Wikipathologica-KDP

To middle, To bottom

Hodgkin lymphoma ホジキンリンパ腫  

Thomas_Hodgkin01.jpg

1932年London, Guy hospitalのThomas Hodgkin(右肖像画)により, リンパ節(腺)と脾臓に病変を認めた7症例の臨床経過と肉眼解剖所見が報告されている*1.
33年後に同病院のSamuel Wilksが症例を加え, Hodgkin's diseaseと命名, 当時の医学レベルで病態を明らかにした.

ホジキン病は長い間, 細胞の起源, 腫瘍性か否の議論が続いていたが, 1990年代にB細胞由来で,その性格を有しながらB細胞としての特徴の多くを欠く腫瘍性病変であることが見いだされた. 現在はホジキンリンパ腫 Hodgkin lymphomaとする.*2*3

 

Hodgkin lymphoma(WHO 2001/ 2008)

classical Hodgkin lymphoma

Nodular lymphocyte predominant Hodgkin lymphoma (NLPHL)-->NLPHLのページを見る.

WHO2016においてもHodgkin lymphomaの分類は基本的に変わりはない。結節性リンパ球優位型ホジキンリンパ腫(B細胞性)とT細胞・組織球豊富型B大細胞性リンパ腫の鑑別は依然として課題。

classical HLの臨床的特徴

 

節外性Hodgkin lymphoma(めったにありません。HLはほとんどが節性の腫瘍です。)

  • AIDS患者さんを除いて, primary stageIE-単独節外病変は大変まれである. 多くがPTCL, ALCL, EBV-positive DLBCL of the elderly, 転移性癌あるいは転移性悪性黒色腫のReed-Sternberg-like cellを見誤ったものか, 他の部位に発生したHodgkin lymphomaのリンパ行性転移である.
     
  • 肺は肝を別にすると,一番多い節外性HLの部位である. NSが最も高頻度にみられ,縦隔病変の進展の結果であることが多い. 肺原発をいうには縦隔病変がないか、ごくわずかであること, 離れた部位にHLがないこと, 組織が典型的なHLの所見であることを示す必要がある.
     
  • 肺以外の部位のHLには, CNS, Skin, breast, GI tract, Waldeyer ring, bone, tyroidなどが成書*6に詳しく記載されている.

Hodgkin lymphomaの病理*7*9

Hodgkin lymphomaの病理形態学的特徴としては, 腫瘍細胞の密度が低く, 腫瘍細胞それぞれが非接着性/弧在性に分布, 周囲には小型リンパ球他, 炎症細胞増生がみられる, two cell patternを示すこと。Hodgkin patternとする先生もおられる。*7

Nodular sclerosis(NS)-HL

頻度は欧米で70%. 本邦では以前は少なかったが、近年は欧米と同じくらいの頻度になっている。

縦隔病変が高頻度(80%にみられる). bulky massが多い(54%)

リンパ節被膜は線維性肥厚を示し病変内の線維化と連続する. 実質は帯状線維化により分画されて低倍率では結節様に見える。結節様実質部分にHRS細胞が非接着性に分布する。

NS-HLのHRS細胞はホルマリン固定によるartefactのため特徴的な裂隙を呈する(lacunar現象). 他のタイプのCHLには見られない像であるが凍結切片や捺印標本には見られない。

NS-HLのHRS細胞の核小体は他のclassical HLにくらべて小さい。分葉の目立つ核で細胞質はより豊富なことが多い。

EBV関連率は低い(10-40%)が患者さんが低年齢層(15-34歳に多く, 男女比は1:1)であることも関連している.

壊死巣がしばしば認められ, 好中球膿瘍の形成をみることもある

HRS細胞が集蔟することがあり, 高度な場合syncytial variant(合胞細胞亜型)と呼ばれる.壊死巣周囲にHRS細胞が集簇することもある。

背景細胞はMC-HLと同様であるが好酸球に富む傾向がある。

症例により単一組織内にもHRS細胞の密度や線維化などによりNS-HL内にLD-HLの像がみられることがある。

Mixed cellular(MC)-HL

20-25%の頻度でHIV患者さんや低開発国に多くみられる。発症年齢中央値は38歳で70%は男性である。

末梢リンパ節病変が多く、縦隔の病変はまれ。脾臓30%, 骨髄10%, 肝臓3%, その他臓器1-3%.

