Wikipathologica-KDP

ALK陽性大型B細胞リンパ腫 ALK-positive large B-cell lymphoma

 

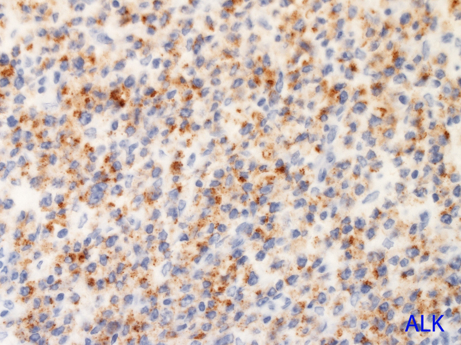
Anaplastic lymphoma receptor tyrosine kinase(ALK)を発現する均一な大型免疫芽球様B細胞の腫瘍、ときに形質芽球への分化を伴う。[ALKはヒト正常細胞では通常, 神経系細胞の一部のみに陽性。ヒトの細胞でこれ以外にALKが染まれば異常。がん研有明病院 竹内賢吾先生]

まれな腫瘍で, いままで50例ほどの報告があり、本邦では6症例の報告(医中誌2012/8月). 945例のDLBCL例にALKの免疫染色スクリーニングを行うと5例(0.5%)が陽性であった*1
男女比は3:1と男性優位、小児から成人まで幅広い年齢に発症。

ほとんどが進行期でみつかる。3-4期患者さんの生存期間中央値は11ヶ月と通常のDLBCLと比較して悪い。

多くは節性。縦隔, 鼻腔, 舌, 胃, 空腸, 骨, 軟部など種々の臓器を侵しうる。

 

Immunophenotype:

ALK融合遺伝子

ALKfusionLymphoma01.jpg

1. NPM(nucleophosmin)-ALK [t(2;5)(p23;q35)]

2. CLTC-ALK [t(2;17)(p23;q23)]

3. SEC31A-ALK*3:[t(2;5)(p23.1;q35.3)] 第3の融合パートナー

4. SQSTM1-ALK*4*5

5. unknowns

骨髄病変

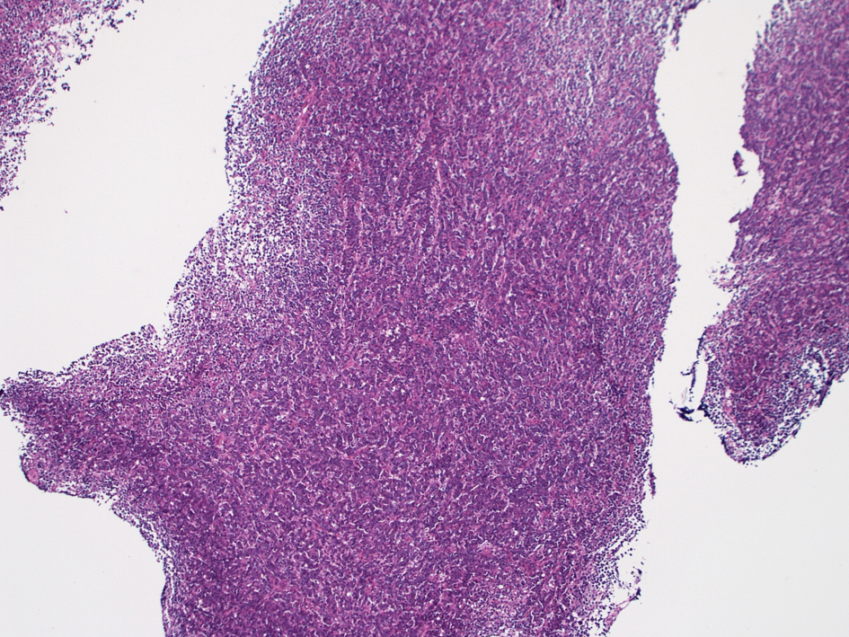
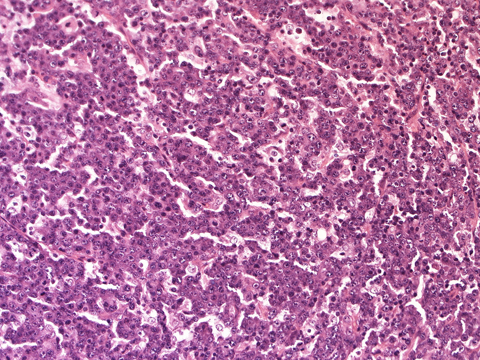
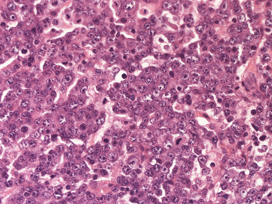
山梨大学医学部 Dr.大石直輝: 骨髄HEではvesicularな核をもつ大型異型細胞がorganoid pattern, 類上皮様配列をとり増殖している。癌腫の転移と紛らわしい所見。

File not found: ALKB_HE01_s.jpg クリックで大きな画像が見られます。

腫瘍細胞は接着性がみられ, 索状に増殖, 上皮性腫瘍のように見える。

DLBCLspecial.jpg
 

Virtual SlideおよびImmunophenotypeなど: Sorry, 閲覧にはID, passwordが必要になります。

ALK-postive large B-cell lymphomaVS閲覧--->VS

骨髄組織標本のPDFスライド閲覧--->PDF file

ALK+ LBCLは形態的にリンパ腫に見えないことがある。(CKが染まる場合, 低分化な癌に誤診されてしまう)

Plasmablastoid/immunoblastoid morphology 形質芽細胞/ 免疫芽球様形態, phenotypeを示す腫瘍のひとつに入れられる(右図 がん研有明病院 竹内賢吾先生 講義より.)

ALK+ LBCLは形質細胞腫に見えることがある。

ALKを染めることが診断に直接結びつく。

鑑別診断に, ALK+ inflammatory myofibroblastic tumor(IMT); 形態が似ることがある。


*1 Wang WY, et al., [Diffuse large B-cell lymphoma with expression of anaplastic lymphoma kinase protein: clinicopathologic and immunohistochemical study of 5 cases].Zhonghua Bing Li Xue Za Zhi. 2006 Sep;35(9):529-34.[Article in Chinese]
*2 Valera A, et al., ALK-positive large B-cell lymphomas express a terminal B-cell differentiation program and activated STAT3 but lack MYC rearrangements.Mod Pathol. 2013 Apr 19. doi: 10.1038/modpathol.2013.73. [Epub ahead of print]
*3 Haematologica 2013 March; 95(3): 509-513
*4 Takeuchi K, et al., Identification of a novel fusion, SQSTM1-ALK, in ALK-positive large B-cell lymphoma. Haematologica. 2011 Mar;96(3):464-7. doi: 10.3324/haematol.2010.033514. Epub 2010 Dec 6.PMID:21134980 Free PMC Article
*5 d'Amore ES, et al., STAT3 Pathway Is Activated in ALK-positive Large B-cell Lymphoma Carrying SQSTM1-ALK Rearrangement and Provides a Possible Therapeutic Target.Am J Surg Pathol. 2013 May;37(5):780-6. doi: 10.1097/PAS.0b013e318287791f.
*1  Sakamoto K, et al. ALK-positive large B-cell lymphoma: identification of EML4-ALK and a review of the literature focusing on the ALK immunohistochemical staining pattern.Int J Hematol. 2016 Apr;103(4):399-408.

トップ   新規 一覧 検索 最終更新   ヘルプ   最終更新のRSS