Wikipathologica-KDP

Waldenström macroglobulinemia

WHO 5th classification -->fileリンパ形質細胞性リンパ腫-WHO5th.txt

Waldenstrom.jpg

スウェーデンの内科医 Jan Gösta Waldenström (1906-1996) により1944年報告された。*1 まれなリンパ形質細胞性腫瘍の一型で, B細胞型の腫瘍細胞が骨髄, リンパ節に浸潤増殖しIgMを産生する。
リンパ腫と骨髄腫のハイブリッド性質をもつ疾患。男性に多く中年から高齢者に発症する。通常は潜在性発症で貧血, 出血傾向(歯肉,鼻出血,皮膚点状出血など), 心血管障害などの症状が見られ, リンパ腫, 肝脾腫を認める。
骨髄腫のような骨融解病変はみられない

monoclonal IgM paraproteinemiaの存在がWaldenström macroglobulinemia(WM)のhallmarkであるが同様にmonoclonal IgMの認められる悪性リンパ腫, CLLとの鑑別が困難なことがある。

2008年WHO blue book*2ではlymphoplasmacytic lymphoma(LPL)の特異なサブタイプとしてWMは定義され, LPLのうち骨髄病変が存在し, IgM monoclonal gammopathyをきたす疾患で,IgMの濃度によらない*3となっている。

WMの病理

骨髄病変はほぼ全症例に存在する。WMの骨髄所見は多様heterogenousである*4

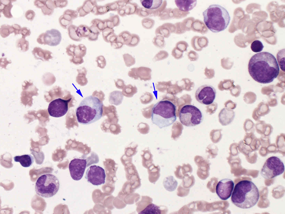
WM/LPLでは成熟Bリンパ球から形質細胞までの細胞出現を見る。ほぼ全例にリンパ球,形質細胞, 形質細胞様リンパ球plasmacytoid lymphocyteの増多が認められる。

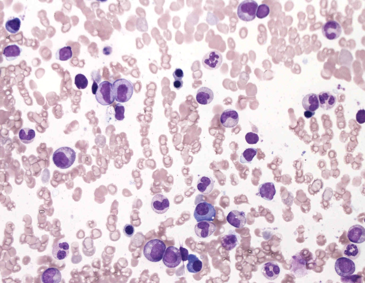
骨髄組織・細胞標本

骨髄スメア標本です。ねっとりした血清成分がよくわかります。「hyperviscosity」の状態= 過粘稠(ねんちゅう-と読む)症状; hyperviscosityの正しい訳は過粘度のほうがよいと思う.
赤血球が索状に連なる連銭形成rouleauxが明瞭。

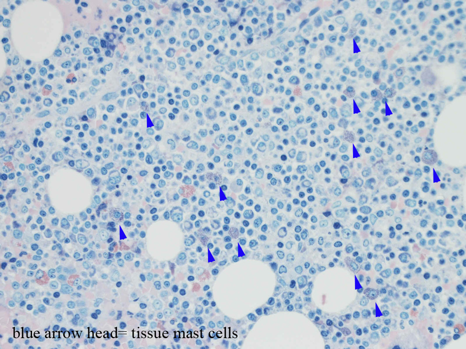
bone marrow clot section(May-Giemsa染色)標本: metachromatic basophilic granulesをもつmast cellが多数出現する

 

plasmacytoid lymphocyte

plasmacytoid01.jpg

WM腫瘍細胞

WM腫瘍細胞の由来
WMのB細胞サブセットは骨髄,脾臓辺縁帯, リンパ節, 末梢血に存在する。WM腫瘍B細胞の由来については長く議論されてきた。*5

 

WM腫瘍細胞の免疫染色*6

WM腫瘍細胞の遺伝子異常

MYD88 mutationとWaldenstroem macroglobulinemia

Waldenström macroglobulinemiaの患者さんにはMYD88 L265Pのsomatic mutationが高率に認められることが骨髄lymphoplasmacytic cellのwhole genome sequence分析により発見された。*9

