Wikipathologica-KDP

Epigenetics エピジェネティックス

Chromatin remodeling factors クロマチンリモデリング因子

chromatin remodeling factors

クロマチンリモデリング因子はヒストンバリアントやヒストン修飾, あるいは転写因子との相互作用により特定のクロマチン領域に運ばれる. そこでATP依存性に, ヌクレオソームの除去, ポジショニングの変換, ヌクレオソーム中のヒストンバリアントの交換, ヒストン修飾状態の変更を行って, ヌクレオソームレベルでのクロマチン構造変換をきたす。

クロマチン再構成複合体chromatin remodeling complexを構成するATPを加水分解するタンパク質(ATPase)は、DNAヘリカーゼと類縁であり, ヌクレオソームのコアタンパクとそれを取り巻いているDNAの両方に結合してATP加水分解で得たエネルギーを使ってDNAのコアとの相対位置を動かし, ヌクレオソームの構造を一時的に変化させ, DNAとヒストンコアの結合を緩める.

再構成複合体はATP加水分解を繰り返しヌクレオソームのコアをDNA二重鎖上でひっぱって, いわゆるヌクレオソームスライドnucleosome sligingを起こし,ヌクレオソームの位置を動かしてヌクレオソームDNAの特定の領域を露出させ,細胞内のタンパク質との相互作用を可能にする. 

SWI/SNF複合体はヌクレオソームに格納されているDNAを解離させるだけではなく,おのおのの転写因子やコアクチベーター,ヒストン脱アセチル化酵素といったヒストンの修飾因子と相互作用して,これらの転写調節因子をヌクレオソームから解離したDNAへ呼び込むことで遺伝子の発現調節に関与するものと考えられている.

ほかにもヒストンと結合してヒストン・シャペロン(histone chaperone)として働くさまざまなタンパク質と協同してヌクレオソームからヌクレオソーム・コアの全部か一部のヒストンを取り除くことができる再構成複合体もある.

ATP依存クロマチン再構成複合体があるおかげで, DNA上のヌクレオソームの位置はきわめて動的であり, 細胞の必要に応じてすばやく変化できる.

これによりクロマチンリモデリング因子は転写, 複製, 修復, 組み換えなどのDNA反応を正にも負にも制御できる

 

クロマチンリモデリング因子の構造

クロマチンリモデリング因子は,これまでの研究により, 9-12個のサブユニットからなる巨大な複合体であることがわかっている。

複合体中に含まれるSnf2ファミリータンパク質のドメイン構成型により4種のファミリーに分類される。

1. SWI/SNF (switch/ sucrose non-fermenting): さらに サブユニット構成によりBAF(BRG1 Associated Factors), PBAF(Polybromo-associatedBAF)複合体に大別される。

2. ISWI (imitation switch )

3. CHD (chromatin helicase DNA binding protein )

4. INO80 (inositol 80 requiring )

 

SWI/SNF5 ファミリー

SWI-SNFfig.jpg

出芽酵母の特定遺伝子転写が不活性となる変異株について解析した2つの独立した研究により最初に同定されたクロマチンリモデリング因子

出芽酵母の性決定にかかわるHO遺伝子の転写が不活性になる遺伝子変異としてSwi1, Swi2, Swi3が, SUC2遺伝子の転写不活性化の遺伝子変異にはSnf2(Swi2と同一遺伝子), Snf5, Snf6が発見された。後にこれらは1つの複合体(SWI/SNF5複合体)を形成することが明らかになった。

SWI/SNF5複合体はATP依存的にクロマチンリモデリングを行い, ATPase活性をもつSwi2/Snf2サブユニットが活性の中心となる(出芽酵母の場合)。その後の解析により, Swi2/Snf2と相同性をもつタンパク質が多数同定された。これらのタンパク質はSnf2ファミリーに分類され、その多くがクロマチンリモデリングにかかわる複合体を形成していた。

ヒトでは,BAF(BRG1-associated factors)複合体のhBRM or BRG1と PBAF(Poly-bromo associated BAF)複合体のBRG1ATPase活性をもつ。