B症状が高頻度にみられる。(発熱, 盗汗, 体重減少など)

被膜線維性肥厚や帯状線維化はみられないことが前提であるが, 純粋なびまん性病変よりも不明瞭な結節様構造を呈することが多く既存構造残存, HRS細胞の集蔟, 細線維化, 壊死などによる。

古典的/診断価値のあるHRS細胞のプロトタイプはこの病型でみられ核小体のサイズは周囲小型リンパ球核と同等かそれ以上であり「Owl-eye」と呼ばれる。程度は軽いがlacunar現象の見られることがある。

背景にはリンパ球, 形質細胞, 好酸球, 組織球などがみられ、いずれかが優位な場合もある。組織球はしばしば類上皮様となり特にEBV感染例にみられ肉腫様組織像を形成することがある。

EBV感染率は他のCHLより高く約75%に認められる。

MCには, 他の病型のいずれにも分類されないHLという意味合いがある

Lymphocyte rich(LR)-classical HL

CHLの5%を占め, NLPHLと同頻度。NLPHLと同じく高齢患者さんが多い。男性優位(70%)

末梢リンパ節病変が多く, 縦隔病変は少なく, bulky massの形成はまれ。

びまん性パターンは少なく, 結節状パターンを多くとる. 残存リンパ濾胞の, 拡大したマントル帯内あるいはその辺縁部にMC-HLにみられるHRS細胞と同様のものが少数分布することが多く, 胚中心には見られないことが, 本型の診断に有用な所見である。

HRS細胞のみではなく, LP細胞やlacnar細胞も認められる。

背景細胞は多彩性にとぼしく、好酸球や好中球などはほとんど見られない

びまん性のパターンをとる症例も背景は小リンパ球で構成され, 組織球を伴うことはあるが, 好中球や好酸球は通常認められない。

HRS細胞はCD30+,CD15+. CD3+Tリンパ球に取り囲まれている. 結節を形成する小リンパ球はCD20+, IgM+, IgD+のmantle zone cellで, 偏在する胚中心はCD21+のmeshworkで認識される。EBVの陽性率はNSよりは高くMCよりは低い。中程度。

NLPHLと診断されていた症例にLR-cHLが含まれていた。&note;

多くはstage I-IIでB症状はまれ。臨床像はmultiple relapseがわずかにおこること以外はNLPHLに似ている。予後もNLPHLと同じ, 他の亜型にくらべて良好である。

Lymphocyte-depletion(LD)-HL

CHLの中で最も頻度が低い。60-75%は男性で, 年齢中央値は30-37歳である。発展途上国やHIV患者さんに多く認められる。

後腹膜リンパ節, 腹部臓器や骨髄に好発する。

他の亜型よりもB症状を伴い, 臨床病期も進んだものが多い

背景のリンパ球が少ないという共通の所見でLukes-Butler分類のDiffuse fibrosis(びまん性線維型)とreticular(網状型)の2項目を一緒にしたため, 2つの組織型パターンを含む。

1つはHRS細胞に富むもの, もう一つはHRS細胞に乏しいが背景に細線維化, および線維芽細胞増生を伴う。骨髄でおこると骨髄線維症を伴うことあり.

apoptosisの一種である, ミイラ化細胞(mummy cells)はこの型に多い。

HRS細胞が多形性を示すことや背景に組織球増生を伴うことも重要な所見である。-->免疫染色で, ALKを染色することが大切。(以下参照)

今までLDと診断されていた症例の7-8割はALCLである. そのためLDと診断される症例は減ってきている。腫瘍細胞にPAX5が染まる例はLDと診断する. (T-cell lymphomaではないので)[大島先生の講演から. 2021/10月]

