Wikipathologica-KDP

WikiPathologica

 

To middle

系統不明確な急性白血病 Acute leukaemias of ambiguous lineage(WHO分類)

骨髄系, Bリンパ球, Tリンパ球, いずれか一系統血液細胞への明確な分化を示さない種々の急性白血病.

1.急性未分化白血病 acute undifferentiated leukemia(AUL);No evidence of myeloid, B-, or T-lymphoid lineage commitment 

2.混合表現型急性白血病 mixed-phenotype acute leukemia (MPAL), showing evidence of commitment to more than one lineage.2系統以上の分化抗原を発現し, いずれの一系統の白血病とも確実に診断できない.

Acute undifferentiated leukaemia(AUL)

KS-case

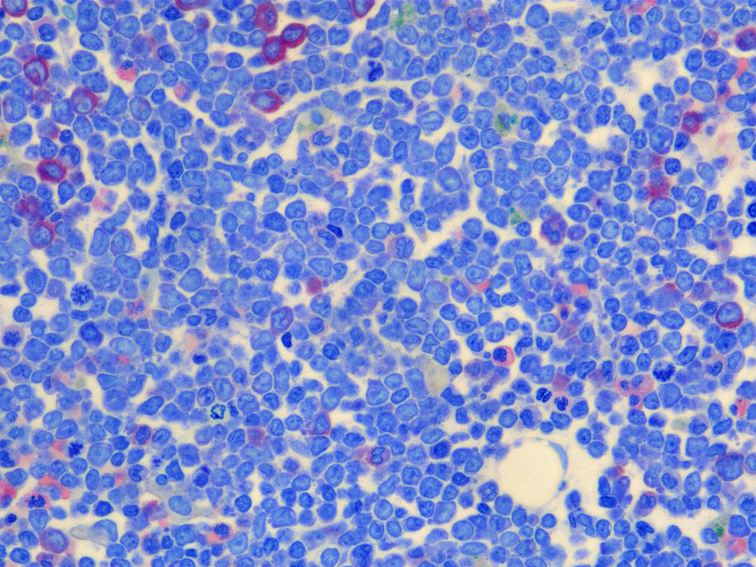
80歳代 male.
汎血球減少症の原因精査. s-IL2R 3809と高値. 末梢血にリンパ球様異型細胞が出現. 最初はリンパ腫白血化が疑われた.
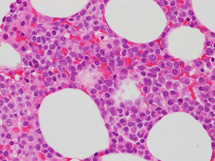
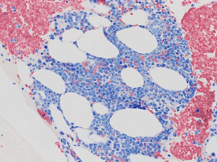
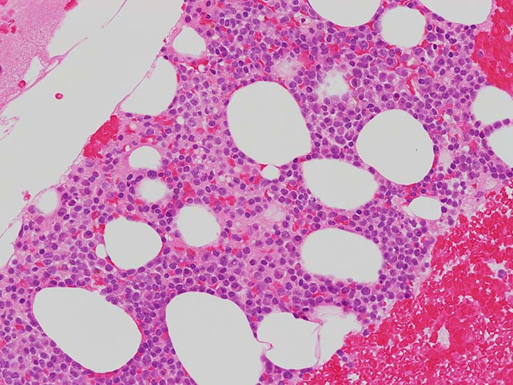
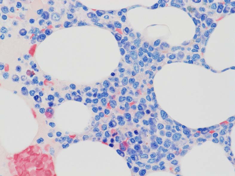
骨髄; M/E=0.6, Mgkは認められない. total myelo 4.4%, myeloblasts 0.2%, Ly 10.6%, plasma cell6.6%, 異常細胞 70%.

