Wikipathologica-KDP

Undifferentiated small round cell tumors of the sinonasal tract

NUT midline carcinoma

シンプルな遺伝子異常 t(15;19)(q14;q13.1)を特徴としBRD4-NUT fusion geneが主病因と考えられる上部気道消化管, 縦隔に多く発生する低分化癌。

疾患の確立

1999年12歳のアメリカ人少女。潰瘍を伴った腫瘤が喉頭蓋に発生した。生検ではnasopharyngeal carcinoma類似の病理所見であった。ボストン子供病院で治療をうける。最初腫瘍の縮小がみられたが, すぐに増大し気道閉塞で亡くなってしまう。臨床医たちはこの腫瘍を忘れなかった。彼女の不意の残念な死は新しいタイプの癌の発見につながった。癌細胞分析にBringham婦人病院へ送られた腫瘍組織は複雑なkaryotypeを示す。Dr. PD Cin はこの腫瘍が通常のものではないことを見出す。 trisomy8とは別にひとつの特別な転座, t(15;19)(q14;p13.1)をおこしていた。このニュースはDr J Frecherに届く。Dr Frecherはt(15;19)を示す小児のthymic carcioma, 3例が別々に報告されていたことをreviewしこの固形腫瘍の転座に注目していた。3症例とも劇症で, 急速に致死的な経過をとる, どれも似た臨床症状を呈している。日本の症例についてDr Kubonishiが培養細胞株Ty-82を樹立していた。t(15;19)により形成され, このまれな, 高度に悪性の腫瘍の原因と考えられるfusion oncogeneのクローニング, 分析のため, 細胞株を手に入れたDr Flecherはgene mapping projectを、「まだまだ, けつは青いが,やる気まんまんな-very green yet eager」ポスドクであったわたし, Dr. CA Frenchに託した。*1( Dr CA French本人によるNUT mideline carcinomaのreview.)

Break point mappingがおこなわれ(苦労されたようです), fusionの19番染色体locusは新しいgene, BRD4*2に、15番染色体の切断点はノーザンで睾丸のみに発現がみられる遺伝子NUT( Nuclear protein in Testis)にマップされた。NUTは命名法により「chr15orf55」と名称を変更されたが一般名のNUTが今も使われ, BRD4-NUTというこのfusion oncogne名は残ることになった。

probeを使い, 40歳以下の若いヒトに発症した低分化癌98腫瘍を分析, NUT再構成を7つの腫瘍に見出した。4例はBRD4-NUT fusion tumorであったが, 3例ではBRD4に異常なく, NUTのみに再構成があり, NUT-variantとした。腫瘍化の責任はNUTにあり, BRD4ではないことが推察される。 この腫瘍は、今、NUT midline tumor(NMC)と呼ばれ, NUTの遺伝子再構成をもつことから定義されることになった。

臨床病理像

上部気道消化管, なかでもsinonasal regionに発生する低分化癌の約18%がNUT mideline tumorと考えられている。FISHにより診断され, 小児, 成人を加えたこの論文*3では平均年齢は47歳となりNMCは子供または若年成人の病気であるというコンセプト*4は変更しなければならないようである。

年齢 3-78歳
特定の臓器からの発生ではない。多くは縦隔, 上部消化管気道から発生。骨, 膀胱, 腹部後腹膜, 膵, 唾液腺腫瘍の症例が報告されている。

NMCの分子生物学

NMCの特徴は非常にシンプルな核型異常[t(15;19)]にある。しばしば t(15;19)(q14;p13.1)が単独な異常のことがある。このパターンは癌よりもfusion geneが発生に重要な役割をはたしている 白血病に類似している。

BRD4NUT01.JPG

NMCの診断

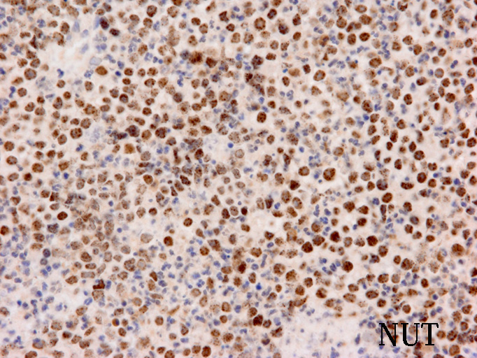
NUTihc01.jpg

NUTの免疫染色(IWT case:鼻粘膜腫瘍):核に染色される。特徴的な核内斑点状の陽性所見を示す。
正常コントロールには睾丸組織を使う。

(疑わしい症例があれば、免疫染色用スライドに未染標本を3枚ほど磐田市立総合病院病理診断科宛てに送付いただければ、染色してお返しします。)

