Castleman disease

IgG4陽性形質細胞が増加するCastleman disease

40歳代 男性

検診で胸部異常陰影を指摘され精査中に高タンパク血症を指摘される.タンパク分画でpolyclonalな免疫グロブリンの増加あり. Mタンパクは認められない.

1年前からビー玉大の頚部リンパ節腫脹あり. 大きさは変動している. 圧痛, 熱感なし. 1か月前より鼠蹊部にも出現する.

右頚部,やわらかい圧痛のないリンパ節.1.0cm大, 右腋窩に2.0cm大のリンパ節1個, 両鼠蹊部に1.0-1.5㎝大リンパ節複数個触知.
CT; 両側肺, 右中葉や左上葉舌区にめだつ斑状影, 小さな不定形のすりガラス状影, 小葉間隔壁肥厚を認める.
両側頚部, 両側腋窩, 傍腹部大動脈, 上直腸静動脈に沿うリンパ節, 両側鼠蹊部リンパ節が軽度に腫大している.

 

Virtual Slide ---> IgG4陽性形質細胞が増加するCastleman diseaseリンパ節:テキストをクリックするとVSが見られます. 右クリックで新しいタブで開くと便利です.

Castleman diseaseでIgG4陽性形質細胞が増加する場合IgG4関連疾患との鑑別は困難 (小島勝先生談)

 

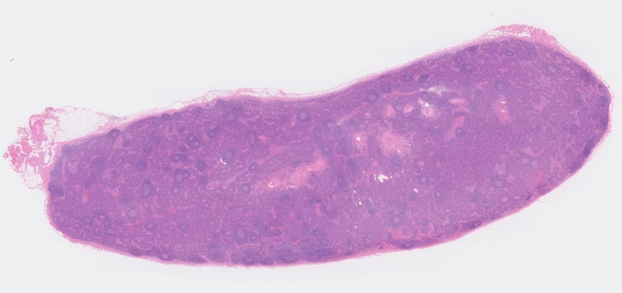
12 x 3.8mm, 腫大した鼠径リンパ節が生検された.--クリックで大きな画像がみられます.|

 

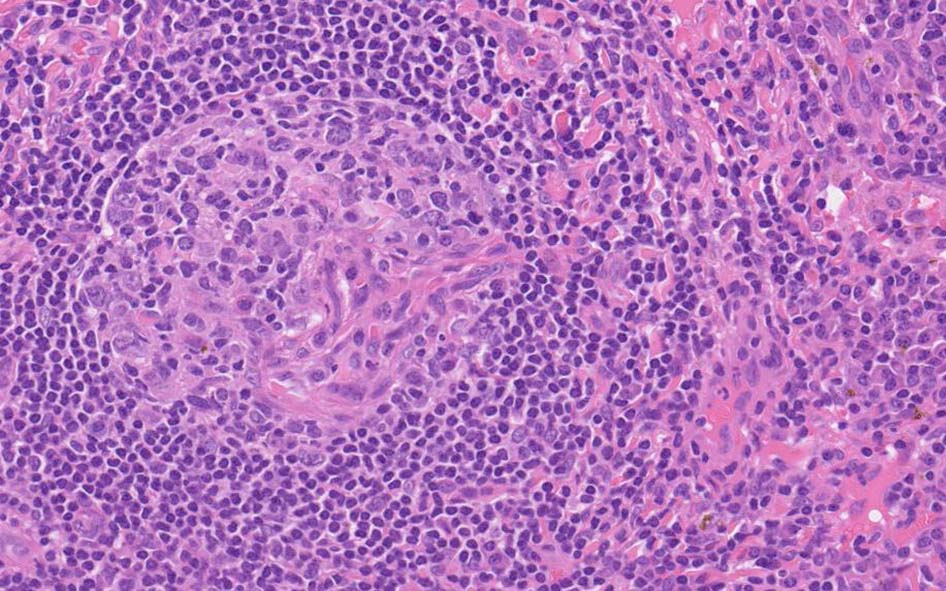
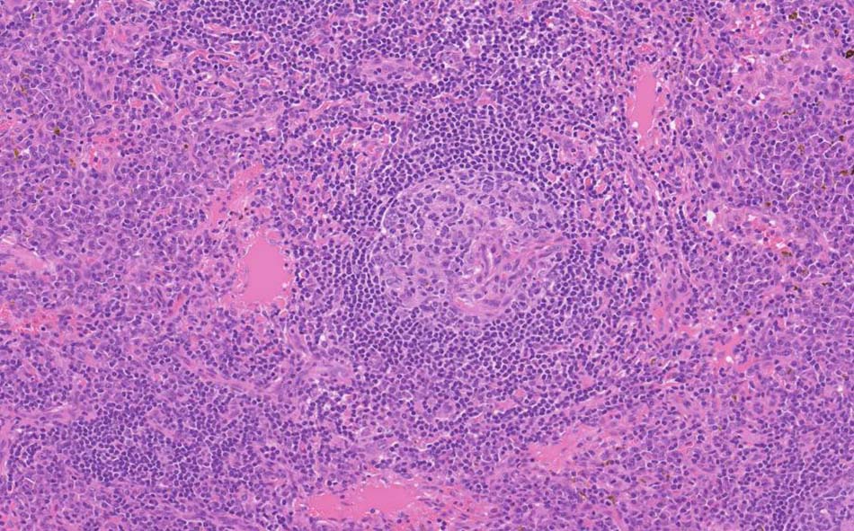
萎縮した胚中心をマントル細胞が取り囲む濾胞構造がびまん性に認められる. 濾胞間には,形質細胞が密に認められる.
萎縮した胚中心には細血管が侵入する特徴的な所見がある. (Lolli-pop germinal center)

