Wikipathologica-KDP

Systemic amyloidosis

作成中

アミロイドーシスは一群の疾患であり, 各疾患に固有の前駆タンパク質が重合しアミロイド線維を形成, 全身諸臓器, 代表的には心臓, 肝臓,腎臓に沈着し各々, うっ血性心不全, 肝不全, ネフローゼ症候群をきたす.

全身性アミロイドーシスは現在, 36種類のアミロイド前駆タンパク質が同定され,それぞれに対応して, 疾患名が付与されている.*1

ALアミロイドーシス

異常形質細胞あるいはB細胞から産生される単クローン性免疫グロブリン軽鎖がアミロイド原因タンパク質として諸臓器に障害を引き起こす病型がALアミロイドーシスである. file免疫グロブリン軽鎖アミロイドーシス(ALアミロイドーシス)-WHO5th.txt

多発性骨髄腫や原発性マクログロブリン血症などの成熟B細胞性腫瘍を伴わない場合を原発性ALアミロイドーシスとよぶ.

病変が重要臓器(心臓, 腎臓, 肝臓)や複数の臓器にわたる場合を全身性, 単一の非重要臓器に限局する場合は限局性アミロイドーシスとよぶ. 全身性ALアミロイドーシスが化学療法の適応となる.

WHO 5th(定義文); 免疫グロブリン軽鎖アミロイドーシス(ALアミロイドーシス)は、進行性の終末臓器機能不全を引き起こすクローン性形質細胞またはB細胞によって産生される免疫グロブリン軽鎖由来の線状非分枝フィブリル(幅9nm)の細胞外沈着.

ALアミロイドーシスの診断

1.検査所見や臨床症状から疑う.

2.Mタンパク, 単クローン性形質細胞を同定する.

3.病理組織によるアミロイドタンパク同定と病型の確定

臓器障害は腎臓(73%)が最多で, 続いて心臓(34%), 消化管(22%), 自律神経(18%), 末梢神経(10%)に多く認められる.*2

ATTR(トランスサイレチン)心アミロイドーシスに有用な99mTcピロリン酸シンチグラフィーはALアミロイドーシスの検出には有用でないことに注意.

Mタンパクの検出

 
 
 

心アミロイドーシス Cardiac amyloidosis

心アミロイドーシスは全身性アミロイドーシスにおいて, 心筋細胞間にアミロイド線維が沈着し, 形態的, 機能的異常をきたした病態と定義される. 心肥大, 拡張障害を主体とする心不全,伝導障害, 心房細動, 致死的不整脈をきたす予後不良の疾患.*3

心アミロイドーシスは,主に次の2種

ATTRはトランスサイレチン遺伝子に変異のない, 野生型(ATTRwt)と変異が認められる遺伝性ATTR(ATTRv)がある.

アミロイドの免疫組織化学的染色(例えば、κおよびλ軽鎖、トランスサイレチン、血清アミロイドA成分)により、アミロイドーシスのタイプを決定することができる *4

κまたはλ陽性染色はALアミロイドーシスを、トランスサイレチン陽性染色は遺伝性または野生型トランスサイレチン(ATTRmtまたはATTRwt)アミロイドーシスを、血清アミロイドA成分陽性染色は二次性(AA)アミロイドーシスを示す。
しかし、免疫組織化学的染色は、経験の浅い手技では偽陰性や偽陽性がよくみられるため、抗体についてかなりの専門知識を有する施設でのみ行うべきである. *5

心アミロイドーシス 免疫グロブリン性アミロイドーシス(AL)

 