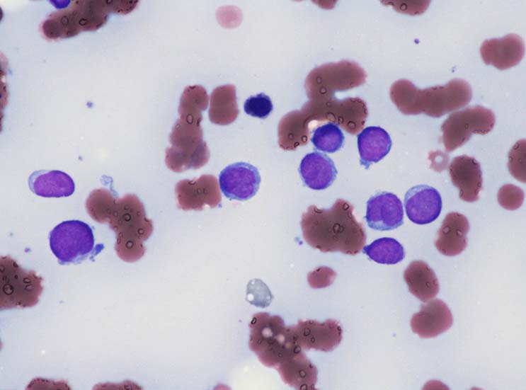
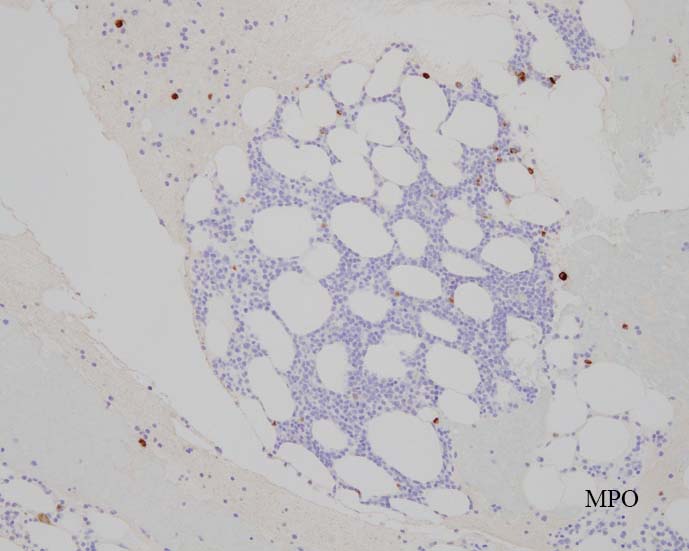
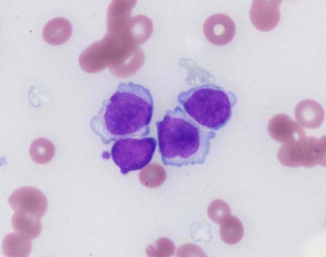
中型芽球様細胞増加 N/C=70-90%, 核は類縁液核網繊細 明瞭な核小体が 1-数個 細胞質は淡青色 MPO陰性.

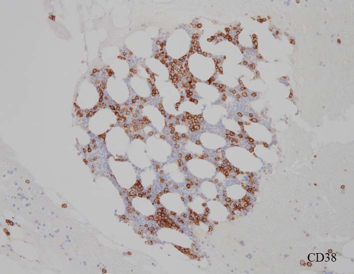
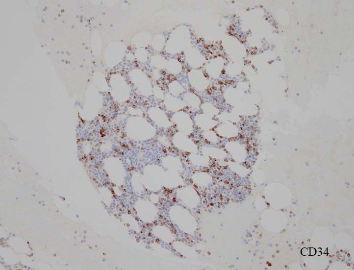
AULはcCD3、MPO、CD19、cCD22、およびCD79a発現を欠き, 通常1つの表面系統マーカー( CD13、CD33、またはCD7など)のみを発現する.CD38またはTdT発現を伴って, CD34およびHLA-DRが陽性になる. *2

 

cellularityは60-70%. 赤芽球血島形成はみられない. Naphtol-ASD-CAE染色に赤染される顆粒球系細胞もごくわずか. 成熟Mgkもごく少数で, 正常造血は強く抑制されている.
類円形あるいは, シワのみられるconvolutedな核に核小体をもつN/C比大の細胞が増加している. クロマチンは微細で核は淡明にみえる.Naphtol-ASD-CAE染色陰性.幼若あるいは活性化されたリンパ球様細胞に似ている.
形質細胞の凝集増加がめだつ.

 

N/C比 70-90%, 中型芽球様細胞が増加. 核は類縁液核網繊細, 明瞭な核小体が 1-数個 細胞質は淡青色 MPO陰性.

 
 

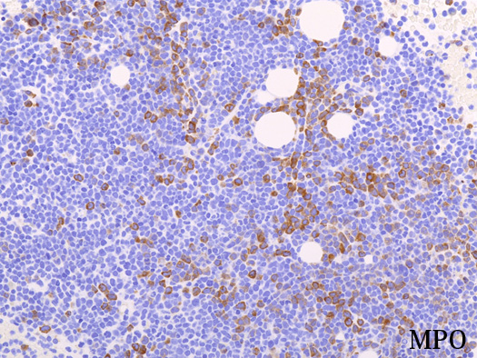
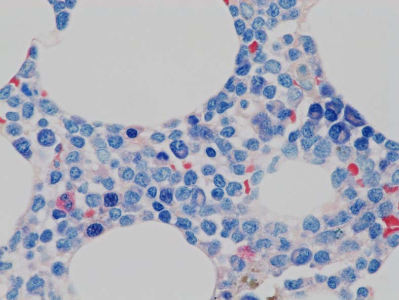
免疫染色

