Mycosis fungoides, Sezary syndrome

皮下脂肪識脂肪識炎様T細胞リンパ腫 Subcutaneous panniculitis-like T-cell lymphoma(SPTCL)*1*2*3

リンパ腫の定義: SPTCLは成熟細胞障害性T細胞(cytotoxic T-cell)由来で、皮下組織に脂肪識炎に似た組織像を呈しながら増殖する悪性リンパ腫。

臨床症状*14*15

case01

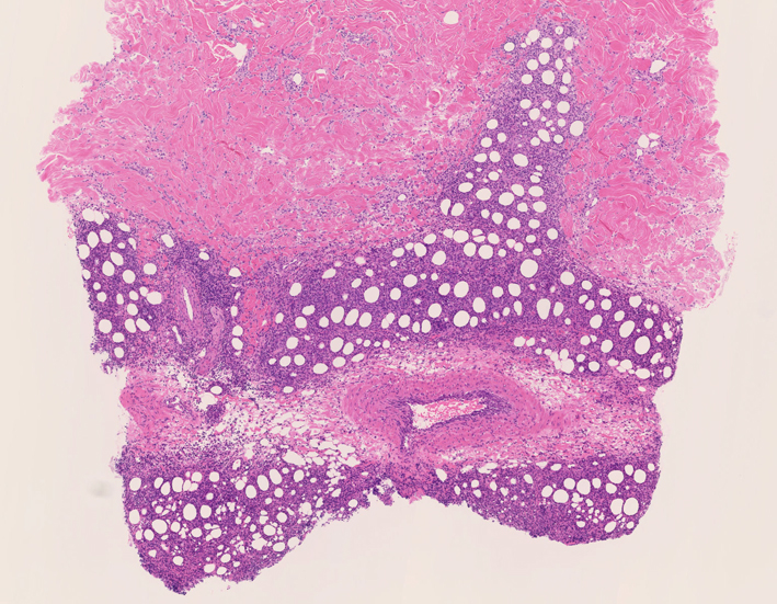
SPTCLのHE染色スライド-->Virtual Slideをみる(準備中)

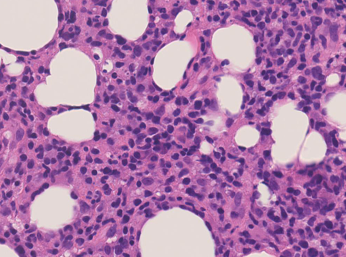
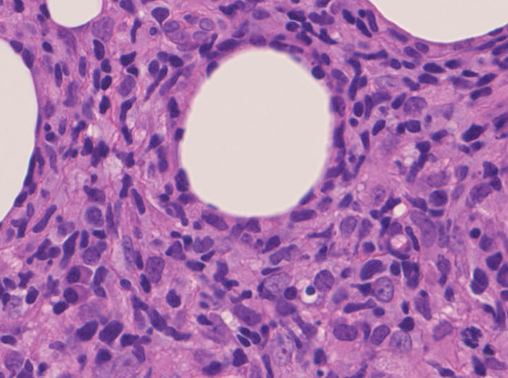
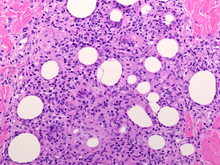
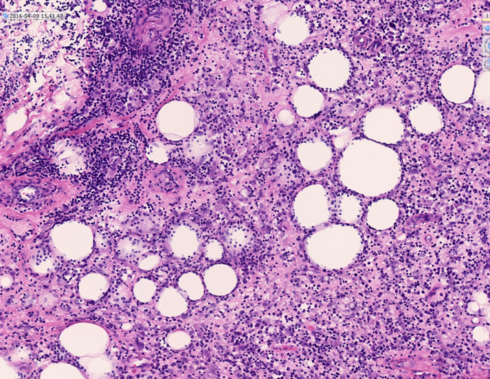
皮膚生検組織 サムネイルをクリックすると大きな画像がみられます。

 
 

