Wikipathologica-KDP

WHO第4版および改訂第4版に準拠した疾患名のページ --->WHO第5版のページ

第9回東京骨髄病理研究会

myeloid and lymphoid neoplasms with eosinophilia and abnormalities of PDGFRA, PDGFRB or FGFR1

WHO2016, 修正第4版. 好発年齢は40歳代, 男性に圧倒的に多くみられる.

腫瘍性好酸球増多症

1. myeloid and lymphoid neoplasms with eosinophilia and abnormalities of PDGFRA, PDGFRB or FGFR1

2. eosinophilic leukemia, NOS

3. chronic eosinophilic leukemia/ hypereosinophilic syndrome(HES)*

好酸球増多症の診断フローチャート*1

eosinophilia-DDX.jpg

1975年Chusid*2らにより原因不明の高度好酸球増多が持続する症例をidiopathic hypereosinophilic syndromes(HES)として診断基準が決められた.

1. 6か月以上続く1500/μlを超える高度の好酸球増多(1ヶ月以上の間隔をおいて2回の検査で認められる1500/μlを超える''高度の好酸球増多をhypereosinophiliaとよぶ.)

2. 寄生虫, allergy, その他の原因による反応性好酸球増多が否定できる

3.好酸球増多による臓器障害の徴候や症状を伴う.

Chusidらの基準には腫瘍性の証明は問われていない.

2001年WHO3版

HESの病態を示す疾患の中で

1). clonalな増殖を示す.

2). 末梢血芽球が2%以上.

3). 骨髄の芽球 5%-20%未満.

1-3のいずれかが見られることで腫瘍性と考えられる疾患をchronic eosinophilic leukemia(CEL)とした。
CELとHESの鑑別は困難とされ, CEL/HESと記載されている.

2003年 Coolsら*3は, HES16例中9例にFIP1L1-PDGFRA融合遺伝子が形成され, 異常融合タンパクのチロシンキナーゼ恒常的活性化により病態が引き起こされていることを報告した.

2008年WHO第4版

2008年WHO第4版において, 好酸球増多症のうち特定の遺伝子異常が原因と考えられる一群を「myeloid and lymphoid neoplasms with eosinophilia and abnormalities of PDGFRA, PDGFRB or FGFR1として骨髄系腫瘍に分類した.

HESはWHO第4版では疾患分類として記載されていないが, 除外診断として残り, Chusid Jらの基準を満たし, CELの確定に至らないもの. 未知の機序による好酸性白血病や, 反応性病態が含まれると考えられるが鑑別は困難.

myeloid and lymphoid neoplasms with eosinophilia and abnormalities of PDGFRA, PDGFRB or FGFR1、chronic eosinophilic leukemia,NOS、HESの3疾患が腫瘍性好酸球増殖疾患の大部分を占める。

CML他のMPN, AML, mastocytosis, MDSなどでも腫瘍性好酸球増殖をきたすことがある.

2016年WHO 修正第4版

eosinophilia-WHO2016.jpg

WHO2016年修正第4版で特異な遺伝子異常をもつ好酸球増多関連増殖症の診断基準は,好酸球増多のない症例も含まれるが,そのまま残されている.

さらに修正版においてはmyeloid neoplasmwith t(8;9)(p22;p24.1);PCM1-JAK2をあたらしい暫定的疾患群として組み入れている.*5*6

PCM1: pericentriolar material 1 provided by HGNC:HGNC:8727 (PTC4; RET/PCM-1)
この遺伝子によってコードされるタンパク質は、中心体の周りに散在する電子高密度顆粒であるcentriolar satellitesの構成要素である。PCM1発現阻害試験により, このタンパク質がいくつかの中心体タンパク質の正確な局在化および中心体への微小管の固定に必須であることがしめされている.

このまれな症例は好酸球増多に, 左方移動した赤芽球が優位で, リンパ球集簇を認める骨髄所見を呈する. しばしば原発性骨髄線維症に似る線維化も示す.(右図)

また, まれながらTまたはBリンパ芽球性白血病(急性リンパ芽球性白血病)の病型をとり, JAK阻害剤に反応する*7

その他のJAK2-再構成腫瘍では, t(9;12)(p24.1;p13.2);ETV6-JAK2や t(9;22)(p24.1;q11.2);BCR-JAK2 が同様の所見を示す. しかし, 大変まれなため今回の疾患分類にはふくまれていない.