Hodgkin lymphoma Case01-IWT

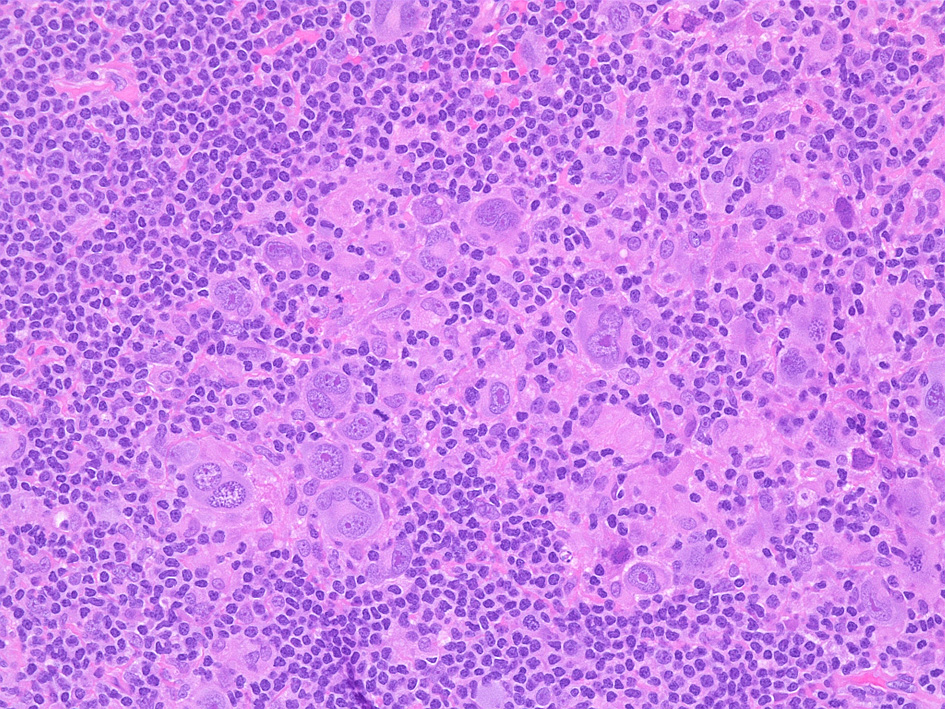
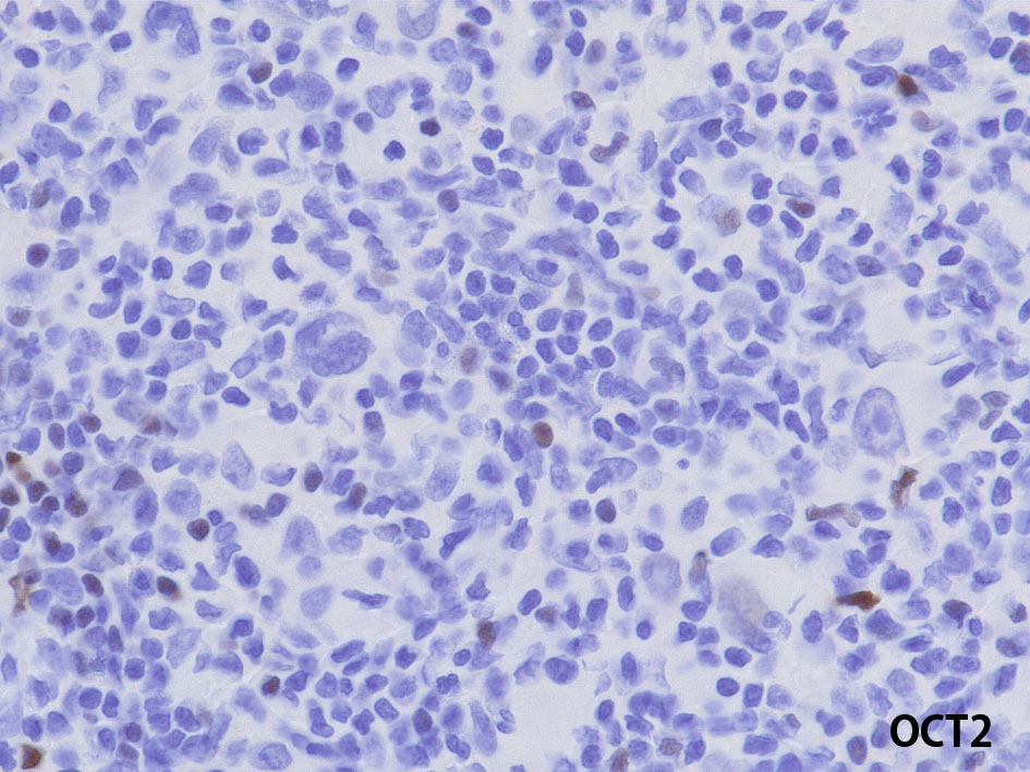
48歳男性 頚部リンパ節 Hodgkin lymphoma, mixed cellular type.

