Nodular lymphocyte predominant Hodgkin lymphoma

T-cell/ Histiocyte rich large B-cell lymphoma

WHO 5th calssification --> [[疾患の記述>fileT-HrichLBCL-WHO5th.txt]]

to End

定義

10%未満の大きな腫瘍性B細胞を有し、T細胞および組織球が豊富なびまん性背景に散在し、背景に小型B細胞は実質的に存在しない侵攻性B細胞リンパ腫
一部の症例は、結節性リンパ球優位ホジキンリンパ腫(NLPHL)と臨床的、免疫表現型的、分子生物学的に顕著な重複を示す。

必須および望ましい診断基準

必須:

望ましい:

リンパ節切除が望ましい(生検での診断は困難)

EBVとの関連を除外する. WHO 5thはEBV 陰性としている

 

組織所見

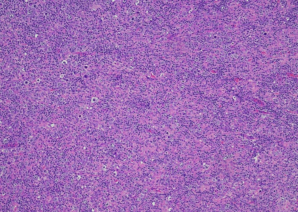
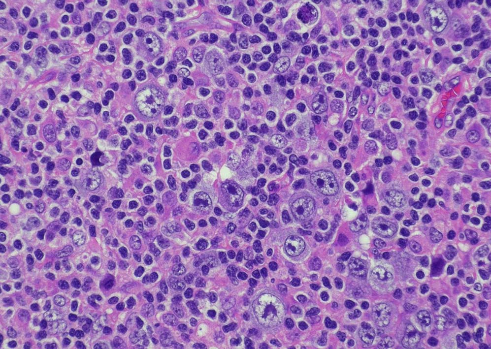
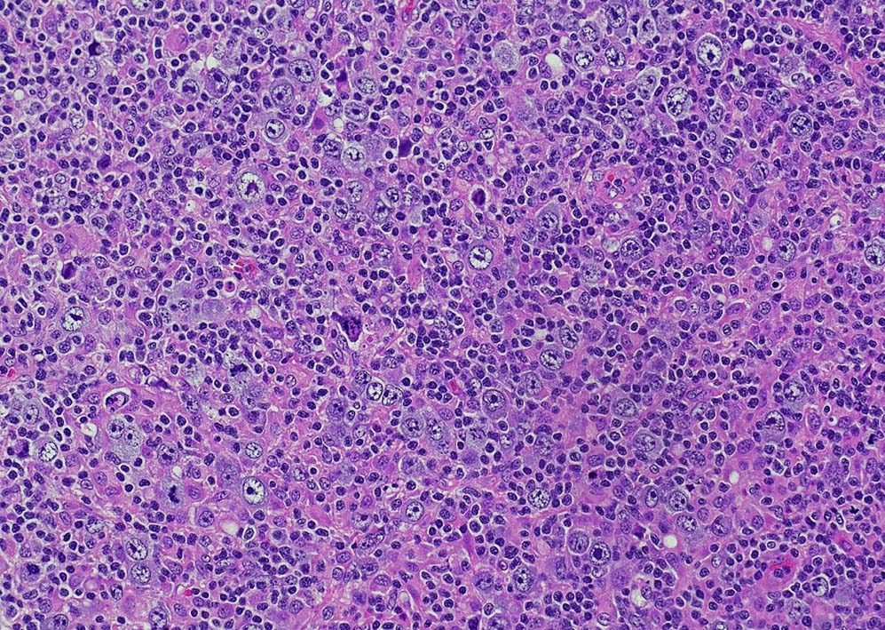
T-cell/Histiocyte rich large B-cell lymphomaの病理組織像

診断時にしばしば, 骨髄, 脾, 肝臓の侵襲が認められる.

鑑別診断: T-cell/ Histiocyte-rich B-cell lymphoma(T/HRBL)

NLPHL vs T-cell/ Histiocyte-rich B-cell lymphoma(T/HRBL)

両者の腫瘍細胞は免疫形質においてほぼ同じであるが背景成分に違いが認められる*6

NLPHLの典型例(pattern A)ではB細胞から構成される結節性病変を形成するので鑑別は比較的容易である.
結節性病変が不明瞭で, びまん性病変がめだつ症例では診断に苦慮する.

T/H rich は明瞭なnodularな病変を作ることはない.(田丸淳一先生. @B-cell lymphoma 検鏡in関東2018)

T/HRBCLはaggressiveリンパ腫であり, その予後や治療成績はNLPHLよりもDLBCLに近似している. rituximabを加えたCHOP療法(R-CHOP)がDLBCLにおけると同様有効である.*14*15

 
 

鑑別診断 classical HL, lymphocyte rich type

結節性病変形成, LP細胞の出現から鑑別診断にあげられる.

CHL LRでは結節性病変に偏在する萎縮性胚中心が認められる.

腫瘍細胞はcHLのHRS細胞のphenotypeを示す. CD20陰性. PAX5淡染, CD30+, CD15+, Fascin+, Oct2/Bob.1のいずれかが陰性.