SNF5の同定とその構造

SWI/SNF複合体のサブユニットとがん発生の関係はSNF5において初めて示された. SNF5は,酵母においてHIV-1ウイルスにおけるインテグラーゼ(IN)と結合する因子として,Two hybridスクリーニングにより同定され,INI1(integrase interactor 1)と呼ばれた. その後, イーストのクロマチンリモデリング因子SNF5と同じ構造であることがわかり,現在も, INI1と呼ばれることが多い.*2

INI-1.jpg

SNF5は385個のアミノ酸残基から構成され,Saccharomyes cervisiaeにおけるSFH1,DrosophilaにおけるSNR1,C elegans,Saccharomyes cervisiaeやyeastのSNF5において保存された3つの領域が確認されている.そのうちの2つは不完全ではあるが繰り返しのアミノ酸配列が見られる(repeat1:186~245位のアミノ酸,repeat2:259~319位のアミノ酸)

Repeat1はHIV-1のIN,c-MYC,そしてHPVE1との相互作用が確認されている.*3*4

Repeat2では266-LNIHVGNISLV-276がnuclear export signalを含む.*5

3つ目のHomologyregion3(HR3)はSNR1とSaccharomyes cervisiaeのSNF5との3種間で特に高い相同性が示され,coiled-coil domainを含む.また,N末端のアミノ残基36~64はleucine zipperdomainであり,アミノ酸位の106~183は140di-hisutidineモチーフと160KKRモチーフを含み,DNA結合に重要であるとされる. *6そのほか,p53,MLL,EBNA2,そしてRUNX1との相互作用が報告され,その機能協調が想定されている. *7*8*9*10

悪性腫瘍におけるSWI/SNF5ファミリー遺伝子の変異

SWI-SNFcomplexTable01.JPG

これまでにヒト悪性腫瘍で, SNF5 (SMARCB1, INI1, BAF47), ARID1A (BAF250A, SMARCF1), PBRM1 ( BAF180 ), BRG1 (SMARCA4)などの変異が報告されている。

SNF5 (SMARCB1, INI1, BAF47)

INI1-tumor.jpg INI1-deficient tumor.jpg

Malignant rhabdoid tumor

SMARCA4(BRG-1)-deficient thoracic neoplasm/sarcomaのページをみる.

 
 

ARID1A(BAF250a)

 

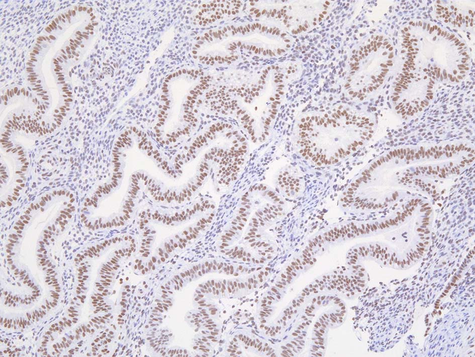
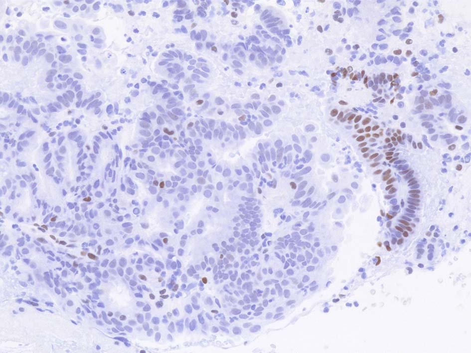
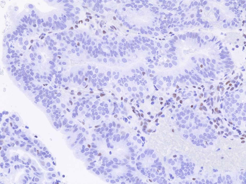
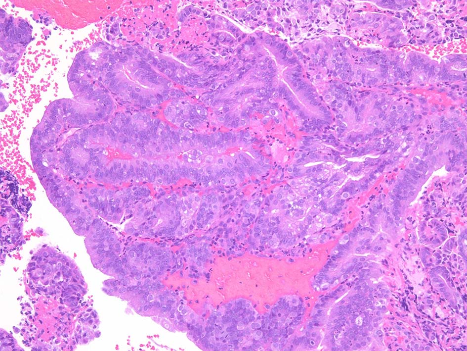
Case IWT-59yo woman

不正出血. ehoで子宮内膜の肥厚あり, CT,MRIでは子宮体部限局の体癌が疑われる. 内膜細胞診でClassIV.
Adenocarcinomaで内膜由来か頸管腺由来か判定困難. 子宮内膜全掻爬が行われた.

