Wikipathologica-KDP

WikiPathologica

Pancreatic acinar cell carcinoma

全膵臓腫瘍の1-2%を占める低頻度の腫瘍。小児腫瘍では15%。

腫瘍細胞が膵外分泌酵素を産生する膵腫瘍と定義され, この腫瘍細胞が25%(腫瘍の1/4)を超え, 内分泌細胞腫瘍成分またはductal componentが認められないもの

形態的な鑑別診断では膵神経内分泌腫瘍(pancNET), solid pseudopapillary tumor, pancreatblastomaは,通常型 ductal adenocarcinomaよりもacinar cell carcinomaとの鑑別に困難を感じる場合が多い.
とくにmixed acinar-endocrine carcinoma(neuroendocrine differentiationを示す成分が少なくとも1/3以上を占める) は問題となる。

まれなACCで膵管系を侵し充実性病変の他, 管内へポリープ様増殖や膵管嚢胞状拡張を来すものが報告されている*1

病理組織所見*2

acinar cellの病理組織学的同定。

1.PAS、消化PAS染色, 粘液染色

ジアスターゼ消化PAS染色では, zymogen顆粒をしめす微細なPAS陽性顆粒が, 特に細胞先端部に確認できる。しかし, PAS陽性顆粒の出現は症例によって大きな差がみられ、同じ腫瘍内であっても部位による差が大きい。

ductal adenocarcinomaと異なりムチカルミン染色やアルシャンブルー染色で細胞質内にmucinは認められない。腺房を構成する細胞の先端表面に局在して染まることはある。

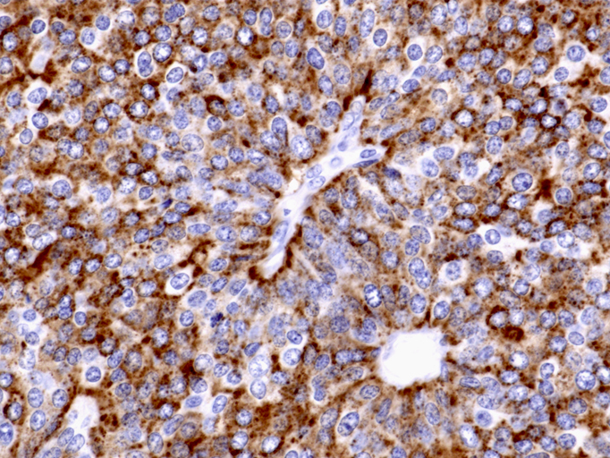
2.免疫染色

種々の膵酵素に対する抗体による免疫染色がもちいられるがその感度には大きな差が認められる。酵素はzymogen顆粒に存在し染色パターンは細胞質に点状あるいはびまん性陽性を呈する。

1. trypsin, chymotrypsin は95%以上の感度があり, 診断に有用であるがchymotrypsinは感度が悪いとする研究がいくつかある。

2. lipaseは, すこし感度が低く, 70-85%の症例が陽性となる。

3. この他, ACCsに陽性と報告されたマーカには, alpha1-antitrypsin, alpha1-antichymotripsin, phospholipase A2, pancreatic secretory trypsin inhibitorなどがある。

4. アミラーゼはめったに同定されない。

5. BCL-10

その他の免疫染色

CAM5.2, CK(AE1/3), CK8およびCK18は通常陽性となる。一方, CK7, CK19, CK20は陰性が普通。EMAは半数に陽性。

ductal carcinomaに陽性となる, MUC1, MUC5AC, CEA, CA19-9, DUPAN-2, B72.3, CA125は陰性か, ごく一部に陽性のみ。

solid-pseudopapillary tumorに陽性のvimentin, CD10, PgRはACCsには陰性である。

抗トリプシン抗体(Santa Cruz Trypsin(D-1):sc-137077): ヒト由来トリプシン-1 N末端近傍の39-140アミノ酸に対する抗体。*3. 変成や壊死した腫瘍細胞には非特異的に染まってしまうようです。

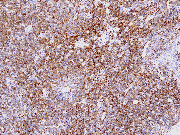
''抗BCL10抗体*4 ''は acinar cellのzymogen顆粒に染色陽性を示す。市販抗体購入には抗体クローンに注意が必要です。