さらに, ETV6-JAK2 および BCR-JAK-再構成腫瘍は 原発性のB-cell ALL(B-ALL)の病型をとり, 第一にはBCR-ABL1様(/類似) B-ALLに相当すると考えられ, B-lymphoblastic leukemia/lymphomaの暫定新疾患として考えられている.*6

好酸球増多を示し特定の遺伝子異常をともなう骨髄増殖腫瘍の遺伝子診断

FIP1L1-PDGFRA-CEL.jpg

FIP1L1-PDGFRA

PDGFRA(4q12), PDGFRB(5q31-32), FGFR1(8p11)遺伝子再構成を伴うMPN

FIP1L1-PDGFRA融合遺伝子が陰性の場合

eosinophilia-FISH.jpg

腫瘍性好酸球増殖症診断のFISH

FISH検査 *9

 

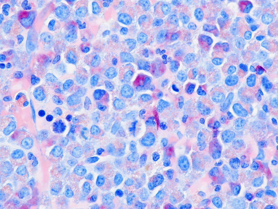
骨髄所見, 細胞所見

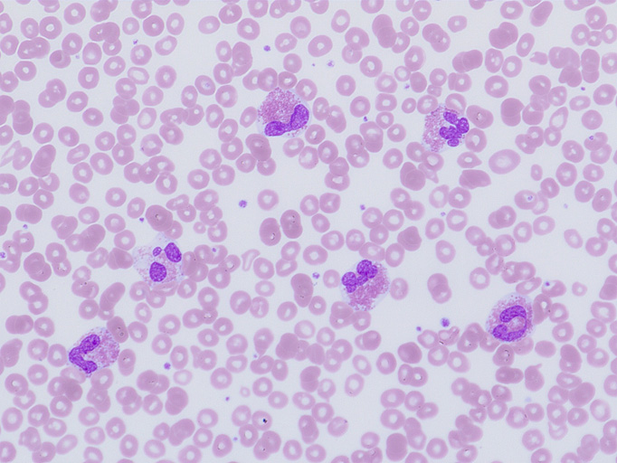
末梢血好酸球の異常形態

クリックで大きな画像が見られます.

 

PDGFRA

PDGFR-mutation.jpg

 治療*13*14*15

FIP1L1-PDGFRA 融合遺伝子が陽性であれば第一選択肢はimatinibとなる.

imatinibの感受性はCMLのBCR-ABLにくらべ50-100倍とされ100mg/dayでも寛解導入が可能といわれている.(CMLでは400mg/day)

steroid, Hydroxy Urea, IFN-alphaに不応性の症例でも早期に血液学的寛解に入り症状も改善する

ただし, imatinibの減量や中止で再発する可能性があり, 投与の維持が必要である. 100mg/dayで安全に維持が可能とされる.*16

PDGFRA T674Iの変異があるとimatinib耐性をしめす. この場合新しいTKIの投与が考慮される.

 
 

myeloid neoplasm with eosinophilia and FIP1L1-PDGFA fusion gene

IWT-case

40歳代男性 健康診断で白血球増多を指摘される. 昨年は異常なし. WBC 23830/μl, Hb 11.8g/dl. 総合診療科で好酸球性白血病が疑われ, 血液内科受診となる.
WBC 18100/μl, Seg3.0%, Eo79.0%, Ba0.0%, Mo2.0%, Ly15%. sIL2-R; 8300. CTで脾腫, 脊椎, 骨盤の骨髄占拠性病変を指摘されている.

 Hypereosinophilic syndrome患者さんでFIP1L1-PDGFRA融合遺伝子が陽性を強く疑う所見*21
1. 男性
2. 脾腫がある
3. 貧血, 血小板減少
4. 異形成好酸球が出現(大型, 不整核, 顆粒減少など)
5. 血清VitB12上昇 (> 1000pg/ml)
6. 血清トリプターゼの上昇(>12ng/ml)
7. 骨髄細胞密度増加 cellularity > 80%
8. 骨髄線維化と紡錘形肥満細胞増加(25%以上)
9. CD25あるいはCD2陽性骨髄肥満細胞増加
10.imatinibが著効する(投与翌日からの好酸球減少)

末梢血FISH検査.

