lymphangioleiomyomatosis(LAM)

 
pneumothorax.jpg

肺, リンパ管を冒すまれな疾患で散発性またはtuberous sclerosis(結節性硬化症)に関連して発症する。
ほとんど例外なく女性, 通常閉経前の女性におこる。
臨床的には進行性肺嚢胞化, くり返す肺気腫, 乳び性胸水貯留が特徴で, 多くの症例では進行性に呼吸不全となる*1

LAM患者さんに認められた両側肺気腫(右図:胸部CT)

firstCT.jpg
secondCT.jpg

初診時CT(左)から2年後のCTでは肺の嚢胞化が著明となっている。

Tuberous sclerosisの原因遺伝子としてTSC2(16p13.3, 1993年同定), TSC1(9q34, 1996年同定)がそれぞれ同定されたことを契機にしてLAMの病因, 病態の解明も進んだ。
2000年代にLAMに合併したAML(angiomyolipoma)にTSC2のLOHが証明され, その後sporadic LAMの病変部LAM細胞にもAML同様のTSC2LOHやTSC2の体細胞遺伝子変異が検出された。*2*3

TSC-LAMはTSC1あるいはTSC2の生殖細胞系列変異(germ line mutation)が, sporadic LAMはTSC2遺伝子体細胞変異がそれぞれ原因となりKundoson 2-hit theoryに従ってLAM細胞の増殖する転移性腫瘍性疾患と認識されている。

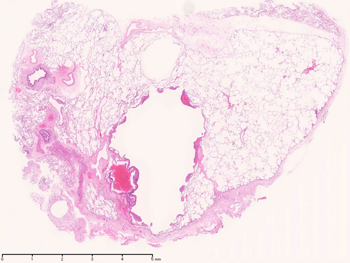
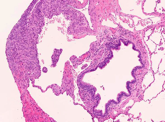
LAMの組織病理

Virtual Slides---> 肺VATS組織[1], 肺VATS組織[2]
Virtual Slides---> 肺micronodular pneumocyte hyperplasia(MNPH)

リンクを右クリックで新しいウィンドウで開くと便利です。sign in as guestをクリックしてVSが閲覧できます。

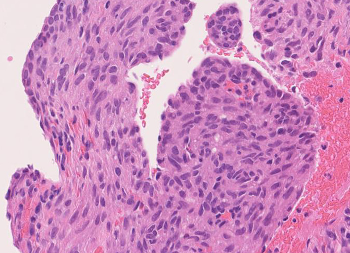
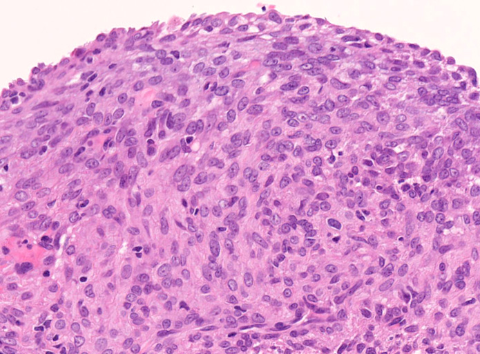
LAMの肺病変

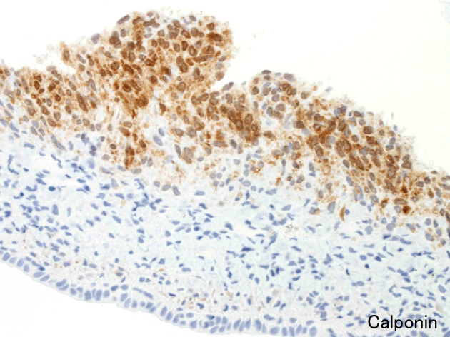
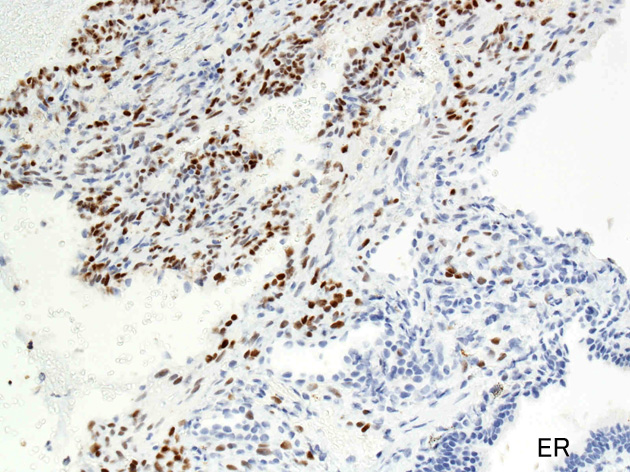
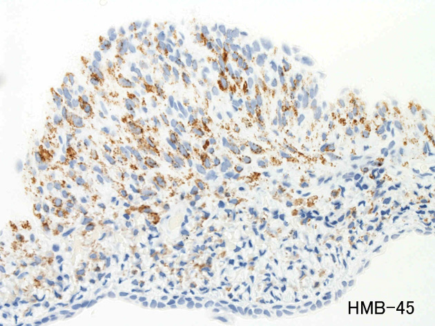
嚢胞周囲または肺血管, リンパ管, 細気管支にそうLAM cellの浸潤, 集簇を特徴とする。LAM cellには2種類が認められ, 小型紡錘形細胞と細胞質の豊富な類上皮様細胞があり, 紡錘型は主に集簇巣の中心に存在し増殖能が高い。 類上皮様LAM cellは辺縁部に多く, 増殖能は低いがHMB45を強く発現している。