 

免疫染色; リンパ節のplasma cellは多くがIgGが陽性. さらにIgG4陽性plasma cellsが多数をしめる.

臨床検査でIgG4高値が指摘され(血清IgG4は1340mg/dlと著しく上昇), Castlemanとすると発熱がないことより, IgG4関連疾患が疑われた.

TP 9.6g/dl, Alb 2.8g/dl, IgG3945mg/dl, IgA 635mg/dl, IgM 245mg/dl, CRP 3.3, 抗核抗体(+) 血清補体価(CH50) 48.9. 血清IL-6 11.5pg/ml (<4.0pg/ml).

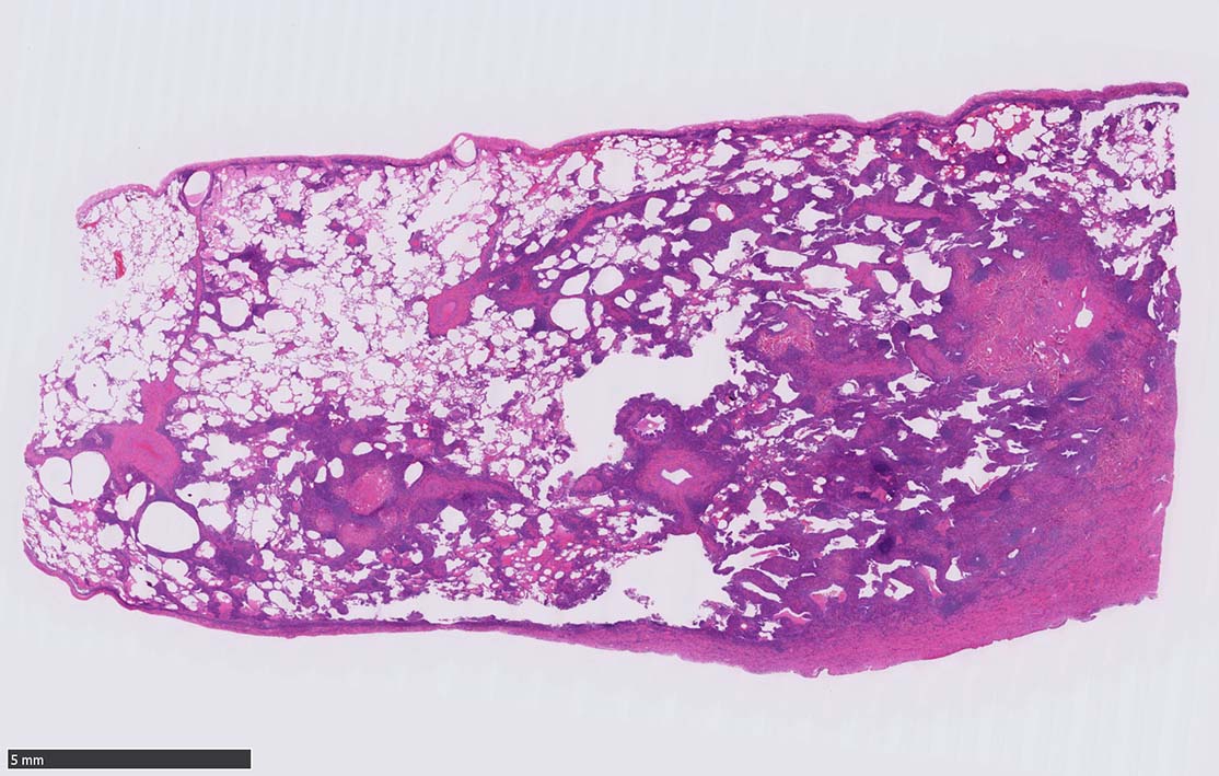
IL-6高値. 検査値からは Castleman disease がIgG4関連リンパ節症よりも適切と考えられる. 次第に, 胸部X-pの増悪あり. rt.lung B4a, B6bからVATSが施行された.

