Follicle and Follicular lymphoma

BCL2-negative follicular lymphoma - complex karyotypeを示したcase

IWT-case 68歳男性 鼠径部リンパ節の腫大

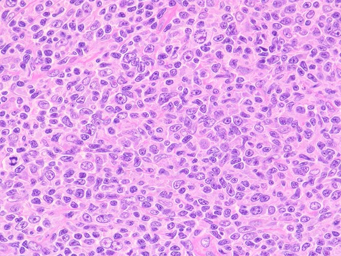
HE組織像

x400で濾胞細胞は, centrocyteのほか, centroblast(核小体が核辺縁部に複数存在)および
核中心部に大きめの核小体をもつimmunoblast-like cellが存在している. immunoblastsも大型細胞に含めて >15/hpf でgradeは3A (含めていいんだよね)

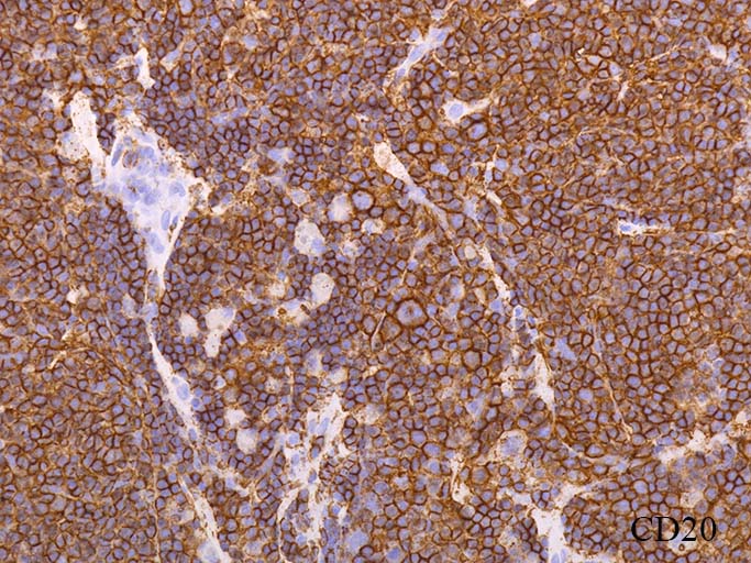
免疫染色

濾胞内の細胞はCD20+, CD10+, BCL6+の濾胞中心細胞であるがBCL2は陰性。陽性になっているのは follicular T-cellと考えられる. 胚中心外にCD10陽性細胞がこぼれ出るように多数認められる異常所見はFLに特徴的所見.

prototypeと同様濾胞内細胞のMIB-1 LIは低値をしめしているようである. (陽性はT-cell)

核型とFCM

48,XY,+X,add(1)(p36.1),add(1)(q32),add(2)(p11.2),add(2)(q11.2),add(4)(q21),add(15)(q11.2),-20,+mar1,+mar2[2]
/49,idem,+7[11]/46,XY[5]--- 1p36.1の異常が認められる. FLの最も多い付加的異常である1p36の欠損とは違った染色体異常のようです. t(14;18)(q32;q21)転座は認められない.

FCMではB細胞の増加を認めlambda>>kappaのdeviationが認められている.

 

chromosome 1p36の異常

TNFRSF14(TNF receptor superfamily member 14) NCBI Gene ID: 8764

 
 

Follicular lymphoma with diffuse growth pattern で発症, 寛解8年後にconventional type FLを再発した case

IWT-case 76 歳女性 

腰痛, 左大腿部痛が出現. 症状一時改善した. 1ヶ月後増悪, 左腸骨骨融解像を指摘される.
癌の骨転移を疑われ, CTガイド下生検を施行したが診断可能な細胞が採取できなかった. 鼠径リンパ節腫大があり,リンパ節生検が行われた.

