炎症性皮膚疾患のお勉強--実践編
Nine major patterns†
鳥取大学附属病院 塩見達志先生の講演(第107回日本病理学会総会)「皮膚の炎症性疾患の病理診断-表皮に組織反応を示す皮膚病変を中心に」から.
to End
- Intraepidermal vesicular and pustular dermatitis
- Subepidermal vesicular dermatitis
- Superficial perivascular dermatitis with/without epidermal change
- Superficial(and deep) perivascular dermatitis with/ without epiermal change
- Nodular and diffuse dermatitis
- Folliculitis and perifolliculitis
2000種ある皮膚疾患の中, そのうちの100で日常皮膚診療の85%が網羅される.
最も普通にみられる10疾患が50%を占め, 次の15疾患が20%, その次の75疾患が15%にあたる.*1
2013-2016年に組織病理学的に診断した648症例から得られた皮膚生検組織を対象
- 371症例(57.3%)は主に, 表皮の組織学的変化(epidermal histological changes)を呈した.
これらの症例が示した5つのパターンは以下の通り
- Interface dermatitis(lichenoid/ vacuolar):33.1(123case) 薬疹の鑑別のため多くなっている.
- Psoriasiform dermatitis: 27% (100cases)
- Bullous/ vesicular dermatitis: 18.1%(67 cases)
- Spongiotic dermatitis: 17.8%(66 cases)
- Pustular dermatitis:4.0% (15cases)
Spongiotic dermatitis†
Spongiotic dermatitis 66 cases
1. Eczema 46(70.0%)
2.Drug eruption/ Toxicoderma 6(9.1%)
3. Rosacea/ Rosacea-like dermatitis 3(4.5%)
4. Photo-related dermatosis 2(3.0%)
5. Parapsoriasis 1(1.5%)
Erythema annulare 1(1.5%)
Pityriasis rosea Gibert 1(1.5%)
Others 6
■ 湿疹 -臨床-
- アレルギー性接触皮膚炎/刺激性接触皮膚炎: spongiosis, 真皮上層における主に血管周囲のリンパ球, 好酸球浸潤がある. spongiosisによる角化障害/角化異常のためにparakeratosisがみられる.
小水疱, 場合によっては嚢胞を呈することがある. 時間経過とともにspongiosisは不明瞭になり, 表皮突起延長を示す表皮肥厚がめだつようになりpsoriasiform patternを示すようになる.
貨幣状湿疹, 異汗性湿疹いずれも, アレルギー性接触皮膚炎と同様の組織所見を呈し, 病理としては湿疹の組織診断で十分と考えられる. (臨床がそこまで求めてこない) 項目内には特徴的な組織所見を呈する疾患もある.
うっ滞性皮膚炎は,腫大した内皮をもつ真皮細血管の分葉状増生, 出血, ヘモジデリン沈着, 線維化を特徴とする.
脂漏性皮膚炎では毛包開口部の錯角化, 痂皮の形成をみる.
■湿疹以外 - Pityriasis rosea Gibert ジベールばら色粃糠疹/ 遠心性環状紅斑:組織像は似るが臨床マクロは異なる.
- ジベールばら色粃糠疹: ところどころで見られる軽度のspongiosisと錯角化parakeratosis
- 遠心性環状紅斑:coat sleeve pattern-- 真皮全層の血管周囲に,coat-sleeve状と表現される密なリンパ球細胞浸潤を認める.
環状紅斑 annular erythema: 小紅斑として初発し,遠心性に拡大する一方で中心部が消退し,その結果,環状の紅斑を形成する.このような皮疹の出現が主体の疾患の総称である.環状を呈する他の疾患(乾癬,蕁麻疹,体部白はくせん癬など)の場合は環状紅斑とはいわない.感染症や内臓悪性腫瘍,膠原病,薬剤などを背景として発症することがある.
この2つの疾患は組織像は類似するがマクロ像が異なり, 臨床所見/情報が鑑別に有用である.