LAM cellの免疫染色--SMA, desmin, vimentin(vimentinはいつも陽性とはならない)が陽性となりmuscle lineageであるが典型的な筋細胞と異なり,

嚢胞形成はLAM cellの増殖と関連しており, 細胞が産生するmatrix metalloproteinases(MMPs)による組織破壊によるらしい。

 

免疫染色

 
 

肺CTで検出される多発性肺嚢胞病変の鑑別診断*4

多発性肺嚢胞病変に関することばの定義

肺嚢胞/ air cyst
原因のよくわからない正円形透亮像で薄い連続性の壁を有するもの。肺以外の臓器では液体を入れることが多いこと, また気管支原生嚢胞bronchogenic cystと区別してair cystと呼ぶことがある。
気腫性嚢胞/bulla, bleb
肺気腫のsubtype, 傍隔壁型肺気腫
空洞
癌や結核などの肺野病変が先行し, 内部に透亮性変化をきたしたもの
気瘤/pneumatocele
外傷や黄色ブドウ球菌性肺炎などに随伴する細気管支損傷時のチェックバルブ機構による肺野嚢胞性変化

多発性肺嚢胞病変の原因疾患と鑑別

bulla, bleb
肺気腫に伴う嚢胞性変化の代表。傍隔壁型肺気腫に認められ上肺野優位に胸膜下に存在する。日常的に認められ他疾患との鑑別に苦慮することは少ない。

感染症
多発嚢胞性変化をきたす感染症はまれであるが, 非結核性抗酸菌症のM.kansasiiの頻度が高い。M.aviumや結核が多発嚢胞性変化で見つかることはきわめて希である。
日和見感染症で発症の真菌症やpneumocystis pneumoniaが病巣内部に多発嚢胞や空洞を形成することもある。

腫瘍
多発性嚢胞性変化をきたす腫瘍は転移性肺癌が大部分を占め, 扁平上皮癌がほとんどである。時に多発薄壁空洞として発現することが知られている。
未分化癌の転移では化学療法後の腫瘍壊死にともない多発薄壁空洞化することがある
良性子宮筋腫の肺転移で多発嚢胞を形成することが報告されている。

膠原病、遺伝疾患
Sjoegren症候群などに伴うリンパ増殖性疾患で肺に多発嚢胞をきたす。

Birt-Hogg-Dube症候群( 皮膚線維毛包腫+腎癌+多発肺嚢胞を特徴とする希な遺伝疾患):
肺底部優位の嚢胞で縦隔側に多いとされる。くり返す気胸, 腎腫瘍家族歴がある多発肺嚢胞患者さんでは本症を疑う必要有り。

Lymphoangiomyomatosis(LAM) とランゲルハンス細胞組織球症(LCH)

両者ともにまれな疾患であるが肺多発嚢胞性病変をきたす鑑別診断にわすれてはならない。


*1 Johnson SR, Lymphangioleiomyomatosis Eur Respir J 27: 1056-1065, 2006
*2 Carsillo T, et al. Mutations in the tuberous sclerosis complex gene TSC2 are a cause of sporadic pulmonary lymphangioleiomyomatosis. Proc Natl Acad Sci U S A. 2000 May 23;97(11):6085-90. PMID:10823953
*3 Smolarek TA, et al. Evidence that lymphangiomyomatosis is caused by TSC2 mutations: chromosome 16p13 loss of heterozygosity in angiomyolipomas and lymph nodes from women with lymphangiomyomatosis. Am J Hum Genet. 1998 Apr;62(4):810-5. PMID:9529362
*4 日本医事新報No4375;111-112,2008

トップ   新規 一覧 検索 最終更新   ヘルプ   最終更新のRSS