliferative disorders. Cancer 1999; 86: pp. 850-857.

トップ   新規 一覧 検索 最終更新   ヘルプ   最終更新のRSS