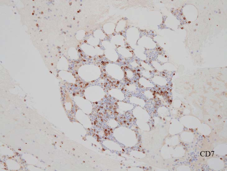
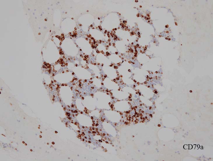
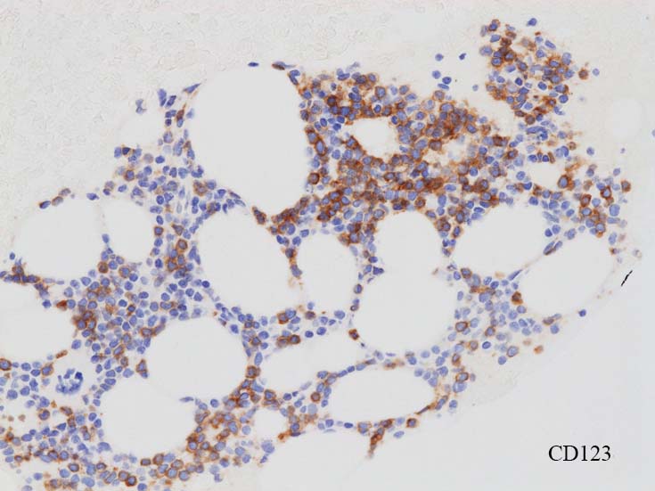
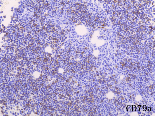
blastic cellsは, CD45+, CD34+, CD38+, TdT+, CD7+, HLA-DR+, CD123+. cCD3-, sCD3-(FCM), CD20-, CD19-とCD79a-(?) (plasma cellが陽性でIHCでは判定が難しい), MPO-.

 

CD34, CD38陽性細胞の多くは, CD123+, HLA-DR+ .

AUL最多症例を扱った論文*3で, CD123+ 芽球は, AULよりもAML with minimal differentiation(M0)のほうにより有意に多く出現するとされているが, 実際に掲載されたAUL症例24例中芽球のCD123発現を調べた15例のうち陽性 9例, 陰性 6例である. AML-M0ではCD123陽性 11例, 陰性は2例.(P=0.042). CD123が陽性であってもAUL診断の妨げにはならないようである.
この論文では AULとAML-M0の違いは, AULにおいてPHF6変異が多いこと, 芽球にTdTが発現する率が高いこととされている.

 

lineage specific markers

CD3-, CD79aは増加しているplasma cellsが陽性で判定が難しい. CD10-, MPO-. (CD10は画像欠)

 

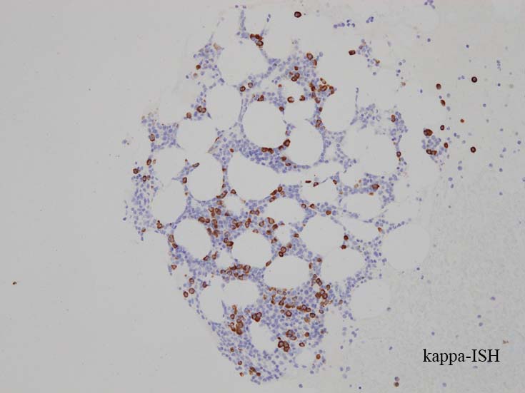
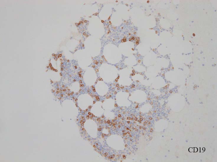
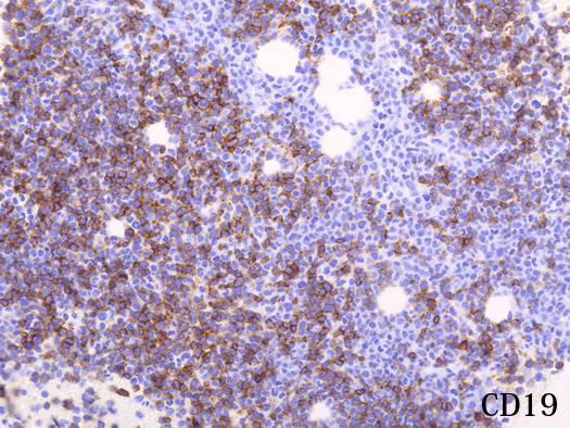
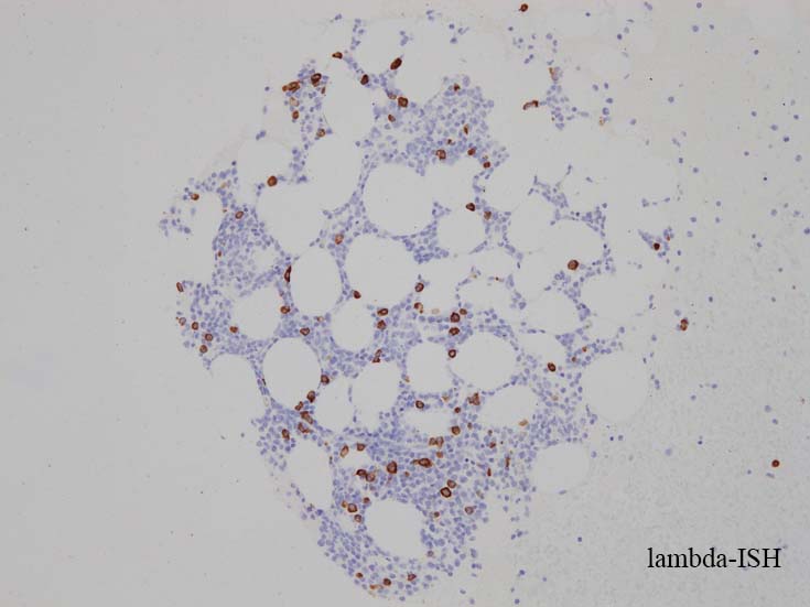
CD138陽性細胞が増加している. CD19陽性細胞が多く認められ, 明かなkappa, lambda restrictionは見られない. polyclonal proliferationと考えられる.