抗体作成企業CSTjapanの染色例でも同様の核内斑点状染色パターンを示している。
Haack, H. et al. (2009) Am J Surg Pathol 33, 984-91. Applications: IHC-P (paraffin)
Yan, J. et al. (2011) J Biol Chem 286, 27663-75. Applications: IF-IC (In Cells) Western Blotting

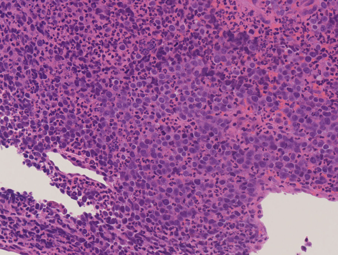
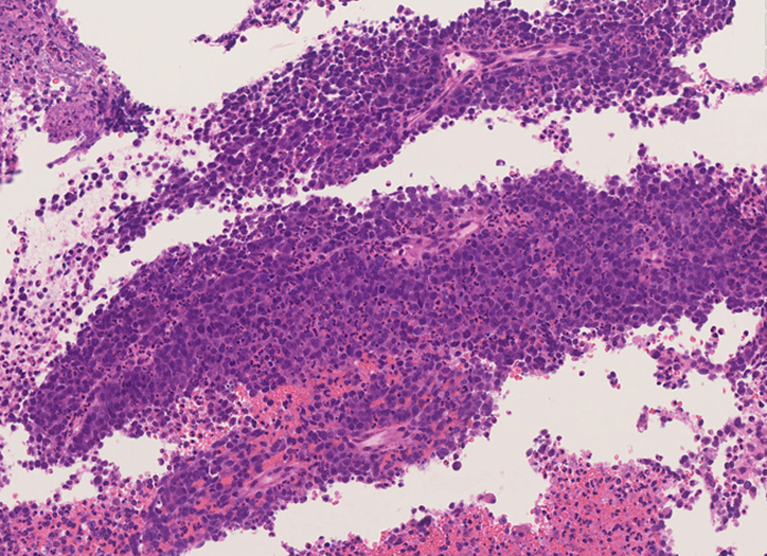
NUT-midline carcinoma Case01

IWT case: 18 year old female.

サムネイルをクリックすると大きな画像がみられます。

副鼻腔腫瘤生検組織

 

日本病理学会中部支部交見会のスライドより。(S.Suzuki Dr.)

NUT03.jpg NUT04.jpg

 

詳細は以下のcase reportをご参照ください。

Suzuki S, Kurabe N, Minato H, Ohkubo A, Ohnishi I, Tanioka F, Sugimura H.
A rare Japanese case with a NUT midline carcinoma in the nasal cavity: a case report with immunohistochemical and genetic analyses. Pathol Res Pract. 2014 Jun;210(6):383-8. doi: 10.1016/j.prp.2014.01.013. Epub 2014 Feb 22. PMID:24655834