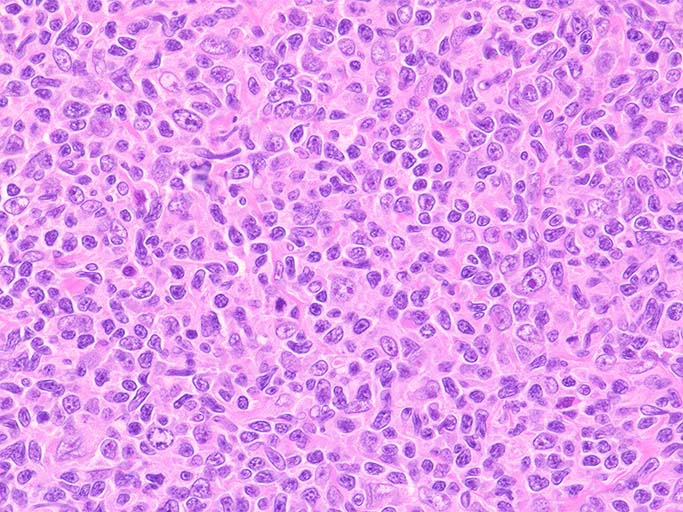
鼠径リンパ節病理標本(初発時リンパ節標本)

鼠径リンパ節生検組織では, びまん性に中~大型のcentroblasticまたはimmunoblastic cellsが密に増殖しCD21染色を行っても明らかな濾胞形成は認められない.
diffuse patternの増殖を示すリンパ腫病変と考える.

 

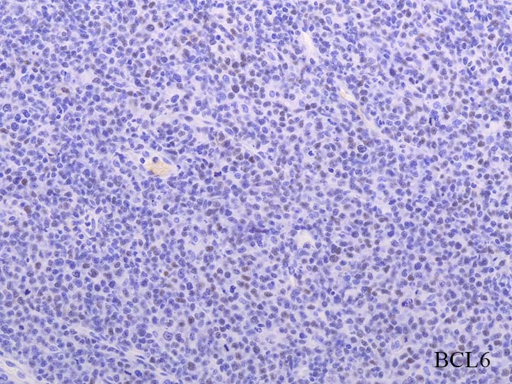
免疫染色

びまん性に増殖する中~大型異型リンパ球は, CD19+, CD10+, BCL2+, BCL6は+だが, controlに比べて発現がよわい傾向がある.

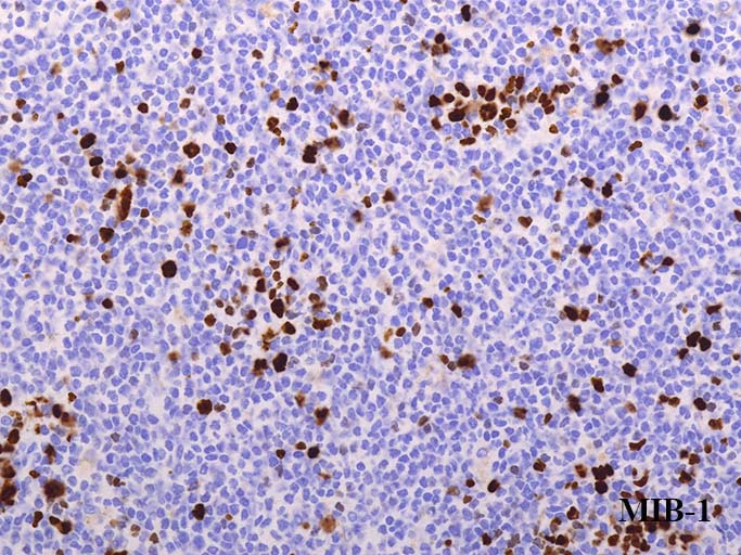
増殖細胞はMIB-1陰性が多い. びまん性に増殖リンパ球がCD23陽性を示す. CD21は陰性(上, loupe像)

 
 

Flow cytometry と karyotype核型異常

FCMではkappa, lambda表面抗原が再検しても陰性であった。
46,XX,t(9;13)(p22;q14),t(9;15)(p13;q15),t(14;18)(q32;q21)[20] --- t(14;18)転座のほか2つの未知な転座が検出されている.