 
 

症例

Case01

70歳代男性 腋窩リンパ節

1ヶ月半前に左腋窩腫瘤を自覚. 近医で穿刺吸引を試みたが採取できず. 自覚症状:確認中
リンパ節生検目的で当院を紹介受診. CT検査で左副神経, 左鎖骨上窩, 左腋窩, 縦隔, 右肺門, 脾門部, 腹部大動脈周囲, 腸間膜リンパ節に腫大を認め, 悪性リンパ腫が疑われる.

低倍率:散在する大型細胞と背景のエオジン好性の赤っぽい組織が認められる. 背景は小型リンパ球の混在する組織球集簇から形成されている. いわゆるtwo cell patternの増殖を示す異常リンパ節の所見.

to top


*1  R Achten R., et al. T-cell/histiocyte-rich large B-cell lymphoma: a distinct clinicopathologic entityJ Clin Oncol 2002 Mar 1;20(5):1269-77. PMID: 11870169.
*2  Boudova L et al.Nodular lymphocyte-predominant Hodgkin lymhoma with nodules resembling T-cell/histiocyte-rich B-cell lymphoma: differential diagnosis between nodular lymphocyte-predominant Hodgkin lymphoma and T-cell/histiocyte-rich B-cell lymphoma, Blood 2003; 102(15); 3753-3758
*3  Lim SM, et al. T-cell/histiocyte-rich large B-cell lymphoma: a heterogeneous entity with derivation from germinal center B cells.Am J Surg Pathol 2002 Nov;26(11):1458-66. PMID: 12409722
*4  Tousseyn T, et al.T cell/histiocyte-rich large B-cell lymphoma: an update on its biology and classification. Virchows Arch 2011 Dec;459(6):557-63. PMID: 22081105
*5  Dogan A, et al. Micronodular T-cell/histiocyte-rich large B-cell lymphoma of the spleen: histology, immunophenotype, and differential diagnosis. Am J Surg Pathol 2003 Jul;27(7):903-11.PMID: 12826882
*6  Boudova L et al.Nodular lymphocyte-predominant Hodgkin lymhoma with nodules resembling T-cell/histiocyte-rich B-cell lymphoma: differential diagnosis between nodular lymphocyte-predominant Hodgkin lymphoma and T-cell/histiocyte-rich B-cell lymphoma, Blood 2003; 102(15); 3753-3758
*7  Rüdiger T, et al. Workshop report on Hodgkin's disease and related diseases ('grey zone' lymphoma).Ann Oncol 1998; 9 Suppl 5: S31-S38. PMID 9926235
*8  Boudová L, et al. Nodular lymphocyte-predominant Hodgkin lymphoma with nodules resembling T-cell/histiocyte-rich B-cell lymphoma: differential diagnosis between nodular lymphocyte-predominant Hodgkin lymphoma and T-cell/histiocyte-rich B-cell lymphoma. Blood. 2003 Nov 15;102(10):3753-8.PMID 12881319
*9  Zhao FX. Nodular Lymphocyte-Predominant Hodgkin Lymphoma or T-cell/Histiocyte Rich Large B-cell Lymphoma: The Problem in "Grey Zone" Lymphomas. Int J Clin Exp Pathol 2008; 1(3): 300-305.PMID 18784812
*10  De Wolf-Peeters C,et al, T cell/histiocyte-rich large B-cell lymphoma. Swerdlow SH, et al.(eds.) World Health Organization Classification of Tumours, Pathology and Genetics of Tumours of Haematopoietic and Lymphoid Tissues, Lyon: IARC Press, 2008: 238-239.
*11  Swerdlow SH, et al. The 2016 revision of the World Health Organization (WHO) classification of lymphoid neoplasms. Blood 2016; 127(20): 2375-2390.PMID 26980727
*12  Achten R, et al. Histiocyte-rich, T-cell-rich B-cell lymphoma: a distinct diffuse large B-cell lymphoma subtype showing characteristic morphologic and immunophenotypic features. Histopathology 2002; 40(1): 31-45.PMID 11903596
*13  Lim MS, et al.T-cell/histiocyte-rich large B-cell lymphoma: a heterogeneous entity with derivation from germinal center B cells. Am J Surg Pathol 2002; 26(11): 1458-1466. PMID 12409722
*14  Younes A, et al.(eds). Hodgkin's lymphoma. Hellman, and Rosenberg's Cancer: Principles & Practice of Oncology: Wolters Kluwer Health/Lippincott Williams & Wilkins; 2014.
*15  Kim YS, et al. Matched-pair analysis comparing the outcomes of T cell/histiocyte-rich large B cell lymphoma and diffuse large B cell lymphoma in patients treated with rituximab-CHOP. Acta Haematol 2014; 131(3): 156-161.PMID 24192382

トップ   新規 一覧 検索 最終更新   ヘルプ   最終更新のRSS