ER++, p53+, BCL2-, HER2-, p16は内膜化生上皮部分に陽性を呈した.
ARID1Aは正常内膜腺, 間質細胞, 浸潤リンパ球などが陽性に対して腫瘍細胞核はごく淡染あるいは陰性を示している. 低異型度内膜腺は核陽性(ARID1A_02)

 
 

BAF/PBAF subunits of chromatin remodeling complex

文献.*27

BAF02.jpg BAF-PBAF-Table.jpg Chromatin remodeling complex, BAF/PBAF subunitのscheme.*27

ヒトSWI/SNF複合体(BRG1/BRM associated factor[BAF]複合体)はATP依存性クロマチン再構成因子であり, DNAへ接近できるかどうかドラマチック調整することで, 転写,DNA修復,複製など細胞機能の基本的段階に重要な役割を果たしている.


*1  Kia SK, et al. SWl/SNF mediates polycomb eviction and epigenetic reprogramming of the INK4b-ARF-INK4a locus. Mol Cell Biol 2008; 28: 3457-3464
*2  Kalpana GV, et al. Binding and stimulation of HIV-1integrase by a human homolog of yeast transcription factor SNF5. Science 1994; 266: 2002-2006.''
*3  Morozov A, et al. Structure-function analysis ofintegrase interactor1/hSNF5L1reveals differential properties oftwo repeat motifs present in the highly conserved region. Proc Natl Acad Sci USA 1998; 95: 1120-1125.
*4  Cheng SW, et al. c-MYC interacts with INI1/hSNF5 and requires the SWI/SNF complex for transactivation function.NatGenet1999;22:102-105.
*5  Craig E, et al. A masked NES in INI1/hSNF5 mediates hCRM1-dependent nuclear export:implications for tumorigenesis. EMBOJ 2002; 21: 31-42.
*6  Das S, et al. Characterization of DNA binding property of the HIV-1 host factor and tumor suppressor protein Integrase Interactor 1(INI1/hSNF5). PLoS One 2013; 8: e66581
*7  Lee D, et al. SWI/SNF complex interacts with tumor suppressor p53 and is necessary for the activation of p53-mediated transcription. J Biol Chem 2002; 277: 22330-22337.
*8  Lee S, et al. Crucial roles for interactions between MLL3/4andINI1 in nuclear receptor transactivation. Mol Endocrinol 2009; 23 :610-619.
*9  Kwiatkowski B, et al. Epstein-Barr virus nuclear protein 2 controls binding to hSNF5/Ini1 and is important for growth transformation. J Virol 2004; 78: 6067-6072.
*10  Bakshi R, et al. The human SWI/SNF complex associates with RUNX1 to control transcription of hematopoietic target genes. J Cell Physiol 2010; 225: 569-576.
*11  Guidi CJ, et al, Disruption of Ini1 leads to periimplantation lethality and tumorigenesis in mice. Mol Cell Biol 2001; 21:3598-603.
*12  Roberts CW, Orkin SH. The SWI/SNF complex?chromatin and cancer. Nat Rev Cancer 2004; 4: 133-42.
*13  Roberts CW, et al. Haploinsufficiency of Snf5 (integrase interactor 1) predisposes to malignant rhabdoid tumors in mice. Proc Natl Acad Sci USA 2000; 97: 13796-800.
*14  Roberts CW, et al. Highly penetrant, rapid tumorigenesis through conditional inversion of the tumor suppressor gene Snf5. Cancer Cell 2002; 2: 415-25.
*15  Hollmann TJ, et al. INI1-deficient tumors: diagnostic features and molecular genetics. Am J Surg Pathol. 2011 Oct;35(10):e47-63.
*16  Kohashi K, et al. Highly aggressive behavior of malignantrhabdoid tumor: a special reference to SMARCB1/INI1 gene alterationsusing molecular genetic analysis including quantitative real-time PCR. JCancer Res Clin Oncol 2007; 133: 817-24.
*17  Kohashi K, et al. Reclassification of rhabdoid tumorand pediatric undifferentiated/unclassified sarcoma with complete loss ofSMARCB1/INI1 protein expression: three subtypes of rhabdoid tumoraccording to their histological features. Mod Pathol 2016; 29: 1232-42.