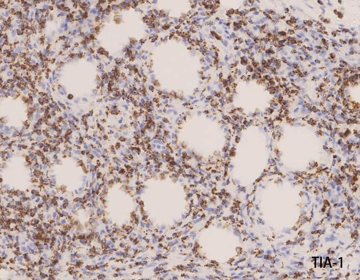
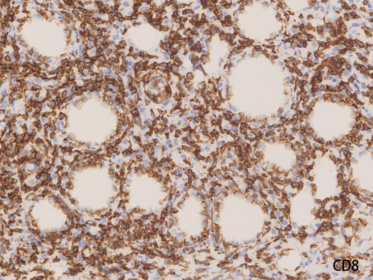
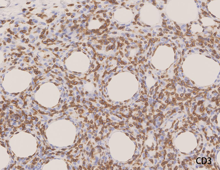
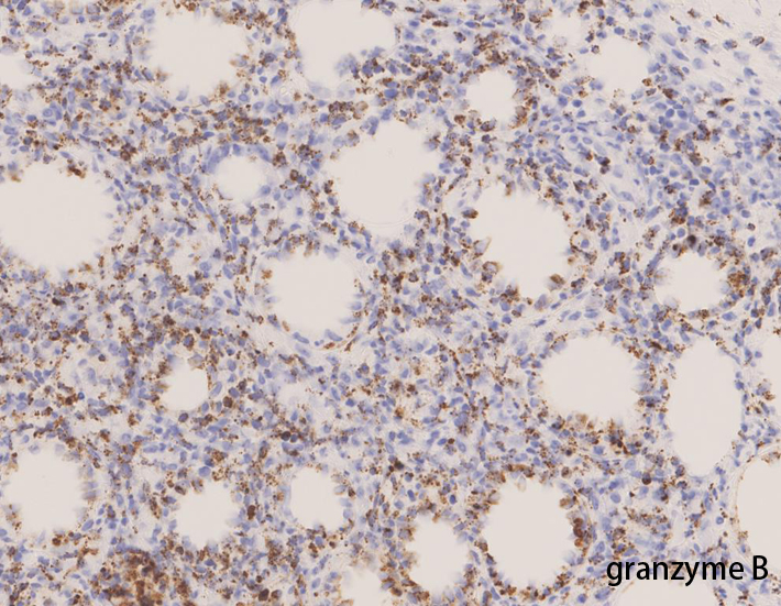
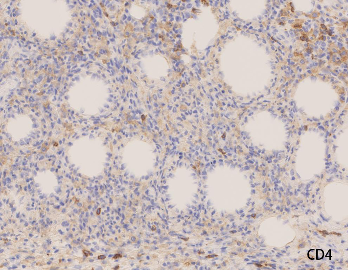
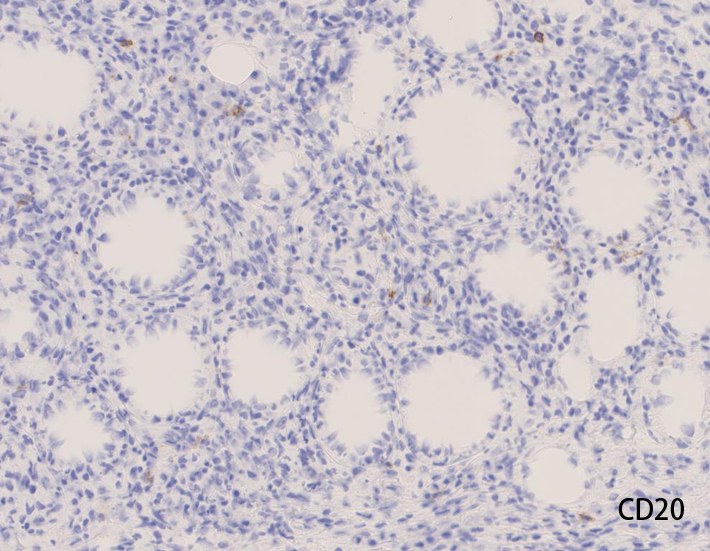
免疫染色

 
 

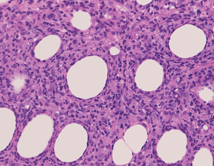
組織所見*16*17*18

皮下組織に優位な, 小~中型 Tリンパ球の密な浸潤が特徴。ときに大型リンパ球や組織球が混在する。 リンパ球の異型は, わずかなものから明瞭な異型を示す症例までさまざまである。