 

寛解後8年目に再腫大したリンパ節生検標本(再発時 頸部リンパ節)

2017年12月に左頚部リンパ節腫大を自覚して受診. (初発より約8年6ヶ月後 84year-old)

follicular growthパターンを示す病変. 拡大像ではcentrocytic/ centroblastic cellの増殖がみられ, grade3Aのfollicular lymphomaを考える. 大型多型細胞が少数認められる.
すべてがcentroblasts/ immunoblastからなる濾胞はみられなかった.

免疫染色

増殖リンパ球はCD20+, CD10+, BCL6+, BCL2+. CD10陽性細胞は濾胞外にも認められる. 異常所見.

 

BCL6は陽性コントロールと比較しても同程度に陽性を示している。初発のdiffuse lymphoma cellのように弱陽性ではない. MIB-1陽性細胞が集簇して認められる. labeling indexは濾胞全体では低値である.

 

CD23は再発の濾胞性増殖の腫瘍細胞でもびまん性に陽性となった.

 

FCMと核型

karyotype異常を認める.
karyotype A:47,XX,+X,-8,add(10)(q22),t(14;18)(q32;q21),+mar1. karyotype B:47,idem,-16,+mar2. karyotype C: 46,XX

FCMではCD20+, CD19+, CD10+, B-cellが増加している. 初発時と同じくkappa, lambdaは染色されていない.

47,idem,-16,+mar2のクローンの染色体が細く、増殖が速いと考えられる. MIB-1+の集簇する細胞と関連している?

 
 

Diffuse follicular lymphoma variant

WHO2016で定義された病理形態的にも遺伝学的にも特殊なFLの一型

Diffuse follicular lymphoma variant*7


*1  Cheung KJ, et al. Genome-wide profiling of follicular lymphoma by array comparative genomic hybridization reveals prognostically significant DNA copy number imbalances. Blood. 2009 Jan 1;113(1):137-48.PMID:18703704
*2  Launay E, et al. High rate of TNFRSF14 gene alterations related to 1p36 region in de novo follicular lymphoma and impact on prognosis. Leukemia. 2012 Mar;26(3):559-62.
*3  No8.リンフォマニアの会
*4  Cheung KJ,et al. Acquired TNFRSF14 mutations in follicular lymphoma are associated with worse prognosis. Cancer Res. 2010 Nov 15;70(22):9166-74.PMID:20884631
*5  Costello RT, et al. Stimulation of non-Hodgkin's lymphoma via HVEM: an alternate and safe way to increase Fas-induced apoptosis and improve tumor immunogenicity.Leukemia. 2003 Dec;17(12):2500-7.
*6  Harrop JA, et al. Herpesvirus entry mediator ligand (HVEM-L), a novel ligand for HVEM/TR2, stimulates proliferation of T cells and inhibits HT29 cell growth.J Biol Chem. 1998 Oct 16;273(42):27548-56.
*7  Jaffe ES, et al, Follicular lymphoma. Swerdlow SH, Campo E, Harris NL et al (eds) WHO Classification of Tumours of Haematopoietic and Lymphoid Tissues. IARC: Lyon, 2017, pp 268.
*8  Katzenberger T, et al. A distinctive subtype of t(14;18)-negative nodal follicular non-Hodgkin lymphoma characterized by a predominantly diffuse growth pattern and deletions in the chromosomal region 1p36.Blood. 2009 Jan 29;113(5):1053-61.
*9  Siddiqi IN, et al. Characterization of a variant of t(14;18) negative nodal diffuse follicular lymphoma with CD23 expression, 1p36/TNFRSF14 abnormalities, and STAT6 mutations. Mod Pathol. 2016 Jun;29(6):570-81.

トップ   新規 一覧 検索 最終更新   ヘルプ   最終更新のRSS