Wikipathologica-KDP

作成中

Goblet cell carcinoid tumor of the appendix

31歳 女性 X年4月下腹部痛で虫垂炎と診断され保存的治療をおこなう. 同年 7月手術を希望し腹腔鏡下虫垂切除術が施行される.

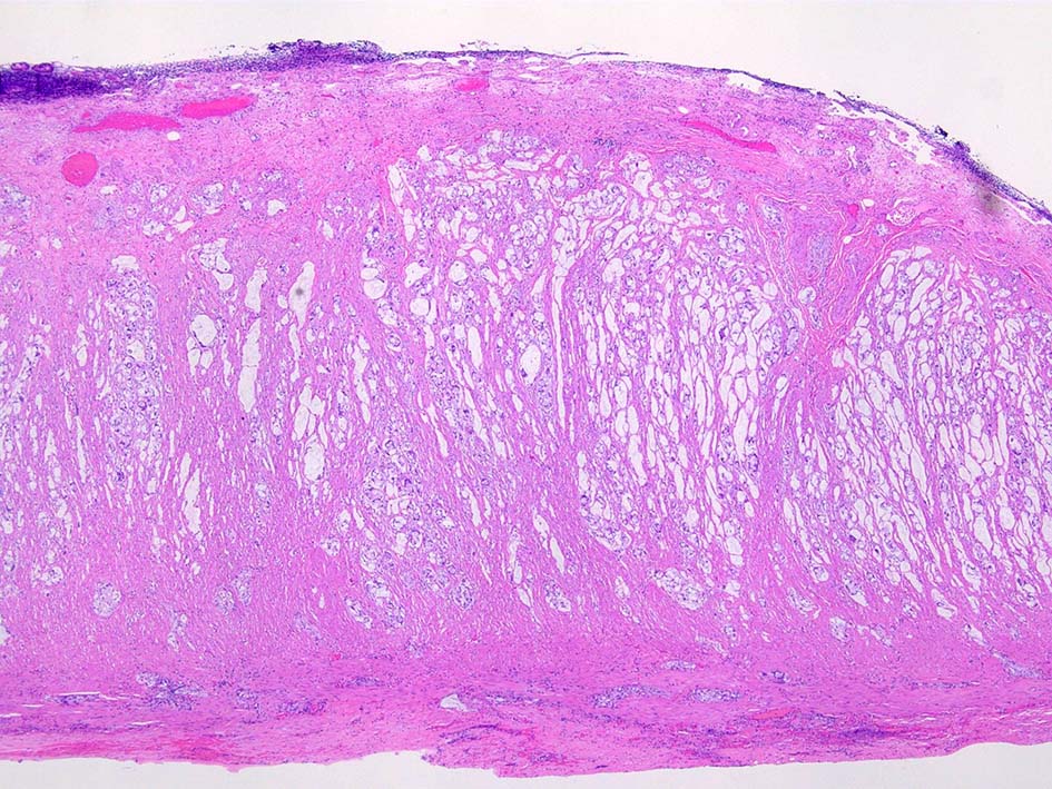
虫垂肉眼所見

虫垂末梢側で壁が肥厚している. 糞石はない.

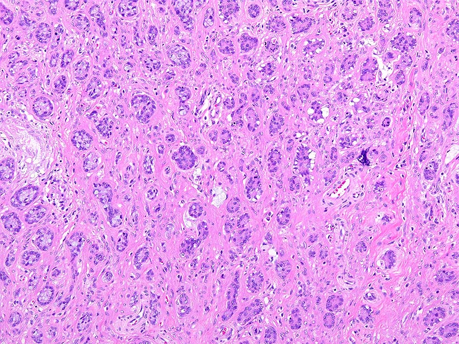
組織所見

 

トップ   新規 一覧 検索 最終更新   ヘルプ   最終更新のRSS