Wikipathologica-KDP

Undifferentiated (small) round cell tumors of the Sinonasal Tract--Differential Diagnosis Up date

 

鼻腔副鼻腔発生の「未分化な」小円形細胞腫瘍*1はしばしば診断に難渋することがある。 HE染色標本を十分に吟味することはもちろん重要なことであるが、免疫染色や分子病理学的検索の進歩は鑑別診断に大いに有用である。
以下に該当する腫瘍を列挙する。(ブラウンの文字は症例ページにリンクしています。クリックでページが開きます)

細胞は円形細胞のことが多いが必ずしもsmallとは限らないのでsmallには()をつけています。

 

1. olfactory neuroblastoma

2. sinonasal undifferentiated carcinoma

3. small cell undifferentiated (neuroendocrine) carcinoma

4. undifferentiated (lymhoepithelioma-like) carcinoma *2*3

5. sinonasal malignant melanoma

6. malignant lymphoma

7. pituitary adenoma

8. Ewing sarcoma/ peripheral neuroectodermal tumor

9. rhabdomyosarcoma: chromograninA, synaptophysin, CD56など神経内分泌マーカがびまん性に陽性となることがあり鑑別診断に注意が必要な例がある。

10. mesenchymal chondrosarcoma

11. small cell osteosarcoma

12. synovial sarcoma

13. extranodal natural killer/ T-cell lymphoma, nasal type

14. extramedullary plasmacytoma

15. NUT midline carcinoma arising in the nasal cavity t(15;19)(q14;q13.1), BRD4-NUT fusionをきたす低分化癌。 2000年に確立された新しい疾患概念。

 
 

extranodal natural killer/ T-cell lymphoma, nasal type

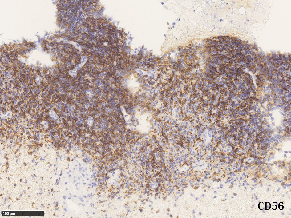
鼻, 副鼻腔領域より採取された組織が, 壊死の強い炎症性肉芽組織の場合, 浸潤細胞にリンパ球が含まれていれば絶対CD56は染めておくようにしたい
臨床に対して, 「壊死組織です」と安易に返事をすると痛い目にあうことがありますよ。

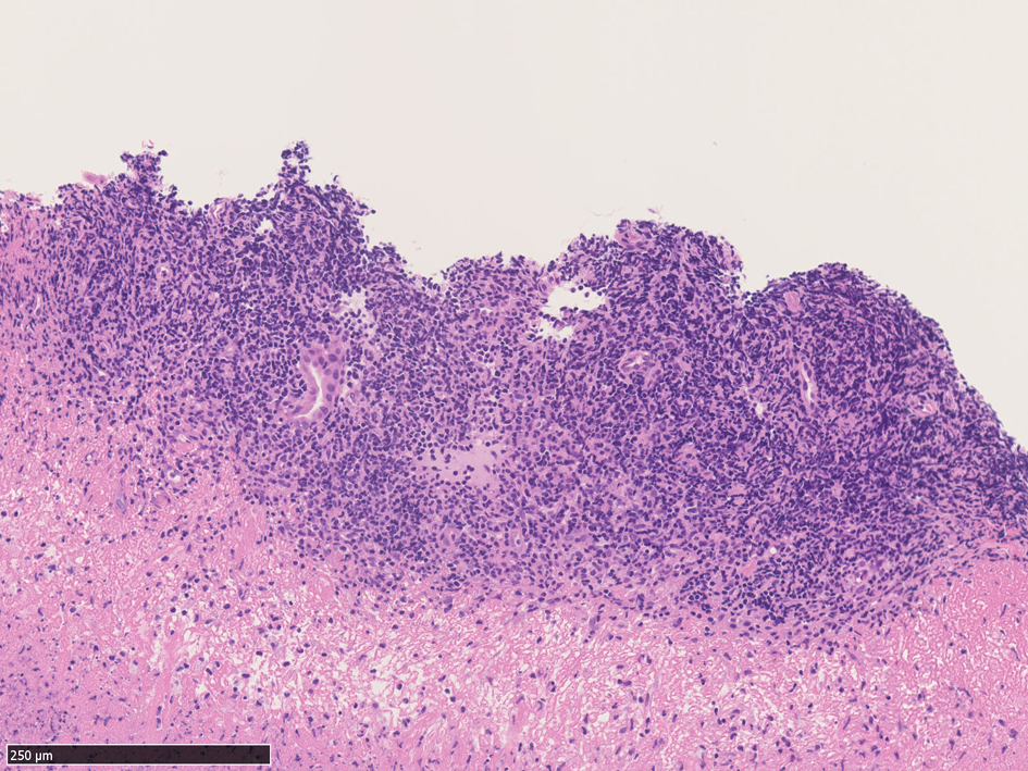
鼻・副鼻腔の壊死組織では extranodal natural killer/T-cell lymphoma, nasal typeを見落とさないことが大事 浸潤しているリンパ球は小型リンパ球で異型の見られないことが多い.