- 皮膚糸状菌症 Sandwitch sign: 角化層が正角化-錯角化-正角化のサンドイッチ状になる. 真菌診断のためPAS, Grocott染色が望まれる.
- 酒皶様皮膚炎: 毛包周囲の炎症性細胞浸潤, 真皮細血管拡張などを特徴とする. 一部に弱いspongiosisを伴うことがある. 顔面へのステロイド剤外用歴
- 色素失調症(炎症期): spongiotic dermatitisのパターンに含まれ, 好酸球浸潤を伴うspongiosis, 表皮内水疱を呈する. 組織では湿疹との鑑別が難しいが---からの組織であれば考慮する。
Psoriasiform dermatitis†
表皮突起の延長を示す表皮肥厚を特徴とする皮膚炎
Psoriasiform dermatitis 100cases
- Psoriasis 43(43%)
- Eczema 39(39%)
- Mycosis fungoides/ATL 5(5.0%)
- Parapsoriasis 1(1.0%)
- Pityriasis rubra pilanis 1(1.0%)
Others 11
PsoriasisとEczemaの鑑別が肝になる. 両者は表皮突起延長を示す肥厚を呈するがその機序は異なっている.
Psoriasisの組織像の成り立ち
- 増殖プールサイズの増大
複雑に切れ込んだ表皮真皮接合面
- 表皮交代時間の短縮, 角化に要する時間の不足
- 後期に発現する角化マーカープロフィラグリン(ケラトヒアリン顆粒の構成成分)の消失
顆粒層の消失, 錯角化
慢性湿疹・慢性単純性苔癬(慢性湿疹のヴァリアント)の表皮肥厚
spongiosisなどの組織障害, あるいは掻爬刺激に起因する再生成変化による肥厚--->正角化を示し, 顆粒層は肥厚する. 局所的なpsoriasisが認められる.
急性期湿疹の時間的経過によりこの組織像を呈することがある.
Interface dermatitis, lichenoid/ vacuolar (123 cases)†
皮膚基底細胞の液状変性を特徴とする皮膚炎.
境界部(接合部)には,表皮基底層,表皮真皮境界,真皮乳頭,付属器周囲の間質が含まれる.*2基本的に,表皮基底層がターゲットで,その結果生じる胞体内の空胞変性をはじめとする基底細胞の損傷が特徴で,またケラチノサイトの壊死/ アポトーシスがみられる点も重要である.*3*4*5.
空胞構造は,基底細胞の細胞質内,すなわち基底膜部より上にみられるが,基底膜部直下にみられることもある.
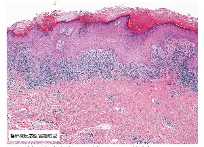
Interface dermatitisは, 境界部に浸潤してくる炎症細胞の量により,乏細胞型(基底細胞の空胞変性のほうが目立つ型)と,富細胞型あるいは苔癬様型(どちらかといえば稠密な細胞浸潤のほうが目立つ型)の2 型に分けられている.*6

lichenoid 11 cases
- Lichen planus 8(6.5%)
- Lichen planus-like keratosis 2(1.6%)
- Lichen nitidus 1(0.8%)
vacuolar 79cases
- Drug eruption 45(36.6%)
- Erythema multiforme/ SJS 14(11.4%)
- Toxicoderma 11(8.9%)
- Collagen vascular disease 5(4.1%)
- Bullous pemphigoid 3(2.4%)
- GVHD 1(0.8%)
Others 33cases .(27%)
扁平苔癬†
- 顆粒層の肥厚を伴う正過角化
- 真皮側へ鋸歯様に延長する表皮
- 角化細胞の個細胞性壊死 Civatte body
鑑別: 扁平苔癬様角化症(脂漏性角化症+) 角化はparakeratosisであること, 周囲を含めて脂漏性角化症の所見があることから鑑別する.