Wikipathologica-KDP

WikiPathologica

JAK/STATシグナリングのページ

Polycythemia vera 真性多血症

文献*1

clinical and morphological features

PVdrivergene.jpg

Polycythemia--Erythrocytosis frequently combined with thrombocytosis/ leukocytosis.

Suppressed endogenous erythropoietin production

Panmyelosis--Bone marrow hypercellularity for age with trilineage growth

Driver genes

JAK2V617F96%の患者さんに認められる.

JAK2exon12変異約4%患者さんにみられ, この患者さんのほとんどは赤血球増多単独 である.

JAK2がwild typeの例は極端に少ない.

JAK2V617Fがない場合のpolycythemia vera診断はかなり慎重にならなければならない」

PVでは多くの症例で, JAK2V617F変異は両アレルに同一遺伝子変異が存在する, ホモ接合性変異(homozygous mutation)を示す. これに対し, ET, PMFではホモ接合性変異はまれで, 一方のアレルのみが変異するヘテロ接合性変異である.

 

genotype, phenotypeとの関連, clinical outcome

PV患者さんは血栓症のリスクが高くなる.

PVは骨髄線維症に進展することがある.

PVはごくまれに,急性骨髄性白血病と同様の芽球増加をきたすことがある. その場合 骨髄異形成が先行することがある.

JAK2V617F変異とJAK2 exon12変異症例の臨床経過はほぼ同じでかわらなかった.*2*3*4

WHO2016 Polycythemia vera のクライテリア

3大項目( three major criteria)

小項目(minor criteria)

 

PVと診断するには3大項目すべてを満たすか, 大項目2つと小項目を満たす必要がある.

絶対的なerythrocytosis; 男性 Hb>18.5g/dl(Ht >55.5%), 女性 Hb>16.5g/dl(Ht >49.5%)があれば,

  • JAK2変異があり, 血清エリスロポイエチン低値で, PVと診断できる.
     
  • この場合にはPVの診断に, かならずしも骨髄生検は必要ではない.
     
  • しかしながら, 骨髄線維症の合併を早期診断するためには骨髄生検による評価が必須となる.
     

2016WHOではPVのHb, Ht基準が引き下げられた.これは瀉血などにより検査値が低下している, masked PV症例を拾い上げることが目的であり'', masked PVではovert PVよりも血栓症の危険度が高く, 生命予後が不良であるという報告による. *5

 
 

JAK2 exon12 mutation

Case presentation

IWT-case 67yo female.

X年3月の検診で白血球増加, 赤血球増加を初めて指摘された. 12月に脳塞栓症を発症して抗血栓治療を開始. 精査目的に血液内科紹介.
Hb 16.7g/dl, RBC 730x104;/μl, Ht 55.9%, MCV 76.6, MCHC 29.9, WBC 17400/μl, diff; seg84.9, Eo3.6, Ba1.1, Mo2.6, Ly7.8, Plt 76.7x104;/μl.

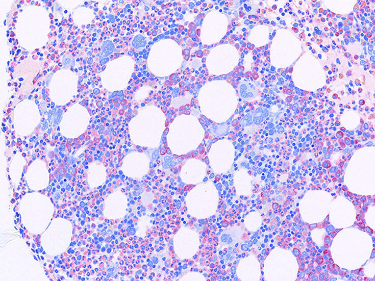
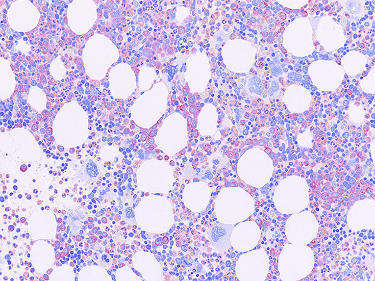
骨髄吸引クロット組織

cellularity 50-60%. 3系統造血細胞の増殖を認める. maturation arrestはない.

特に赤芽球系細胞が強く増殖している所見ではなく, 顆粒球系細胞増多がめだち, 巨核球の増加もある.

ETを含む慢性骨髄増殖性腫瘍 MPNの多くは, 多かれ少なかれ巨核球増多がみられ, CMLでも巨核球増多が見られる症例が多く, PVはより巨核球の増多が見られる.

CMLの巨核球は小さめで散在性. 凝集はみられない. pureなCMLでは血島が消える.

ET以外のMPNにおける巨核球増加は, 細胞質の広い明瞭な分化をした巨核球であっても, 大型単核や, やや異型的な巨核球の増加が主体である. 血小板凝集はあまり見られない.*12

 
 
PV findings.jpg

PVで経過観察中にmyelofibrosisを合併した症例

myelofibrosis secondary to PV/ post-PV myelofibrosis case (<---クリックで症例の骨髄病理所見を見る)


*1  Rumi E, Cazzola M, Diagnosis, risk stratification, and response evaluation in classical myeloproliferative neoplasms. Blood. 2017 Feb 9;129(6):680-692.
*2  Pardanani A, et al. Prevalence and clinicopathologic correlates of JAK2 exon 12 mutations in JAK2V617F-negative polycythemia vera. Leukemia. 2007;21:1960-1963.
*3  Passamonti F, et al. Molecular and clinical features of the myeloproliferative neoplasm associated with JAK2 exon 12 mutations: a European Multicenter Study. ASH Annual Meeting Abstracts. 2009;114:3904.
*4  Martinez-Aviles L, et al. JAK2 exon 12 mutations in polycythemia vera or idiopathic erythrocytosis. Haematologica. 2007;92:1717-1718.
*5  Lussana F et al. A lower intensity of treatment may underlie the increased risk of thrombosis in young patients with masked polycythaemia vera. Br J Haematol. 2014 Nov;167(4):541-6. PMID:25130523
*6  Scott LM, et al. JAK2 exon 12 mutations in polycythemia vera and idiopathic erythrocytosis. N Engl J Med. 2007 Feb 1;356(5):459-68.PMID:17267906
*7  Pardanani A, et al. Prevalence and clinicopathologic correlates of JAK2 exon 12 mutations in JAK2V617F-negative polycythemia vera. Leukemia. 2007;21:1960-1963.
*8  Pietra D, et al. Somatic mutations of JAK2 exon 12 in patients with JAK2 (V617F)-negative myeloproliferative disorders. Blood. 2008;111:1686-1689.
*9  Butcher CM, et al. Two novel JAK2 exon 12 mutations in JAK2V617F-negative polycythaemia vera patients. Leukemia. 2008;22:870-873.
*10  Tefferi A, et al. Proposals and rationale for revision of the World Health Organization diagnostic criteria for polycythemia vera, essential thrombocythemia, and primary myelofibrosis: recommendations from an ad hoc international expert panel. Blood. 2007;110:1092-1097.
*11  Passamonti F, et al. Molecular and clinical features of the myeloproliferative neoplasm associated with JAK2 exon 12 mutations: a European Multicenter Study. ASH Annual Meeting Abstracts. 2009;114:3904.
*12  Thiele J et al. Megakaryocytopoiesis in haematological disorders: diagnostic features of bone marrow biopsies. An overview.Virchows Arch A Pathol Anat Histopathol. 1991;418(2):87-97. PMID:1899960

トップ   新規 一覧 検索 最終更新   ヘルプ   最終更新のRSS