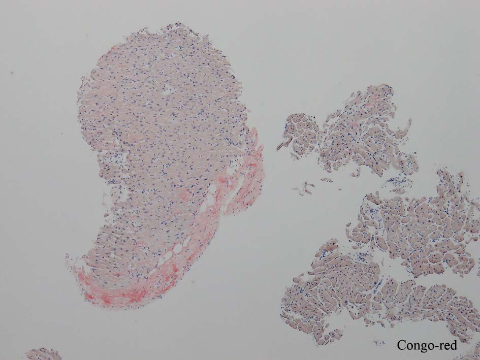
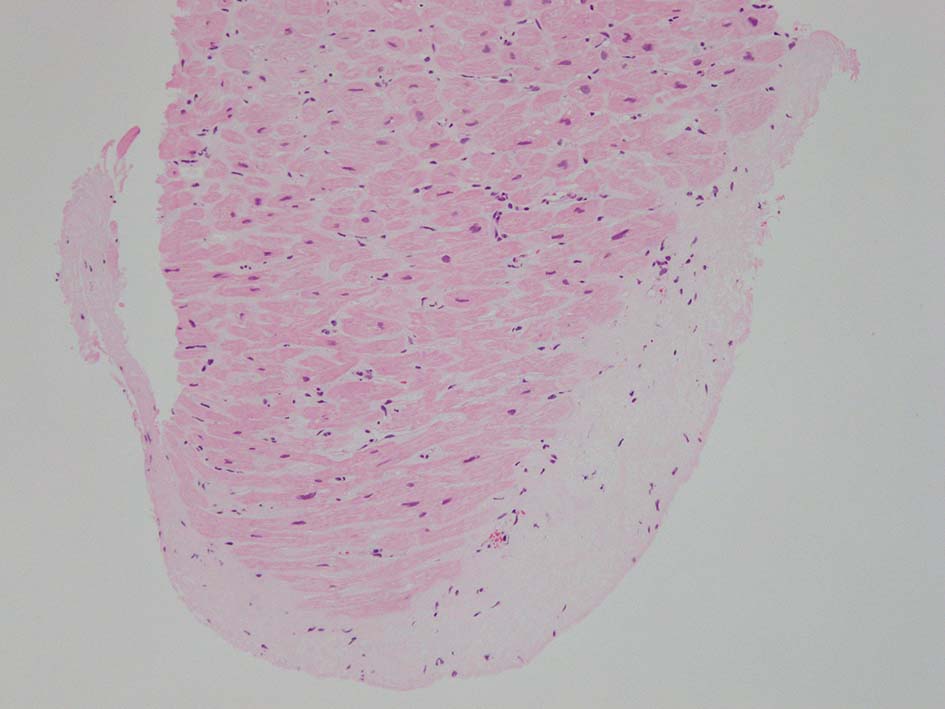
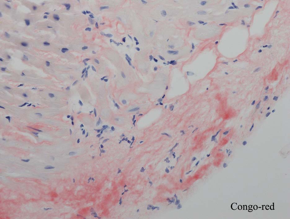
HE所見では, 明瞭な沈着物はわかりにくい. 血管壁が確認できる血管も少ない. congo-red染色で沈着が考えられる所見があり, 簡易偏光で(みずらいけれど)apple-greenの偏光があるように見える.(サムネイルのクリックで大きな画像が見られます)

 

免疫染色

免疫染色で lambda-LC が陽性に染色されている. kappa-LC, amyloid A, transthyretinは陰性. (免疫染色は浜松医科大学病院病理に依頼し染色していただきました.深謝いたします)

 
 

心アミロイドーシス transthyretin type amyloidosis

重症筋無力症/胸腺腫術後で脳神経内科に通院している。平成XX年11月 胸腺腫術後から胸部圧迫感を自覚、半年-1年程前から坂道や階段で息切れが出現し始めた。
4年後の2月 精査目的に当科紹介、精査の結果、心アミロイドーシスが疑われ、確定診断目的で心筋生検が施行される。


*1  recommendations by the International Society of Amyloidosis (ISA) nomenclature committee.Amyloid. 2018 Dec;25(4):215-219.PMID: 30614283
*2  Shimazaki C, et al. Nationwide Survey of 741 Patients with Systemic Amyloid Light-chain Amyloidosis in Japan. Intern Med 2018; 57: 181
*4  Schönland SO, Hegenbart U, Bochtler T, et al. Immunohistochemistry in the classification of systemic forms of amyloidosis: a systematic investigation of 117 patients. Blood 2012; 119:488.
*5  up to date;Clinical presentation, laboratory manifestations, and diagnosis of immunoglobulin light chain (AL) amyloidosis

トップ   新規 一覧 検索 最終更新   ヘルプ   最終更新のRSS