免疫染色

SPTCLの腫瘍細胞は成熟αβ細胞障害性T細胞のphenotypeを示す

TCRクローン再構成が、ほとんどの症例に見られる。EBVは通常陰性である。

臨床経過*22*23*24*25*26*27


*1 Gonzalez CL, et al. T-cell lymphoma involving subcutaneous tissue. A clinicopathologic entity commonly associated with hemophagocytic syndrome. Am J Surg Pathol. 15:17-27 1991 PMID:1985499
*2 Salhany KE, et al. Subcutaneous panniculitis-like T-cell lymphoma: clinicopathologic, immunophenotypic, and genotypic analysis of alpha/beta and gamma/delta subtypes. Am J Surg Pathol. 22:881-893 1998 PMID 9669350
*3 Kumar S, et al. Subcutaneous panniculitic T-cell lymphoma is a tumor of cytotoxic T lymphocytes. Hum Pathol. 29:397-403 1998 PMID9563791
*4 Swerdlow SH Campo E Harris NL et al. WHO Classification of Tumours of the Hematopoietic and Lymphoid Tissues. 2008 IARC Lyon, France
*5 Santucci M, et al. Cytotoxic/natural killer cell cutaneous lymphomas. Report of EORTC Cutaneous Lymphoma Task Force Workshop. Cancer. 97:610-627 2003 PMID12548603
*6 Salhany KE, et al.Subcutaneous panniculitis-like T-cell lymphoma: clinicopathologic, immunophenotypic, and genotypic analysis of alpha/beta and gamma/delta subtypes. Am J Surg Pathol. 22:881-893 1998 PMID9669350
*7 Weenig RH, et al.Subcutaneous panniculitis-like T-cell lymphoma: an elusive case presenting as lipomembranous panniculitis and a review of 72 cases in the literature. Am J Dermatopathol. 23:206-215 2001 11391101
*8 Magro CM, et al. Lupus profundus, indeterminate lymphocytic lobular panniculitis and subcutaneous T-cell lymphoma: a spectrum of subcuticular T-cell lymphoid dyscrasia. J Cutan Pathol. 28:235-247 2001 PMID11401667
*9 Willemze R, Jansen PM, Cerroni L, et al.: Subcutaneous panniculitis-like T-cell lymphoma: definition, classification, and prognostic factors: an EORTC Cutaneous Lymphoma Group Study of 83 cases. Blood. 111:838-845 2008 PMID17934071
*10 Alegre VA, Winkelmann RK: Histiocytic cytophagic panniculitis [see comment]. J Am Acad Dermatol. 20:177-185 1989 2644315
*11 Winkelmann RK, Bowie EJ: Hemorrhagic diathesis associated with benign histiocytic, cytophagic panniculitis and systemic histiocytosis. Arch Intern Med. 140:1460-1463 1980 7436642
*12 24Aronson IK, West DP, Variakojis D, et al.: Fatal panniculitis. J Am Acad Dermatol. 12:535-551 1985 3989012
*13 Wick MR, et al. Cutaneous malignant histiocytosis: a clinical and histopathologic study of eight cases, with immunohistochemical analysis. J Am Acad Dermatol. 8:50-62 1983 PMID 6826808
*14 Weenig RH, et al.Subcutaneous panniculitis-like T-cell lymphoma: an elusive case presenting as lipomembranous panniculitis and a review of 72 cases in the literature. Am J Dermatopathol. 23:206-215 2001 11391101
*15 Marzano AV, et al. Cytophagic histiocytic panniculitis and subcutaneous panniculitis-like T-cell lymphoma: report of 7 cases [see comment]. Arch Dermatol. 136:889-896 2000 PMID 10890991
*16 Santucci M, et al. Cytotoxic/natural killer cell cutaneous lymphomas. Report of EORTC Cutaneous Lymphoma Task Force Workshop. Cancer. 97:610-627 2003 PMID12548603
*17 Salhany KE, et al.Subcutaneous panniculitis-like T-cell lymphoma: clinicopathologic, immunophenotypic, and genotypic analysis of alpha/beta and gamma/delta subtypes. Am J Surg Pathol. 22:881-893 1998 PMID9669350
*18 Kumar S, et al. Subcutaneous panniculitic T-cell lymphoma is a tumor of cytotoxic T lymphocytes. Hum Pathol. 29:397-403 1998 PMID9563791
*19 Kumar S, Krenacs L, Medeiros J, et al.: Subcutaneous panniculitic T-cell lymphoma is a tumor of cytotoxic T lymphocytes. Hum Pathol. 29:397-403 1998 PMID9563791
*20 Santucci M, Pimpinelli N, Massi D, et al.: Cytotoxic/natural killer cell cutaneous lymphomas. Report of EORTC Cutaneous Lymphoma Task Force Workshop. Cancer. 97:610-627 2003 PMID12548603
*21 Krenacs L, Smyth MJ, Bagdi E, et al.: The serine protease granzyme M is preferentially expressed in NK-cell, gamma delta T-cell, and intestinal T-cell lymphomas: evidence of origin from lymphocytes involved in innate immunity. Blood. 101:3590-3593 2003 PMID12506019
*22 Gonzalez CL, Medeiros LJ, Braziel RM, Jaffe ES: T-cell lymphoma involving subcutaneous tissue. A clinicopathologic entity commonly associated with hemophagocytic syndrome. Am J Surg Pathol. 15:17-27 1991 PMID1985499
*23 Salhany KE, Macon WR, Choi JK, et al.: Subcutaneous panniculitis-like T-cell lymphoma: clinicopathologic, immunophenotypic, and genotypic analysis of alpha/beta and gamma/delta subtypes. Am J Surg Pathol. 22:881-893 1998 PMID9669350
*24 Massone C, Chott A, Metze D, et al.: Subcutaneous, blastic natural killer (NK), NK/T-cell, and other cytotoxic lymphomas of the skin: a morphologic, immunophenotypic, and molecular study of 50 patients. Am J Surg Pathol. 28:719-735 2004 PMID15166664
*25 Nishie W, Yokota K, Sawamura D, et al.: Detection of circulating lymphoma cells in subcutaneous panniculitis-like T-cell lymphoma. Br J Dermatol. 149:1081-1082 2003 14632825
*26 Aronson IK, West DP, Variakojis D, et al.: Panniculitis associated with cutaneous T-cell lymphoma and cytophagocytic histiocytosis. Br J Dermatol. 112:87-96 1985 3871626
*27 Hoque SR, Child FJ, Whittaker SJ, et al.: Subcutaneous panniculitis-like T-cell lymphoma: a clinicopathological, immunophenotypic and molecular analysis of six patients. Br J Dermatol. 148:516-525 2003 12653744

トップ   新規 一覧 検索 最終更新   ヘルプ   最終更新のRSS