Wikipathologica-KDP

 

Diffuse large B-cell lymphoma(DLBCL) びまん性大型B細胞リンパ腫

 
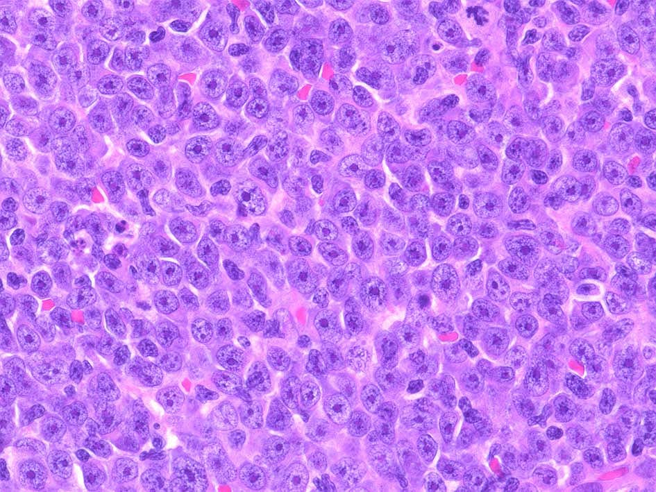
DLBCL35.jpg

DLBCLは悪性リンパ腫のなかでも最も頻度の高い病型(図; 古くなった統計であるが)で, 現在 Non-Hodgkin lymphoma診断の約30~40%を占めている.

臨床的には中悪性度(治療を行わない/治療が奏功しない場合, 月単位で進行悪化)あるいは高悪性度(同じく週単位で進行悪化する)リンパ腫であり, 急速な腫瘍の進展があるため診断後早期の治療介入が必要となる.

大細胞の定義は, 組織内に存在する小リンパ球とくらべて2倍以上の大きさ (以前はいろんな細胞;内皮や組織球など,と比べる説があったが今はこれ小リンパ球)

DLBCLは生物学的, 形態学的, 遺伝学的および臨床的に非常に不均一で多彩な疾患単位である.
近年の遺伝子発現解析により2つの大きなsubtypeに分類された. さらにNGSを用いた網羅的遺伝子解析により特徴的な遺伝子異常をもつ臨床的また分子病態が異なる4から5個群のグループに再分類され, 将来的な個別化医療の適応への応用が期待されている.

WHO 4th revised*1

→ 個々の疾患亜型における詳細を記載

→DLBCLの個別化

→ grey zone lymphomaの理解;intermediate typeを廃止, high-grade B-cell lymphomaの疾患単位を樹立.

→ 新規治療戦略

 

DLBCLの臨床像

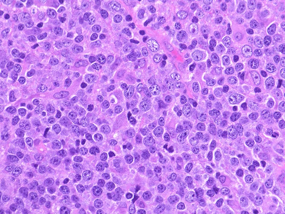
DLBCL, Not Otherwise Specified

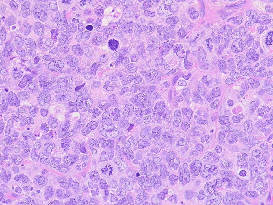
Common morphologic variants (* それぞれの特徴をもつ細胞が90%以上を占める病変に用いる)

Centroblastic (胚中心芽球型)
Immunoblastic (免疫芽球型)
Anaplastic (退形成/ 未分化細胞型)
Rare morphologic variants

Centroblastic および immunoblastic variantが通常多く認められる他に, multilobulatedや anaplastic variantが認められている,しかし, これら細胞形態による臨床的意義については評価が定まっていない.*28

Centroblastic variant(胚中心芽球型)

  • 最も多くみられるtype.腫瘍細胞は胚中心, centroblastに似る. (核膜に付着するように核小体が2~4個認められる)
  • 核はほぼ均一な大きさのことが多いが, ときに大小不同がめだつこともある.まれに分葉ないし多核に見える細胞が混在.
    免疫芽球が混在することもある.
  • 分葉構造がめだつことがあり, 節外性に多い. GCBが多い.
 

