Wikipathologica-KDP

皮膚T細胞リンパ腫

皮膚T細胞リンパ腫 cutaneous T-cell lymphomaの分類 (WHO-EORTC分類*1)

Mycosis fungoides 菌状息肉症

Mycosis fungoides (菌状息肉症)は皮膚に初発する代表的な末梢性T細胞リンパ腫. cutaneous PTCLのうち最も高頻度であり50%を占める. M:F=2:1. *1
通常成人/高齢者に発症するが, 小児・思春期の発症も報告されている.*2

MFの臨床像

ほぼ成人,通常60歳代の疾患. 診断時の平均年齢(米国)は53.6歳. 男性:女性比は1.1/1.0から2.0/1.0と男性に多い.

古典的MFは鱗屑をともなった斑(patches with scale)で始まる. 日光にあたらない部位 sun-protected areaに限ることがしばしば.(「bathing suit distribution」とよぶ. bathing suit= 水着). ただし皮膚のどの部位も侵される.

次いで, 局面や皮膚腫瘤に進展し, 多くの患者さんが, 斑, 局面, 皮膚腫瘤が混在する状態になる. 局面や腫瘤は潰瘍を形成して二次感染の原因となる.

  • MFは, 慢性に進行することが特徴. 年単位あるいは10年の単位で徐々に進行する.
     
  • MF(SSも)ではT細胞障害により, 免疫監視システムに障害をきたしており, 感染の頻度増加や二次性腫瘍の発生が増加する.

進行したMF患者さんでは, 皮膚外播種がおこる. 皮膚腫瘤形成期/ erythroderma患者さんでは 40%, 局面(plaque期)では約10%. patch期ではまれ.

  • 皮膚外病変では病的皮膚のドレナージリンパ節が最初に,最も多く侵される.
     
    ISCLあるいはEORTCのクライテリアでは, 臨床的に異常なリンパ節は, 1.5cm以上か, サイズに関係なく, 硬く, 不整で可動性のない触知できるリンパ節と定義されている.
     
  • まれに, 内臓や血液に播種することがある. 通常は, 臨床的に緩徐な進行で, 長期にわたるMF患者さんがアグレッシブな病態をおこす.
     
    播種は皮膚腫瘤, リンパ節病変を持つ患者さんか, large cell transformationを来した患者さんに多い.
     
  • どの臓器も侵されるが, 肺, 肝, 脾, 血液, GI tractsが最も高頻度.

まれにMFが子供や思春期に発症することがある. MD Anderson CCのデータでは, 34/ 1902(1.8%)が20歳未満であった.

  • 発症のmedian ageは9歳で、あまりに若年の発症のためもあって, 確定診断が遅延する。
     
  • 95%のMF若年患者は, patch/plaque症状のstage I. 成人発症MFと類似しているが,50%の病変はhypopigmentedであり, CD8-positiveのphenotypeである.
 

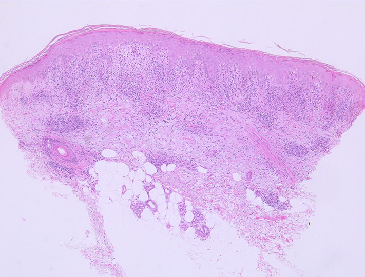
Mycosis fungoidesの皮膚病理

Patch stageでのMF診断は種々の良性皮膚疾患と所見が類似しており鑑別が非常に困難である.診断の"Gold standardは, 臨床所見と病理所見をあわせて診断すること"である.

古典的な臨床像を示すMF患者さんでは, 思いがけない組織所見があってもMFの診断を支持するのにやぶさかではない一方, 皮膚生検組織に古典的なMF組織所見を示す患者さんにおいては, MFを支持するのに適切な臨床像が必須である.

 

斑状落屑性紅斑として初発(紅斑期), 数年から数十年後に浸潤性局面を形成(局面期~扁平浸潤期)し, より進行すると腫瘤を形成する(腫瘤期)

表皮内浸潤の最終形態であるポートリエ微小膿瘍(Pautrier's microabscess)形成が有名であるが, この病変が出現する前の早期病変の間に診断することが大切である.--->filePautrier microabscess.pdf

  • Pautrier(Pautrier-Darier) microabscess; しばしばcentral Langerhans cellに取り囲まれたT細胞の丸いクラスターで表皮に限局する. patch stageでは通常ない(uncommon)か明瞭ではない(not well-developed)

MF(早期)診断の決め手となる組織所見--->fileMF-pathology.pdf

1) MFを支持する所見

  • Epidermotropism 表皮向性が最重要な所見 (表皮への親和性affinityを示すことで以前はMFにおいて限定して使用されていた(狭義の表皮向性)
     
  • 狭義のEpidermotropism表皮向性にあてはまる5つの所見
     
    • 多数の浸潤リンパ球が表皮内に不均衡に分布する disproportionate epidermotropism
       
    • 表皮に入ったリンパ球が真皮リンパ球よりも大きい large epidermal lymphocytes (emperor sign)
       
    • 表皮に入ったリンパ球がハロー(halo)を有する haloed lymphocytes
       
    • haloをもつ異型リンパ球が基底層に並ぶ(string of pearls distribution ) basilar lymphocytes
       
    • Pautrier's microabscess (Pautrier微小膿瘍)
  • string of pearlsの進展は(1)-->(3)の順にすすむと推察される.*3

    (1)基底層に2-3個のみhaloをもつ異型リンパ球が出現

    (2)haloのより明瞭な異型リンパ球が横への広がりを見せる

    (3)異型リンパ球が数珠状に連続するとともにhalo内に4個以上異型リンパ球が含まれるPautrier's microabscessの形成も見つかる

     
  • 真皮乳頭の線維化 (papillary dermal fibrosis/ wiry collagen); epidermotropismに比べると補助的な所見.
 