 

AULの診断には系統特異的マーカーの発現の欠如が必要であるという点で、AULの基準は歴史的に一貫している。*4

 
 

Mixed phenotypic acute leukemia with t(9;22)(q34;q11.2); BCR-ABL1

IWT-Case 72yo female

Case report on 262SPS, 28Jan 2017 at Shizuoka -->view PDF flie (準備中)

Chief complain: 痛くて開口できない。( CTで右副鼻腔外側壁に浸潤腫瘤形成が疑われる。)

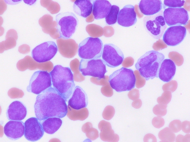
CBC;RBC 243x104;/µl, Hb 7.5g/dl, WBC 220300/µl, Diff; seg 16.0, Eo 0.0, Ba 0.0, Mo 11.0, ly 5.0%. blast 68%. Plt. 4.1x104;/µl . GOT 31 IU/L, GPT17 IU/L, LDH916 IU/l.
貧血, 血小板減少あり。白血球は著増し芽球が68%を占める。

サムネイル画像はクリックで大きな画像が見られます.

 

びまん性に芽球細胞が増殖, 正常造血は強く抑制されている。芽球の多くはASD陰性であるが, ASD陽性の芽球も存在する。smearでは細胞質顆粒をもつ幼若細胞とリンパ芽球様の顆粒のないN/C比大の芽球が存在しているようです。

 

免疫染色(BM clot section)

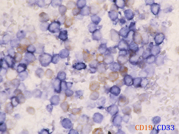
CD19, MPOの免疫染色, CD19/CD33, TdT/CD33の二重免疫染色

芽球はCD19陽性で, CD10, CD79aが陽性を示す。またMPO陽性芽球が領域を異にして染色された. CD19, TdT陽性の芽球とは別個の芽球であることが二重染色(骨髄球系マーカはCD33で示したが)でも推察される。CD20, CD3は陰性.
以上, (pro)Bリンパ球系芽球と骨髄球系芽球の2系統の芽球が存在し, MPALと考えられる。esterase染色は陰性であった。

 

白血病キメラ解析の検査(SRL)が提出され minor-bcr キメラ mRNAが1.5x 105; copy/ µgRNAと陽性.

 

Mixed phenotypic acute leukemia (MPAL) with t(9;22)(q34;q11.2); BCR-ABL1

WHO2008年分類 

MPALの診断基準に合致し, 同時にt(9;22)転座またはBCR-ABL1遺伝子異常を 有する。

MPALの中ではもっともよく見られる病型であるが急性白血病の1%未満とまれ。

小児成人いずれも発症するが成人に多い。

ほとんどの症例がB/myeloid形質である。まれにT/ myeloid形質を示す。 非常にまれに3系統の形質を発現した症例の報告がある。

t(9;22)以外の付加的染色体異常が加わりしばしば複雑核型を示す。

他のMPALよりは予後不良の病型であるがph+ ALLとの比較は不明

CMLのacute phaseでは芽球がリンパ球系マーカを発現することがあり, 鑑別が必要になる。

混合表現型急性白血病 mixed phenotype acute leukemia (MPAL)

MPAL01.jpg

2系統以上の分化抗原を発現し, いずれの一系統の白血病とも確実に診断できない. 以下の3つが含まれ, まとめてMPALとし, 発現する抗原によりB-myeloid, T-myeloidなどと表す。

