Wikipathologica-KDP

Juvenile xanthohistiocytoma

1歳 男児. 右鼻孔部腫瘤

macro-01.jpg

2ヵ月前, 腫瘤のある部位に発赤があったことがスナップ写真で確認できる. 鼻孔皮膚に傷ができて触っているうちに痂皮を形成した.
かさぶたをとっているうちに次第に隆起してきた.皮膚科や小児科で抗生剤の投与や軟膏塗布をうけたが不変, 当院紹介となった.病変の生検検査をおこなう.

赤色調の隆起で頂部は陥凹し, びらん状, 痂皮形成があるように見える. 細血管増生が透見できる. 周囲皮膚との境界は明瞭. 部分生検が施行された.

腫瘤組織所見

部分生検がおこなわれた.

loupe像:表面に痂皮形成. 均等な組織像で,壊死や出血はみられない. 低倍ではspindle cellの密な増殖があるように見える. 拡大所見では, 類円形, 卵円形, ねじれた桿状の核, くびれ,勾玉様の核など不整形な核をもつ細胞が増殖している. クロマチンは繊細な傾向で, 核小体を1個もつ核が認められる. 高倍率10視野で 1-2個の核分裂像が数えられた.

樹状細胞性腫瘍, 組織球性腫瘍, histiocytic sarcoma(あまり異型がめだたない)などを考えて鑑別, 免疫染色をおこなった.

 

免疫染色

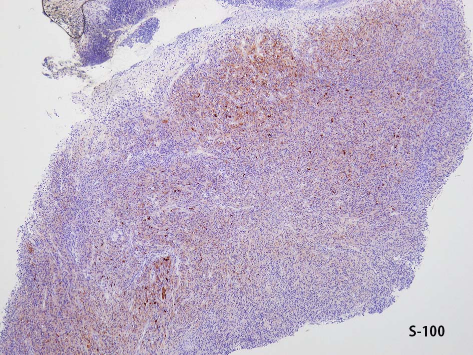
CD20, PAX5, CD3, CD5 リンパ球マーカは陰性. Dendritic cell marker (CD1a, CD123, Langerin, etc)は陰性. S-100, CD168が陽性. 組織球増殖病変と考えられた. foamy macrophageやgiant cellsはほとんど認められない. 高異型度, 多型細胞の出現はないが, MIB-1 LIが高く, mitosisも増加している, 悪性の心配あり, 治療方針の決定のため consultationを行った.

 

トップ   新規 一覧 検索 最終更新   ヘルプ   最終更新のRSS