2) MFを否定できる組織所見 (腫瘍細胞は有棘細胞にダメージを与えない性質がある. --「やさしい腫瘍細胞」.以下の所見があるとMFは否定される.)

  • Necrotic keratinocyte (three or more throughout the lesion:病変内で3個以上);局面状類乾癬より苔癬状粃糠疹でよくみられる所見. 切片内に3個以上あるとMFの診断は慎重を期すべきである.
     
  • Spongiosis; 局面状類乾癬の診断に傾くが, MFにも見られることがあるので信頼性はたかくないことに注意.
     
  • Vacuolar degeneration of basement membrane; MFで見る可能性は低い. あれば局面状類乾癬を有意に支持する所見.
  • necrotic keratinocyte: 表皮keratinocyteがsingle cell necrosisに陥って好酸性類円形小体として見られるもの. Civatte小体, コロイド小体, ヒアリン小体, アポトーシス小体は同じものをさしている.
     
    表皮向性を示すCD3+ リンパ球の浸潤が強い病変であるがMFは否定的。
     

好酸球浸潤;

  • patch stageでは, 良性皮膚疾患に比較して, 好酸球浸潤は一般的ではない(less common).
     

紅斑期MFの診断

リンパ球表皮向性;表皮内に多数のリンパ球浸潤あり. 核大小不同やくびれを認める. 周囲角化細胞に海綿状態や壊死がほとんどないことが特徴/重要.(MFの表皮リンパ球浸潤パターン)

表皮内リンパ球浸潤のパターンにはその他に液状変性と海綿状態がある.

CD3染色: 表皮内リンパ球浸潤が明瞭になる. 核形態がよく観察できる.

CD7染色: MFでは陰性化することが多い. (これのみでは診断できない)

Mycosis fungoidesの免疫染色

1) 腫瘍性のMF cellは, matureな CD3+, CD4+, CD45RO+, CD8- memory T-cell phenotype. CD4がCD8に比べ優位に浸潤しているパターンがMF. とくに表皮内浸潤CD3+ cellのほとんどがCD4+, CD8-の場合.

ただしまれに, 古典的MFにおいて, CD4-, CD8+ mature T-cell phenotypeの症例が報告されていることに注意.*4

2) CD3+ の場合(一般に混在する非腫瘍性T細胞よりもCD3が薄く染まる、またはCD3が染まらない場合もあることに注意), 基底層にならぶstring of pearlsが確認しやすい.

3) pan-T cell markerが欠落することが多い. CD2, CD3, CD5は50%で欠落, CD7は10%のみ陽性. CD7の欠落はATLLに似ていますね.

Sézary症候群 (Sézary syndrome:SS)

 

体表面積の少なくとも80%を覆う紅皮症,リンパ節症を呈し, および 異型細胞が血液,皮膚,およびリンパ節に認められる。

その他の皮膚所見としては,脱毛症,外反症,掌蹠角皮症,および強いそう痒症による擦過傷がしばしば認められる。

セザリー症候群の患者は感染症にかかりやすく,しばしば好酸球増多症を伴う.

診断を下すには,

好酸球増多症Hypereosinophilia

Case record

Massachusetts General Hospital-Case record-24-2013>fileS-J-MGH-Case 24-2013-Sezary Sx.txt


*1 Willemze R et al., WHO-EORTC classification for cutaneous lymphomas. Blood 2005, 105; 3768-3785
*1  Swerdlow SH, Campo E, Harris NL, et al., editors. WHO classification of tumours of haematopoietic and lymphoid tissues. World Health Organization Classification of Tumours. Lyon: IARC; 2016.
*2  Fink-Puches R, et al. The spectrum of cutaneous lymphomas in patients less than 20 years of age. Pediatr Dermatol. 2004 Sep-Oct;21(5):525-33.
*3  清水道生 病理診断を極める60のクルー 2014;25 金芳堂 東京
*4  Petrella T, Comeau MR, Maynadie M, et al. Agranular CD4+ CD56+ hematodermic neoplasm' (blastic NK-cell lymphoma) originates from a population of CD56+ precursor cells related to plasmacytoid monocytes. Am J Surg Pathol. 2002 Jul. 26(7):852-62.
*5  Olsen E, Vonderheid E, Pimpinelli N, et al. Revisions to the staging and classification of mycosis fungoides and Sezary syndrome: a proposal of the International Society for Cutaneous Lymphomas (ISCL) and the Cutaneous Lymphoma Task Force of the European Organization of Research and Treatment of Cancer (EORTC). Blood 2007; 110:1713-1722 [Erratum, Blood 2008;111:4830.]
*6  Lee CH, Mamelak AJ, Vonderheid EC Erythrodermic cutaneous T cell lymphoma with hypereosinophilic syndrome: treatment with interferon alfa and extracorporeal photopheresis. Int J Dermatol 2007; 46:1198-1204.
*7  Bain BJ, Gilliland DG, Vardiman J. horny H-P. Chronic eosinophilic leukemia, not otherwise specified. In: Swerdlow SH, Campo E, Harris NL, et al., eds. World Health Organization classification of tumours of haematopoietic and lymphoid tissues. 4th ed. Lyon, France: IARC Press, 2008:51-3.

トップ   新規 一覧 検索 最終更新   ヘルプ   最終更新のRSS