CEL-del4q12-01.jpg SRL-del4q12.jpg 100分析細胞中 del(4)(q12)は98%. FIP1L1-PDGFRA fusion

 

骨髄組織検査


*1  弘井 誠 好酸球増加およびPDGFRA, PDGFRBまたはFGFR遺伝子異常を伴う骨髄系ならびにリンパ系腫瘍と慢性好酸球性白血病 定平 吉都,北川 昌伸 編, 造血器腫瘍 腫瘍病理鑑別診断アトラス 2013; pp79-84 文光堂 東京
*2  Chusid MJ, et al, The hypereosinophilic syndrome: analysis of fourteen cases with review of the literature.Medicine (Baltimore). 1975 Jan;54(1):1-27.
*3  Cools J, et al, A tyrosine kinase created by fusion of the PDGFRA and FIP1L1 genes as a therapeutic target of imatinib in idiopathic hypereosinophilic syndrome. N Engl J Med. 2003 Mar 27;348(13):1201-14.
*4  Metzgeroth G, et al. Recurrent finding of the FIP1L1-PDGFRA fusion gene in eosinophilia-associated acute myeloid leukemia and lymphoblastic T-cell lymphoma. Leukemia. 2007 Jun;21(6):1183-8.
*5  Patterer V, et al. Hematologic malignancies with PCM1-JAK2 gene fusion share characteristics with myeloid and lymphoid neoplasms with eosinophilia and abnormalities of PDGFRA, PDGFRB, and FGFR1. Ann Hematol. 2013; 92(6): 759-769.
*6  Bain BJ, Ahmad S. Should myeloid and lymphoid neoplasms with PCM1-JAK2 and other rearrangements of JAK2 be recognized as specific entities? Br J Haematol. 2014; 166(6): 809-817.
*7  Rumi E, Milosevic JD, Selleslag D, et al. Efficacyof ruxolitinib in myeloid neoplasms with PCM1-JAK2 fusion gene. Ann Hematol. 2015;94(11):1927-1928.
*8  Elling C, et al. Novel imatinib-sensitive PDGFRA-activating point mutaions in hypereosinophilic syndrome induce growth factor independence and leukemia-like disease Blood 2011; 117; 2935-2943
*9  定明子ほか 好酸球増多症候群(HES)の新分類と腫瘍性HESの分子標的治療 臓器病変を伴う好酸球増多症 診断と治療 2015; 103(5): 655-660
*10  Pardanani A, et al. FIP1L1-PDGFRA fusion: prevalence and clinicopathologic correlates in 89 consecutive patients with moderate to severe eosinophilia. Blood. 2004 Nov 15;104(10):3038-45.
*11  Stover EH, et al. Activation of FIP1L1-PDGFRalpha requires disruption of the juxtamembrane domain of PDGFRalpha and is FIP1L1-independent.Proc Natl Acad Sci U S A. 2006 May 23;103(21):8078-83.
*12  Cools J, et al. A tyrosine kinase created by fusion of the PDGFRA and FIP1L1 genes as a therapeutic target of imatinib in idiopathic hypereosinophilic syndrome.N Engl J Med. 2003 Mar 27;348(13):1201-14.
*13  Klion AD. How I treat hypereosinophilic syndromes. Blood. 2009 Oct 29;114(18):3736-41.
*14  Gotlib J, Cools J. Five years since the discovery of FIP1L1-PDGFRA: what we have learned about the fusion and other molecularly defined eosinophilias. Leukemia. 2008 Nov;22(11):1999-2010.
*15  Gleich GJ, Leiferman KM. The hypereosinophilic syndromes: current concepts and treatments. Br J Haematol. 2009 May;145(3):271-85.
*16  Tefferi A, et al. Hypereosinophilic syndrome and clonal eosinophilia: point-of-care diagnostic algorithm and treatment update. Mayo Clin Proc. 2010 Feb;85(2):158-64.
*17  Stover EH, et al. The small molecule tyrosine kinase inhibitor AMN107 inhibits TEL-PDGFRbeta and FIP1L1-PDGFRalpha in vitro and in vivo.Blood. 2005 Nov 1;106(9):3206-13. Epub 2005 Jul 19.
*18  Lierman E, et al. FIP1L1-PDGFRalpha D842V, a novel panresistant mutant, emerging after treatment of FIP1L1-PDGFRalpha T674I eosinophilic leukemia with single agent sorafenib.Leukemia. 2009 May;23(5):845-51.
*19  Cools J, et al. PKC412 overcomes resistance to imatinib in a murine model of FIP1L1-PDGFRα-induced myeloproliferative disease. Cancer Cell. 2003 May;3(5):459-69.
*20  Baumgartner C, et al. Dasatinib inhibits the growth and survival of neoplastic human eosinophils (EOL-1) through targeting of FIP1L1-PDGFRalpha.Exp Hematol. 2008 Oct;36(10):1244-53.
*21  Klion AD. How I treat hypereosinophilic syndromes. Blood. 2009 Oct 29;114(18):3736-41.

トップ   新規 一覧 検索 最終更新   ヘルプ   最終更新のRSS