血液病理学者が腫瘍細胞形態に基づいてDLBCLをサブタイプ化しようと試みたが,観察者および観察者群間の再現性が乏しく, 結果として, WHOリンパ性腫瘍組織分類においてDLBCLとして単一の診断カテゴリーにまとめられている.*29

 

Molecular subgroupe, COO

Germinal cener B-cell-like
Activated B-cell-like

Immunohistochemical subgroups

CD5+ DLBCL
Germinal center B-cell-like
Non-germinal center B-cell-like

DLBCL Subtypes

T-cell/ histiocyte-rich B-cell lymphoma
Primary DLBCL of the central nervous system
Primary cutaneous DLBCL, leg type
EBV+ DLBCL of the elderly→→WHO 4th revisedでは EBV-positive diffuse large B-cell lymphoma, NOS

Other lymphoma of Large B Cells
Primary mediastinal(thymic) large B-cell lymphoma
Intravascular large B-cell lymphoma
DLBCL associated with chronic inflammation
Lymphomatoid granulomatosis
ALK+ large B-cell lymphoma
Plasmablastic lymphoma
Large B-cell lymphoma arising in HHV8-associated multicentric Castleman's disease
Primary effusion lymphoma
HHV8- and EBV-associated germinotropic lymphoproliferative disorder( not listed in the WHO classification)

High-grade B-cell lymphoma(新疾患単位として記載)

High-grade B-cell lymphoma with MYC and BCL2 and/or BCL6 rearrangement-->High-grade B-cell lymphomaのページをみる.
High-grade B-cell lymphoma, NOS

B-cell lymphoma, unclassifiable
B-cell lymphoma, unclassifiale, with features intrmediate between DLBCL and classical Hodgkin's lymphoma

Diffuse large B-cell lymphomaの分子診断--治療, 予後に直結する, これからのDLBCL分類

B-cell Malignancy Academy_血液病理検鏡会in関東 2019の遠西先生の講演から.

&ref(): File not found: "mark-dg-25.gif" at page "Diffuse large B-cell lymphoma WHO 4th classification revised Ed"; 今後の個別化医療の指標になるのはmolecular baseの biomarkers.

1.Cell-of-origin (COO)

&ref(): File not found: "mark-dg-25.gif" at page "Diffuse large B-cell lymphoma WHO 4th classification revised Ed"; mRNA発現解析によるDLBCL腫瘍のcell-of-origin(COO)設定.

2000年 Stanford大学のグループよりmicroarrayを使ったgene expression profilingによりDLBCLのmolecular subtypesが提唱され, GCB(germinal center cell-like), およびABC(activated B-cell-like)に分類された.
いわゆるcell of originの始まり. *30

mRNA解析は実臨床レベルでは実際的ではないことから--免染によるCOO分類(Hans分類が代表的;2004)を行うが差異が10-20%ほど出てしまう.*31*32

ABC-DLBCLは, germinal center(GC)を通過し, plasmablastにコミットする, B細胞より発生すると考えられ, NF-kappaB活性が高く, NF-kappaB経路に関わる遺伝子, BCR経路の上流部分の遺伝子に変化が起こり, 最終B細胞分化が混乱していると考えられている.*33*34*35*36

GCB-DLBCLは,胚中心明調帯(light-zone)B細胞由来と考えられ*33, chromatin-modifying酵素やPI3Kシグナル, Ga-migration経路の遺伝子に変化を来し, しばしばBCL2の構造変化(SVs)を伴っている.*33*37*38

ABC-DLBCLは, GCB-DLBCLに比較して治療への反応が悪いとされているが,検討されるべき, 付加的遺伝子異常がのこっており, これらの遺伝子変異を選択しターゲット解析をおこなう必要がある.*39*40*41*42*43

rituximabによる治療時代になってもGCB-like subtypeが予後が良いという報告(New England J Med 2008)*44

&ref(): File not found: "mark-dg-25.gif" at page "Diffuse large B-cell lymphoma WHO 4th classification revised Ed"; これからのCell of origin解析のゴールドスタンダード.