Hodgkin cell, Reed-Sternberg cells

左;腫瘍細胞のクラスター, 右: mummy cell-ミイラ細胞

 

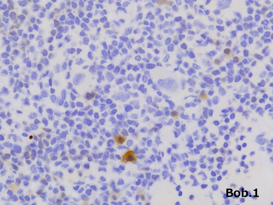
免疫染色

 

RS細胞は転写因子のBob1, OCT2陰性. PAX5はRS細胞の核に,ごくごく弱い陽性を示している。EBER-ISHは陰性であった。

 
 

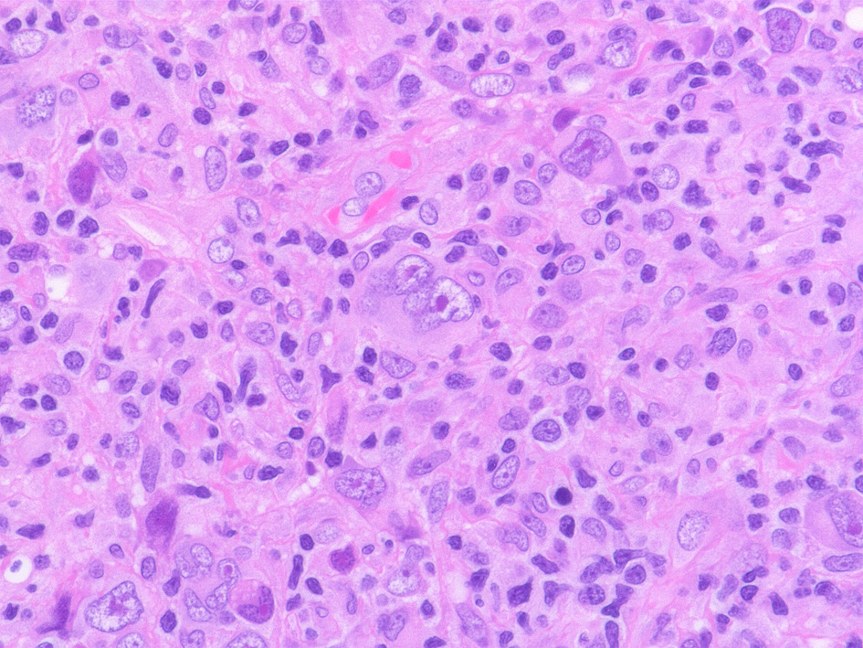
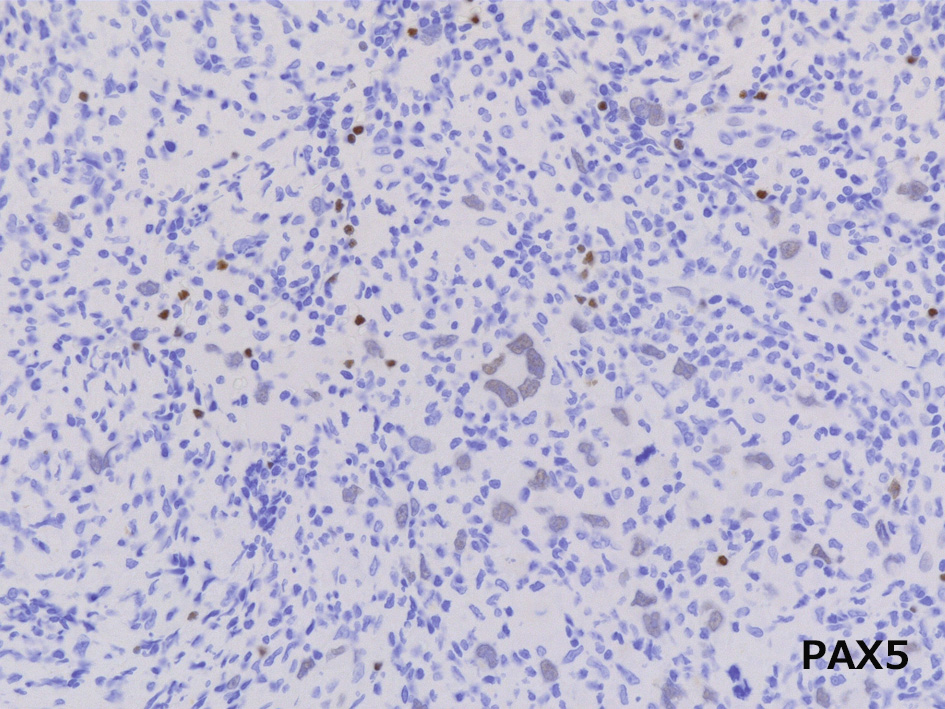
