Wikipathologica-KDP

Burkitt lymphoma

Burkitt lymphoma--case03

80歳代女性
かかりつけ医さんで高血圧治療中, 高LDH血症(2970IU/L)を指摘され精査のために当院受診。腹部CTで骨盤腔から後腹膜にかけての腫瘤および水腎症が認められた。
頸部, 鎖骨上窩にリンパ節腫大あり。悪性リンパ腫がつよく疑われ入院精査となる。入院時LDH 7220IU/L

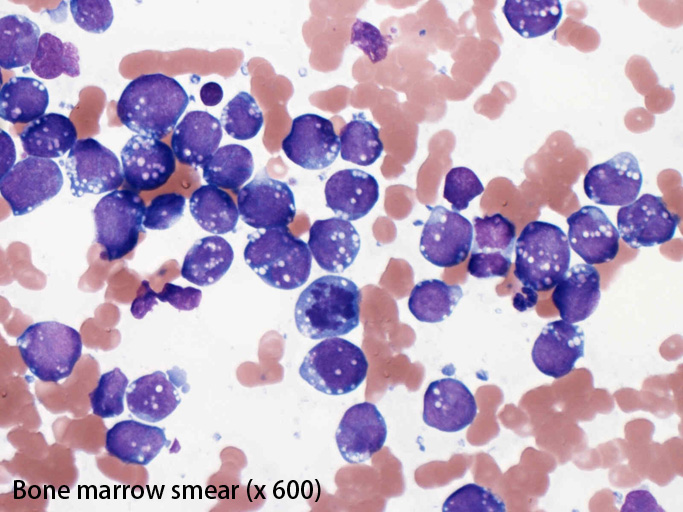
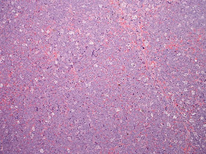
左頚部リンパ節

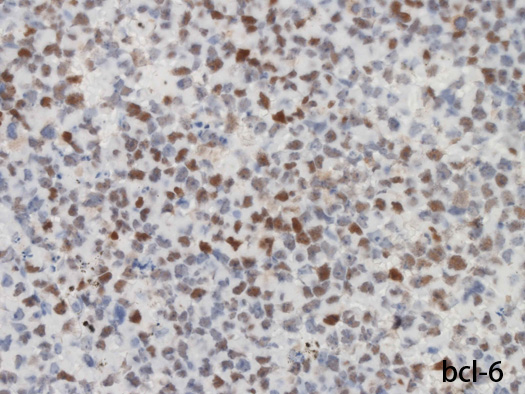
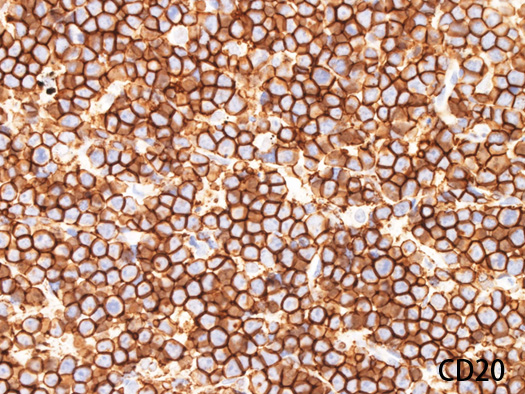
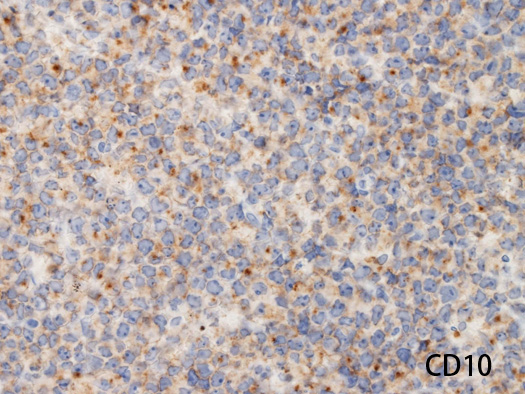
免疫染色

 
 

核型を調べたが増殖不良のため、c-myc/ IgHのFISHを行った。 fusion 77.0%

cmycIgH.jpg

Pathological Diagnosis

Burkitt's lymphoma, supraclavicular lymph node, biopsy


トップ   新規 一覧 検索 最終更新   ヘルプ   最終更新のRSS