nanoストリング; デジタルカウント遺伝子発現解析(nCounter)タカラ社のWeb page--nCounter Analysis Systemを用いた高感度発現解析

  • nanoストリングテクノロジーによるFFEPからの遺伝子プロファイリングが今後のスタンダードになっていく.
  • ナノストリング社(NanoString Technologies Inc.;ナノストリング社はmRNAの発現解析を新規な技術で製品化した米国ワシントン州シアトルに本拠を置くベンチャー企業)の論文が米国の権威ある科学雑誌“nature biotechnology”の(2008年3月号:26-3)に掲載され、イメージ写真がその表紙を飾った.
  • ナノストリング社の技術はmRNAの発現解析を、これまで必須としていた酵素反応や増幅反応を不要とし、1回の測定で10-1000の遺伝子を直接定量できる大変ユニークで新規な技術.
  • ナノストリング社は、発現解析システムとして2種の自動化システムを組み合わせた「nCounter Gene Expression system」を販売.その液体ハンドリング部である「nCounter Prep Station」はPSS社より供給される.

2. MYCとBCL2の発現-Double Hit and Double expressor

ABC-GCB-Double.jpg

&ref(): File not found: "mark-dg-25.gif" at page "Diffuse large B-cell lymphoma WHO 4th classification revised Ed";DLBCLの第二のbiomarker;MYCとBCLの発現

1. protein レベルでMYCとBCL2の両者を発現するlymphoma--Double-protein expressor(DPE)

  • DPEはDHIT(double-hit lymphoma)を含んでいる.
     
  • DLBCLの形態を示すlymphomaの約30%がDEP.
     
  • DPEの腫瘍の多くは,ABCのmolecular subtypeに認められる
     
  • R-CHOPによる治療では, 予後不良の群になる.
     

2. MYCとBCL2遺伝子のtranslocationが認められる--FISHや核型による確認.:Double-HIT lymphoma(DHL)

  • DLBCLでMYCとBCL2および/あるいはBCL6の再構成を認めるもの.
     
  • DLBCLの形態をとるリンパ腫の約8%
     
  • BCL2転座腫瘍(High grade B-cell lymphoma(HGBL)-DH/TH-BCL2)は,ほぼ全例が GCB molecular subtypeである.
     
  • R-CHOP治療では予後が不良.

3. COOを基盤とした新規mRNA発現プロファイルによるDLBCLの分類 2018~

&ref(): File not found: "mark-dg-25.gif" at page "Diffuse large B-cell lymphoma WHO 4th classification revised Ed";NGSを使った遺伝子検索

DLBCL-NIHsubtype.jpg

2011 Morin RD et al*45

  • 113リンパ腫例, RNAseq, クロマチン修飾遺伝子の変異が検出された.
     
  • 標本に臨床情報が連結していないため治療や予後と関連付けができなかった.

2018 Schmitz R et al.; NIHのグループ*46

  • COOがsubtypigの基盤として生き残っている
     
  • 少ない遺伝子を取り上げ, DLBCLを4つのグループにわけた, 予後に結びついたsubtypingが可能であった.
    • MCD; MYD88L625P変異, CD79B変異が同時に認められるsubgroup.
    • BN2; BCL6 fusionとNOTCH2変異
    • N1; NOTCH1変異
    • EZB; EZH2変異とBCL2転座がある.
  • MCDとN1 subgroupeは予後が悪く, BN2とEZBは治療効果があり予後良好であった.
     
  • MCDとBN2は腫瘍進展に「chronic active」B-cell receptor signanling pathwayが関与しており治療のターゲット遺伝子として可能性がある.
     

2018 Chapuy B et al.; Dana-Farbar cancer instituteグループ*47

304例のprimary DLBCL. についてrecurrent mutation, somatic copy number alterations(SCNAs), structural variants(SVs)などの低頻度の変化を見落とさず, 有用な予後データと関連のあるものを決定. DLBCLのclusteringにおいて, コンセンサスの得られているgenetic driverと統合し, 新規のclusteringを行い, 5つの明確な DLBCL subtypeを確認した.

clusteringにより いままで認識されなかった, 以下のsubgroupを発見した.