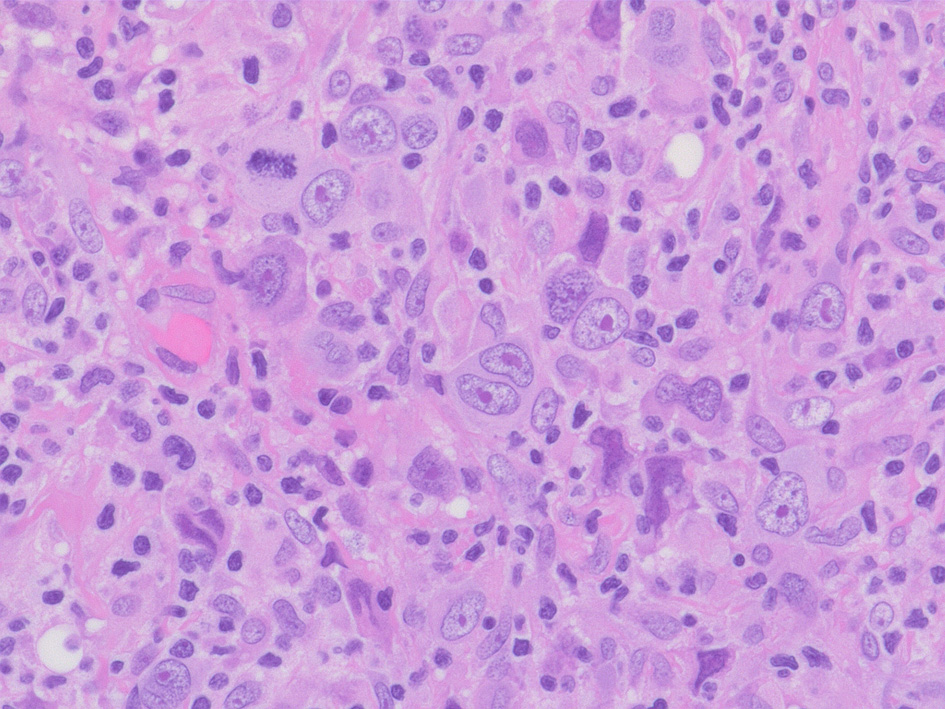
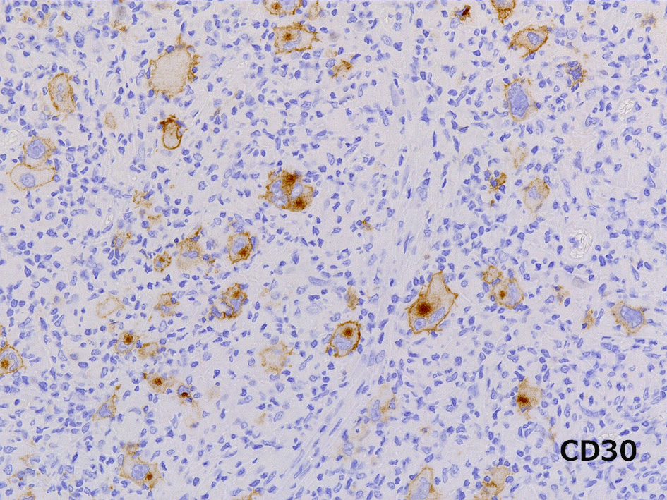
Hodgkin lymphoma-Case02-IWT

74歳男性 左頚部リンパ節腫大

組織球が類上皮細胞様に集蔟して肉芽腫様病変を形成, リンパ節内に明るく見えるエリアができている。HRS細胞が散在。背景はリンパ球, 形質細胞。好酸球が多く見られる

 

免疫染色

CD30, CD15は陽性, 転写因子のBob.1, OCT2は腫瘍細胞は陰性となる.