 

肺VATS組織

 

症例ページ作成中

 
 

IgG4関連疾患- IgG4関連全身性リンパ節症

IgG4関連疾患

IgG4関連疾患は, 主に外分泌臓器にリンパ形質細胞浸潤と硬化による腫瘤形成を特徴とする症候群. 血清IgG4値の上昇と侵襲臓器にIgG4陽性形質細胞増多を認める. *1*2*3*4*5*6*7*8*9*10

膵, 胆管, 胆嚢, 涙腺, 唾液腺, 後腹膜, 腎, 肺, 前立腺に病理学的に線維化が認められる.
正確な病因は不明である. 著名な線維化はしばしば悪性腫瘍との鑑別を要するがIgG4関連疾患を鑑別疾患のリストに入れることで不必要な外科的切除を避けられる.*1*2*11*3*4*5*6*7*8*9

IgG4関連疾患はときに全身リンパ節病変を伴うことが報告されている.*11*3

IgG4関連全身性リンパ節症の臨床病理学的兆候

IgG4関連全身性リンパ節症の病理組織学的所見

  • Sato Yら*16のIgG4関連全身性リンパ節症の9例では, 頸部, 肺門部, 縦隔, および傍大動脈リンパ節が腫大していた. サイズは最大2.0cmまでと大きくなく, 既存の報告と同様であった.*11 *3*10

リンパ節組織像: IgG4陽性形質細胞の存在部により2つの組織型に分けられる*16

  • Interfollicular plasmacytosis type:
     
  • Intra-germinal center plasmacytosis type:

*1  Hamano H, et al. High serum IgG4 concentrations in patients with sclerosing pancreatitis. N Engl J Med 2001;344:732-738.
*2  Hamano H, et al. Hydronephrosisassociated with retroperitoneal fibrosis and sclerosingpancreatitis. Lancet 2002;359:1403-1404.
*3  Kamisawa T, et al. IgG4-relatedsclerosing disease incorporating sclerosing pancreatitis,cholangitis, sialadenitis and retroperitoneal fibrosiswith lymphadenopathy. Pancreatology 2006;6:132-137.
*4  Kojima M, et al. Lymphoplasmacyticinfiltrate of regional lymph nodes in K&umlu;ttner’s tumor (chronic sclerosing sialadenitis): areport of 3 cases. Int J Surg Pathol 2008;16:263-268.
*5  Masaki Y, et al. Proposal for a newclinical entity, IgG4-positive multi-organ lymphoproliferativesyndrome: analysis of 64 cases of IgG4-relateddisorders. Ann Rheum Dis 2008 published online 13Aug 2008; doi: 10.1136/ard.2008.089169.
*6  Sato Y, et al. Ocular adnexalIgG4-related disease has uniform clinicopathology.Pathol Int 2008;58:465-470.
*7  Zhang L, Notohara K, Levy MJ, et al. IgG4-positiveplasma cell infiltration in the diagnosis of autoimmunepancreatitis. Mod Pathol 2007;20:23-28.
*8  Zen Y, et al. Pathological classificationof hepatic inflammatory pseudotumor with respect toIgG4-related disease. Mod Pathol 2007;20:884-894.
*9  Zen Y, et al. Th2 and regulatory immune reactions are increased in immunoglobin G4-related sclerosing pancreatitis and cholangitis. Hepatology2007;45:1538-1546.
*10  Cheuk W, et al. Lymphadenopathy of IgG4-related sclerosing disease. Am J SurgPathol 2008;32:671-681.
*11  Kamisawa T, Okamoto A. IgG4-related sclerosingdisease. World J Gastroenterol 2008;14:3948-3955
*12  Frizzera G, Peterson BA, Bayrd ED, et al. A systemiclymphoproliferative disorder with morphologic featuresof Castleman’s disease: clinical findings andclinicopathologic correlations in 15 patients. J ClinOncol 1985;3:1202-12
*13  Nishimoto N, Kanakura Y, Aozasa K, et al. Humanizedanti-interleukin-6 receptor antibody treatment ofmulticentric Castleman’s disease. Blood 2005;106:2627-2632.
*14  Kojima M, Nakamura S, Shimizu K, et al. Clinicalimplication of idiopathic plasmacytic lymphadenopathywith polyclonal hypergammaglobulinemia: a reportof 16 cases. Int J Surg Pathol 2004;12:25-30.
*15  Kojima M, Nakamura N, Tsukamoto N, et al. Clinicalimplication of multicentric Castleman’s disease amongJapanese: a report of 28 cases. Int J Surg Pathol2008;16:391-398.
*16  Sato Y, et al. Systemic IgG4-related lymphadenopathy: a clinical and pathologic comparison to multicentric Castleman's disease Modern Pathology 2009; 22(4):589-599
*17  Uso´n J, Balsa A, Pascual-Salcedo D. Soluble interleukin6 (IL-6) receptor and IL-6 levels in serum andsynovial fluid of patients with different arthropathies.J Rheumatol 1997;24:2069-2075.
*18  Uso´n J, Balsa A, Pascual-Salcedo D. Soluble interleukin6 (IL-6) receptor and IL-6 levels in serum andsynovial fluid of patients with different arthropathies.J Rheumatol 1997;24:2069-2075.
*19  Nishimoto N, Terao K, Mima T, et al. Mechanisms andpathological significances in increase in serum interleukin-6 (IL-6) and soluble IL-6 receptor after administrationof anti-IL-6 receptor antibody, tocilizumab, inpatients with rheumatoid arthritis and Castleman’sdisease. Blood 2008;112:3959-3964.
*20  Castell JV, Go´mez-Lecho´n MJ, David M, et al. Recombinanthuman interleukin-6 (IL-6/BSF-2/HSF) regulatesthe synthesis of acute phase proteins in humanhepatocytes. FEBS Lett 1988;232:347-350.
*21  Castell JV, Go´mez-Lecho´n MJ, David M, et al. Acutephaseresponse of human hepatocytes: regulation ofacute-phase protein synthesis by interleukin-6. Hepatology1990;12:1179-1186.
*22  Gabay C, Kushner I. Acute-phase proteins and othersystemic responses to inflammation. N Eng J Med1999;340:448-454.
*23  Masaki Y, Dong L, Kurose N, et al. Proposal for a newclinical entity, IgG4-positive multi-organ lymphoproliferativesyndrome: analysis of 64 cases of IgG4-relateddisorders. Ann Rheum Dis 2008 published online 13Aug 2008; doi: 10.1136/ard.2008.089169.
*24  Yokoyama A. Interleukin-6 (IL-6) / soluble IL-6receptor. Nippon Rinsho 2005;63:72-74.
*25  Nishimoto N, Kanakura Y, Aozasa K, et al. Humanizedanti-interleukin-6 receptor antibody treatment ofmulticentric Castleman’s disease. Blood 2005;106:2627-2632.

トップ   新規 一覧 検索 最終更新   ヘルプ   最終更新のRSS