Acute promyelocytic leukaemia-AML M3

Acute promyelocytic leukaemia(APL), AML-M3疾患解説ページ

Acute promyelocytic leukaemia Case01

58歳男性

仕事中転落, 2時間後めまい, 冷汗, ひどい頭痛があり, 救急車で来院。2-3日前より血尿があった。頭部CTで小脳出血, 第4脳室内穿破を認める。入院時口腔粘膜出血あり。
CBC; WBC60600/μl, RBC379x10^4/μl, Hb12.3g/dl, plt2.8x10^4/μl, LDH515IU/l, APTT20.4(27.0).

血腫, 水頭症が急激に増悪するため, 緊急血腫除去術, 脳室ドレナージをおこなう。2日め末梢血液像、骨髄検査でAPLと診断。同日肺水腫, 肝腎不全を発症。DIC。全身状態の悪化から白血病の化学療法は施行できず。症状出現より3日の経過で死亡される。

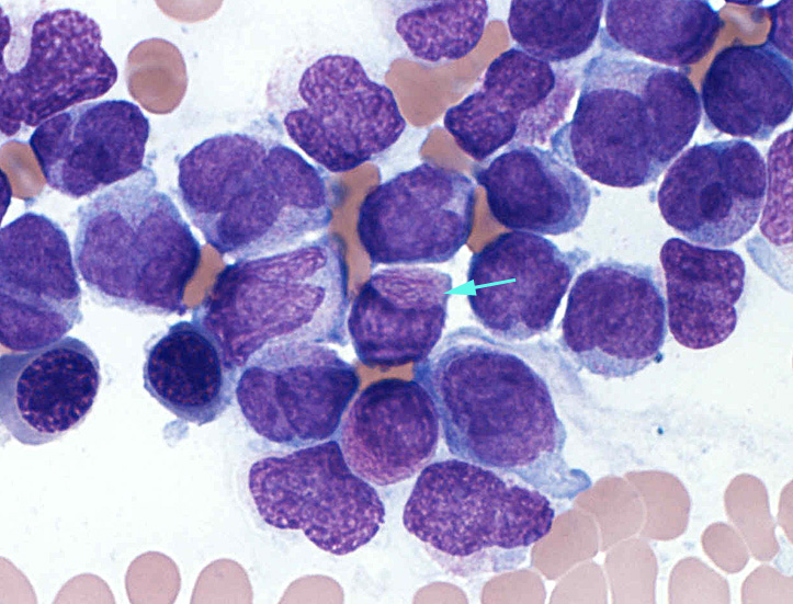
血液・骨髄細胞所見

第2病日CBC: Hb7.4g/dl, RBC233x10^4/μl, WBC67900/μl, Plt.6.7x10^4/μl, differential; myeloblast17%, promyelocyte 82%
Myelogram: NCC 25x10^4//μl, Mgk 0, myeloblast 4.3%, promyelocyte 93.7%, myelocyte 0.7%, seg0.3% erythrocyte 0.3%, lymphocyte 0.3%, M/E=330

末梢血はleukocytosisを示し, 異常なpromyelocyteの増殖が著明。核はダンベル状, クローバ状, 奇妙な形にねじれている。アズール顆粒は認められるが全体に少ない。myeloblastの増加も見られる。骨髄smearでも異常promyelocyteの著増あり。Aurer bodyが認められる他, fagott cellも出現している(下図;矢印)。骨髄クロット(May-Giemsa染色);切れ込みの強い核をもつ細胞質が顆粒状の異型幼若細胞が密に増殖し, 正常造血は強く抑制されている。

通常型AML-M3に認められるfagott cellが認められる(矢印)

 
 
karyotypephoto.jpg

Karyotype, G-band法でt(15;17)(q22;q12)が検出された。PML::RARα

増殖細胞は, CD13+, CD33+, CD34-, HLA-DR-, CD56-, CD14-, CD68-, CD163-

血尿, 口腔粘膜出血などが小脳出血に数日先行している。重症coagulopathyによる出血症状が急激に出現,重症化しATRA誘導療法をおこなう余裕もなかった症例。末梢血では著明なleukocytosisが認められ, 形態, 表面マ-カ-はAML-M3 variantを示す。 karyotypeでt(15;17)が検出された。

 
 

リンク

Acute promyelocytic leukaemia-case02

Acute promyelocytic leukaemia-case03


トップ   新規 一覧 検索 最終更新   ヘルプ   最終更新のRSS