予後因子, 治療

Hodgkin lymphomaの病期分類は臨床的病期分類が主になっており, Ann Arbor分類(アナーバー:発音 と発音するようです. ミシガン州の都市の名前? )修正案, Cotswolds(コッツウォルズ;meetingの行われたイングランドの地名)*10が用いられている。

AnnArbor-Cotswolds_s.jpg
 
 

Ann Arbor修正案, Cotswolds*10

III期では, 上腹部に限局するIII1と下腹部におよぶIII2を区別する。

各病期に全身症状の有無を付記する--無症状ならば A, 全身症状があれば Bと記載する。

1) 6ヶ月以内に原因不明の10%以上の体重減少

2) 38℃以上の原因不明熱

3) 盗汗(寝汗;頭部や首から胸の周りを中心に粘っこい汗をかく)

bulky massの病変の場合は Xを付記する (eg. IIIX)

胸郭内径の1/3以上の縦隔病変

表在および腹腔内の最大径10cm以上の腫瘤

 

IIBは進行期に含まれることも多い。

予後因子

限局期(Stage I-II)

EORTC

  • MMR 0.35以上, 赤沈の亢進, 病変3個以上, 節外病変の存在, 巨大脾病変. *11

German Hodgkin Study Group(GHSG)*12

  • 1)巨大縦隔腫瘍(胸部X-pで胸郭横経の1/3以上), 2)節外病変(照射可能な限局的節外病変), 3)3ヶ所以上の節性病変, 4)赤沈亢進(stageIA, IIAでは≧50mm/h, stage IB, IIBでは≧30mm/h)の4因子
  • 4因子の保有数が0であれば--> 予後良好早期HL, 1つ以上因子を保有すると, 予後不良早期HLとする。

進行期(Stage IIB-IVまたはIII-IV)

EORCT

  • 年齢≧45歳, 男性, StageIV, 血清アルブミン<4g/dl, Hb<10.5g/dl, WBC≧15000, リンパ球が600未満または白血球の8%未満*13

治療概論

限局期標準治療はGHSGの大規模ランダム化比較臨床第III相試験により確率しておりGHSGの予後因子で病期グループを分ける。

予後良好初発限局期HL(臨床病期I,IIで予後因子保有0)の治療

予後不良 初発限局期(IA,およびIBとIIA期でGHSG予後因子を1つ以上保有, あるいはIIBで巨大縦隔腫瘍も節外病変もないが, 他の因子のうち1つ以上を保有)の標準治療

進行期HLの標準治療

HLの新規治療薬

brentuximab vedotin(BV)

brentuximab vedotin(BV; 商品名アドセトリス)は微小管阻害薬であるmicrotubule disrupting agent, monomethyl auristatin E (MMAE)を抱合する抗CD30モノクロナール抗体として開発されたantibody-drug conjugate(ADC).*16

MMAEはIgG1モノクロナール抗体,抗CD30抗体(cAC10)にタンパク分解酵素により切断されるLinkerタンパク質および, Spacer分子を介して, 2から8分子が結合しており, このうち4分子結合体が最も頻用されている。*17

SGN-35.jpg BV-cell.jpg

1) SGN-35は細胞表面CD30と結合した後, クラスリンが仲介するendocytosisにより細胞内へ取り込まれる

2) クラスリン被覆空胞のクラスリンはLysosomeと結合するため空胞から離れ, 細胞膜表面にリサイクルされる

3) 酸性環境の空胞内ではcathepsinがCIT-Val dipeptide リンカーを分解し, フリーのMMAEを放出する。

4) MMAEは微小管に結合し, 核分裂を妨害するほか, 遊離MMAEは細胞外へ遊出し, 腫瘍の微小環境において細胞毒性を発揮する。

SGO35-0003試験*18

  • 自家造血幹細胞移植(HDCT/ASCT)施行後の再発または難治性CD30陽性HL患者102人が対象にSGN-35単独投与する.
    1.8mg/kgを3週間に1回静脈投与が1コース, 最大16コースまで行われた.
     