1. 異なる2系統の芽球が混在する. bilineal/ bileneage leukemia

2. 一つの芽球が異なる複数系統の抗原を同時に発現する biphenotypic leukemia

3. 1,2の両者が混在する

MPALにおいて, ミエロイド-B 型とミエロイド-T 型が多く,TB 型はほとんどみられないことの理由については京都大学河本先生らの提唱される造血細胞分化のミエロイド基本型モデル*6により考察すると理解が可能である.ながらく信じられ, いまだに刷り込みの消えない古典的造血細胞分化モデルではMPALにみられるような系列決定状態に対応する前駆細胞段階がないので,この種の白血病がどの分化段階の細胞に由来するかは長らく不明であった.最近では,混合型白血病の起源は,ミエロイド基本型モデルにもとづいて考察されるようになってきている. *7

left

骨髄系の形質, マーカ

1) 2つ以上の芽球集団があり, うち1つがAMLの免疫学的形質を発現する場合. bilineal leukemiaに相当。

2) B-ALLまたはT-ALLの診断基準にあう単一細胞集団があり, 同時にmyeloperoxydase(MPO)を発現する場合. CD13, CD33, CD117(C-KIT)は骨髄系形質としての特異性は十分でない

3) B-ALLまたはT-ALLの診断基準にあう単一細胞集団があり,明確な単球系への分化を示す。非特異的エステラーゼ, CD11c, CD14, CD36, CD64, lysozymeなどの単球マーカを2つ以上発現する。

2), 3)は従来のbiphenotypic leukemiaである。

MPALのT細胞同定

cytoplasmic CD3(cCD3)またはsurface CD3(sCD3)の強発現により同定できる.

cCD3の判定にはCD3 epsilon鎖を検出する抗体を使った flow cytometryが最適。sCD3陽性はMPALではまれ。

抗CD3 polyclonal抗体を使ったICHでは, T細胞に特異的ではないCD3 zeta鎖を検出する可能性がある。

B細胞系のマーカ

骨髄系, T細胞系と異なり, 単独で確実にB細胞系列と判定できるマーカは存在せず複数の抗原が陽性になる必要がある。 B-ALLの診断基準に合致する芽球集団が独立して存在するときはB細胞系と判定できるが, 単一の芽球集団の場合は以下のいずれかの条件を満さなければならない。

(1) CD19が強陽性. かつCD10, CD79a, cCD22のいずれか1つ以上が強陽性.

(2) CD19が弱陽性. かつCD10, CD79a, cCD22のいずれか2つ以上が強陽性.

覚え書き

.style_table {

	padding:0px;
	border:0px;
  1. div.ie5 { text-align:left; }--->追加

以上表の左寄せ 固定を2017/2/1に変更


*1  Kurzer JH, et al. Acute Leukemias of Ambiguous Lineage: Clarification on Lineage Specificity. Surg Pathol Clin. 2019 Sep;12(3):687-697. doi: 10.1016/j.path.2019.03.008. PMID: 31352981
*2  Bene M.C., and Porwit A. Acute leukemias of ambiguous lineage. Semin Diagn Pathol 2012; 29: pp. 12-18
*3  Weinberg OK, et al. Clinical, immunophenotypic, and genomic findings of acute undifferentiated leukemia and comparison to acute myeloid leukemia with minimal differentiation: a study from the bone marrow pathology group. Mod Pathol. 2019 Sep;32(9):1373-1385.PMID: 31000771
*4  In Swerdlow S.H., Campo E., and Harris N.L. (eds): WHO classification of tumours of haematopoietic and lymphoid tissues, Revised 4th edition. Lyon (France): International Agency for Research on Cancer, 2017.
*5  Matutes E, et al. Mixed-phenotype acute leukemia: clinical and laboratory features and outcome in 100 patients defined according to the WHO 2008 classification. Blood. 2011 Mar 17;117(11):3163-71. doi: 10.1182/blood-2010-10-314682. Epub 2011 Jan 12. PMID: 21228332
*6  河本宏, 桂義元 "リンパ球系列"という既成概念からの解放-血液細胞分化研究におけるパラダイムシフト.科学 2009; 79(6): 605-614
*7  Chapiro E, et al. Expression of T-lineage-affiliated transcripts and TCR rearrangements in acute promyelocytic leukemia: implications for the cellular target of t(15;17). Blood 2006;108(10):3484-93. doi: 10.1182/blood-2005-09-009977. Epub 2006 Jul 20.

トップ   新規 一覧 検索 最終更新   ヘルプ   最終更新のRSS