Wikipathologica-KDP

脾臓 Spleen

脾臓はリンパ系器官としてリンパ節、リンパ管と同様、二次(末梢)リンパ系器官に属し免疫機能を担う臓器である。
リンパ管やリンパ循環と連絡を持つ他のリンパ装置やリンパ節と違っているのは血液循環中に存在し,古くなったり異常であったりする赤血球や異物を捕食、処理する血液のフィルタ-の役割も担なう。

脾臓の位置と形

spleenpos.jpg
spleenbothside.png

脾臓は1人一個で大人では左胸郭下第9-第11肋骨の高さにあり胃の左後ろ側で左腎と横隔膜の間に存在している。正常の脾臓はおとなでは触診できない。

脾臓の肉眼像(右図): 暗いあずき色の柔らかな臓器で, 大人の脾臓の重さは90から120g. 200gをこえる脾臓は病的といえる。20歳から40歳までがもっとも大きく,年をとるとともに萎縮してゆく。大きくなって触れる脾臓を脾腫といいます (→脾腫をきたす疾患

脾臓の肉眼像(横隔膜面(左)臓側面(右)両側から見たところ)。成人の平均サイズは10cm×7cmで厚さは3cmほど。

脾臓の構造

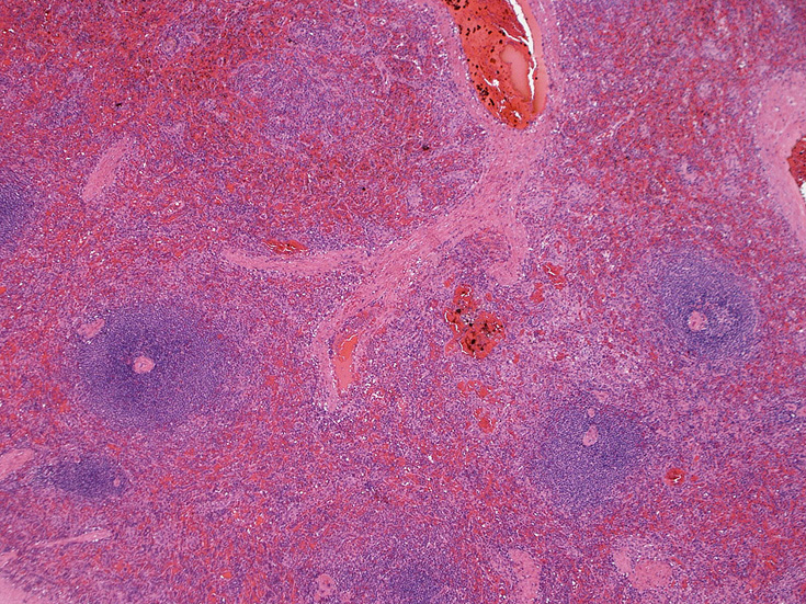
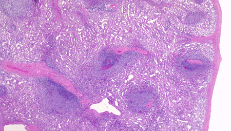
脾臓の割面を肉眼で見ると暗赤色の赤脾髄中に白色点状の白脾髄が散在しています
赤脾髄は脾洞と脾索から構成され赤血球を多く含む。白脾髄はリンパ小節でリンパ球の集蔟巣です。

赤脾髄の構造

赤脾髄は細長いソーセージ様の空洞である脾洞脾索の間にたくさん介在して構成されています。 脾洞の内皮細胞は細長い杆状細胞で、ちょうど「おけ」のように洞の長軸に平行にならび、「タガ」となる膠原線維のバンドで取り囲まれています。洞の外側には基底膜がありますが窓が開いていて白血球や赤血球が通り抜けることが可能になっているのです。洞の内皮は弱い貪食能を持っています。特発性門脈圧亢進症では内皮の貪食能が異常に高くなります。脾洞と脾洞の間にある比較的幅のせまい脾索には細網細胞がネットワークをつくっており、その中にリンパ球、形質細胞、マクロファージが存在します。脾臓構造のイラスト参照(下)

動脈から脾臓に入ってくる血液は筆毛動脈→莢毛細血管→脾索毛細血管を通り、脾索やリンパ小節の細網細胞ネットワークに開放されいったん血管を出ます。その後脾洞の隙間から洞内に入り脾静脈に帰っていきます。 脾臓の血液が閉鎖的循環か開放性の循環かは長い間論争されていましたが、現在は構造上、開放性であることがわかっています。

