Mantle cell lymphomaの疾患解説

Mantle cell lymphoma

症例01

50代後半 男性

Mantleflowcyte.jpg

受診の1ヶ月前より頸部, 腋窩, 鼠径など表層リンパ節が腫大する。痛みはなく他の症状はない。

頸部リンパ節flow cytometryではCD19, CD20, CD5陽性,CD10, CD23陰性 細胞が98%以上を占める。light chainではkappa light chain陽性細胞が89%, lambda陽性は0.4%で, clonalな増殖が疑われる。

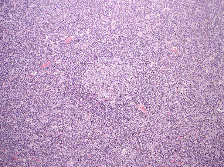
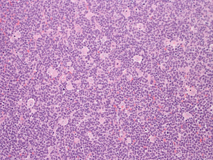
リンパ節病理組織所見

Fig.1 小型から中型の細胞質の乏しい異型リンパ球がびまん性密に増殖している。核は類円形に近いが角張ったり, でこぼこが見られる核が多い。切れ込みが見られる核も少数ある。全体として増殖する細胞は均一で大きさはよく揃っている。

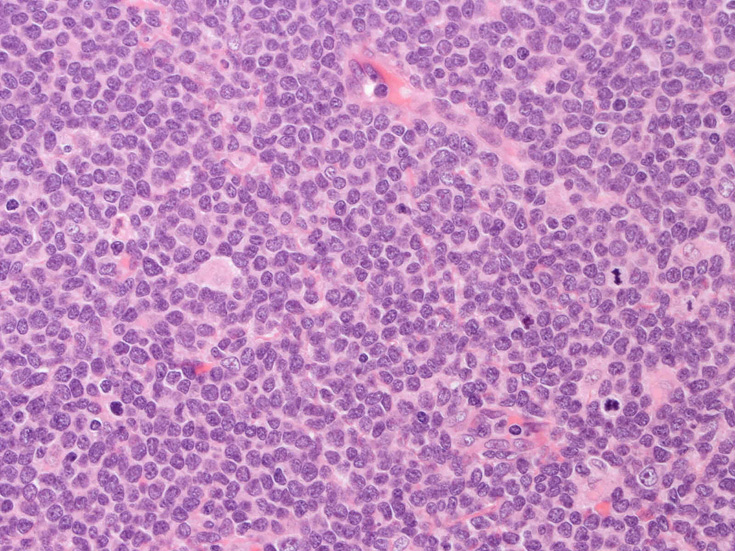
Fig.2 低倍率所見では細胞の均一性がより明瞭となる。この症例ではsingle histiocyteが散在性に増殖リンパ球内に認められ, Burkitt's lymphomaに似た「starry sky(きらめく星空)」パターンをしめす。MCLにもこのパターンがよく見られることがWHO blue bookにも記載されている.

Fig.3 腫瘍細胞内に遺残する萎縮したリンパ濾胞。この濾胞では正常なlymphocytic cuffが残っており, nacked follicular center像ではないようです。
Castleman disease様のlolli-pop germinal centerのように見える。

 

pink macrophage:

starry-sky patternではあるが, MCLのマクロファージは「pink macrophage」とよばれ淡明ではなく, ピンク色に染まる広い細胞質をもっている.(Fig.2)

 

症例のVirtula slideを見る---> 頸部リンパ節 右クリックで新しいウィンドウで開くと便利です。Sign as guestでログインして下さい。 sorry you need ID&password to see VS.

 

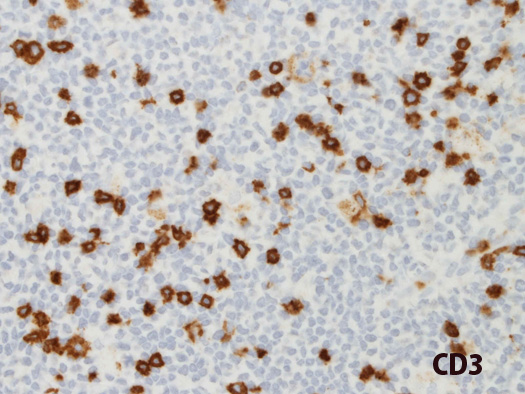
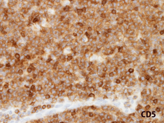
免疫染色:増殖リンパ球はCD20, CD5陽性。核にcyclin D1陽性

CD5; 標本がやや厚切り切片。当院の染色ではMCL細胞は乏しい細胞質に染まる。教科書のようにきれいに細胞膜には染まらなかった。賦活の前処置のためかもしれない。混在するCD5+T細胞がより強く染まっている。

Pathological diagnosis: Mantle cell lymphoma, cervical lymph node, biopsy

 
 

症例02

mantle cell lymphoma--Case 02 cervical lymph node: virtual slide

 

症例03

mantle cell lymphoma--Case 03 bone marrow and axillary lymph node

 

症例04

CD5-negative mantle cell lymphoma--CD5-negative mantle cell lymphoma (MCL-case04) lymph node

 

リンク

Mantle cell lymphoma疾患解説のページを見る


トップ   新規 一覧 検索 最終更新   ヘルプ   最終更新のRSS