  • extrafollicular/marginal zone 細胞由来の low-risk ABC-DLBCLs
     
  • 予後がことなる, 治療ターゲットになりうる遺伝子異常がことなる2つの GCB-DLBCL subsets
     
  • ABC/GCB, COO分類とは独立した, TP53の両アレルが不活化, CDKN2A lossと関連した遺伝子不安定のあるグループ
     

&ref(): File not found: "mark-dg-25.gif" at page "Diffuse large B-cell lymphoma WHO 4th classification revised Ed";DLBCLは, 遺伝子的にヘテロな疾患であり, 低頻度の多数の遺伝子変異, SCNAs, SVsが認められる.

&ref(): File not found: "mark-dg-25.gif" at page "Diffuse large B-cell lymphoma WHO 4th classification revised Ed";現在DLBCLは Germinal centerを通過する抗原暴露B細胞(antigen-exposed B-cell)由来と考えられている.*33*48*49*50*51*52*53*54

&ref(): File not found: "mark-dg-25.gif" at page "Diffuse large B-cell lymphoma WHO 4th classification revised Ed";胚中心の環境, 高増殖領域であること, AID(activation-induced cytidine deaminase)による免疫グロブリン編集と異常なsomatic hypermutation(SHM)が腫瘍化に機序と考えられる.*33

 
 

Cluster 5(C5);

Cluster1(C1);

Cluster 3(C3)

Cluster4(C4);

Cluster2(C2)

Cluster0 (C0)

 
 
left
 
 
 