  • WMと診断されたLPL 30例の末梢血, 骨髄からソートしたCD19細胞をもちいた全ゲノムシークエンスで27/30例にMYD88遺伝子L265P変異が検出された。SangerシークエンスでWM 49/54例(91%), IgM非分泌性LPL 3/3例(100%)がMYD88L265P変異陽性であった。一方IgM-MGUSでは2/21例(10%)と低頻度であった。*10
     
  • MYD88の二量化阻害剤とともにWM細胞を培養すると, MYD88シグナルが抑制され, IκBα, NF-κBp65のりん酸化とNF-κBの核染色が著明に減少した。同様な結果はIRAK1/4キナーゼ阻害剤をMYD88変異陽性MW細胞に添加しても認められる。一方野生型MYD88のWM細胞ではMYD88シグナル抑制による, これらの変化は見られなかった。*10
     
  • PCR-RFLPによる解析ではWM症例 18/27例(67%)にL265P変異が認められた。
     
  • MYD88L265P変異検出は, WMとIgMを産生する他のリンパ系腫瘍の鑑別診断に有用と考えられる。

WMのその他の遺伝子変異

CXCR4-mutation-WM-Treon.jpg

WM30症例の全ゲノムシークエンスにおいて10%以上の症例で変異を認めた遺伝子はMYD88遺伝子(90%)のほかに*11

cxcr4-fig-ok2.jpg

WMの治療

症状のある患者さんに治療を開始する。血清IgM増加のみでは治療対象としない。*12

chemotherapy

WMに対する特効薬というものは現時点ではなく, 個々の患者さんの状況に応じて選択する。アルキル化剤についてはautologous transplantationを試みようとする患者さんでは選択しないことを推奨する。移植の効能については引き続き検討を要する。*12

WM/LPLの治療 up to date

LPL/WMの治療 up to date --->虎ノ門病院血液内科 伊豆津先生の講演へ(第6回lymphomaniaの病理診断コースより)

原発性マクログロブリン血症へのイブルチニブ療法

Ibrutinib: BTK inhibitor(ブルトン型チロシンキナーゼ(BTK)阻害剤)-->ibrutinib の説明


*1  Waldenström J:Incipient myelomatosis or'essential' hyperglobulinemia with fibrinogenepenia- a new syndrome? Acta Med Scand 117:216-247, 1944
*2  WHO classification of tumors of haematopoietic and lymphoid tissues 4th Ed, 2008, pp194-195
*3  Owen RG, et al., Clinicopathological definition of Waldenström's macroglobulinemia: consensus panel recommendations from the Second International Workshop on Waldenström's Macroglobulinemia.Semin Oncol. 2003 Apr;30(2):110-5.
*4  K.Foucar Bone marrow pathology 2nd Ed.ASCP, pp426-429, 2002
*5  Arun Vijay et al., Waldenstöm macroglobulinemia Blood 109:5096-5103,2007
*6  Owen et al., Am J Clin Pathol 116:420-428, 2001
*7  San Miguel JF et al., Semin Oncol 30: 187-195, 2003
*8  Owen RG et al., Semin Oncol 30: 110-115
*9  Treon SP et al., MYD88 L265P somatic mutation in Woldenstrom's macroglobulinemia N Engl J Med 2012; 367: 826-33
*10  Treon SP, et al, MYD88 L265P somatic mutation in Waldenstrom's macroglobulinemia. N Engl J Med. 2012 Aug 30;367(9):826-33.
*11  Hunter ZR, et al, The genomic landscape of Waldenstrom macroglobulinemia is characterized by highly recurring MYD88 and WHIM-like CXCR4 mutations, and small somatic deletions associated with B-cell lymphomagenesis. Blood. 2014 Mar 13;123(11):1637-46.
*12  Treon SP et al., Update on treatment recommendations from the Third International Workshop on Waldenstrom's macroglobulinemia. Blood. 107(9):3442-3446. Epub 2006

トップ   新規 一覧 検索 最終更新   ヘルプ   最終更新のRSS