炎症性皮膚疾患のお勉強--実践編

Nodular dermatitis

Nodular dermatitis01-ok.jpg

Nodular dermatitis

Superficial またはSuperficial and deep perivascular dermatitisのうち, 血管周囲の細胞浸潤が強く, 結節状のひろがりをみせるもの.

leukocyteclastic vasculitis, small vessel typeの中に結節状の細胞浸潤を伴うものがあるので,以下の2種類に分類するのがよいかもしれない.

結節状の細胞浸潤がある場合, つぎの鑑別ステップは, 浸潤細胞の種類に注目する.

1. 好中球を主体とする. neutrophils, predominate.

2. 組織球を主体とする. Histiocytes predominate

3. リンパ球を主体とする. Lymphocytes predominate. 混合性細胞浸潤巣が一般的.

4. 好中球+好酸球+形質細胞

5. 好酸球+ 形質細胞

( 1-3は成書の分類. *1. 4,5はAckerman 2nd Edの分類に記載されている.)

Nodular dermatitisの多くは, 2の組織球主体のもの. 好中球, リンパ球によるもの(1,3)は数が限られる.

組織球主体 Nodular dermatitisは組織型により, Sarcoidal, Tuberculoid, Palisaded, Suppurative, foreign bodyの5タイプにわける.

検鏡時肉芽腫をみたら,

1)異物をさがす. 偏光で観察するのもよい. よくできた組織標本に直線状の裂隙が見られる場合は異物があることを疑わせる.

2)真菌を検索する. 顕微鏡の絞りを細くして, 光量を上げて観察するとよい. 確認には, PAS, Grocott染色をおこなう. 抗酸菌はziehl-Neelsen染色を行う.
sarcoid granulomaでsarcoidと考えた場合もこれらの特殊染色を追加して感染症でないことを確認することが大切.

 
 

Mixed-cell infiltrate containing atypical lymphocytes(and sometimes histiocytes) Nodular dermatitis pattern C

Nodular dermatitis pattern C/ pattern 3は 皮膚リンパ腫を中心の鑑別が必要になる.

1) Top-Heavy 細胞浸潤の主座は主に真皮上層.

Pseudolymphoma of various causes (most are idiopathic) 偽リンパ腫

Discoid lupus erythematosus

Lymphomatoid papulosis: リンパ腫様丘疹症は、再発性で自然消退する丘疹性結節および時に壊死性病変を特徴とする非侵攻性のT細胞リンパ腫.しばしば播種性であり、CD30陽性リンパ腫を示唆する組織学的特徴を有する。
皮膚リンパ腫の約12%を占める。

EBV-positive mucocutaneous ulcer

Malignant lymphoma, T-cell type

2)Bottom-Heavy

Malignant lymphoma, T and B-cell type.

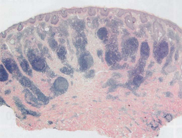
pseudolymphoma-top heavy.jpg PCMZL-bottom heavy.jpg

左:pseudolymphoma. top heavy; 病変主座が真皮上層にあり, 病変が対称性.
右:primary cutaneous marginal zone lymhoma; 真皮下層, 皮下脂肪織に主座があり(bottom heavy), 非対称性の病変を呈する.


*1  真鍋俊明, 安斉眞一, 宮地良樹編 皮膚病理のすべてI 基礎知識とパターン分類 pp312-315, 2019 分光堂 東京

トップ   新規 一覧 検索 最終更新   ヘルプ   最終更新のRSS