*1  Swerdlow SH, Campo E, Harris N, et al.(eds.): WHO classification of Tumours of Haematopoietic and Lymphoid Tissues, revied 4th ed., IARC Press, Lyon, 2017
*2  Armitage JO, Weisenburger DD. New approach to classifying non-Hodgkin's lymphomas: clinical features of the major histologic subtypes. Non-Hodgkin's Lymphoma Classification Project. J Clin Oncol 1998; 16:2780.
*3  A clinical evaluation of the International Lymphoma Study Group classification of non-Hodgkin's lymphoma. The Non-Hodgkin's Lymphoma Classification Project. Blood 1997; 89:3909.
*4  Aviles A, Neri N, Huerta-Guzman J. Large bowel lymphoma: an analysis of prognostic factors and therapy in 53 patients. J Surg Oncol 2002; 80:111.
*5  Daum S, Ullrich R, Heise W, et al. Intestinal non-Hodgkin's lymphoma: a multicenter prospective clinical study from the German Study Group on Intestinal non-Hodgkin's Lymphoma. J Clin Oncol 2003; 21:2740.
*6  Ferrucci PF, Zucca E. Primary gastric lymphoma pathogenesis and treatment: what has changed over the past 10 years? Br J Haematol 2007; 136:521.
*7  Seymour JF, Solomon B, Wolf MM, et al. Primary large-cell non-Hodgkin's lymphoma of the testis: a retrospective analysis of patterns of failure and prognostic factors. Clin Lymphoma 2001; 2:109.
*8  Olivier KR, Brown PD, Stafford SL, et al. Efficacy and treatment-related toxicity of radiotherapy for early-stage primary non-Hodgkin lymphoma of the parotid gland. Int J Radiat Oncol Biol Phys 2004; 60:1510.
*9  Laskar S, Bahl G, Muckaden MA, et al. Primary diffuse large B-cell lymphoma of the tonsil: is a higher radiotherapy dose required? Cancer 2007; 110:816.
*10  de Leval L, Bonnet C, Copie-Bergman C, et al. Diffuse large B-cell lymphoma of Waldeyer's ring has distinct clinicopathologic features: a GELA study. Ann Oncol 2012; 23:3143.
*11  Vitolo U, Ferreri AJ, Zucca E. Primary testicular lymphoma. Crit Rev Oncol Hematol 2008; 65:183.
*12  Grange F, Bekkenk MW, Wechsler J, et al. Prognostic factors in primary cutaneous large B-cell lymphomas: a European multicenter study. J Clin Oncol 2001; 19:3602.
*13  Page RD, Romaguera JE, Osborne B, et al. Primary hepatic lymphoma: favorable outcome after combination chemotherapy. Cancer 2001; 92:2023.
*14  Ribrag V, Bibeau F, El Weshi A, et al. Primary breast lymphoma: a report of 20 cases. Br J Haematol 2001; 115:253.
*15  Domchek SM, Hecht JL, Fleming MD, et al. Lymphomas of the breast: primary and secondary involvement. Cancer 2002; 94:6.
*16  Aviles A, Delgado S, Nambo MJ, et al. Primary breast lymphoma: results of a controlled clinical trial. Oncology 2005; 69:256.
*17  Grigg AP, Connors JM. Primary adrenal lymphoma. Clin Lymphoma 2003; 4:154.
*18  Kuo CC, Li WY, Huang CC, et al. Primary renal lymphoma. Br J Haematol 2009; 144:628.
*19  Shikama N, Ikeda H, Nakamura S, et al. Localized aggressive non-Hodgkin's lymphoma of the nasal cavity: a survey by the Japan Lymphoma Radiation Therapy Group. Int J Radiat Oncol Biol Phys 2001; 51:1228.
*20  Proulx GM, Caudra-Garcia I, Ferry J, et al. Lymphoma of the nasal cavity and paranasal sinuses: treatment and outcome of early-stage disease. Am J Clin Oncol 2003; 26:6.
*21  Lu NN, Li YX, Wang WH, et al. Clinical behavior and treatment outcome of primary nasal diffuse large B-cell lymphoma. Cancer 2012; 118:1593.
*22  Munch-Petersen HD, Rasmussen PK, Coupland SE, et al. Ocular adnexal diffuse large B-cell lymphoma: a multicenter international study. JAMA Ophthalmol 2015; 133:165.
*23  Oprea C, Cainap C, Azoulay R, et al. Primary diffuse large B-cell non-Hodgkin lymphoma of the paranasal sinuses: a report of 14 cases. Br J Haematol 2005; 131:468.
*24  Dursun P, Gultekin M, Bozdag G, et al. Primary cervical lymphoma: report of two cases and review of the literature. Gynecol Oncol 2005; 98:484.
*25  Guastafierro S, Tedeschi A, Criscuolo C, et al. Primary extranodal non-Hodgkin's lymphoma of the vagina: a case report and a review of the literature. Acta Haematol 2012; 128:33.