 

IWT case 64year-old female

左から鼻腔より採取された壊死組織断片。真菌の増殖がある。よく見ると腺周囲に小型の異型所見に乏しいリンパ球が密に浸潤している。念のためCD56を染めると多くのリンパ球が陽性を示しNK/T-cellの浸潤増殖の可能性がでてきた。EBER-ISHではB細胞に陽性となっている所見。以上からNK/T-cell lymphoma nasal typeの壊死病変を採取したことが強く疑われ臨床科に連絡して精査, 再度確定診断をおこなうようになった。

 

extranodal natural killer/ T-cell lymphoma, nasal typeの形態的スペクトラム-->&ref(): File not found: "ENNKTCL-variant.pdf" at page "Undifferentiated small round cell tumors of the sinonasal tract";

1.血管浸潤, 壊死型--->組織像図1. 血管に浸潤, 壊死を来す胡瓜状細胞(cucumber cell)と呼ばれる異型細胞が増殖

2.DLBCL型--->組織図2 大型異型性高度, centroblastic, immunoblastic cellの増殖. DLBCLとの鑑別は免疫染色をおこなう必要がある.

3.小型低異型度型--->組織像図3 小型で低異型度のリンパ球がびまん性に浸潤. 慢性炎症との鑑別が難しい. 上記の症例.

診断はCD3+(細胞質+, 表面-; FCMの抗体ではsCD3は陰性となる), CD56+, CD5-, cytotoxic molecule[granzymeB, TIA-1, perforin,etc]を染色, EBER-ISHでEBVの存在を確認する.
ごくまれにEBER-ISHが陰性を示しEBVの証明ができない例がある(非典型的)

頭頸部のリンパ腫

headandneck-lymphoma.jpg

Expanding field of undifferentiated epithelial and neuroepithelial/neuroendocrine tumours of the sinonasal tract

up date*4

Olfactory neuroblastoma/olfactory carcinoma/sinonasal tumours with neuroepithelial and neuroendocrine differentiation

Olfactory neuroblastoma (ONB)

Olfactory carcinoma (OC)

Sinonasal small cell neuroendocrine carcinoma (SNEC)

Sinonasal large cell neuroendocrine carcinoma

IDH2-mutated sinonasal carcinoma

Nonkeratinizing squamous cell carcinoma (NKSCC)

Sinonasal DEK::AFF2 carcinoma

NUT carcinoma (NUT-C)

SWI/SNF complex-deficient sinonasal carcinoma

SMARCB 1-deficient sinonasal carcinoma (SDSC)

SMARCA 4-deficient sinonasal carcinoma

SMARCA 4-deficient sinonasal teratocarcinosarcoma (TCS)

Sinonasal undifferentiated carcinoma (SNUC)

Adamantinoma-like Ewing sarcoma

PRACTICE POINTS


*1  Iezzoni JC, et al. Undifferentiated Small round cell tumors of the Sinonasal Tract Differential Diagnosis Up date.Am J Clin Pathol 2005; 124(Suppl 1): S110-S121
*2  Wenig BM. Lymphoepithelial-like carcinomas of the head and neck.Semin Diagn Pathol. 2015 Jan;32(1):74-86.PMID: 25804344 Review.
*3  Singhi AD, et al. Lymphoepithelial-like carcinoma of the oropharynx: a morphologic variant of HPV-related head and neck carcinoma. Am J Surg Pathol. 2010 Jun;34(6):800-5. PMID: 20421782
*4  Adamane S and Weir J. A diagnostic approach to small round cell epithelial and neuroepithelial tumours of the sinonasal tract Diagnostic Histopathology 2024-03-01; 30(3):179-187

トップ   新規 一覧 検索 最終更新   ヘルプ   最終更新のRSS