*18  Hoot AC, et al. Immunohistochemical analysis ofhSNF5/INI1 distinguishes renal and extra-renal malignant rhabdoid tumorsfrom other pediatric soft tissue tumors. Am J Surg Pathol 2004; 28: 1485-91.
*19  Sigauke E, et al. Absence of expression ofSMARCB1/INI1 in malignant rhabdoid tumors of the central nervous system,kidneys and soft tissue: an immunohistochemical study with implicationsfor diagnosis. Mod Pathol 2006; 19: 717-25.
*20  Hasselblatt M, et al. Nonsense mutation and inactivation of SMARCA4 (BRG1) in an atypical teratoid/rhabdoid tumor showing retained SMARCB1 (INI1) expression. Am J Surg Pathol 2011; 35: 933-5.
*21  Wilson BG, et al.SWI/SNF nucleosome remodellers and cancer. Nat Rev Cancer 2011;11:481-492.
*22  Jones S, et al. Frequent mutations of chromatin remodeling gene ARID1A in ovarian clear cell carcinoma. Science. 2010 Oct 8;330(6001):228-31.
*23  Wiegand KC, et al. ARID1A mutations in endometriosis-associated ovarian carcinomas. New Engl J Med. 2010 Oct 14;363(16):1532-43.
*24  Wiegand KC, et al. Loss of BAF250a (ARID1A) is frequent in high-grade endometrial carcinomas. J Pathol 2011;224:328-333.
*25  Guan B, et al. ARID1A, a factor that promotes formation of SWI/SNF-mediated chromatin remodeling, is a tumor suppressor in gynecologic cancers. Cancer Res. 2011 Nov 1;71(21):6718-27.
*26  Jones S, et al. Somatic mutations in the chromatin remodeling gene ARID1A occur in several tumor types. Hum Mutat. 2012 Jan;33(1):100-3.
*27  Schick S, et al. Systematic characterization of BAF mutations provides insights into intracomplex synthetic lethalities in human cancers.Nat Genet. 2019 Sep;51(9):1399-1410. doi: 10.1038/s41588-019-0477-9. Epub 2019 Aug 19.
*28  Chandler RL, et al. ARID1a-DNA interactions are required for promoter occupancy by SWI/SNF. Mol Cell Biol. 2013; 33:265?80.PubMed: 23129809
*29  Hodges C, Kirkland JG, Crabtree GR. The Many Roles of BAF (mSWI/SNF) and PBAF Complexes in Cancer. Cold Spring Harb Perspect Med. 2016; 6
*30  Kadoch C, et al. Proteomic and bioinformatic analysis of mammalian SWI/SNF complexes identifies extensive roles in human malignancy. Nat Genet. 2013; 45:592?601. PubMed: 23644491
*31  Hoffman GR, et al. Functional epigenetics approach identifies BRM/SMARCA2 as a critical synthetic lethal target in BRG1-deficient cancers. Proc Natl Acad Sci U S A. 2014; 111:3128-33. [PubMed: 24520176]
*32  Wilson BG, et al. Residual complexes containing SMARCA2 (BRM) underlie the oncogenic drive of SMARCA4 (BRG1) mutation. Mol Cell Biol. 2014; 34:1136-44. [PubMed: 24421395]
*33  Oike T, et al. A synthetic lethality-based strategy to treat cancers harboring a genetic deficiency in the chromatin remodeling factor BRG1. Cancer Res. 2013; 73:5508?18. [PubMed: 23872584]
*34  Helming KC, et al. ARID1B is a specific vulnerability in ARID1A-mutant cancers. Nat Med. 2014; 20:251-4. [PubMed: 24562383]
*35  Kelso TWR, et al. Chromatin accessibility underlies synthetic lethality of SWI/SNF subunits in ARID1A-mutant cancers. Elife. 2017; 6

トップ   新規 一覧 検索 最終更新   ヘルプ   最終更新のRSS