*26  Monnard V, Sun A, Epelbaum R, et al. Primary spinal epidural lymphoma: patients' profile, outcome, and prognostic factors: a multicenter Rare Cancer Network study. Int J Radiat Oncol Biol Phys 2006; 65:817.
*27  Castillo JJ, Winer ES, Olszewski AJ. Sites of extranodal involvement are prognostic in patients with diffuse large B-cell lymphoma in the rituximab era: an analysis of the Surveillance, Epidemiology and End Results database. Am J Hematol 2014; 89:310.
*28  De Paepe P, Achten R, Verhoef G, et al. Large cleaved and immunoblastic lymphoma may represent two distinct clinicopathologic entities within the group of diffuse large B-cell lymphomas. J Clin Oncol 2005; 23:7060.
*29  WHO Classification of Tumours of Haematopoietic and Lymphoid Tissues, revised 4th edition, Swerdlow SH, Campo E, Harris NL, et al. (Eds), International Agency for Research on Cancer (IARC), Lyon 2017.
*30  Alizadeh AA, et al. Distinct types of diffuse large B-cell lymphoma identified by gene expression profiling.Nature. 2000 Feb 3;403(6769):503-11. PMID:10676951. Comment in[[Gene expression in diagnosis. Nature. 2000:https://www.ncbi.nlm.nih.gov/pubmed/10676943] AND [[How diagnosis with microarrays can help cancer patients.Nature. 2000:https://www.ncbi.nlm.nih.gov/pubmed/10801098]
*31  Hans CP, et al.Confirmation of the molecular classification of diffuse large B-cell lymphoma by immunohistochemistry using a tissue microarray. Blood. 2004 Jan 1;103(1):275-82.PMID:14504078
*32  Visco C, et al. Comprehensive gene expression profiling and immunohistochemical studies support application of immunophenotypic algorithm for molecular subtype classification in diffuse large B-cell lymphoma: a report from the International DLBCL Rituximab-CHOP Consortium Program Study. Leukemia. 2012 Sep;26(9):2103-13.PMID:22437443
*33  Basso, K. & Dalla-Favera, R. Germinal centres and B cell lymphomagenesis.Nat. Rev. Immunol. 15, 172-184 (2015).
*34  Ngo, V. N. et al. Oncogenically active MYD88 mutations in humanlymphoma. Nature 470, 115-119 (2011).
*35  Davis, R. E. et al. Chronic active B-cell-receptor signalling in diffuse largeB-cell lymphoma. Nature 463, 88-92 (2010).
*36  Lenz, G. et al. Oncogenic CARD11 mutations in human diffuse large B celllymphoma. Science 319, 1676-1679 (2008).
*37  Muppidi, J. R. et al. Loss of signalling via Gα 13 in germinal centre B-cell-derived lymphoma. Nature 516, 254-258 (2014).
*38  Morin, R. D. et al. Somatic mutations altering EZH2 (Tyr641) in follicular and diffuse large B-cell lymphomas of germinal-center origin. Nat. Genet. 42,181-185 (2010).&note{:Pfeifer, M. et al. PTEN loss defines a PI3K/AKT pathway-dependent germinal center subtype of diffuse large B-cell lymphoma. Proc. Natl. Acad. Sci. USA 110, 12420-12425 (2013).
*39  Monti, S. et al. Integrative analysis reveals an outcome-associated andtargetable pattern of p53 and cell cycle deregulation in diffuse large B celllymphoma. Cancer Cell 22, 359-372 (2012).
*40  Ngo, V. N. et al. Oncogenically active MYD88 mutations in humanlymphoma. Nature 470, 115-119 (2011).
*41  Pfeifer, M. et al. PTEN loss defines a PI3K/AKT pathway-dependentgerminal center subtype of diffuse large B-cell lymphoma. Proc. Natl. Acad.Sci. USA 110, 12420-12425 (2013).
*42  Dubois, S. et al. Biological and clinical relevance of associated genomicalterations in MYD88 L265P and non-L265P-mutated diffuse large B-celllymphoma: analysis of 361 cases. Clin. Cancer Res. 23, 2232-2244 (2017).
*43  Ennishi, D. et al. Genetic profiling of MYC and BCL2 in diffuse large B-celllymphoma determines cell-of-origin-specific clinical impact. Blood 129,2760-2770 (2017).
*44  Lenz G, et al; Lymphoma/Leukemia Molecular Profiling Project. Stromal gene signatures in large-B-cell lymphomas. N Engl J Med. 2008 Nov 27;359(22):2313-23. PMID:19038878
*45  Morin RD,et al. Frequent mutation of histone-modifying genes in non-Hodgkin lymphoma.Nature. 2011 Jul 27;476(7360):298-303.PMID:21796119
*46  Schmitz R,et al. Genetics and Pathogenesis of Diffuse Large B-Cell Lymphoma. N Engl J Med. 2018 Apr 12;378(15):1396-1407.PMID:29641966
