Wikipathologica-KDP

膀胱腺癌 Adenocarcinoma of the urinary bladder

文献 *1 主にnon-urachal carcinomaの総説.

膀胱腺癌は、被覆尿路上皮に発生するまれな悪性腫瘍であり、全悪性膀胱腫瘍の 0.5%~2.0% を占める*2膀胱外反症および住血吸虫症との臨床的関連はよく報告されている。

膀胱原発腺癌は隣接臓器, 特に結腸に発生する腺癌と診断上混同される。組織学的には, 様々な組織学的パターンを伴う大腸(腸)型腺管形態が優勢である。形態学的特徴から大腸型腺癌(not otherwise specified)、粘液性、印環細胞型、透明細胞型、肝細胞型、混合型に分類される。*3*4

膀胱原発腺癌の診断に, サイトケラチン7および20、34βE12、トロンボモジュリン、CDX2およびβカテニンなどの免疫組織化学的パネルが提案されている。しかし他の原発部位に発生する腺癌と組織像だけでなく免疫組織化学的特徴が重複している. 原発性腺癌と転移性腺癌では予後や治療法が大きく異なるため, 鑑別診断において膀胱腺癌の診断を下す際には、臨床的、画像的、組織的、および免疫組織化学的な相関を注意深く確認する必要がある。

膀胱腺癌はまた、urachal type/尿膜管型(/尿膜管癌 urachal carcinoma)とnon-urachal type非尿膜管型に分類される。

Case

IWT 76 year-old male. 尿管結石, 結石性腎盂腎炎で治療している.
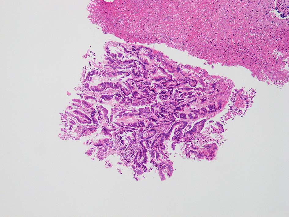
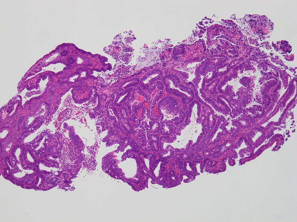
膀胱鏡検査で頸部6時方向に乳頭状腫瘤があり, 膀胱がん疑いで生検をおこなう.

 

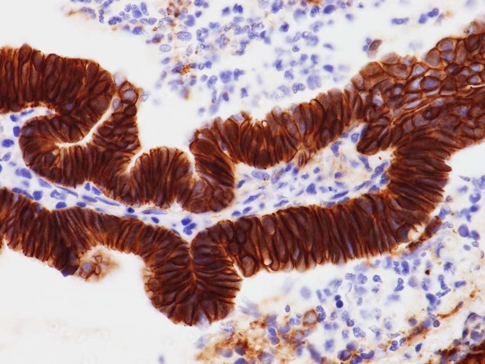
腸管型の腺癌。大腸の高分化腺癌と組織学的に区別は難しい.

 

desmoplastic fibrosis, 粘液浸潤のみられる組織片にはsig, porのadenocarcinoma浸潤が確認される.

 

neutrophilic exudate の付着する腸管型腺癌部分. 核はより腫大し円形、vesicularとなっている. 上記腸管型とはCK20, CK7のそまりが異なっていた. 変性のためかもしれない.

mark-g.gif 免疫染色

GI tract, とくに大腸癌の膀胱浸潤/転移を最初に考えた.

 
 

mark-g.gif画像診断 CT, MRI

 

尿膜管癌 Urachal carcinoma

尿膜管癌は,尿膜管を発生母地とするまれな膀胱悪性腫瘍.

発生頻度は膀胱癌の1%未満. 最近では希少癌として取り扱われる.

尿膜管は出生後閉鎖するのが通常であるが,内腔が開存したまま残ることがあり,その場合,内腔は円柱上皮や尿路上皮で覆われている.

尿膜管癌の特徴は,膀胱癌の組織型が大部分移行上皮癌であるのに対して,大部分が腺癌であること.また,半数以上でムチン産生能を有する.

症状は肉眼的血尿が最も多く,そのほかには粘液尿で発見されることもあるが,腫瘍自体尿膜管に沿って膀胱外に発育することも多く,症状が出にくく進行して見つかることが多い.*5*6

 

尿膜管癌の診断尿膜管癌の診断には,以下の4 つの基準を満たすことが必要.

①膀胱頂部もしくは前壁に位置する.(発生, 解剖学的に尿膜管の位置が病変の主座)

②膀胱壁に腫瘍の主座がある.

③膀胱頂部および前壁の膀胱粘膜に広範な腺様化生を認めない.-認めれば膀胱原発腺癌/non-urachal

④他部位に同様の腫瘍を認めない.


*1  Somak Roy S,et al. Adenocarcinoma of the Urinary Bladder Arch Pathol Lab Med. 2011;135:1601-1605
*2  Grignon DJ, et al. Primary adenocarcinoma of the urinary bladder: a clinicopathologic analysis of 72 cases. Cancer. 1991;67(8):2165-2172.
*3  Epstein JI, et al. Glandular lesions. In: Epstein JI, Amin MB, Reuter VE, eds. Bladder Biopsy Interpretation: Biopsy Interpretation Series. 2nd ed. Philadelphia, PA: Lippincott Williams & Wilkins; 2010:150-176.
*4  Bostwick DG, Cheng L. Neoplasms of the urinary bladder. In: Bostwick DG, Cheng L. Urologic Surgical Pathology. 2nd ed. Philadelphia, PA: Mosby; 2008:300-307.
*5  Mylonas KS, O Malley P, Ziogas IA, et al : Malignant urachal neoplasms : A population-based study and systematic review of literature. Urol Oncol 35 : 33 e11-33 e19, 2017
*6  Szarvas T, Modos O, Niedworok C, et al : Clinical, prognostic, and therapeutic aspects of urachal carcinoma-A comprehensive review with meta-analysis of 1,010 cases. Urol Oncol 34 : 388-398,2016

トップ   新規 一覧 検索 最終更新   ヘルプ   最終更新のRSS