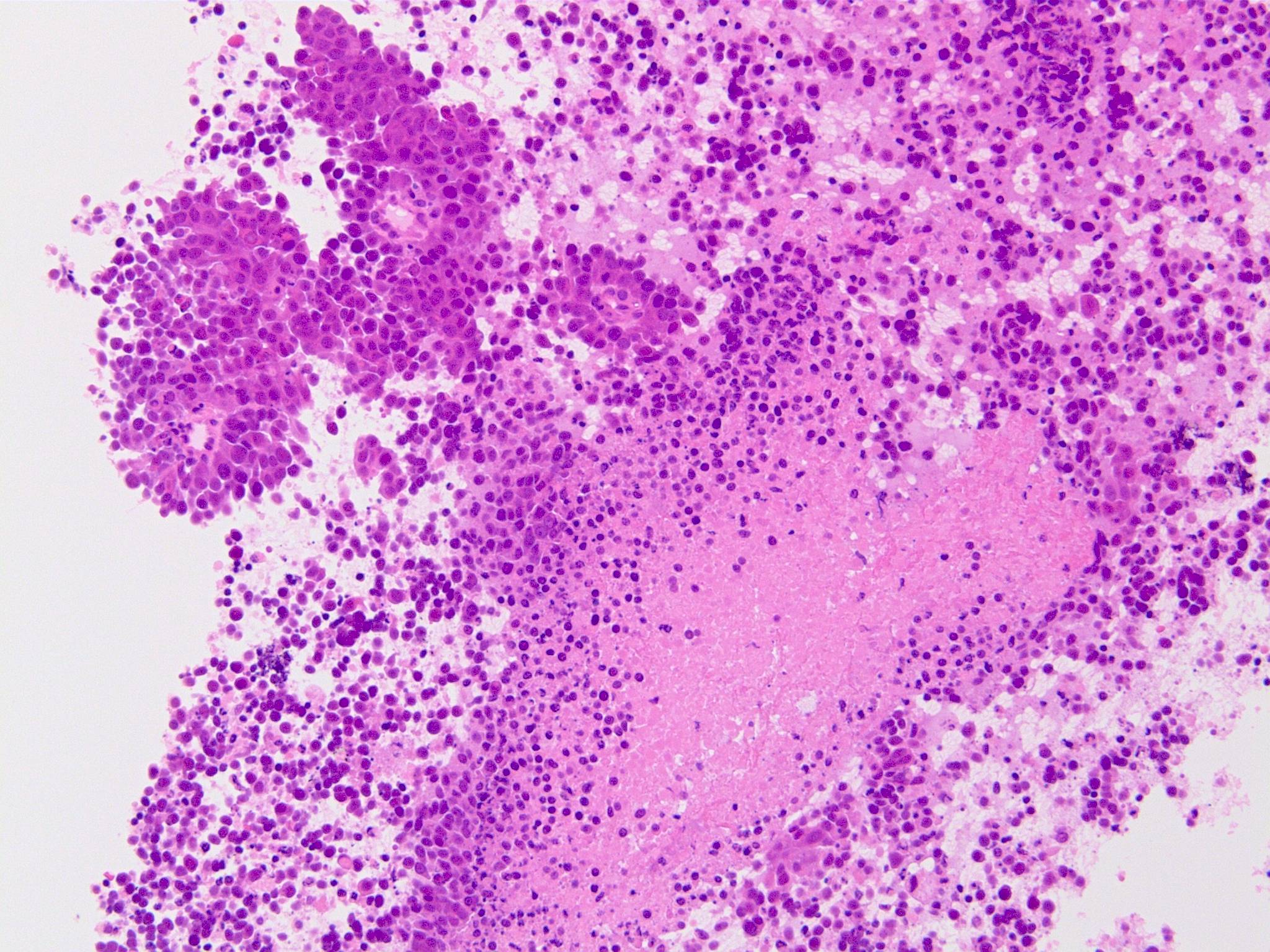
NUT midline carcinoma - Case02

IWT case: 30歳代半ば,女性; 喫煙歴:15本/日,20歳から現在まで

当院を受診する4か月前から前胸部違和感を自覚していた. 2か月前から喘鳴を伴う咳嗽があり近医を受診.気管支喘息が疑われ加療されたが症状は改善しなかった.
経過観察中に施行された胸部CTでは左肺癌が疑われた.精査加療目的に当院呼吸器内科を紹介受診.

血液検査:腫瘍マーカー cytokeratin 19の上昇あり[14 (>3.5ng/mL)],ProGRP, CEA, CA19-9の上昇なし
CT画像:左肺から縦隔に及ぶ腫瘍(肺は単独病変. 肺内転移なし.),乳腺腫瘤,子宮腫瘤, 多発肝腫瘤あり.
処置: 気管支内視鏡検査で,1.左肺腫瘍からTBB (VS1),2.腫瘍と一塊になったリンパ節からEBUS-TBNA (VS2),を施行された.

CT画像および肺腫瘤生検組織


*1 French CA NUT Midline Carcinoma Cancer Genet Cytogenet 203(1); 16-20: 2010
*2 French CA et al., BRD4 bromodomain gene rearrangement in agressive carcinoma with translocation t(15;19). Am J Pathol 159(6); 1987-1992: 2001
*3 Stelow EB et al., NUT rearrangement in undifferentiated carcinoma of the upper aerodigestive tract. Am J Surg Pathol 2008; 32:828-834
*4 French CA et al., Midline carcinoma of children and young adult with NUT rearrangement. J Clin Oncol 2004; 22: 4135-4139
*5 Toretsky JA, et al., Translocation (11;15;19): a highly specific chromosome rearrangement associated with poorly differentiated thymic carcinoma in young patients. Am J Clin Oncol. 2003 Jun;26(3):300-6.
*6 Haack H, et al., Diagnosis of NUT midline carcinoma using a NUT-specific monoclonal antibody. Am J Surg Pathol. 2009 Jul;33(7):984-91.
*7 French CA, BRD4-NUT fusion oncogene: a novel mechanism in aggressive carcinoma. Cancer Res. 2003 Jan 15;63(2):304-7.

トップ   新規 一覧 検索 最終更新   ヘルプ   最終更新のRSS