*47  Chapuy B, et al. Molecular subtypes of diffuse large B cell lymphoma are associated with distinct pathogenic mechanisms and outcomes. Nat Med. 2018 May;24(5):679-690.Erratum in: Nat Med. 2018 Aug;24(8):1292. Nat Med. 2018 Aug;24(8):1290-1291.PMID:29713087
*48  Monti, S. et al. Integrative analysis reveals an outcome-associated and targetable pattern of p53 and cell cycle deregulation in diffuse large B cell lymphoma. Cancer Cell 22, 359-372 (2012).
*49  Pasqualucci, L. et al. Analysis of the coding genome of diffuse large B-cell lymphoma. Nat. Genet. 43, 830-837 (2011).
*50  Morin, R. D. et al. Frequent mutation of histone-modifying genes in non-Hodgkin lymphoma. Nature 476, 298-303 (2011).
*51  Lohr, J. G. et al. Discovery and prioritization of somatic mutations in diffuse large B-cell lymphoma (DLBCL) by whole-exome sequencing. Proc. Natl. Acad. Sci. USA 109, 3879-3884 (2012).
*52  Morin, R. D. et al. Mutational and structural analysis of diffuse large B-cell lymphoma using whole-genome sequencing. Blood 122, 1256-1265 (2013).
*53  de Miranda, N. F. et al. Exome sequencing reveals novel mutation targets in diffuse large B-cell lymphomas derived from Chinese patients. Blood 124,2544-2553 (2014).
*54  Reddy, A. et al. Genetic and functional drivers of diffuse large B cell lymphoma. Cell 171, 481-494.e15 (2017).
*55  Ennishi, D. et al. Genetic profiling of MYC and BCL2 in diffuse large B-celllymphoma determines cell-of-origin-specific clinical impact. Blood 129,2760-2770 (2017).
*56  Dierlamm, J. et al. Gain of chromosome region 18q21 including the MALT1gene is associated with the activated B-cell-like gene expression subtype andincreased BCL2 gene dosage and protein expression in diffuse large B-celllymphoma. Haematologica 93, 688-696 (2008).
*57  Lenz, G. et al. Molecular subtypes of diffuse large B-cell lymphoma arise by distinct genetic pathways. Proc. Natl. Acad. Sci. USA 105,13520-13525 (2008).
*58  Chapuy, B. et al. Targetable genetic features of primary testicular and primary central nervous system lymphomas. Blood 127, 869-881 (2016).
*59  Pham-Ledard, A. et al. High frequency and clinical prognostic value ofMYD88 L265P mutation in primary cutaneous diffuse large B-cell lymphoma,leg-type. JAMA Dermatol. 150, 1173-1179 (2014).
*60  Rovira, J. et al. MYD88 L265P mutations, but no other variants, identify asubpopulation of DLBCL patients of activated B-cell origin, extranodalinvolvement, and poor outcome. Clin. Cancer Res. 22, 2755-2764 (2016).
*61  Spina, V. et al. The genetics of nodal marginal zone lymphoma. Blood 128,1362-1373 (2016).
*62  Zhang, Q. et al. Inactivating mutations and overexpression of BCL10, acaspase recruitment domain-containing gene, in MALT lymphoma witht(1;14)(p22; q32). Nat. Genet. 22, 63-68 (1999).
*63  Rossi, D. et al. The coding genome of splenic marginal zone lymphoma:activation of NOTCH2 and other pathways regulating marginal zonedevelopment. J. Exp. Med. 209, 1537-1551 (2012).*61*62Kiel, M. J. et al. Whole-genome sequencing identifies recurrent somaticNOTCH2 mutations in splenic marginal zone lymphoma. J. Exp. Med. 209,1553-1565 (2012).
*64  Flossbach, L. et al. BCL6 gene rearrangement and protein expression areassociated with large cell presentation of extranodal marginal zone B-celllymphoma of mucosa-associated lymphoid tissue. Int. J. Cancer 129,70-77 (2011).44.
*65  MacLennan, I. C. et al. Extrafollicular antibody responses. Immunol. Rev. 194,8-18 (2003).
*66  Krysiak, K. et al. Recurrent somatic mutations affecting B-cell receptor signaling pathway genes in follicular lymphoma. Blood 129, 473-483 (2017).
*67  Li, H. et al. Mutations in linker histone genes HIST1H1 B, C, D, and E;OCT2 (POU2F2); IRF8; and ARID1A underlying the pathogenesis offollicular lymphoma. Blood 123, 1487-1498 (2014).
*68  Okosun, J. et al. Integrated genomic analysis identifies recurrent mutationsand evolution patterns driving the initiation and progression of follicularlymphoma. Nat. Genet. 46, 176-181 (2014).

トップ   新規 一覧 検索 最終更新   ヘルプ   最終更新のRSS