Wikipathologica-KDP

Aggressive natural killer(NK) cell leukaemia

50year-old female: hemophagocytic syndromeで発症したaggressive NK cell leukaemia。

咳嗽, 鼻汁, 発熱で発症. インフルエンザは陰性. 耐糖能異常あり. 投薬により症状軽快するが拍動性後頭部痛, 微熱が持続した.血液検査でAST148U/l, ALT161U/l, LDH826U/L,Al-p953U/L, γ-GTP126U/Lを指摘され紹介受診. 腹部CTでは軽度脾腫あり.WBC1100/μl(seg35%), Hb9.0g/dl, plt7.3x10. と汎血球減少が認められる。WBC900/と血球減少が進行する.

1週間以上持続する発熱, 脾腫, 進行性汎血球減少, 骨髄血球貪食像によりhemophagocytic syndrome(HPS)が考えられた。ferritin 13690ng/ml, sIL-2R 4810と増加.

骨髄所見

サムネイルをクリックすると大きなphotoが見られます(以下同じ)

smear標本に比べてclot sectionではhemophagocytosisがわかりにくいことがある
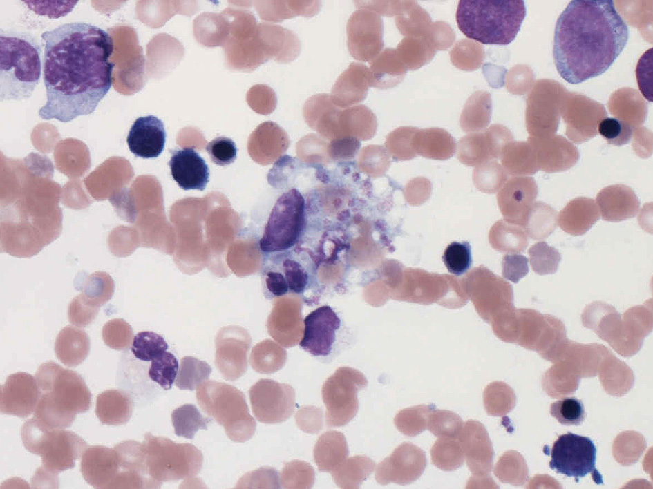
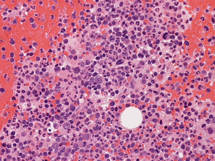
左端の1)HE標本ではclotの辺縁部に貪食マクロファージの集簇が認められる。2), 3)はスメアの貪食像。hemophagocytic syndrome(HPS)が考えられる所見。末梢血には顆粒リンパ球が4%認められた。

末梢血中顆粒リンパ球

まずウイルス感染によるHPS(VAHS)が疑われPSL+CSA内服治療を開始. 検査値でDICを認め, 低分子ヘパリン投与, FFP4単位/2xweekを開始, 頭痛, 全身倦怠感は改善した。以後PSLを減量。
3週間後,再度発熱, ferritin 20900著増, 好中球減少が進行した。 骨髄穿刺で異常なNK cellが7%認められた, 入院時の骨髄をreviewすると形態異常のないNK cellを4%認めていた. 異常NK cellは表面マーカ CD2+, CD7+, CD11c+, CD16±, CD56+.

骨髄所見2

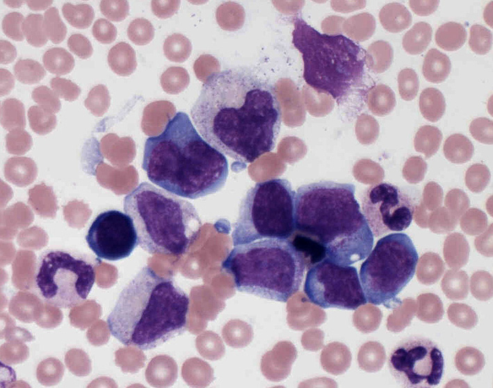
異型細胞が集簇, 散在性に増殖している。N/C比大. 粗なクロマチンをもち核小体を複数もつ核に紫の色調の細胞質をもった大型細胞である。類円形の核の他, くびれや捻じれを示す核, 多型な核も出現しているように見える(May-Giemasa染色)。HEでも大型細胞の集族がある. smearの異型細胞は濃い青色調の細胞質にアズール顆粒が認められる。核クロマチンは凝集しているように見える。

末梢血中顆粒リンパ球

末梢血異型顆粒リンパ球

くびれやねじれを示すクロマチンを増した核, 核小体をもつ核が認められる。好塩基性の強い細胞質をもつ類円形細胞(A-I). 透き通る青めの細胞質(J-L). M-Rではマクロファージに似た核や細胞質形態を示す。核クロマチンは増加している。

骨髄免疫染色およびISH

MG染色での大型異型細胞はCD56, CD30陽性。CD3は陰性を示す

aggressive NK/T cell leukaemia

 
Sucurve.jpg

他人種に比較しアジア人種に多く発生するまれなタイプのleukaemiaで全身性に腫瘍性NK cellの増殖が認められる.

ANKL (WHO5th classification) --> fileANKL-WHO5th.txt

 
 

Hussein SE, et al. Genomic and Immunophenotypic Landscape of Aggressive NK-Cell Leukemia. Am J Surg Pathol. 2020 Sep;44(9):1235-1243.
doi: 10.1097/PAS.0000000000001518.
PMID: 32590457 DOI: 10.1097/PAS.0000000000001518

Abstract
Aggressive natural killer-cell leukemia (ANKL) is a rare, lethal disease with pathologic features that are underdescribed in the literature, particularly in Western nations. In addition, although data on the molecular pathogenesis of ANKL has been reported, evaluation of such data in a clinicopathologic context remains limited. Patients diagnosed with ANKL were identified retrospectively. Detailed demographic and clinicopathologic data were analyzed. We assessed novel markers by immunohistochemistry and performed targeted next-generation sequencing analysis. The study group included 9 men and 3 women with a median age at diagnosis of 47.5 years (range, 20 to 75 y). Two distinct patterns of bone marrow involvement were identified: interstitial and sinusoidal. The neoplastic cells were positive for CD56 and CD94, and negative for surface CD3, CD5, and CD57 in all cases assessed. They were also positive for CD2 (10/12), c-MYC (6/8), BCL2 (6/8), CD16 (5/7), EBER (9/12), CD7 (6/11), pSTAT3 (3/8), CD8 (2/6), PD-L1 (2/8), CD4 (2/11), CD8 (2/6), and CD158 (1/5). Aberrant p53 expression was identified in most (7/8) cases; p53 was strongly expressed in 4 cases. Conventional cytogenetic analysis showed clonal abnormalities in 5 of 12 cases. TP53 mutations were detected in 3 of 6 cases, whereas ASXL1 and TET2 mutations were each detected in 2 of 6 cases. Patients had very poor outcomes despite intensive chemotherapy, with a median survival of 2 months. ANKL exhibits 2 distinct patterns of tissue involvement. Neoplastic cells in ANKL are commonly positive for c-MYC and EBER, and they have a high frequency of p53 overexpression, frequently with corresponding TP53 mutations.

要旨


トップ   新規 一覧 検索 最終更新   ヘルプ   最終更新のRSS