  • 奏功率[完全寛解(CR)+部分寛解(PR)]は, 18.5ヶ月の時点で75% (95%信頼区間:64.9 to 82.6), 無増悪生存率中央値は5.6ヶ月[95%信頼区間: 5.0 to 9.0], 全生存率中央値は27.0ヶ月[95%信頼区間: 23.9 to -]
     
  • 有害事象は患者さんの91%に発生, 発現率5%のグレード3有害事象には, 好中球減少症、末梢性感覚ニューロパチーが認められた。発熱性好中球減少症の報告はなく, SGN-35に起因する死亡例はなかった。
 

nivolumab(オプジーボ)

濃厚な治療歴をもつ23例の再発性・難治性Hodgkin lymphomaにnivolumab単独投与を行ったところ奏功症例は20例(87%)であり24週時点での無増悪生存率は86%であった*19 これにより厚生労働省は2016年3月16日, nivolmabをHodgkin lymphomaに対する希少疾病用医薬品に指定した。


*1  Hodgkin T: On some morbid Appearances of the Absorbent Glands and Spleen. Medico-Chirurgical Transactions 17:68-114:1832
*2  K&uml{u};ppers R, et al. Hodgkin and Reed-Sternberg cells picked from histological sections show clonal immunoglobulin gene rearrangements and appear to be derived from B cells at various stages of development. Proc Natl Acad Sci U S A. 1994 Nov 8;91(23):10962-6.
*3  Tamaru J, et al. Hodgkin's disease with a B-cell phenotype often shows a VDJ rearrangement and somatic mutations in the VH genes.Blood. 1994 Aug 1;84(3):708-15.
*4  Ansell SM, Armitage JO. Management of Hodgkin lymphoma.Mayo Clin Proc. 2006 Mar;81(3):419-26.
*5  Klimm B, et al. Lymphocyte-depleted classical Hodgkin's lymphoma: a comprehensive analysis from the German Hodgkin study group. J Clin Oncol. 2011 Oct 10;29(29):3914-20.
*6  Knowle's hematopathology 3rd Ed. pp375-378;2014
*7  中峰寛和 ホジキンリンパ腫の病理診断 特集ホジキンリンパ腫 血液フロンティア 2016;26(2): 21-32
*8  リンパ腫アトラス 改訂・改題第4版 森茂郎(監修)大島孝一他編 2014 文光堂 東京
*9  リンパ腫アトラス 改訂・改題第4版 森茂郎(監修)大島孝一他編 2014 文光堂 東京
*10  Lister TA, et al. Report of a committee convened to discuss the evaluation and staging of patients with Hodgkin's disease: Cotswolds meeting. J Clin Oncol. 1989 Nov;7(11):1630-6.
*11  Tubiana M, et al. Prognostic factors in Hodgkin's disease. Lancet. 1985 Jul 20;2(8447):165.
*12  Eichenauer DA, et al. Hodgkin's lymphoma: ESMO Clinical Practice Guidelines for diagnosis, treatment and follow-up. Ann Oncol. 2011 Sep;22 Suppl 6:vi55-8.
*13  Hasenclever D, et al. A prognostic score for advanced Hodgkin's disease. International Prognostic Factors Project on Advanced Hodgkin's Disease. N Engl J Med. 1998 Nov 19;339(21):1506-14.
*14  Engert A, et al. Reduced treatment intensity in patients with early-stage Hodgkin's lymphoma. N Engl J Med. 2010 Aug 12;363(7):640-52.
*15  von Tresckow B,et al. Dose-intensification in early unfavorable Hodgkin's lymphoma: final analysis of the German Hodgkin Study Group HD14 trial. J Clin Oncol. 2012 Mar 20;30(9):907-13.
*16  北原英晃ほか ブレンツキシマブ・ベドチン(HL・CD30陽性NHL) 癌と化学療法 2015; 42(5):550-552
*17  Katz J Brentuximab Vedotin (SGN-35). Clin Cancer Res. 2011 Oct 15;17(20):6428-36.
*18  Younes A, et al Results of a pivotal phase II study of brentuximab vedotin for patients with relapsed or refractory Hodgkin's lymphoma. J Clin Oncol. 2012 Jun 20;30(18):2183-9.
*19  Ansell SM, et al PD-1 blockade with nivolumab in relapsed or refractory Hodgkin's lymphoma N Eng J Med 2015;372: 311-319

トップ   新規 一覧 検索 最終更新   ヘルプ   最終更新のRSS