赤脾髄HE像 -- 脾洞、脾索の拡大像を示します。

白脾髄の構造

脾動脈脾柱という結合組織を通って実質内に入るところから毛細血管に至るところまで、その周囲にリンパ鞘が形成され、所々にリンパ濾胞が発達しています。(リンパ鞘=PALSと呼ぶ peri-arterial lymphatic sheathの略)
これらの濾胞内には胚中心が見られることが多い。胚中心の周りには暗調にそまる小型のリンパ球がマントル層を作って取り囲んでいます。リンパ鞘もリンパ節の構造と同じく粗で不規則な細網線維からできたネットワークが骨格となっている。

リンパ鞘はT細胞領域リンパ濾胞はB細胞由来です。PALSのT-cellsは CD4+ cell > CD8+ T-cells

胚中心が多数出現しているときはなんらかの抗原刺激を受けたと考えられる.

慢性感染症がある人の脾臓や特発性血小板減少性紫斑病の人の脾臓では胚中心が特に発達してみられます。一方で自己免疫性溶血性貧血では胚中心は少なく、先天性球状赤血球症ではほとんど見られません。

脾臓構造イラスト

spleenA011.jpg

脾臓の血管

リンパ管

spleenZu03.png

赤脾髄 red pulpは, 白脾髄が動脈域であるのに対して, 脾臓の静脈領域として白脾髄と区分される.

末梢の開放域である濾胞辺縁帯や莢血管を囲繞する莢組織ellipsoidを門として, 静脈性血管腔である脾洞と, その隙間を埋める細網細胞ネットワークからなる脾索から構成されている.

広義の赤脾髄から濾胞辺縁帯を除いたものが狭義の赤脾髄で静脈性血管からなるスポンジ構造を呈している.

洞性静脈である脾洞と, 細網線維から構築される髄索より赤脾髄が形成されている. 脾洞は洞内皮細胞が長軸方向に平行に配列している.

索状配列する髄索を, 箍(たが)線維(輪状細網線維)が桶のたがのように束ね, 索状細網性構造を形成している.

走査電顕では, 髄洞内皮細胞は横突起をのばし互いに連絡している. 横突起により形成される狭い間隙を赤血球が通過し脾臓の濾過機能を担う.

球状赤血球症では髄洞内皮の横突起により構成される間隙構造が脆弱赤血球選択に重要な働きをする.

細網細胞とその突起が形成する細網性網工である髄索は基本的に赤血球が変形して容易に通過できる網目であり, この部位には主にマクロファージが存在し, 血液ろ過, 流量調節に関与する. また抗原提示能をもつ樹状細胞により生体防御機能に関与している.

 

脾臓の組織所見

 

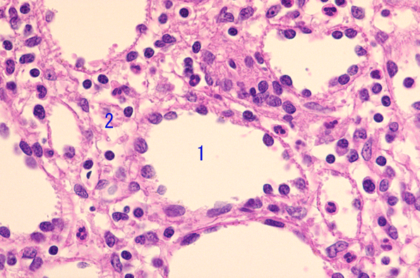
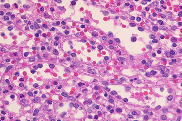
赤脾髄の構造 Structure of the red pulp

splenicsinus04.png
spleenRp03b.png

脾臓を灌流固定で赤血球を除いています。

左図:赤脾髄の拡大像 1. 脾洞 2.脾索が見えます。

右図:赤血球の残った部分です。脾洞に入り込む赤血球が見えます。

クリックすると大きな画像が見られます。

 

白脾髄の構造 Structure of the white pulp

 

濾胞辺縁帯

濾胞辺縁帯は白脾髄を帯状に取り囲む細網線維が疎な空間からなる. この領域は濾胞に接するやや稠密な網状構造からできた内側領域と, 動脈末端の開放域で, 細網線維による構造分化が乏しいフリーな外側空間/領域からなる.

濾胞辺縁帯には特徴的なBリンパ球とマクロファージが定住し, 血中抗原に対する免疫応答に深く関与している.*1

濾胞辺縁帯のB細胞は濾胞性Bリンパ球とphenotypeが異なるBリンパ球からなり, 好銀性を有する特殊なマクロファージであるmarginal metallophilesが存在している.*2

脾臓でのB細胞分化

                                


*1  伊藤雅文 脾臓濾胞周辺帯の構造および機能的独立性に関する考察. 日本リンパ網内会誌 1998:37;297-303
*2  Mebius RE, et al. Structure and function of the spleen. Nat Rev Immunol 2005; 5: 606-616

トップ   新規 一覧 検索 最終更新   ヘルプ   最終更新のRSS