これはzymogen顆粒に含まれる膵酵素 Carboxyl ester hydrolase (CEH), 別名phospholipase A1/ non-specific lipaseのC末端アミノ酸がBCL10タンパクのcarboxyl末端と高い相同性をもっており, 交差反応をおこしているためと考えられる。*4 [アミノ酸シークエンスを調べたがhomologyは高くないようですがなぜ?--->3-6個ほどのアミノ酸相同で交差するようです。両者は2つの介在アミノ酸をもって5個のアミノ酸が相同のようです。モノクロナール抗体の特異性なんてこんなもんっすか。]

市販抗BCL10抗体にはBCL10 N末端あるいはC末端のみをエピトープとするものがあり,
acinar cellのCEHを染色するには抗BCL10抗体のうち, C末端に反応するクローンを使用する必要がある購入時/使用時に注意が必要。 文献ではSanta Cruz社のclone 331.3を使っている。[論文タイトルの331.3と文中の331.1は331.3が正しいようです。Santa CruzのHPで確認] 膵CEHと同じタンパクが血管内皮に存在する。また授乳期乳腺では human milk bile salt-activated lipaseとして存在する。抗BCL10 C末端抗体で授乳期乳腺はfocalに染色される*4. positive controlは正常膵腺房がよい。

protein atlasページには2つの抗CEH抗体(Sigma-Aldrich社販売)が記載されています。 こちらを購入するという手もあります。

3.電顕によるZymogen顆粒の確認。

electron-dens granules は 数, 形, サイズ, 分布に非常に差が大きい。典型的な顆粒は125-1000nmで丸く, 管腔に面した細胞質先端に多くなっている。

 

抗BCL-10抗体(santa cruz 331.3)
1:200, proteinaseK処理で背景の過染色なくきれいに染まります。(クリックで大きい画像が見られます)

分子/細胞遺伝学

1. ACCでは高頻度のgenetic copy number variationが報告されている。*5*6

1p, 4q, 11q, 13q, 15q, 16p, 16qおよび17p のalleric loss1q, 12p および Xqのgainがが60%以上のACCに報告されている

2. 以下の腫瘍抑制遺伝子の増幅amplificationは, ドライバー変異よりも, ACCのゲノム不安定性を反映しているようで二次的変化と考えられる。*7

20q13.3のGATA5のgain (5/5cases, 100%)

19p13.3のLKB1のgain (4/5cases, 80%)

13q (BRCA2, RB1のlocus)のgain (1/5, 20%)

予後*2

膵ACCは所属リンパ節, 肝, 肺などに広範囲に転移をきたすが, 切除症例の検討では膵管癌の生存中央値median survivalが24ヶ月に対して, ACCは61ヶ月と明らかに予後に開きが認められる。*8


*1  Basturk O, et al. Intraductal and papillary variants of acinar cell carcinomas: a new addition to the challenging differential diagnosis of intraductal neoplasms. Am J Surg Pathol. 2007 Mar;31(3):363-70.PMID:17325477
*2  清水道生ほか 膵癌取り扱いに関する新たな知見と基準 比較的まれではあるが重要な膵疾患 病理と臨床 2016; 34(8): 816-822
*3  Santa Cruz社抗体カタログ
*4  La Rosa S, et al.The monoclonal anti-BCL10 antibody (clone 331.1) is a sensitive and specific marker of pancreatic acinar cell carcinoma and pancreatic metaplasia.Virchows Arch. 2009 Feb;454(2):133-42.
*5  Rigaud G, et al. Allelotype of pancreatic acinar cell carcinoma. Int J Cancer. 2000 Dec 1;88(5):772-7.PMID:11072247
*6  Taruscio D, et al. Pancreatic acinar carcinoma shows a distinct pattern of chromosomal imbalances by comparative genomic hybridization. Genes Chromosomes Cancer. 2000 Jul;28(3):294-9.PMID:10862035
*7  de Wilde RF, et al. Analysis of LKB1 mutations and other molecular alterations in pancreatic acinar cell carcinoma. Mod Pathol. 2011 Sep;24(9):1229-36. doi: 10.1038/modpathol.2011.83. Epub 2011 May 13.PMID:21572398
*8  Matos JM, et al. Pancreatic acinar cell carcinoma: a multi-institutional study. J Gastrointest Surg. 2009 Aug;13(8):1495-502.

トップ   新規 一覧 検索 最終更新   ヘルプ   最終更新のRSS